#Sofortversorgung 27.10.2022

Sofortimplantation - Sofortversorgung - Sofortbelastung

Immediacy Konzepte für die Praxis

Immediacy-Konzepte sind heute - im wahrsten Sinne des Wortes - in aller Munde. Die Bandbreite reicht von der Sofortimplantation über die Sofortversorgung bis hin zur Sofortbelastung. Die Versorgungsarten können frei miteinander kombiniert werden, haben jedoch jede für sich unterschiedliche Aspekte und Anforderungen. Dennoch vereint die grundsätzliche Herangehensweise das "Sofort" - im Englischen etwas geschmeidiger mit "Immediacy" bezeichnet. Auf den gesamten Patienten übertragen, spricht man von frühfunktioneller Versorgung und Belastung. In der chirurgischen Orthopädie wird die frühfunktionelle Belastung beim Ersatz von Gelenken durch Totalendoprothesen - z.B. künstliche Hüftgelenke, künstliche Knie - bereits seit vielen Jahren erfolgreich angewendet. Der Vorteil ist der ideale Erhalt der Gewebe, die nach langer Immobilisierung erst wieder mühevoll aufgebaut werden müssten. Die frühe Funktion und die damit verbundene frühe Bewegungsfähigkeit der Patienten ist aber auch für die Lebensqualität während der Heilphase ein unschätzbarer und psychosozial wichtiger Pluspunkt.

Was steckt aber nun hinter den einzelnen Immediacy-Konzepten? Eine kurze Begriffsbestimmung zeigt den jeweiligen Fokus: Als Sofortimplantation bezeichnet man die Insertion eines Implantates direkt nach Entfernung eines Zahnes. Das Implantat wird in die frische Extraktionsalveole gesetzt. Eine exakte chirurgische Planung anhand einer hoch auflösenden radiologischen 3D-Darstellung ist ein essentieller Schritt, um sicher zu gehen, dass ausreichend Knochenangebot vorhanden ist, um das Implantat in der Tiefe der Alveole mit ausreichend Primärstabilität zu inserieren.

Der zweite Aspekt ist die möglichst schonende Entfernung des Zahnes. Der entsprechende Zahn sollte ohne oder nur mit minimalem Trauma des umgebenden Knochens und der umgebenden Weichgewebe entfernt werden. Sind beide Voraussetzungen erfüllt - ausreichend apikales Knochenangebot und unversehrtes Gewebe - kann eine Sofortimplantation sowohl in der Front wie auch im Seitenzahnbereich erwogen werden. Präzise ausgedrückt, sagt der Begriff noch nichts über die Art der Einheilung aus. Von der belastungsfreien Einheilung über die Teilbelastung bis hin zur Vollbelastung ist je nach Konzept und Stabilität des Implantates alles möglich.

Als weitere Begriffe aus dem Immediacy-Universum kommen damit die unterschiedlichen Belastungs- und Einheilungskonzepte ins Spiel. Grundsätzlich kann differenziert werden zwischen Sofortversorgung und Sofortbelastung. Eine gängige Einteilung definiert die Sofortversorgung eines Implantates als das "Eingliedern von Zahnersatz ohne Okklusionskontakt" in einem Zeitfenster von bis zu 48 Stunden nach Implantation (1). Die Interpretation und klinische Ausgestaltung von Zahnersatz ohne Okklusionskontakt lässt für dieses Konzept eine breite Spanne offen: vom individualisierten Healingabutment mit ausgeformtem Emergenzprofil bis zu voll ausdifferenzierten provisorischen Kronen. Gemeinsam ist all diesen Unterformen immer, dass kein statischer oder dynamischer Okklusionskontakt auftritt. Dennoch - und das ist ein wesentlicher Aspekt und Unterschied zur transgingivalen Einheilung mittels Einheilkappen - werden relevant hohe mastikatorische Belastungen über die Prothetik auf das Implantat übertragen.

Als Königsdisziplin ist die Sofortbelastung zu nennen. Die plausible und klinisch nachvollziehbare Definition lautet: "Eingliedern von Zahnersatz mit Okklusionskontakt". Das Zeitfenster wird wieder mit bis zu 48 Stunden nach Implantatinsertion angegeben (1). Bei dieser Art der prothetischen Implantatversorgung hat die sofort eingegliederte provisorische Krone oder Brücke bereits annähernd die geplante, finale Form. Das Implantat muss von Beginn an nicht nur dem Kaudruck, sondern auch allen funktionell auftretenden Kontaktbelastungen gewachsen sein.

Primärstabilität des Implantats

Aus den beschriebenen Immediacy-Konzepten ergeben sich notwendige Grundvoraussetzungen und implantologische Prinzipien, die für eine erfolgreiche Umsetzung in der täglichen Praxis wesentlich sind. Als wichtigstes Prinzip ist die Primärstabilität des Implantates zu nennen. Zu geringe Primärstabilität des Implantates führt zu signifikant höheren Verlustraten sofort versorgter oder sofort belasteter Implantate (2). Obwohl es keinen wissenschaftlich klaren Grenzwert der Eindrehkraft für eine Sofortversorgung von Implantaten gibt, hat sich im klinischen Gebrauch eine Marke von 30 Ncm als Mindesteindrehkraft (insertion torque, IT-Wert) für eine Sofortversorgung oder Sofortbelastung als praktikabel und verlässlich herauskristallisiert (3). Mit der Ratsche oder dem Torque gemessene Eindrehkräfte korrespondieren gut mit entsprechenden ISQ Werten von 60 oder höher (Implantatstabilitätsquotient - ultraschallbasierte Messwerte der Mikrobeweglichkeit) (4). Im Rahmen von Immediacy-Konzepten werden aber durchaus auch Eindrehkräfte von > 50 Ncm erreicht und bewusst herbeigeführt, um die Belastungen des Implantates in der ersten Einheilphase sicher abzufangen. Die immer wieder in diesem Zusammenhang geäußerte Sorge um erhöhte Knochenresorption durch die hohe Kraftausübung durch das Implantat insbesondere im krestalen Bereich scheint unbegründet. Verschiedene Studien konnten zeigen, dass auch bei Eindrehkräften jenseits der 50 Ncm keine vermehrte Resorption des periimplantären Knochens auftritt (5, 6). Einen wesentlichen Anteil hieran hat sicher das besondere Design moderner Sofortimplantatlinien. Spezifische Kennzeichen sind insbesondere das progressive, weit ausladende Gewinde insbesondere im apikalen Bereich. Dies wird ergänzt durch ein geringer ausgeprägtes, sanfteres Gewinde mit parallelen Implantatwänden im krestalen Implantatbereich. So wird eine sehr hohe Verankerungsstabilität im apikalen Knochen erreicht. Gleichzeitig wird der Druck auf den krestalen Knochen deutlich reduziert (vgl. Abb. 8).

Sofortimplantation und -belastung

Damit wird auch verständlich, warum eine Sofortimplantation in der frischen Extraktionsalveole gut funktioniert - immer unter der Voraussetzung von ausreichendem und stabilem Knochenangebot im apikalen Kieferkammbereich. Für den Frontzahnbereich gibt es die SRPC, die "sagital root position classification", die am radiologischen Bild bereits einen Anhalt dafür bietet, ob eine Sofortimplantation möglich ist oder nicht. Hierbei ist das Knochenangebot im palatinalen oder lingualen Bereich des Apex entscheidend (7).

In Zusammenhang mit der Implantation in eine frische Alveole ist zu beachten, dass nicht wenige Zähne, die zur Extraktion anstehen, apikale, entzündliche Veränderungen bereithalten. Zysten- oder Entzündungsgewebe müssen vor einer Implantation gründlich mechanisch entfernt werden. Zudem bietet sich an, die Alveole mit Keim reduzierenden Lösungen zu spülen. Unter diesen Voraussetzungen sind die wissenschaftlichen Daten zu diesem Thema eindeutig: Es gibt keine erhöhte Verlustrate gegenüber apikal nicht veränderten Alveolen. In akut infizierte, putride Bereiche sollte man natürlich kein Implantat setzen. Hier ist es zwingend notwendig, die Abheilung nach Entfernung des Zahnes abzuwarten und zweizeitig vorzugehen (8, 9).

Die Anwendungsbreite für Sofortbelastungen ist groß: Sie reicht von der Einzelzahnversorgung über Brücken, bis hin zu Full-Arch-Versorgungen, bei der mit 4-6 sofort belasteten Implantaten ein zahnloser Kiefer am selben Tag mit einer fest verschraubten Prothetik versorgt werden kann (10). Auf diese Weise gewinnen Patienten in großem Maße an Lebensqualität schon während der Einheilphase der Implantate. Eine exakte Evaluation der chirurgischen Voraussetzungen, eine kluge Auswahl des Patientengutes und die richtige Wahl des verwendeten Materials sind - wie bei jeder Behandlung - wesentliche Voraussetzungen für den Erfolg von Immediacy-Konzepten.

Fallbeispiel

Der 40-jährige, gesunde Patient wurde uns durch seinen Hauszahnarzt mit einer seit mehreren Jahren bestehenden Lücke regio 36 vorgestellt (Abb. 1, 2). Die Nachbarzähne zeigten sich gesund bzw. mit stabilen zahnärztlichen Restaurationen. Trotz der langen Wartephase nach Zahnverlust durch einen progredienten, endodontischen Prozess, war die Schaltlücke ohne Kippung der Nachbarzähne frei und mit der Gegenbezahnung stabil abgestützt. Die Sondierungstiefen der Bezahnung lag in Ober- wie Unterkiefer bei 2 mm (2-Punkt-Messung). Das Weichgewebe in der Lücke zeigte einen ca. 6 mm breiten Saum der attached Gingiva. 

Abb. 1: Unterkiefer von okklusal - Schaltlücke regio 36

Die 2-dimensionale radiologische Voruntersuchung durch den Hauszahnarzt ergab eine auf den ersten Blick ausreichende ossäre Basis, sodass als Planung eine implantologische Versorgung der Schaltlücke vorgesehen wurde - entsprechend dem Wunsch des Patienten (Abb. 3).

Abb. 2: Unterkiefer von vestibulär - Schaltlücke regio 36

Abb.3 a: Präoperative radiologische Darstellung der Schaltlücke 36

Abb. 3 b: Präoperatives DVT - horizontaler Querschnitt durch regio 36 mit Darstellung der Knochendimension und der Lage des Canalis des N. alveolaris inferior)

Planung & Vorbereitung

Im ersten Schritt erfolgte nach der klinischen Untersuchung die radiologische 3D-Analyse der ossären Basis des Unterkiefers. Hierbei zeigte sich mit einer krestalen Kieferkammbreite von 8,7 mm und einer Kieferkammhöhe über dem Nervus alveolaris inferior von 16 mm - deutlich ausreichend für eine stabile Implantatinsertion (Planmeca, G5). Im nächsten Schritt erfolgte die digitale Abformung von Unterkiefer, Oberkiefer und Okklusion (Trios 3, 3shape). Nach dem Matching von DVT- und Scandaten durch den Zahntechniker erfolgte die exakte, digitale Positionierung des Implantates nach prothetischen und chirurgischen Gesichtspunkten. Hierbei zeigte sich, dass der ossäre Unterschnitt im Bereich des Überganges vom Kieferkamm zur Mundbodenmuskulatur problemlos umgangen werden kann. Die prothetische Implantatposition zeigte sich chirurgisch gut umsetzbar. Entsprechend erfolgte die Entscheidung für ein Sofortbelastungskonzept, um den Patienten direkt wieder in Funktion und Ästhetik zu setzen. Das Vorgehen wurde dem Patienten im Sinne einer schriftlichen Aufklärung dargelegt. Mit dem prothetisch spezialisierten Hauszahnarzt des Patienten wurden die Behandlungsschritte detailliert abgesprochen.

Chirurgische Umsetzung

In Vorbereitung der Operation erfolgte die Lokalanästhesie im Sinne einer Infiltrationsanästhesie regio 45-47 vestibulär und lingual sowie zusätzlich eine Leitungsanästhesie des Nervus alveolaris inferior im 4. Quadranten. Nach ausreichender lokaler Schleimhautantiseptik wurde die Schnittführung auf dem zahnlosen Kieferkamm regio 46 von distal 45 bis mesial 47 gesetzt (Abb. 5). Mit dem feinen Raspatorium wurde der ossäre Kamm frei gelegt und von restlichen anhaftenden Bindegewebszügen befreit. Der Kamm zeigte sich durch die längere Phase nach Zahnentfernung gut nivelliert, so dass auf eine Glättung mit der rotierenden Kugel verzichtet werden konnte (Abb. 6). Die Bohrschablone mit einer Führungshülse von 2,2 mm Durchmesser wurde eingesetzt. Die Vorbohrung (Nadelbohrer Ø 1,6 mm) sowie die erste Bohrung mit dem 2,2-Velodrill Pilotbohrer wurden schablonengeführt exakt nach digitaler Vorplanung auf volle Implantatlänge vorgenommen. Die weitere Aufbereitung erfolgte ad modum (Straumann TLX), wobei bewusst ein Undersizing-Protokoll verwendet wurde, um ausreichende Primärstabilität zu gewähren. Hierbei erfolgten die Bohrungen aufsteigenden Durchmessers nicht mehr bis zur vollen Implantatlänge, sondern nur noch abgestuft zu 2/3, 1/2, 1/3, wobei die letzte Bohrung etwa 0.3 mm geringer als der geplante Implantatdurchmesser lediglich den krestalen Zugang durch die Kortikalis erweiterte (Abb. 7). 

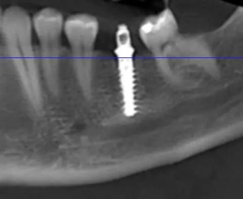
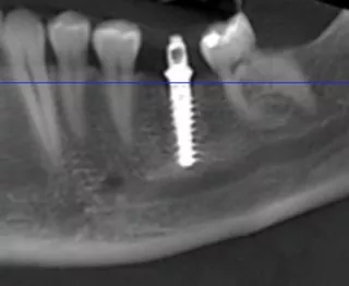
Anschließend erfolgte die Insertion des Implantates (Straumann TLX, 4.5x12 mm) mit dem Motor Implantmed (W&H) mit einer vordefinierten Eindrehkraft von 50 Ncm (Abb. 8). Die letzten 3 Gewindegänge wurden mit der Handratsche eingedreht, um die notwendige Primärstabilität mit hoher händischer Taktilität zu prüfen (Abb. 9). Die vertikale Implantatposition wurde so gewählt, dass der aufgeraute Titananteil epikrestal abschließt (Abb. 10, 11). Der maschinierte Anteil des Tissue Level Implantates ergibt somit einen Abschluss auf Gingivaniveau, wodurch eine Verschiebung der Anschlussstelle für die Prothetik weg vom ossären Niveau erfolgt und die biologische Breite sicher eingehalten werden kann. Die Primärstabilität des Implantates lag bei 50 Ncm. Eine Einheilkappe wurde aufgebracht (Bild 18) und der Wundverschluss mit nicht resorbierbarer Naht der Stärke 5-0 durchgeführt. Für einen exakten und stabilen Wundverschluss wurde der vestibuläre Weichgewebelappen kragenförmig moduliert und in Double-Sling-Technik adaptiert (Abb. 12). Das postoperative Röntgenbild zeigt die korrekte Position des Implantates mit ausreichend apikalem Abstand zum Verlauf des Nervus alveolaris inferior (Abb. 13).

Provisorische prothetische Versorgung

Unmittelbar im Anschluss an die OP erfolgte das Aufbringen eines Scan-Bodys (Straumann, CARES) mit digitaler Abformung der Implantatposition (Abb 14). Die Daten wurden unmittelbar über eine Cloud-Lösung auf den Arbeitsplatz des Zahntechnikers übertragen. Die Anfertigung der provisorischen Krone erfolgte durch Fräsen aus einem Kunststoffblock nach rein digitaler Planung (Abb. 15, 16; Labor Jörg Bies) in einem Zeitrahmen von zwei Stunden. Die provisorische Krone wurde direkt auf dem Implantat verschraubt (Abb. 17). Insbesondere wurde beim Einsetzen darauf geachtet, die periimplantäre Schleimhaut durch das Emergenzprofil der provisorischen Krone zu stützen. Die Okklusion wurde geprüft und die statische und dynamische Okklusion so weit reduziert, dass eine Interferenz durch Früh- und Störkontakte sicher ausgeschlossen werden konnte. Das postoperative Panoramaröntgenbild zeigt den korrekten Sitz von Implantat und Krone. Der Fadenzug erfolgte nach zehn Tagen bei sehr gut abgeheilten Wundverhältnissen.

Sechs Monate nach Implantation erfolgte die klinische und radiologische Kontrolle des Implantates. Bei solider Osseointegration und stabilen Schleimhautverhältnissen erfolgte daraufhin die Freigabe für die finale prothetische Versorgung des Implantates (Abb. 18).

Abb. 18: Röntgenkontrolle sechs Monate nach Insertion mit hervorragender Osseointegration unter Belastung.

Fazit

Das Immediacy-Konzept in der Implantologie ist eine wertvolle Erweiterung für Patient und Behandler. Wartezeiten mit provisorischen Versorgungen werden verkürzt, und die Lebensqualität der Patienten wird deutlich optimiert. Aber auch der gesamte Behandlungserfolg wird in vielen Fällen profitieren, indem Gewebe in physiologischer Weise belastet und gestützt wird. Daher sprechen wir auch von frühfunktionellen Belastungskonzepten – ganz im Sinne der Natur. Ein wesentlicher Erfolgsfaktor ist das Implantatdesign. Moderne Systeme mit ihren speziellen Gewindeproportionen, wie etwa das TLX Implantat (Straumann) aus dem gezeigten Fall, sind für diese Versorgungsform in besonderer Weise geeignet. Die Verwendung einer höheren polierten Titanschulter ist gerade im Seitenzahnbereich sinnvoll, um die Verbindung zwischen Implantat und Aufbau aus dem kritischen Bereich der biologischen Breite zu bringen. Somit lassen sich heute durch kluge Kombination eines progressiven Gewindedesigns mit dem gut validierten Tissue-Level-Prinzip viele Fälle auch im Seitenzahnbereich mit Immediacy-Konzepten hervorragend lösen.

Literatur:

1.         Wismeijer, D., Buser, D., Belser, U., & ITI, T. G. (2007). Vol 2: Loading Protocols in Implant Dentistry-Partially Dentate Patients. S. 5 - ITI Konsensuskonferenz Dean Morton, Robert Laffin, Hans-Peter             Weber: Sofortversorgung und Sofortbelastung von Implantaten: Klinische Aspekte und Behandlungsabläufe.

2.         Lemos, C. A., Verri, F. R., de Oliveira Neto, O. B., Cruz, R. S., Gomes, J. M. L., da Silva Casado, B. G., & Pellizzer, E. P. (2021). Clinical effect of the high insertion torque on dental implants: A systematic             review and meta-analysis. The Journal of Prosthetic Dentistry, 126(4), 490-496.

3.         Douglas de Oliveira, D. W., Lages, F. S., Lanza, L. A., Gomes, A. M., Queiroz, T. P., & Costa, F. D. O. (2016). Dental implants with immediate loading using insertion torque of 30 Ncm: a systematic review.             Implant Dentistry, 25(5), 675-683.

4.         Sennerby, L. (2013). 20 Jahre Erfahrung mit der Resonanzfrequenzanalyse. Implantologie, 21(1), 21-33.

5.         Berardini, M., Trisi, P., Sinjari, B., Rutjes, A. W., & Caputi, S. (2016). The effects of high insertion torque versus low insertion torque on marginal bone resorption and implant failure rates: a systematic             review with meta-analyses. Implant dentistry, 25(4), 532-540.

6.         Lemos, C. A., Verri, F. R., de Oliveira Neto, O. B., Cruz, R. S., Gomes, J. M. L., da Silva Casado, B. G., & Pellizzer, E. P. (2021). Clinical effect of the high insertion torque on dental implants: A systematic             review and meta-analysis. The Journal of Prosthetic Dentistry, 126(4), 490-496.

7.         Kan, J. Y., Roe, P., Rungcharassaeng, K., Patel, R. D., Waki, T., Lozada, J. L., & Zimmerman, G. (2011). Classification of sagittal root position in relation to the anterior maxillary osseous housing for             immediate implant placement: a cone beam computed tomography study. International Journal of Oral & Maxillofacial Implants, 26(4).

8.         Chrcanovic, B. R., Martins, M. D., & Wennerberg, A. (2015). Immediate placement of implants into infected sites: a systematic review. Clinical implant dentistry and related research, 17, e1-e16.

9.         Saijeva, A., & Juodzbalys, G. (2020). Immediate implant placement in non-infected sockets versus infected sockets: a systematic review and meta-analysis. Journal of oral & maxillofacial research,             11(2).

10.     Riemann, M., Wachtel, H., Beuer, F., Bolz, W., Schuh, P., Niedermaier, R., & Stelzle, F. (2019). Biologic and Technical Complications of Implant-Supported Immediately Loaded Fixed Full-Arch Prostheses:            An Evaluation of Up to 6 Years. International Journal of Oral & Maxillofacial Implants, 34(6).