FREE DOWNLOAD

12 Clinical Cases with
Zi Ceramic Implant System

Discover aesthetics, versatility, and ​predictability of Neodent® Zi in clinical practice.​
In this Clinical Casebook, you will have access to cases from Italy, Spain, Chile, Netherlands, Germany, and Brazil executed by great implantology professionals, and you will uncover how they have brought smiles back to their patients.​

DOWNLOAD THE CLINICAL CASEBOOK NOW BY FILLING IN THE FORM


What you will find in this Clinical Casebook

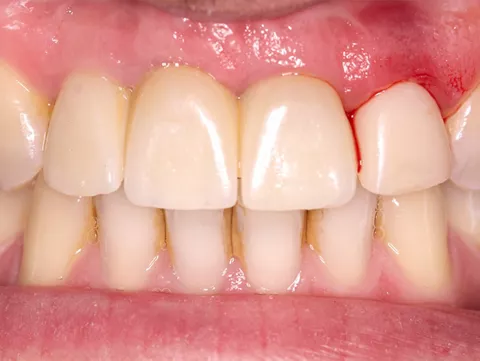
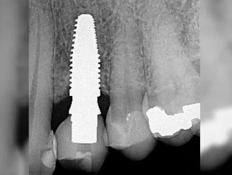
A successful 3-year follow-up of the 

Neodent® Zi Ceramic Implant System​

“With proper planning and the use of Neodent® Zi, it was possible to restore immediate loading with acceptable aesthetics. The conical macro geometry of the ceramic implant improves immediate loading in this case. The use of a metal-free crown increases the achievement of the aesthetic result.”
DR. GENINHO THOMÉ

Discover a new mindset

Aesthetic treatments with shorter duration time, the Neodent® Zi Ceramic Implant System combines flexibility, stability, and aesthetics.

A New Flexibility Mindset

by providing solutions for each demanding indication

A New Stability Mindset

with a system designed for immediate loading and stable osseointegration

A New Aesthetic Mindset

that achieves patient expectations by offering a comprehensive esthetic solution​

Download the Clinical Casebook to
check out how reliable and stable is​ the 
Zi Ceramic Implant System.

Renowned dentists

Check out the renowned dentists that have already used the 
Neodent® Zi Ceramic Implant System in their daily clinical practice​