Straumann® PURE Ceramic Implant Monotype

Single crown restoration in the esthetic zone

A clinical case report by Juan Blanco Carrión and Leticia Caneiro, Spain

In this case study, the Straumann® PURE Ceramic Implant Monotype was successfully used to rehabilitate a single tooth loss in the esthetic zone. This implant has proved to be a good treatment option in patients with missing teeth in the anterior region and with exacting esthetic demands, as well as the ideal choice for patients who refuse to accept metal implants.

Author: Juan Blanco Carrión

Dr. Juan Blanco Carrión
DDS, MBBS

Dr. Juan Blanco Carrión is the Director of Clínica Blanco Ramos and a Professor in the Department of Stomatology at Universidade de Santiago de Compostela Facultade de Medicina e Odontoloxía. MBBS Degree, DDS Degree from Universidade de Santiago de Compostela Facultade de Medicina e Odontoloxía, where he also completed his Postgraduate training in Stomatology. Masters Degree from Universidad Complutense de Madrid Facultad de Odontología. President of the Iberia Section of the International Team for Implantology and a member of the European Federation of Periodontology and the Sociedad Española de Periodoncia y Osteointegración. Member of the Editorial Boards of the journals Dental Press Implantology and El Dentista. Clinical research interests: implant-supported dental prosthesis, endosseous dental implantation, dental implants, alveolar ridge augmentation, alveolar bone loss, dental prosthesis design, osseointegration, alveolar atrophy.

Initial situation

The patient was a 33-year-old female and her main request was to replace the missing tooth. Intra-oral examination revealed the absence of the upper right lateral incisor (#12) (Fig. 1). On the patient's first visit, a complete medical history was taken and a periapical radiograph of the area recorded (Fig. 2).

Treatment planning

After studying the case with a CBCT scan (Fig. 3), which showed an available bone width of 5.70 mm, the decision was made to place a Straumann® PURE Ceramic Implant Monotype, 3.3mm in diameter and 10 mm long, in the upper right lateral incisor position. Due to the patient´s esthetic demands, immediate loading was planned to start 3 days after implant placement. In addition, models were taken for radiographic and surgical template (Fig. 4) fabrication by the laboratory in order to perform a scan prior to implant placement.

Surgical procedure

The patient was anesthetized and an incision was made in the middle of the crest in the edentulous area, followed by a sulcular incision at the adjacent teeth and a releasing incision distal to the canine tooth (Figs. 5-6); a full thickness flap was raised and the width of keratinized gingiva was measured (3 mm).

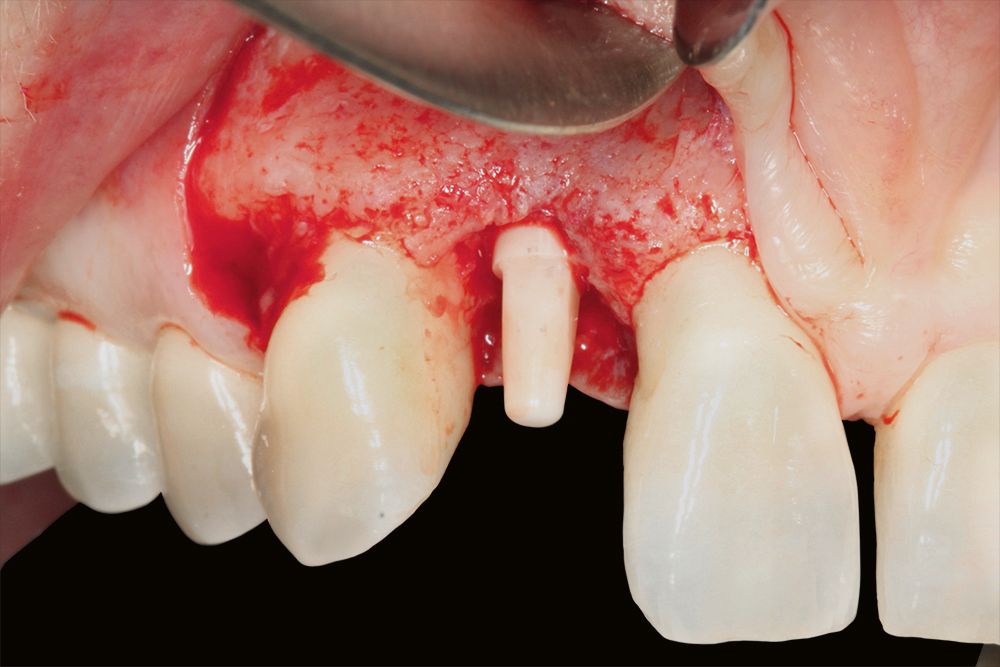
Subsequently, peri-implant bed drilling was carried out, following the manufacturer´s specific drilling sequence, until the use of the 2.8 mm diameter drill, the right moment to check the three-dimensional position of the implant with the position indicator, 5.5mm abutment height (Fig. 7). Next, the implant was placed (Figs. 8-9) with an insertion torque of 30 Ncm. Finally, it was fixed with simple sutures, and a protective cap (PEEK) was placed on the abutment. 

Prosthetic procedure

On the same day as the surgery, the impression was taken with a closed-tray impression post using polyether as the impression material. A provisional crown, placed 3 days after implant placement, was left in the mouth for 8 weeks (Fig. 10), when a new impression was taken with a closed-tray impression post, but this time individualizing the emergence profile obtained with the provisional. At 10 weeks, the zirconium structure test was performed. Finally, at 12 weeks, the final zirconia crown was placed (Fig. 11) followed by a periapical radiograph (Fig. 12).

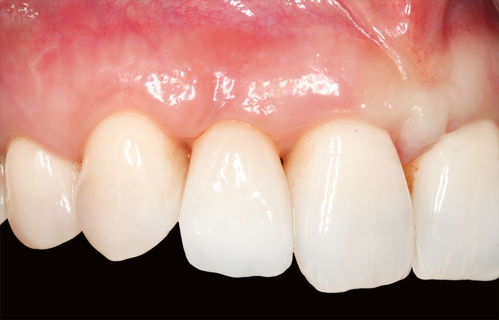
Final result

Figure 13 shows the soft tissue condition before the final crown was placed, while figures 14, 15 and 16 show the final result at the moment when the final crown was cemented and the outcome after 3 and 6 months, respectively.

Conclusion

Ceramic implants have proved to be a good treatment option in patients with missing teeth in the maxillary anterior region with exacting esthetic demands, as well as the ideal choice for patients who dislike metal implants.