STRAUMANN® EMDOGAIN®

THREE DECADES TRANSFORMING SMILES

Emdogain 30 Year Logo


For 30 years the world has changed but regeneration has always had one name: Emdogain®

Setting the gold standard in periodontal regeneration since 1995, emdogain has been at the forefront of periodontal regeneration, shaping the future of dentistry and transforming patient care.

Inspired by nature and powered by science, this unique gel harnesses the body’s natural healing process to restore both hard and soft tissues.

Emdogain

EMDOGAIN STORY

Straumann® Emdogain® is a mix of enamel matrix proteins that, when applied to a clean tooth root surface, form an extracellular matrix that stimulates cells and processes that are fundamental for periodontal regeneration1. Numerous scientific studies provide clinical evidence of the application of Straumann® Emdogain® in different indications such as intrabony defects due to moderate or severe periodontitis and gingival recession defects, designed to be used as an adjunct to surgical periodontal procedures.

Straumann Emdogain supports the predictable regeneration of the lost periodontal hard and soft tissue caused by periodontitis, helping to save and preserve the tooth.

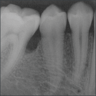
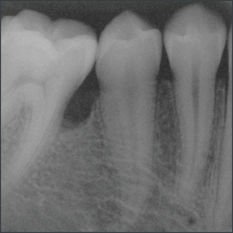
Before treatment with Straumann® Emdogain®.
Courtesy of Prof. Carlos Nemcovsky
 

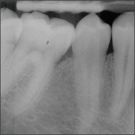
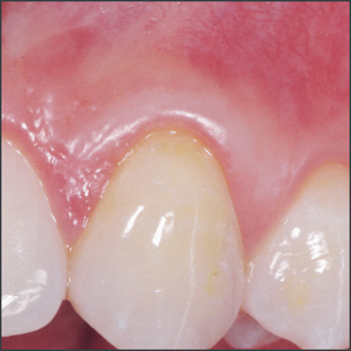
Before treatment with Straumann® Emdogain®.
Courtesy of Prof. Giovanni Zucchelli

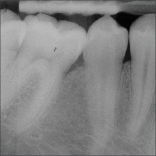
20 years after treatment with Straumann® Emdogain®.
Courtesy of Prof. Carlos Nemcovsky

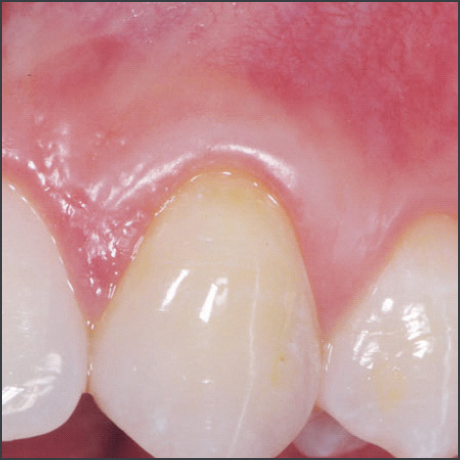
8 months after treatment with Straumann® Emdogain®.
Courtesy of Prof. Giovanni Zucchelli

EMDOGAIN STORY

Straumann® Emdogain® is a mix of enamel matrix proteins that, when applied to a clean tooth root surface, form an extracellular matrix that stimulates cells and processes that are fundamental for periodontal regeneration1. Numerous scientific studies provide clinical evidence of the application of Straumann® Emdogain® in different indications such as intrabony defects due to moderate or severe periodontitis and gingival recession defects, designed to be used as an adjunct to surgical periodontal procedures.

Straumann Emdogain supports the predictable regeneration of the lost periodontal hard and soft tissue caused by periodontitis, helping to save and preserve the tooth.

Before treatment with Straumann® Emdogain®.
Courtesy of Prof. Carlos Nemcovsky

20 years after treatment with Straumann® Emdogain®.
Courtesy of Prof. Carlos Nemcovsky

Before treatment with Straumann® Emdogain®.
Courtesy of Prof. Giovanni Zucchelli

8 months after treatment with Straumann® Emdogain®.
Courtesy of Prof. Giovanni Zucchelli

30 years Emdogain®

Emdogain - 30 years in the market

1,700 scientific publications (>600 clinical)2

>3 million patients treated globally3

Extremely well tolerated4

Stable results documented over 10 years in 2 indications5,10,11

Long term clinical case follow up10,11

Unique  and pioneer6

Approved in +90 countries7

JOIN US AT

AAP CORPORATE FORUM

Wednesday, October 15, 2025  |  Room 601 AB


Dr. Guentsch

Dr. Arndt Guentsch

Clinical Strategies with Emdogain: Turning Biology into Better Outcomes

1:00 p.m. – 1:45 p.m.

Dr. Barootchi

Dr. Shayan Barootchi

The Modern Landscape of Implant Therapy: Immediacy, Soft Tissue Engineering, and Digital Innovations

2:05 p.m. – 2:50 p.m.

Dr. Walton

Dr. Phil Walton

Guided Implant Workflows for Full Arch: Practically Speakings

3:10 p.m. – 3:55 p.m.

Dr. Guentsch

Dr. Luis H. Gonzaga

Singles to Full Arch: The Latest Innovations in Straumann’s Digital Workflow Through a Prosthetic Lens

4:15 p.m. – 5:00 p.m.

Features and benefits

Peace of Mind

Straumann® Emdogain® is backed by extensive clinical documentation. Over the past 30 years it has been used in over 3 million patients3 and documented in over 1,700 scientific publications.2

Handling

As it is a gel, Straumann® Emdogain® is easy to apply, even when the defect is difficult to access.

Comfort

In a randomized clinical study Emdogain was compared to barrier membranes for treatment of mandibular buccal class II furcation defects. Both treatments led to significant clinical improvements. There was a significantly greater reduction in horizontal furcation depth with Emdogain. Patients treated with Emdogain also reported a lower incidence of postoperative pain and swelling at one week post op8.

Predictability

A prospective multicentre randomized controlled clinical trial was executed to compare the papilla preservation flap surgery with or without Emdogain for treatment of intrabony defects. After one year, on average clinical attachment level gain and pocket reduction was significantly higher with Emdogain9.

WEBINARS

Dr. David Lipton

30 years with Emdogain®: History, Biology and Clinical Applications


Tuesday, September 9th | 7:00 PM EDT (New York)

Dr. Arndt Guentsch

Clinical Strategies with Emdogain: Turning Biology into Better Outcomes


Wednesday, November 19th | 7:00 PM EDT (New York)

CUSTOMER INSIGHTS

coming soon

SUBMIT A CASE

In recognition of 30 years of this advancing and groundbreaking solution, we invite clinicians to submit their case studies and be part of our 30 year anniversary casebook. Celebrate the progress in regenerative dentistry—and shape its future. Your work could inspire the next generation of clinical innovation!

To view the full terms and conditions for case submission requirements, click here.
All submissions must include the Straumann Case Evaluation Form and the provided template.

20MB file cap. Files larger than 20MB, please provide shared file link in the comment box above. .jpg, .png, .pdf, .doc, .docx, .key, .ppt, .pptx

    Straumann collects your information to facilitate the commercial relationship, contact you regarding future product offerings and promotion and all other permissible business purposes. Please see our Privacy Policy for more information.

    Important Safety information:

    Indications

    • Emdogain® has been shown to be effective in sites with periodontal pockets more than 6 mm associated with vertical bone loss on radiograph greater than 3mm.
    • Emdogain® has also been shown to be effective with furcation involvements exceeding 2mm but not through-and-through defects.
    • Emdogain® used in recession defects has been shown to offer a potential for improved root coverage compared to the use of a coronally advanced flap alone, good aesthetic outcome, a gain in keratinized tissue and a potential for regeneration of attachment.
    • When used with Bone Ceramic, Emdogain® is also indicated for use in extraction sites.

    Contraindications
    Based on the results of the risk analysis the following patient population are contraindicated: patients with disorders or conditions including, but not limited to the following: uncontrolled diabetes or other uncontrolled systemic diseases, disorders or treatments that compromise wound healing, chronic high dose steroid therapy, bone metabolic diseases, radiation or other immuno-oppressive therapy and infections or vascular impairment at the surgical site.

    For complete labeling refer to ifu.straumann.com.

    References

    1 Bosshardt DD. Biological mediators and periodontal regeneration: a review of enamel matrix proteins at the cellular and molecular levels. J Clin Periodontol. 2008 Sep;35(8 Suppl):87-105.
    2 According to PUBMED search for “Emdogain” or “enamel matrix derivative”.
    3 Based on the number of syringes sold to date globally.
    4 Based on a global post-surgical complication rate of less than 0.003%.
    5 Based on 2 indications: intrabony defects and recession coverage. (+10years clinical evidence).
    6 Based on PI / unique patented formulation.
    7 Regulatory approvals per country.
    8 Jepsen S, Heinz B, Jepsen K, Arjomand M, Hoffmann T, Richter S, Reich E, Sculean A, Gonzales JR, Bödeker RH, Meyle J. A randomized clinical trial comparing enamel matrix derivative and membrane treatment of buccal Class II furcation involvement in mandibular molars. Part I: Study design and results for primary outcomes. J Periodontol. 2004 Aug;75(8):1150-60.
    9 Tonetti et al. Enamel matrix proteins in the regenerative therapy of deep intrabony defects – A multicenter, randomized, controlled clinical trial. J Clin Periodontology 2002;29;317-325.
    10 McGuire MK, Scheyer ET, Nunn M. Evaluation of human recession defects treated with coronally advanced flaps and either enamel matrix derivative or connective tissue: comparison of clinical parameters at 10 years. J Periodontol. 2012 Nov;83(11):1353-62.
    11 Sculean A, Kiss A, Miliauskaite A, Schwarz F, Arweiler NB, Hannig M. Ten-year results following treatment of intra-bony defects with enamel matrix proteins and guided tissue regeneration. J Clin Periodontol 2008; doi: 10 .1111 /j .1600-051X .2008. 01295 .x.