#Full-Arch 20. Mar 2024

Immediate implant placement and loading of bimaxillary FP1 prostheses with LOCATOR FIXED® full-arch solution

by Massimo Frosecchi, Italy

Implant-supported prosthetic solutions have significantly transformed the landscape of prosthodontics, especially in the field of bimaxillary full-arch cases. Among the diverse options available, the LOCATOR FIXED® attachment system stands out for its advantages in providing stability, function, and patient satisfaction.

The LOCATOR FIXED® system is an innovative implant-supported solution featuring rigid PEEK inserts and corresponding components. This design ensures a secure and rigid connection between the prosthetic appliance and the implants, enhancing stability and facilitating effective force distribution for a balanced occlusal scheme.

A noteworthy advantage of the LOCATOR FIXED® system is its ability to offer a fixed prosthesis while maintaining the ease of maintenance and hygiene associated with removable prosthetics. This combination addresses most patients’ preference for a stable, non-removable solution.

Financial considerations often play a crucial role in treatment decisions, and the cost-effectiveness of the LOCATOR FIXED® system adds another layer of appeal. Achieving a fixed full-arch prosthesis following efficient and well-established treatment workflows can reduce overall treatment expenses, making it a pragmatic choice for both clinicians and patients.

In the following case report, we present a bimaxillary full-arch treatment utilizing the LOCATOR FIXED® system, highlighting its clinical efficacy and patient-centered advantages. This case report aims to provide insights into the significant benefits of the LOCATOR FIXED® attachment system in addressing the challenges of bimaxillary full-arch rehabilitation.

Initial situation

A 65-year-old male, classified as ASA I, without any significant medical history, non-smoker, and free from medications or allergies, presented to our clinic. His chief complaint centered on the esthetics of his prostheses, coupled with discomfort and a lack of stability. He requested a resolution for his failing dentition, with specific emphasis on addressing esthetic issues with the upper central and lateral incisors.

In the extraoral assessment, the patient exhibited a slightly concave lower profile. Upon smiling, the absence of posterior teeth was evident, with the upper teeth showing a slight palatal inclination contrary to the patient’s esthetic preferences (Figs. 1-3).

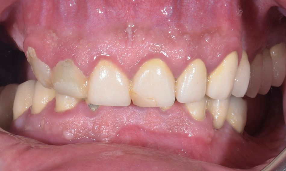
The intraoral assessment exposed a deep bite, accompanied by a hopeless dentition with multiple decay and root fractures following the failure of full-arch teeth-supported ceramic prostheses in both the mandible and maxilla (Fig. 4). Subsequent examination of the periodontal status indicated inadequate plaque control, along with widespread gingival inflammation and bleeding upon probing (BoP). Deep probing pockets further accentuated the challenging periodontal condition.

The radiographic examination showed images compatible with periapical infections at several upper roots (Fig. 5).

Treatment planning

After discussing various treatment options with the patient, we collectively agreed to move forward with a fixed full-arch rehabilitation in both mandible and maxilla. On the base of this indication, was planned the placement of Straumann® BLX implants, with LOCATOR FIXED® full-arch FP1 prostheses. This decision was influenced by the patient's preference for a fixed solution and the financial constraints involved.

The main steps of the treatment workflow included:

1. Clinical and radiographic assessments and digital implant planning. The implant planning process was carried out meticulously, utilizing digital models created by combining Cone Beam Computed Tomography (CBCT) and intraoral scans. The approach taken was prosthetically driven, with the aim of achieving an ideal positioning for the dental implants. The advanced coDiagnostiX® surgical planning software and 3shape smile composer facilitated this integration. The synergy of these technologies allowed for a comprehensive and detailed approach to implant planning, ensuring precision and accuracy in the overall treatment strategy (Figs 6-9).

3. Preparation of a 3D-printed surgical guide (Figs 10-15).

4. Conservative extraction of hopeless teeth and placement of dental implants in the upper and lower jaws.
5. Deliver the prosthesis on the same day (FP1).

Surgical procedure

Before the surgical procedure, local anesthesia, utilizing lidocaine 2% with epinephrine at a concentration of 1:100,000, was administered. The treatment commenced with the careful extraction of all maxillary teeth followed by the remotion of granulation tissue in the sockets. Subsequently, implant placement using BLX Straumann® implants was performed (position #13: Ø3.75 x 12mm, position #15 Ø 3.75 x 10mm, position #23 Ø 3.75 x 12mm, position #24 Ø 3.75 x 10mm, position #26 Ø 4.5 x 12mm, position #33 Ø 4 x 12mm, position #34 Ø 3.75 x 12mm, position #36 Ø 3.75 x 8mm, position #43 Ø 4.0 x 12mm, position #46 Ø 3.75 x 8mm ), aided by a 3D printed guide. Using a periodontal probe, the height of the gingiva at its highest point was measured, and the Abutment height of the LOCATOR® Abutment corresponding to that measurement was selected to reach a slight emergence from the soft tissue after suturing. The Abutment Holder Sleeve was slid onto the abutment driver portion of the LOCATOR® Core Tool, and the selected LOCATOR® Abutment for each implant was placed into the Abutment Holder Sleeve. The LOCATOR® Abutment was screwed into the implant and hand-tightened. To ensure proper seating, radiographs were taken of each interface. Confirmation of the Abutments being fully seated on the implants was conducted by placing the film perpendicular to the interface during the radiographic examination. The abutment was initially hand-tightened using the LOCATOR® Driver. Subsequently, torquing was performed, applying a torque of 35 Ncm. This was achieved using the Straumann® Ratchet equipped with the Torque Control Device in conjunction with the LOCATOR® Driver to obtain the one-abutment-one-time strategy for stability and efficiency. LOCATOR® Housings with processing inserts were then applied(Figs 16-21).

Intra-oral solidarization of a pre-set temporary arch with the LOCATOR® Housings was achieved using self-curing resin.

This was followed by occlusal, phonetic, and esthetic adjustments to fine-adjust the provisional restoration. The temporary full arch was subsequently removed for final finishing and polishing procedures, marking the completion of the surgical interventions. (Fig. 22).

Prosthetic procedure

The lab stage involved meticulous attention to detail in manufacturing the full arches. The prosthetic restoration of choice was a maxillary and mandibular metal reinforced acrylic prosthesis. The lab provided the finalized prosthesis including the LOCATOR FIXED® Housings with pre-assembled black processing inserts to the dental practice.

After a final intra-oral check of the finished prosthesis, the Black Processing Inserts were removed using the end of the enhanced LOCATOR® Systems Core Tool.

The next step involved placing the LOCATOR FIXED® Inserts into the housings. The selection of LOCATOR FIXED® Inserts was tailored to the specific indication. In cases involving five or more implants per arch, tan and blue shaded inserts are utilized. This procedure achieved by aligning the insert with the housing and applying firm downward pressure with the LOCATOR® Systems Core Tool until the insert snapped securely into place (Figs. 23-28).

The restoration, supported by LOCATOR FIXED®, was then delivered, marking an important step in completing the rehabilitation. Subsequently, final intra-oral occlusal adjustments were carefully performed (Fig. 29).

Three days post-loading, an occlusal check was again conducted to assess the stability and functionality of the restoration. This step aimed to confirm that the occlusal adjustments made during the delivery phase were conducive to the patient's comfort and long-term oral health.

Ten days post-surgery, the final step in the postoperative care involved the removal of sutures. This routine procedure aimed to promote optimal healing and comfort for the patient.

These consecutive steps in the postoperative phase contributed to the overall success and longevity of the LOCATOR FIXED® Upper and Lower Full-arch Rehabilitation, ensuring both functional and esthetic satisfaction for the patient (Fig. 30).

Treatment outcomes

The LOCATOR FIXED® Upper and Lower Full-Arch Rehabilitation resulted in a successful restoration with improved functionality, enhanced esthetics, and long-term stability. These outcomes highlight a well-rounded success, focusing on patient satisfaction and the effectiveness of the treatment plan and collaborative efforts of the dental team.

Author’s testimonial

The LOCATOR FIXED® system simplifies procedures for a variety of patients, making things easy not just during the initial prosthetic phase but also in follow-up care. This is especially helpful for those facing age-related cleaning challenges during full-arch rehabilitation. LOCATOR FIXED® system is a practical alternative to screw-retained prostheses, avoiding the need for complex removal procedures for cleaning or for addressing complications. A LOCATOR FIXED® prosthesis can be removed within seconds using the appropriate removal tool.