#Sofortversorgung 02.06.2023

Schneller ans Ziel – Klinische Aspekte von Sofortversorgungen

Die Wünsche der Patienten gehen in eine Richtung: kürzere Behandlungszeiten, weniger chirurgische Eingriffe und möglichst keine herausnehmbaren Provisorien. Mit den Konzepten der Sofortimplantation und Sofortversorgung haben wir Optionen, diese Wünsche zu erfüllen. Die Erfolgsraten von Sofortversorgungen sind vergleichbar mit den Ergebnissen einer konventionellen Implantation. Der Erfolg hängt maßgeblich von der strengen Patientenselektion und der Anwendung eines geeignetes Implantatsystems ab.

Der Wunsch nach schnelleren Versorgungen nach einem Zahnverlust steigt bei unseren Patienten. Die Möglichkeiten der Sofortversorgung und Sofortbelastung sind daher in den vergangenen Jahren zunehmend in den Fokus der klinischen Anwendung und Forschung gerückt. Zahlreiche klinische Studien beschäftigen sich mit dem möglichen Zusammenhang zwischen den chirurgischen und prothetischen Versorgungsprotokollen und den Langzeitergebnissen der Implantate und deren prothetischer Versorgung.1–3 Die Insertionszeitpunkte eines dentalen Implantats wurden wie folgt definiert:

Typ 1: Implantatinsertion unmittelbar nach Zahnextraktion als Teil des chirurgischen Eingriffs

Typ 2: Komplette Weichgewebsdeckung der Alveole (vier bis acht Wochen nach Zahnextraktion)

Typ 3: Fortgeschrittene klinische und/oder radiografische Regeneration und Knochenheilung der Alveole (12 bis 16 Wochen nach Zahnextraktion)

Typ 4: Abgeheiltes Implantatbett (mindestens sechs Monate nach Zahnextraktion)

Nach der Implantatinsertion erfolgt je nach klinischer Situation die Versorgung mit Zahnersatz in einem definierten Abstand. Die Belastungsprotokolle werden in drei Zeitpunkte nach der Implantation eingeteilt:4

  • Sofortbelastung: Versorgung innerhalb einer Woche
  • Frühe Belastung: Versorgung zwischen einer Woche und zwei Monaten
  • Konventionelle Belastung: Versorgung nach einer Einheilzeit von mindestens zwei Monaten

„Die Entscheidung, wann eine Implantatinsertion nach der Zahnextraktion erfolgt, ist abhängig von den Eigenschaften des Hart- und Weichgewebes der Extraktionswunde.“

Vorteile und Indikation

Die Entscheidung, wann eine Implantatinsertion nach der Zahnextraktion erfolgt, ist abhängig von den Eigenschaften des Hart- und Weichgewebes der Extraktionswunde.5 Vorteile einer Sofortimplantation sind eine reduzierte Anzahl an chirurgischen Eingriffen und eine reduzierte Gesamt- behandlungszeit.5 So kann dem Patientenwunsch nach einem möglichst schnellen und wenig invasiven Konzept entsprochen werden. Ein weiterer Vorteil der Sofortimplantation ist eine optimale Verfügbarkeit des vorhandenen Knochens und die Insertion des Implantats als Maßnahme der Alveolar Ridge Preservation (ARP).

Die klassische Technik der ARP mit einem Knochenersatzmaterial soll der physiologischen Dimensionsänderung des Knochens, die einer Zahnextraktion folgt, entgegenwirken.6 Es gibt aktuell jedoch keine Technik, die als eindeutiger Goldstandard zu bewerten ist. Die Kombination von Sofortimplantation und einem begleitenden Knochenaufbau wirkt sich im Vergleich zur alleinigen Sofortimplantation positiv auf die Hart- und Weichgewebe aus.7 Knochenaufbauten, die den Spaltraum zwischen Implantatkörper und Alveolen- wand füllen, unterstützen den Volumenerhalt des Alveolarkamms im Vergleich zur nicht unterstützten Knochenheilung.8 Zudem ermöglicht eine Sofortimplantation, sofern die vorhersagbare und notwendige Primärstabilität für eine Sofortbelastung erreicht wurde, das unmittelbare Einsetzen eines Provisoriums. Alternative Interimsprothesen zum Lückenersatz werden dadurch hinfällig. Die Sofortimplantation hat sich in der Implantattherapie bewährt und ist besonders für erfahrene Chirurgen von großer Bedeutung.

Risiken und Kontraindikationen

Die Morphologie des Implantatbetts bei der Sofortimplantation muss genau betrachtet werden. Bei der Fallplanung ist es ausschlaggebend, dass einerseits eine optimale Implantatposition erreicht werden kann und anderseits eine hohe primäre Stabilität erreicht wird. Dies setzt voraus, dass ausreichend Knochen apikal des zu entfernenden Zahns vorhanden ist. Ein Mangel an bukkalem Knochen und/oder keratinisierter Schleimhaut machen begleitende chirurgische Maßnahmen notwendig.5 Diese regenerativen Maß- nahmen sind techniksensibel und sollten nur von klinisch entsprechend erfahrenen Chirurgen eingesetzt werden. Ein weiterer Nachteil ist, dass ein nicht vorhersehbarer Knochenumbau das Ergebnis gegebenenfalls kompromittiert.9 Bei einer dünnen bukkalen Knochenlamelle (< 1 mm) oder einem dünnen Gingiva-Biotyp ist mit Rezessionen zu rech nen.9 Untersuchungen zeigen, dass Sofortimplantationen im allgemeinen zufriedenstellende ästhetische Ergebnisse bringen. Im Vergleich zu verzögerten Implantationen zeigen Sofortimplantationen jedoch das Risiko von fazialen Rezessionen.9–11 Dies ist als wichtiger Hinweis bei der Fallselektion zu bewerten, da der Anteil an vorhandenem bukkalem Knochen einen bedeutenden prognostischen Faktor für eine Sofortimplantation darstellt.6

Anforderungen

Die Sofortimplantation kombiniert mit der Sofortbelastung ist ein komplexer chirurgischer und prothetischer Eingriff. Daher sollte dieser nur von klinisch erfahrenen Zahnärzten durchgeführt werden. Eine strenge Fallselektion ist zwingend notwendig. Dazu gehören: neben intakten Alveolen wänden, eine faziale Knochenwand mit mindestens 1 mm Stärke, eine ausreichend dicke Mukosa, die Verfügbarkeit apikalen Knochens, um eine entsprechende Primärstabilität zu gewährleisten und auch Patientencompliance.12

Die Primärstabilität mit einem Eindrehmoment von über 35 Ncm ist der Schlüsselfaktor bei der Betrachtung von erfolgreichen Insertions- und Belastungsprotokollen.13 Für eine Sofortimplantation ist daher ein konisches Implantatdesign vorteilhaft. Die Gestaltung des Makrodesigns von Implantaten, hier besonders die Gewindegeometrie, ist entscheidend für die Primärstabiltät.14

Belastungsprotokolle

Benic et al. zeigten in einem systematischen Review, dass die Sofortbelastung und konventionelle Belastung von Einzelkronen gleichermaßen erfolgreiche Belastungsprotokolle, bezogen auf die Überlebensrate und den marginalen Knochenverlust, darstellen.15 Dies galt jedoch nur für Studien, die entsprechende Eindrehmomente von 20 bis 45 Ncm erreichten und deren Implantate keine simultane Augmentation benötigten. Zahlreiche weitere Studien zur Untersuchung von den unterschiedlichen Belastungsprotokollen (sofort, früh, spät) zeigten ebenfalls keine signifikanten Unterschiede der Überlebensraten.13, 16

In einem systematischen Review von Gallucci et al. wurden Studien anhand der zu Beginn genannten Kriterien eingeteilt und anschließend eine systematische Analyse vorgenommen, die den gesamten Implantatprothetik-Komplex berücksichtigt. Überlebensraten der Gruppe Typ 1A (Sofortimplantation und Sofortbelastung) lagen mit einer mittleren Beobachtungsdauer von 29 Monaten bei 98,4 Prozent.4 Überlebensraten der Gruppe Typ 1 C (Sofortimplantation und konventionelle Belastung) lagen bei 96 Prozent mit einer mittleren Beobachtungsdauer von 39 Monaten.4 Das Belastungsprotokoll bei der Sofortimplantation scheint daher einen geringen Einfluss auf das Behandlungsergebnis zu haben.4 Dies gilt jedoch nur, wenn bei der Sofortimplantation mit Sofortversorgung eine strenge Patientenselektion stattfindet. Aus der Studienlage ist erkennbar, dass sowohl Sofortversorgungen von Einzelzahnsituationen als auch Restaurationen im teilbezahnten Kiefer ein höheres Risiko für Implantatverlust aufweisen als sofortversorgte zahnlose Kiefer.17 Als Erklärung wird vermutet, dass sich eine Verblockung mehrerer Implantate bei komplexen Sofortversorgungen von zahnlosen Kiefern positiv auf die Einheilphase während der ersten Wochen auswirken könnte. Bei allen anderen Insertionszeiten (früh, verzögert und spät) scheint das Belastungsprotokoll keinen Einfluss auf die Erfolgsraten zu haben.4

Klinisches Vorgehen und Fallbeispiele

Fall 1: Sofortversorgung

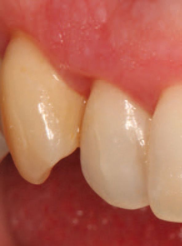
Ein 64-jähriger Patient stellt sich nach der Spontanfraktur des Zahns 12 bei uns vor (Abb. 1). Eine endontische Behandlung und der Versuch der Wiederherstellung mit einer stiftverankerten Krone wurden vom Patienten genauso abgelehnt, wie eine Brückenversorgung. Sein Wunsch war eine Implantatversorgung mit möglichst wenigen Terminen.

Zur Fallplanung wurden eine digitale volumentomografische Aufnahme (DVT) und Alginatabformungen beider Kiefer angefertigt. Die hiermit hergestellten Gipsmodelle wurden digitalisiert und dienten zur Implantatplanung. Als erster Schritt wurde eine konsequente Risikobewertung durchgeführt. Erst nachdem eindeutig vorhersagbar ausreichend Knochen zur primärstabilen Insertion des Implantates und ausreichend bukkaler Knochen testiert wurden, konnte dem Patienten das Verfahren der Sofortversorgung zugesichert werden.

„Es wurde streng darauf geachtet, dass die provisorische Krone keinen funktionellen Belastungen ausgesetzt wurde.“

Es erfolgte die Planung in der Software coDiagnostiX (Dental Wings). Nach virtueller Positionierung des Implantats wurde eine Bohrschablone konstruiert, die im Labor in Drucktechnik hergestellt wurde. Ebenso wurden die Planungsdaten an das Labor übermittelt, um im Vorfeld eine langzeitprovisorische Krone, verklebt auf einer Titanklebebasis, herstellen zu können (Abb. 2 und 3). Bei einem koordinierten Zusammenspiel mit dem Labor können diese Schritte alle an einem Werktag stattfinden.

Am Folgetag erschien der Patient zur Extraktion des Zahns, die äußert schonend zu erfolgen hat, um den bukkalen Knochen zu schonen (Abb. 4). Nachdem die Bohrschablone eingesetzt und auf ihre Passung kontrolliert wurde, erfolgte die Aufbereitung des Implantatbetts (Abb. 5). Dazu waren bei dem verwendeten Implantat (Straumann BLX, Institut Straumann AG) zwei Bohrungen notwendig. Das Implantat zeichnet sich bei einer ausreichenden Länge von 14 mm und einem Durchmesser von 3,75 mm, zur sicheren Insertion in den Knochen apikal der Wurzel des extrahierten Zahns, durch ein ausgeprägtes Gewindedesign aus, das durch eine hohe primäre Stabilität das Ergebnis vorhersagbar macht. Es konnte daher mit einem für die Sofortversorgung geforderten Drehmoment eingebracht werden. Da die provisorische Krone bereits hergestellt war, ist die exakte Positionierung des Implantats entscheidend wichtig. Durch Markierungen auf dem Einbringschlüssel konnte die Insertionstiefe und die Rotationsposition eingestellt werden (Abb. 6). Jetzt wurde die Bohrschablone abgenommen und die provisorische Krone aufgesetzt. Abbildung 7 zeigt die gute Passung und liefert einen Beleg für die Qualität der Prozesskette. Zum Abschluss wurde bukkal der Spaltraum zischen der bukkalen Alveolenwand und dem Implantat mit einem schwer resorbierbaren Knochenersatzmaterial gefüllt. In diesem Zuge auch eine Konturaugmentation durchgeführt und das Augmentat mit einer Membran abgedeckt (Abb. 8). Die Papillen wurden mit zwei Nähten fixiert und der Schraubenkanal mit einem Füllungskunststoff verschlossen (Abb. 9). Es wurde streng darauf geachtet, dass die provisorische Krone keinen funktionellen Belastungen ausgesetzt wurde. Die Nähte wurden nach zehn Tagen entfernt.

Bei der Wiedervorstellung zum Scan der Situation für die Herstellung der definitiven Versorgung zeigte sich eine gute Ausformung der Weichgewebe durch das Provisorium. Zur definitiven Versorgung wurde ein individueller Zirkonaufbau auf einer Titanklebebasis verklebt und eine Zirkonkrone aus einem Multi-Color-Zirkonmaterial in Maltechnik hergestellt und eingesetzt (Abb. 10). Der Patient zeigte sich mit dem ästhetischen Ergebnis sehr zufrieden. Dankbar war er, dass vom Erstbesuch bis zur Eingliederung der definitiven Krone ausschließlich fünf Zahnarzttermine notwendig waren.

„Das Konzept der Sofortversorgung zeigt eine sehr hohe Akzeptanz unserer Patienten.“

Fall 2: Sofortversorgung Ergebnis nach drei Jahren

Ein Trauma, das durch den Schlag mit einer Flasche auf den Zahn 21 entstand, konnte durch eine endodontische Maßnahme nicht in den Griff bekommen werden. Eine interne Resorption machte die Extraktion des Zahns bei der 52-jährigen Patientin notwendig (Abb. 11). Es erfolgte eine Sofortversorgung nach der im Fall 1 geschilderten Vorgehens- weise. Abbildung 12 zeigt das Langzeitprovisorium sechs Monate nach der Sofortimplantation vor der definitiven prothetischen Versorgung. Im Zuge einer weiteren Implantatplanung konnte 40 Monate nach der Sofortimplantation ein neues DVT angefertigt werden. Die vollständige knöcherne Integration des BLX-Implantats konnte testiert werden. Gut darzustellen ist so die divergente Achsrichtung des Implantats im Gegensatz zur Zahnachse (Abb. 13). Das klinische Bild ca. 3,5 Jahre nach dem Einsetzen der definitiven Krone zeigt eine ausreichende Ästhetik, es war in diesem Zeitraum allerdings zu einer leichten Rezession gekommen (Abb. 14).

Fall 3: Sofortbelastung

Eine 81-jährige Patientin stellt sich zur Versorgung der Freiendsituation im III. Quadranten vor. Die Zähne 36 und 34, die mehre Jahrzehnte eine Brücke getragen hatten, waren kariös zerstört und wurden extrahiert. Die Versorgung erfolgte mit einer herausnehmbaren Interimsprothese. Die Patientin stellte sich zur Implantatplanung nach drei Monaten erneut vor. Die Patientin hatte den ausdrücklichen Wunsch, schnell eine zumindest langzeitprovisorische Versorgung zu erhalten. Nach den Einschränkungen während der Coronapandemie wollte sie demnächst eine längere Weltreise antreten. Die herausnehmbare Interimsprothese trug sie kaum und bewertete sie als deutliche Einschränkung ihrer Lebensqualität.

Nach der digitalen Planung und der Herstellung der gedruckten Bohrschablone wurden zwei Implantate (TLX, Straumann) gesetzt. Im Unterkiefer wurden Tissue-Level-Implantate verwendet, die eine sehr gute Langzeitprognose aufweisen und prothetisch einfach zu versorgen sind. Nach einem leicht lingual versetzten Kammschnitt und der Freilegung des Alveolarkamms erfolgte die primäre Bohrung durch Schablone. Diese ist aus unserer Sicht notwendig, um vorhersagbar die geplante verschraubte Brücke realisieren zu können. Aufgrund der geringen Mundöffnung erfolgte die endgültige Aufbereitung der Implantatbetten, zwei weitere Bohrungen je Implantatposition, ohne die Schablone. Die Tissue-Level-Implantate konnten mit dem für eine Sofortversorgung notwendigen Eindrehmoment inseriert werden (Abb. 15–18). Vor der Nahtlegung erfolgte ein Intraoralscan zur Detektion der Implantatpositionen mittels Scanbodys. Zwölf Tag nach der Implantatinsertion wurden die Nähte entfernt und die als verschraubte Brücke gestaltete langzeit- provisorische Versorgung aus einem Hochleistungskunststoff auf PMMA-Basis eingesetzt (Abb. 19 und 20). Die Patientin konnte so auf ihre Weltreise entlassen werden. Die definitive Versorgung steht jetzt nicht mehr unter Zeitdruck und kann einige Monate später erfolgen.

Fazit

Die Sofortimplantation hat sich bewährt und ist als modernes Behandlungskonzept von großer Bedeutung. Insbesondere stellt es sich in der Kombination mit einer Sofortbelastung als effiziente Versorgungsmöglichkeit dar. Eine durchdachte Patientenselektion und die Beachtung der speziellen Risikofaktoren sind, wie bei jedem implantolgischen Eingriff, unabdingbar. Das Konzept der Sofortversorgung zeigt eine sehr hohe Akzeptanz unserer Patienten.

References:

  1. Cochran DL, Morton D, Weber HP. Consensus statements and recommended clinical procedures regarding loading protocols for endosseous dental implants. Int J Oral Maxillofac Implants 2004;19 Suppl:109-113
  2. Moraschini V, Poubel LA, Ferreira VF, Barboza Edos S. Evaluation of survival and success rates of dental implants reported in longitudinal studies with a follow-up period of at least 10 years: a systematic review. Int J Oral Maxillofac Surg 2015;44:377-388. 
  3. Zuffetti F, Esposito M, Galli F, Capelli M, Grandi G, Testori T. A 10-year report from a multicentre randomised controlled trial: Immediate non-occlusal versus early loading of dental implants in partially edentulous patients. Eur J Oral Implantol 2016;9:219-230.
  4. Gallucci GO, Hamilton A, Zhou W, Buser D, Chen S. Implant placement and loading protocols in partially edentulous patients: A systematic review. Clin Oral Implants Res 2018;29 Suppl 16:106-134.
  5. Chen ST, Wilson TG, Jr., Hammerle CH. Immediate or early placement of implants following tooth extraction: review of biologic basis, clinical procedures, and outcomes. Int J Oral Maxillofac Implants 2004;19 Suppl:12-25.
  6. Watzek G, Haider R, Mensdorff-Pouilly N, Haas R. Immediate and delayed implantation for complete restoration of the jaw following extraction of all residual teeth: a retrospective study comparing different types of serial immediate implantation. Int J Oral Maxillofac Implants 1995;10:561-567.
  7. Yukna RA. Clinical comparison of hydroxyapatite-coated titanium dental implants placed in fresh extraction sockets and healed sites. J Periodontol 1991;62:468-472.
  8. Zitzmann NU, Scharer P, Marinello CP. Factors influencing the success of GBR. Smoking, timing of implant placement, implant location, bone quality and provisional restoration. J Clin Periodontol 1999;26:673-682.
  9. Polizzi G, Grunder U, Goene R, Hatano N, Henry P, Jackson WJ, et al. Immediate and delayed implant placement into extraction sockets: a 5-year report. Clin Implant Dent Relat Res 2000;2:93-99.
  10.  Cosyn J, De Lat L, Seyssens L, Doornewaard R, Deschepper E, Vervaeke S. The effectiveness of immediate implant placement for single tooth replacement compared to delayed implant placement: A systematic review and meta-analysis. J Clin Periodontol 2019;46 Suppl 21:224-241.
  11. Esposito M, Grusovin MG, Polyzos IP, Felice P, Worthington HV. Timing of implant placement after tooth extraction: immediate, immediate-delayed or delayed implants? A Cochrane systematic review. Eur J Oral Implantol 2010;3:189-205.
  12. Hammerle CH, Chen ST, Wilson TG, Jr. Consensus statements and recommended clinical procedures regarding the placement of implants in extraction sockets. Int J Oral Maxillofac Implants 2004;19 Suppl:26-28.
  13. Tonetti MS, Jung RE, Avila-Ortiz G, Blanco J, Cosyn J, Fickl S, et al. Management of the extraction socket and timing of implant placement: Consensus report and clinical recommendations of group 3 of the XV European Workshop in Periodontology. J Clin Periodontol 2019;46 Suppl 21:183-194. 
  14. Girlanda FF, Feng HS, Correa MG, Casati MZ, Pimentel SP, Ribeiro FV, et al. Deproteinized bovine bone derived with collagen improves soft and bone tissue outcomes in flapless immediate implant approach and immediate provisionalization: a randomized clinical trial. Clin Oral Investig 2019.
  15. Qabbani AA, Razak NHA, Kawas SA, Sheikh Abdul Hamid S, Wahbi S, Samsudin AR. The Efficacy of Immediate Implant Placement in Extraction Sockets for Alveolar Bone Preservation: A Clinical Evaluation Using Three-Dimensional Cone Beam Computerized Tomography and Resonance Frequency Analysis Value. J Craniofac Surg 2017;28:e318-e325.
  16. Chen ST, Beagle J, Jensen SS, Chiapasco M, Darby I. Consensus statements and recommended clinical procedures regarding surgical techniques. Int J Oral Maxillofac Implants 2009;24 Suppl:272-278.
  17. Chen ST, Buser D. Esthetic outcomes following immediate and early implant placement in the anterior maxilla--a systematic review. Int J Oral Maxillofac Implants 2014;29 Suppl:186-215.