#Effizienz 22.10.2018

Hochpotente Ersatzmaterialien für Knochen und Weichgewebe

Augmentationen mit allogenem Knochen sowie der Einsatz von Ersatzmaterialien für die Weichgewebsregeneration nehmen in der Implantologie und bei plastisch-parodontalen Eingriffen einen immer höheren Stellenwert ein. Welches Ersatzmaterial am besten geeignet ist, hängt von der Indikation und den individuellen Wünschen von Patient und Chirurg ab. Im Gespräch mit Dr. Aneta Pecanov-Schröder erläutert Privatdozent Dr. Arndt Happe, Münster, was den erfahrenen Fachzahnarzt für Oralchirurgie und Virtuosen im Bereich Frontzahnästhetik und Weichgewebe an natürlichen, allogenen Knochenpräparationen sowie an xenogenen 3D-Kollagenmatrices als Alternative zur Entnahme von körpereigenem Gewebe überzeugt.

Die Ergebnisse beim allogenen partikulären Knochenersatzmaterial maxgraft Granula sind vergleichbar mit autologem Knochen, ich bin total begeistert“, bringt es der renommierte Implantologe auf den Punkt. Seit Mitte der 1990er Jahre führt PD Dr. Arndt Happe Knochenaugmentationen durch. Nach wie vor ist autologer Knochen klar der Goldstandard, doch „wer mit allogenen Materialien gearbeitet hat“, so Happe, „weiß, dass sie sich fast wie autologer Knochen verhalten.“ Allogene Materialien, also Transplantate, bei denen Spender und Empfänger der gleichen Spezies angehören, weisen primär osteokonduktive Eigenschaften auf, zeigen ideales, kontrolliertes Resorptionsverhalten und ideale Volumenstabilität. [8,9,13,16,18]

Funktioniert auch bei Defekten mit vertikaler Komponente
Besonders „die deutlich bessere Knochenregeneration und das breitere Indikationsspektrum“ überzeugen den erfahrenen Oralchirurgen an Allografts gegenüber xenogenen Materialien, also Knochenersatzmaterialien (KEM), bei denen Spender und Empfänger nicht der gleichen Spezies angehören, sondern das KEM tierischen Ursprungs ist. „Während xenogene Materialien eher bei einfachen Indikationen, wie laterale Augmentationen innerhalb der Kieferkammgeometrie, gut funktionieren“, bemerkt Dr. Happe, „und bei dreidimensionalen Augmentationen ihre Limitationen haben, funktionieren allogene Materialien auch sehr gut bei komplexeren Defekten mit vertikaler Komponente.“ 

Es kommen Vorteile hinzu, die auch der Patient sehr zu schätzen weiß, denn sie ermöglichen es, „Eingriffe für Patienten weniger invasiv zu gestalten.“ Dabei entfällt nicht nur der Entnahme-Eingriff, sondern auch die mit der Transplantatentnahme einhergehende Morbidität und Schmerzpotenzial. Die Operationszeit ist verkürzt und in der Regel entfallen Komplikationen wie Wundheilungsstörungen und Narbenbildung. Außerdem sind allogene Materialien im Gegensatz zu autologen quasi unlimitiert verfügbar, klare Vorteile im Vergleich zu autologen Transplantaten. 

Seit rund sechs Jahren setzt PD Dr. Arndt Happe bevorzugt maxgraft® Granulat ein, „weil es sich dabei um eine Mischung aus spongiösem und kortikalem Knochen handelt und das Material dadurch besonders volumenstabil ist.“ Die hervorragenden osteokonduktiven Eigenschaften allogener Granulate, die darauf zurückzuführen sind, dass sie humanes Kollagen enthalten, ermöglichen eine schnelle Regeneration des vitalen Knochens und theoretisch ein vollständiges Remodeling. Durch Vermischen mit autogenen Knochenspänen kann die Osteoneogenese stimuliert und  beschleunigt werden [6]. Studien weisen darauf hin, dass die zusätzliche Verwendung von Emdogain die Wundheilung unterstützen kann [5,10]. Das allogene maxgraft® Granulat wird zu 100 Prozent aus humanem Knochengewebe von Lebendspendern hergestellt, das von der Cells and Tissue Bank Austria (C+TBA) unter pharmazeutischen Bedingungen prozessiert wird. „Für die Patienten macht es einen großen Unterschied, ob das Material von lebenden Spendern kommt oder nicht“, spricht Dr. Happe eine Erfahrung aus der Praxis an. „Natürlich ist das Thema emotional besetzt.“ [14]

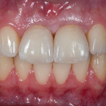
Klinischer Fall maxgraft® Granula (Abb. 1-7)

Ersatzmaterialien für Weichgewebe
Neben dem Hartgewebsmanagement und der Osseointegration gehört das Weichgewebsmanagement zu den Erfolgsfaktoren in der Implantologie und Parodontalchirurgie. Als Goldstandard für die vorhersagbare Regeneration von Weichgewebsdefekten und bei der Weichgewebsverdickung gelten in der Regel meist palatinal gewonnene freie Schleimhauttransplantate oder subepitheliale Bindegewebstransplantate. Mit Biomaterialien wie der xenogenen 3D-Kollagenmatrix mucoderm® lassen sich die Nachteile, die mit der Gewinnung von autologem Gewebe verbunden sind, überwinden: Es entfallen Entnahme-Eingriffe, Schmerzen und postoperative Morbidität sind reduziert (Happe: „Die Patienten finden es natürlich gut, dass sie einen Entnahmebereich am Gaumen vermeiden können.“) und darüber hinaus ist das Material quasi unlimitiert verfügbar [2,20]. Sie punkten also mit Vorteilen, die im Zusammenhang mit Allografts ebenso beschrieben werden.

„Vor allem als Bindegewebsersatz bei Sofortimplantation“, verwendet Dr. Happe die regenerative Kollagenmatrix mucoderm®. „Aber auch allgemein zur Verdickung von Gingiva oder Mukosa, zum Beispiel zur routinemäßigen Verdickung der Mukosa um Implantate bei der Implantation oder Freilegung und bei koronalen Verschiebelappen in der Parodontalchirurgie.“ Dabei handelt es sich um eine aus porciner Dermis gewonnene, dreidimensionale Matrix, die aus einem Gerüst aus Typ I und III Kollagen besteht, das strukturell humanem Bindegewebe stark ähnelt. Die dermale Matrix stellt ein Leitgerüst dar, auf dem körpereigene Zellen neues Zahnfleisch bilden können. Die hohe interkonnektierende Porosität und native Kollagenstruktur dient als exzellente Leitschiene für einwachsende Blutgefäße und Zellen. So wird eine schnelle Revaskularisation und Gewebeintegration unterstützt [11].

Bei einer Studie im Tiermodell zeigte mucoderm® nach zwei Wochen bereits ein ausgeprägtes Einwachsen von Blutgefäßen in die Matrix sowie eine entzündungsfreie Einheilung mit oberflächlicher Zellinvasion. Es folgt eine kontinuierliche Degradation der Matrix und nach zwölf Wochen ist mucoderm® nahezu vollständig durch neugebildetes Bindegewebe ersetzt (Remodeling und entzündungsfreies Bindegewebe) [15]. Einen zusätzlichen Vorteil sieht der Implantologe und Parodontologe bei der Verwendung der Matrix im Vergleich zum autologen Transplantat darin, dass hier reines Kollagen ohne Fett und Drüsengewebe eingesetzt wird. „Das Bindegewebstransplantat (BGT) enthält immer in Teilen auch Fett- und Drüsengewebe.“ Außerdem haben Patienten, „die eine Verdickung des periimplantären Weichgewebes benötigen, einen dünnen parodontalen Morphotyp und damit auch am Gaumen wenige Gewebe zur Entnahme. Denn die Dicke des Gewebes korreliert mit dem Morphotyp“, stellt der Kliniker fest [7,19].

In einer von Dr. Happe geleiteten aktuell laufenden Untersuchung zum Thema „Weichgewebsverdickung bei Sofortimplantation mit mucoderm®“ zeigt sich, dass die Kollagenmatrix in der Regel sehr komplikationslos einheilt. „In vielen Fällen war es möglich, einen Zahn mit einem Sofortimplantat zu ersetzen und ausschließlich mit Hilfe von Ersatzmaterial für Knochen und Weichgewebe sehr schöne Ergebnisse zu erzielen“, fasst Dr. Happe erste Ergebnisse zusammen. „Jetzt sind wir dabei, Volumenveränderungen zu untersuchen. Klinisch zeigen sowohl die Gruppe mit dem BGT sowie die mit der Kollagenmatrix behandelte Gruppe vergleichbare Ergebnisse.“ Diese ersten Studienergebnisse decken sich mit anderen Untersuchungen [1,16]. Bei Dr. Happes  Untersuchungen wurde in der Regel das Ersatzmaterial weitgehend mit Schleimhaut bedeckt. „Das BGT punktet bei Indikationen, bei denen es exponiert ist.“ Muss sehr viel Volumen aufgebaut werden, „geht das erfahrungsgemäß mit dem kollagenreichen Gewebe aus der Tuber-Region besonders gut“, gibt der erfahrene Kliniker weiter. Eine offene Einheilung der Matrix hält Dr. Happe bei der Sofortimplantation für vertretbar. „Hierbei beobachten wir keine Probleme, vermutlich weil die Matrix noch innerhalb der Alveole und nicht außerhalb der Kieferkammgeometrie liegt.“ 

Klinischer Fall mucoderm® (Abb. 8-12)

Klinisches Vorgehen bei Einsatz der 3D-Kollagenmatrix 
Vor der Anwendung sollte mucoderm rehydriert werden, dafür wird sie in der Praxis Dr. Happe mindestens „fünf Minuten in sterile physiologische Kochsalzlösung gegeben“. Mit steigender Rehydrierungszeit (bis zu 20 Minuten) nimmt die Flexibilität der Matrix zu [3]. Anschließend kann die Größe der reißfesten Matrix mit Hilfe einer Schere oder eines Skalpells unter sterilen Bedingungen an die spezifische Situation angepasst werden.

Nach der Anwendung sollte mucoderm® stabilisiert werden, um Mikrobewegungen zu  verhindern und eine ungestörte Einheilung zu gewährleisten. „In der plastischen Parodontalchirurgie kommen häufig tunnelierende Techniken zur Anwendung“, greift der Oralchirurg ein Beispiel aus der Praxis heraus und erläutert: „Bei der Sofortimplantation wird das bukkale Weichgewebe unterminiert und die Matrix in den Tunnel gegeben. Es reichen dann zwei mikrochirurgische Nähte, um das Transplantat zu fixieren.“

Für die postoperative Nachsorge und für ein nachhaltiges Ergebnis ist mit entscheidend, dass jegliches mechanisches Trauma der behandelten Stelle vermieden wird. „Meine Patienten instruiere ich, nur weiche Kost zu sich zu nehmen und den Bereich für zwei Wochen nicht zu putzen.“ Zur Plaqueprävention sollte zweimal täglich mit einer 0,2%igen Chlorhexidinlösung gespült werden [11,12].

Fazit für die Praxis
Ersatzmaterialien sind eine potente Alternative, um vorhersagbare Ergebnisse zu erzielen, die mit einer verbesserten Ästhetik und einer höheren Patientenzufriedenheit einhergehen. Allogenes Knochenersatzmaterial in partikulierter Form wie maxgraft® Granula überzeugt mit hoher knochenbildender Potenz und klinischen Ergebnissen, die autologem Knochen in nichts nachstehen, zeigt sich Privatdozent Dr. Happe begeistert. Hinzu kommen patientenorientierte Vorteile, denn der Entnahme-Eingriff und damit einhergehende potenzielle Komplikationen entfallen. Darüber hinaus haben sie das breitere Indikationsspektrum und eignen sich auch bei Defekten mit vertikaler Komponente.

„Ähnlich wie bei den Knochenersatzmaterialien gibt es bei Ersatzmaterialien für die Weichgewebsregeneration wie die 3D-Kollagenmatrix mucoderm® Unterschiede in der Effektivität respektive der klinischen Performance zwischen autologem (BGT) und Ersatzmaterial. Wenn es darum geht, wie viel Verdickung im Vergleich erzielt wird, ist der Unterschied gar nicht so groß“, erläutert Dr. Happe und ergänzt: „Um eine gute Revaskularisierung der mucoderm® zu gewährleisten, muss eine ausreichende Rehydrierung gewährleistet werden, darüber hinaus muss das Transplantat stabilisiert werden und zu etwa 90 Prozent gedeckt sein.“ Halten sich Kliniker an das empfohlene Protokoll unterstützt die 3D-Kollagenmatrix eine frühe Revaskularisierung und gute Integration in das umliegende Gewebe. Das führt zu einem erfolgreichen ästhetischen  Ergebnis und ist mit weniger Schmerzen und Beschwerden für Patienten verbunden, denn die „Patienten finden es natürlich gut, dass sie einen Entnahmebereich am Gaumen vermeiden können.“

Literatur

1)     Cairo F, Barbato L, Tonelli P, Batalocco G, Pagavino G, Nieri M. Xenogeneic collagen matrix versus connective tissue graft for buccal soft tissue augmentation at implant site. A randomized, controlled clinical trial. Journal of Clinical Periodontology 2017;44:769-776.

2)    Griffin TJ, Cheung WS, Zavras AI, Damoulis PD. Postoperative complications following gingival augmentation procedures. J Periodontol. 2006 Dec;77(12):2070-9.

3)    Kasaj A, Levin L, Stratul SI, Götz H, Schlee M, Rütters CB, Konerding MA, Ackermann M, Willershausen B, Pabst AM.The influence of various rehydration protocols on biomechanical properties of different acellular tissue matrices. Clin Oral Invest. 2015.

4)    Khoury F, Happe A.: Zur Diagnostik und Methodik von intraoralen Knochenentnahmen. Klinische Studie über mehr als 1500 intraoralen Knochenentnahmen. Z Zahnärztl Implantol. 1999 Mar;15(3):167-76.

5)    Miron RJ, Dard M, Weinreb M. Enamel matrix derivative, inflammation and soft tissue wound healing. J Periodontal Res. 2015;50(5):555-569. doi:10.1111/jre.12245.

6)    Monje A, O’Valle F, Monje-Gil F, et al. Cellular, Vascular, and Histomorphometric Outcomes of Solvent-Dehydrated vs Freeze-Dried Allogeneic Graft for Maxillary Sinus Augmentation: A Randomized Case Series. Int J Oral Maxillofac Implants. 2017;32(1):121-127. doi:10.11607/jomi.4801.

7)    Monnet-Corti V, Santini A, Glise JM, et al. Connective tissue graft for gingival recession treatment: assessment of the maximum graft dimensions at the palatal vault as a donor site. J Periodontol. 2006;77(5):899-902

8)    Nevins M, Mellonig JT, Clem DS, Reiser GM, Buser D: Implants in Regenerated Bone: Long-Term Survival.1998 The International Journal of Periodontics & Restorative Dentistry 18 (1) (February): 34–45.

9)    Nissan J, Vered M, Gross O, Mardinger O, Chaushu G: Histomorphometric Analysis Following Augmentation of the Posterior Mandible Using Cancellous Bone-Block Allograft. 2011 Journal of Biomedical Materials Research. Part A 97 (4) (June 15): 509–13. doi:10.1002/jbm.a.33096.

10)  Ogihara S, Tarnow DP.: Efficacy of enamel matrix derivative with freeze-dried bone allograft or demineralized freeze-dried bone allograft in intrabony defects: a randomized trial. J Periodontol. 2014 Oct;85(10):1351-60. doi: 10.1902/jop.2014.130520. Epub 2014 Mar 24.

11)   Pabst AM, Happe A, Callaway A, Ziebart T, Stratul SI, Ackermann M, Konerding MA, Willershausen B, Kasaj A. In vitro and in vivo characterization of porcine acellular dermal matrix for gingival augmentation procedures. Periodont Res. 2014, 49(3): 37-81

12)  Papi P1, Pompa G1.: The Use of a Novel Porcine Derived Acellular Dermal Matrix (Mucoderm) in Peri-Implant Soft Tissue Augmentation: Preliminary Results of a Prospective Pilot Cohort Study. Biomed Res Int. 2018 Jul 9;2018:6406051. doi: 10.1155/2018/6406051. eCollection 2018.

13)  Pecanov-Schröder A: Allogener Knochen nimmt in der Praxis einen immer höheren Stellenwert ein. Die ZahnarztWoche 11/2017, Seite 19-21

14)  Pecanov-Schröder. A: Allogene Transplantate: sicher wie Arzneimittel. 2017  Implantologie Journal 12, 58-61.

15)  Rothamel D1, Benner M, Fienitz T, Happe A, Kreppel M, Nickenig HJ, Zöller JE.: Biodegradation pattern and tissue integration of native and cross-linked porcine collagen soft tissue augmentation matrices - an experimental study in the rat. Head Face Med. 2014 Mar 27;10:10. doi: 10.1186/1746-160X-10-10.

16)  Schlee M,  Dehner JF, Baukloh K, Happe A, Seitz O, Sader R.: Esthetic Outcome of Implant-Based Reconstructions in Augmented Bone: Comparison of Autologous and Allogeneic Bone Block Grafting with the Pink Esthetic Score (PES).” 2014 Head & Face Medicine 10 (1) (May 28): 21. doi:10.1186/1746-160X-10-21.

17)  Schmitt CM1, Matta RE2, Moest T1, Humann J1, Gammel L1, Neukam FW1, Schlegel KA1.: Soft tissue volume alterations after connective tissue grafting at teeth: the subepithelial autologous connective tissue graft versus a porcine collagen matrix - a pre-clinical volumetric analysis. J Clin Periodontol. 2016 Jul;43(7):609-17. doi: 10.1111/jcpe.12547. Epub 2016 May 19.

18)  Smeets R, Hanken H, Beck-Broichsitter B, Gröbe A, Precht C, Heiland M, Jung O: Knochenersatzmaterialien. Übersicht und aktuelle Empfehlungen. Der MKG-Chirurg 1 (2016): 2-11.

19)  Studor SP, Allen EP, Rees TC, Kouba A. The thickness of masticatory mucosa in the human hard palate and tuberosity as potential donor sites for ridge augmentation procedures. J Periodontol. 1997;68(2):145-151.

20) Wessel JR, Tatakis DN. Patient outcomes following subepithelial connective tissue graft and free gingival graft procedures. J Periodontol. 2008 Mar;79(3):425-30.