#Digital 21. Jul 2025

The Anatomic Healing Abutment (AHA) as a tool for peri-implant soft tissue management in immediate implant protocols

A clinical case report by Léon Pariente and Karim Dada, France

Introduction

The long-term success of dental implants relies not only on achieving stable osseointegration, but also on the preservation and management of healthy peri-implant soft tissues. A natural and well-contoured emergence profile is essential for both function and esthetics, particularly in the posterior and esthetic zones. Traditionally, soft tissue shaping has required multiple procedural steps and components, including the use of provisional restorations and scanbodies. While effective, these additional stages can increase treatment complexity, prolong chair time, and pose a risk of disturbing the soft tissue architecture during repeated component exchanges.

The Straumann® Anatomic Healing Abutment (AHA) is a recent innovation designed to streamline implant workflows and support optimal soft tissue outcomes. Unlike conventional healing abutments, the AHA features a contoured anatomic shape that mimics the natural emergence profile of the final restoration, helping to guide and maintain the soft tissue form during the healing phase. Furthermore, its integrated scan surface eliminates the need for a separate scanbody, allowing for direct intraoral scanning without removing the component. This not only simplifies the prosthetic workflow, but also minimizes the risk of soft tissue collapse or trauma associated with repeated manipulation.

This case report presents the clinical application and advantages of the Straumann® AHA in a 38-year-old male patient who required an immediate implant placement following the extraction of a vertically fractured mandibular molar (tooth #37). The AHA was used to support tissue healing, maintain a stable emergence profile, and enable a fully digital impression workflow without additional temporary components. The treatment was completed within two months and resulted in excellent functional and esthetic outcomes. This case demonstrates how the AHA can enhance efficiency, reduce clinical steps, and support predictable tissue management in modern implant dentistry.

Initial situation

A 38-year-old male presented to the dental clinic reporting pain in the lower left posterior region. The patient, who had already informed himself about treatment options, expressed interest in receiving an implant, ideally placed immediately if the tooth could not be saved. The patient was systemically healthy, a non-smoker, reported no allergies, and was not taking any medications.

Intraoral examination revealed a vertical fracture of tooth #37, with probing depths up to 12 mm, bleeding on probing, and pain on percussion. The tooth was non-responsive to cold testing with CO₂.

Radiographic evaluation confirmed the vertical fracture and demonstrated adequate vertical and horizontal bone dimensions, indicating favorable conditions for immediate implant placement.

Treatment planning

The treatment workflow included:

  1. Atraumatic extraction of the hopeless tooth #37.
  2. Straumann® BLC Implant, Ø 4.5 mm SLActive® 10MM, Roxolid®
  3. Gap-filling around implant #37.
  4. Installation of AHA.
  5. Intraoral scanning directly on the AHA.
  6. Final prosthetic rehabilitation with a screw-retained monolithic zirconia crown on implant #37.

Surgical procedure 

Mandibular nerve block anesthesia was administered using 2% lidocaine with 1:100,000 epinephrine. Tooth #37 was extracted atraumatically. The tooth was sectioned and removed gently in two parts (Figs. 1–4).

After the extraction of tooth #37, an osteotomy was performed, and the site was prepared for implant placement following the manufacturer's instructions (Figs. 5–8).

A Straumann® BLC Roxolid® SLActive® (WB) 10 mm implant, measuring 4.5 mm in diameter in diameter, was placed at site #37, achieving primary stability of 40 Ncm (Fig. 9). The gap was carefully measured to ensure optimal tissue healing and proper contouring around the implant. During placement, the orientation dots on the implant driver were aligned in the buccal-lingual direction for accurate positioning (Fig. 10).

The AHA was removed from its packaging, and the pre-assembled self-retaining screw was inserted using the SCS Screwdriver (Figs. 11,12).

The AHA was placed to verify proper fit and was then removed to allow placement of the healing abutment. With the healing abutment in place, gap filling was more easily managed and was carried out using Cerabone® Plus to help preserve the ridge contour (Figs. 13,14).

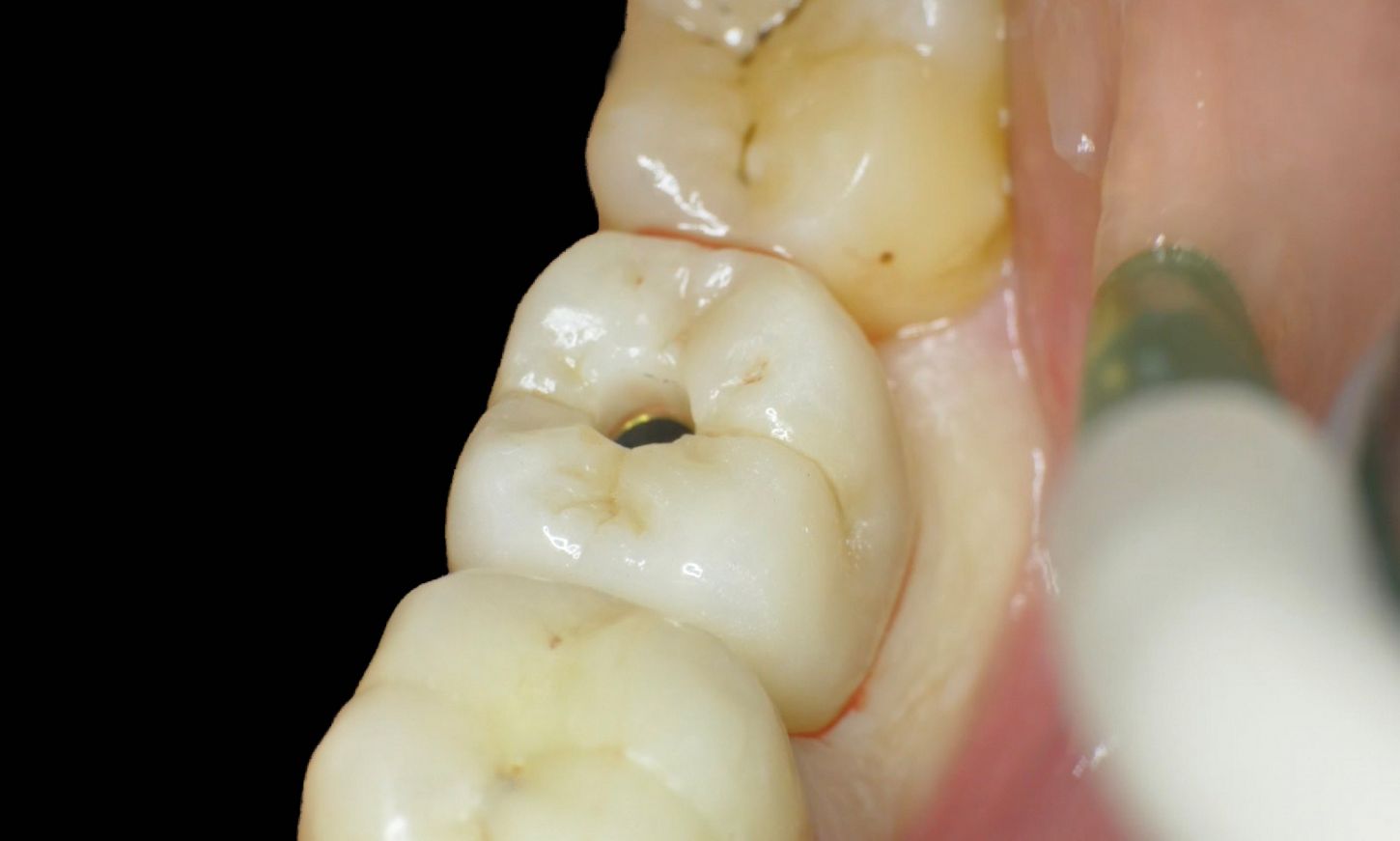
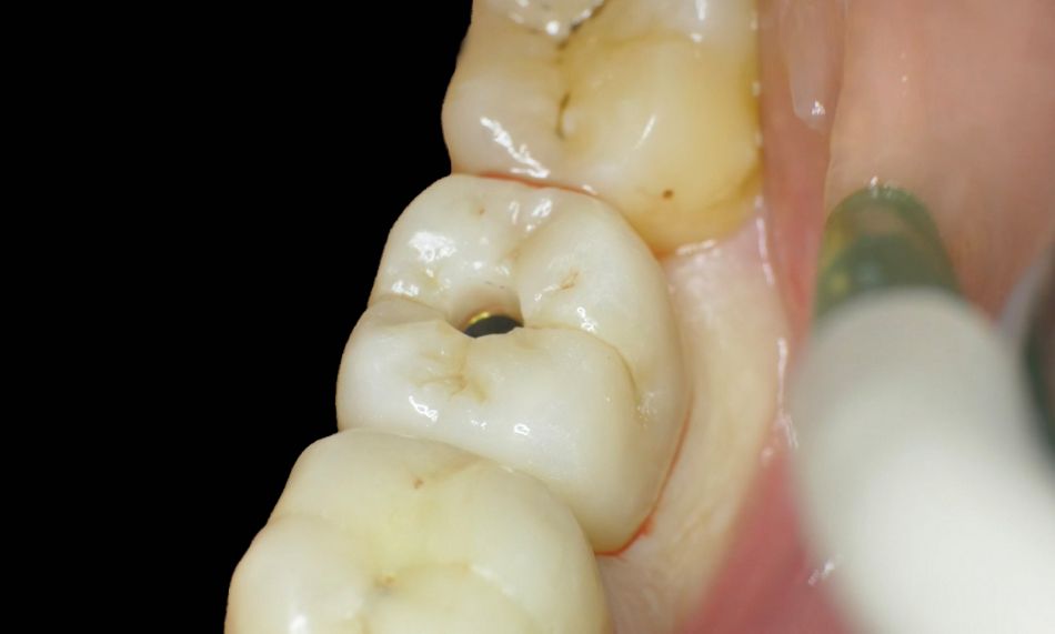
Next, the healing abutment was removed, and the AHA was placed. The AHA was then hand-tightened to 14 Ncm. The flat scanbody feature on the AHA was aligned in the buccal orientation (Figs. 15–17).

The screw access was closed and secured with a suture (Figs. 18,19).

The patient received postoperative care instructions, and a follow-up appointment was scheduled for suture removal and routine check-ups.


A Center of Dental Education (CoDE) is part of a group of independent dental centers all over the world that offer excellence in oral healthcare by providing the most advanced treatment procedures based on the best available literature and the latest technology. CoDEs are where science meets practice in a real-world clinical environment.


Prosthetic procedure

Two months later, the patient returned to the clinic to proceed with the final restoration. The AHA was thoroughly cleaned to ensure there were no visible defects. One of the advantages of the AHA is that it can be scanned directly without removal, eliminating the need for a scanbody. It was then scanned intraorally. Intraoral scanning was conducted using the Straumann® SIRIOS™ system (Figs. 20,21).

The future restoration was digitally planned, allowing full visualization in 3D, including details of the lingual aspect, which enabled precise design and fabrication of the final restoration (Figs. 22-24).

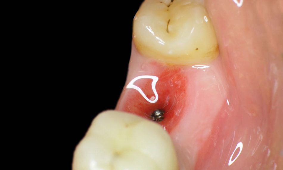
The AHA was removed from the mouth, revealing a naturally shaped gingival contour that resembled the emergence profile planned for the final restoration (Figs. 25-27).

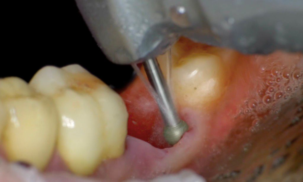
Subsequently, the definitive monolithic zirconia restoration, milled and cemented onto Straumann® Variobase® abutments with the same gingival height as the AHA, was placed and torqued to 35 Ncm. The esthetics, as well as centric and eccentric occlusion, were checked and confirmed to be satisfactory. Once verified, the screw access was covered with PTFE tape and sealed using a flowable composite. (Figs. 28-31).

The patient received oral hygiene instructions, and follow-up appointments were scheduled.

Treatment outcomes

The treatment was completed in approximately two months, with the patient reporting no discomfort throughout the process. By using the Anatomic Healing Abutment (AHA), we were able to achieve precise scanning and promote optimal tissue healing. This approach not only simplified the treatment, but also eliminated the need for a provisional restoration, saving both time and cost. The AHA played a key role in ensuring a smooth recovery and efficient implant integration, resulting in excellent functional and esthetic outcomes.

Author’s testimonial

"Incorporating the Straumann® Anatomic Healing Abutment into this immediate implant case improved the workflow in a way that was both clinically efficient and biologically respectful. The ability to guide soft tissue healing while enabling direct digital impressions reduced treatment time and improved patient comfort. This experience confirmed the value of integrating innovative components that support both precision and simplicity in modern implant dentistry."

Leon Pariente and Karim Dada