Straumann® Emdogain®

Bienvenue dans le monde de la régénération avec Straumann® Emdogain® ! 

 Souhaitez-vous lire plus d’informations sur la technique de régénération du Dr Giovanni Zucchelli ? 

Inscrivez-vous pour télécharger votre exemplaire gratuit.

Straumann® Emdogain® est un gel composé de protéines dérivées de la matrice amélaire qui favorise les processus de régénération et de cicatrisation dans les tissus mous et durs.

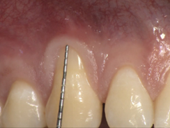
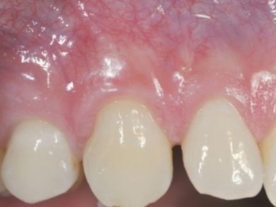
Découvrez la technique pour le traitement des RÉCESSIONS gingivales avec un matériau validé par la recherche scientifique depuis bientôt 30 ans.

 

 

« L’utilisation complémentaire d’Emdogain® et de Straumann® Soft Tissue Graft avec le lambeau coronairement avancé peut améliorer la qualité de fixation entre le tissu mou et la racine et augmenter l’épaisseur du tissu mou. Ces deux facteurs sont essentiels pour la stabilité à long terme du recouvrement des racines. »
 
- Dr Giovanni Zucchelli
  • Situation initiale
  • Application d’Emdogain®
  • Un an plus tard

Les avantages d’associer emdogain® à vos traitements

Il induit une véritable régénération

En favorisant la différenciation et la prolifération cellulaires dans différents tissus.

Il améliore la cicatrisation des plaies

En favorisant l’angiogenèse dans les tissus après des procédures chirurgicales

Augmente la prédictibilité dans vos procédures parodontales

Emdogain® stimule les processus initiaux de cicatrisation des plaies et protège contre les pathogènes buccaux.

L’utilisation d’Emdogain® est synonyme de tranquillité d’esprit

Depuis plus de 25 ans, des milliers de parodontistes, de chirurgiens bucco-dentaires, d’implantologues et de dentistes lui font confiance.

Emdogain® est facile à appliquer

Sa présentation sous forme de gel dans une seringue facilite son utilisation.

Il améliore l’expérience pour les patients

L’augmentation des tissus et des volumes, ainsi que la réduction de la douleur et de l’inflammation, vous permet d’obtenir de meilleurs diagnostics et d’accélérer la cicatrisation des plaies, ce qui conduit à de meilleurs résultats thérapeutiques

COMMENT PUIS-JE UTILISER EMDOGAIN® DANS MON CABINET ?

Découvrez les différentes façons d’utiliser Emdogain pour chaque spécialité avec les avantages qui y sont associés.

Parodontistes

En tant que parodontiste, vous pouvez utiliser Emdogain® pour différentes indications. Il s’agit d’un biomatériau unique qui vous permettra d’obtenir d’excellents résultats avec vos patients. Sa consistance gélatineuse facilite son utilisation et est associée à moins de complications postopératoires. Emdogain® est très efficace et peut être utilisé seul ou en association avec d’autres biomatériaux selon le type de régénération souhaitée. Emdogain® + Mucoderm est l’association la plus utilisée dans votre spécialité.

  • L’utilisation appropriée d’Emdogain® peut faciliter la restauration du tissu de soutien parodontal manquant, et assurer ainsi la rétention de la dent à long terme.
  • Emdogain® est un matériau innovant qui permet la régénération du tissu osseux alvéolaire, l’un des défis les plus difficiles à relever en dentisterie.
  • Emdogain® est un produit véritablement biologique, éprouvé par un large éventail de tests cliniques. Il a été démontré permettre la régénération parodontale biologique.

 Il s’agit donc d’un outil précieux dans la boîte à outils du parodontiste.

Endodontistes

Emdogain® offre plusieurs avantages pour votre cabinet endodontique. En voici en liste :

  • Il s’agit d’un biomatériau unique qui favorise la régénération parodontale, qui est essentielle dans les traitements endodontiques.
  • Emdogain est facile à appliquer et peut être utilisé dans divers traitements, y compris dans les lésions intra-osseuses et les défauts de furcation.
  • C’est un traitement biologique démontré plus efficace que des méthodes classiques, telles que l’extraction de la dent et la pose d’un implant. 
  • Emdogain accélère également le processus de cicatrisation, réduisant ainsi le risque de complications et améliorant la satisfaction du patient.

Implantologues

En tant qu’implantologue, vous pouvez utiliser Emdogain® de différentes façons pour améliorer la réussite de vos procédures de pose d’implants dentaires :

  • Il peut être utilisé pendant la chirurgie implantaire afin de favoriser la cicatrisation et stimuler la formation de vaisseaux sanguins, qui améliore également la cicatrisation des plaies. Cela peut se traduire par de meilleurs résultats et une plus grande satisfaction des patients.
  • Emdogain® peut également être utilisé dans les procédures de greffe osseuse associées à la pose d’implants, car sa consistance gélatineuse le rend facile à utiliser et réduit le risque de complications postopératoires.
  • Emdogain® peut favoriser la préservation de l’architecture des tissus mous pendant la phase de cicatrisation, ce qui est essentiel pour la restauration définitive après la pose d’un implant.

Chirurgiens dentistes

Les chirurgiens dentistes peuvent utiliser Emdogain de différentes façons pour améliorer la réussite de leurs procédures chirurgicales :

  • Son application peut se faire pendant des procédures, telles qu’une pose d’implant, une augmentation osseuse, une extraction de dent, une chirurgie gingivale ou parodontale. Ce gel unique contient des protéines naturelles spécifiques qui stimulent les cellules et les processus biologiques essentiels à la cicatrisation des plaies.
  • Emdogain® peut être utilisé pour le traitement d’une cavité sèche et d’autres complications postopératoires, même si le traitement est initié après la survenue de la complication. Tout cela fait d’Emdogain® un outil précieux pour le traitement et la mitigation des risques et complications postopératoires.
  • Emdogain® a été démontré stimuler la formation de vaisseaux sanguins, qui améliore la cicatrisation des plaies et permet d’optimiser les résultats des procédures chirurgicales, conduisant à une plus grande satisfaction des patients.

De plus amples informations et références sont disponibles dans le mode d’emploi et la brochure d’Emdogain.