#Full-Arch 27. Aug 2019

Case video: Immediate double-arch restoration

“BLX is a good additional tool for full-arch rehabilitation, especially in soft bone and extraction sockets – it delivers high primary stability.” João Caramês

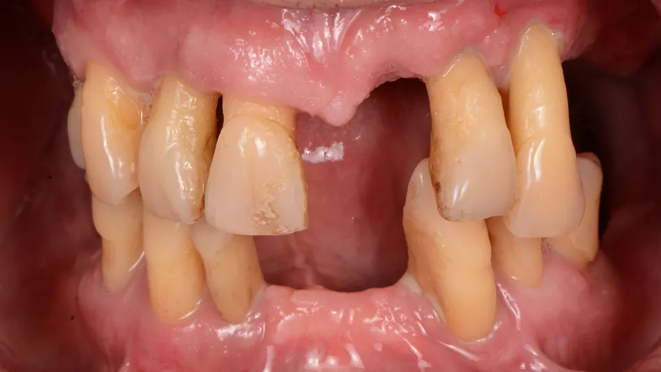
Initial situation: 60-year-old male, healthy, no bone defects. Moderate resorption in the mandible and maxilla. Generalized severe chronic periodontitis.

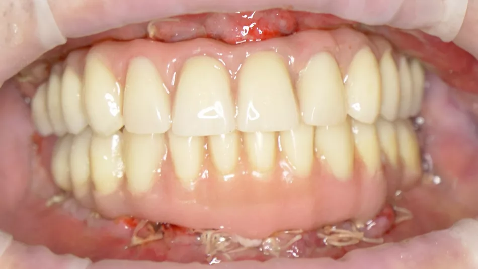
Treatment: Fixed immediate rehabilitation on four implants in the mandible and six implants in the maxilla. Tilting of the posterior implants due to limited bone availability in the maxilla. Temporary restoration: acrylic, metal-reinforced provisional prosthesis. Planned final restoration: zirconia ceramic bridge.

The following video is one of a series on Straumann® Pro Arch BLX – learn more here.