#Full-Arch 15. Jan 2025

Full arch reconstruction of the edentulous maxilla: from bone augmentation to final monolithic zirconia restoration

Dental implant rehabilitation in young patients with severe alveolar bone loss poses a significant challenge, particularly when previous implant attempts have failed. This case report describes the treatment of a 20-year-old female patient who had previously undergone unsuccessful implant treatment and was reluctant to consider removable dentures as a permanent solution.

The treatment plan focused on restoring function and esthetics through a combination of bone augmentation, sinus lift, and implant placement using Straumann® Bone Level Tapered (BLT) implants. The surgical workflow included the use of Straumann® Xenograft for ridge augmentation, followed by digital planning for guided implant surgery. A temporary removable denture was provided during the healing phase, after which the patient received a screw-retained monolithic zirconia prosthesis.

Beyond the clinical success of the procedure, the impact on the patient’s quality of life was evident. Prior to treatment, the patient reported considerable difficulties with masticatory function, poor nutrition, and a decline in self-esteem due to the limitations of removable dentures. Following the full-arch rehabilitation, the patient experienced marked improvements in oral function, esthetics, and psychosocial well-being. This case highlights the critical role played by implant-supported restorations in not only addressing dental health issues, but also enhancing overall patient satisfaction and quality of life.

Initial situation

A 20-year-old woman came to our clinic in good health, not taking any medication, and with no allergies. She told us that she had lost her teeth at a young age because of cavities. Although she had tried implants before, the treatment did not work out, and she could not imagine wearing removable dentures for the rest of her life. She wanted to find a fixed solution using dental implants to restore her failing teeth. The extraoral examination showed a flattening of the lower third of the face, attributed to the lack of support from the missing maxillary teeth (Figs. 1-4).

The intraoral examination revealed an edentulous maxilla characterized by significant horizontal and vertical bone resorption. This considerable loss of bone structure presents substantial challenges for implant placement, as it may compromise the necessary stability and support for a successful prosthesis.

Additionally, the radiographic examination confirmed recent implant loss and demonstrated a critical deficiency of bone in both vertical and horizontal dimensions (Fig. 5). This imaging underscores the necessity for thorough evaluation and intervention to address the underlying bone deficiencies, highlighting the urgent need for a comprehensive treatment plan to effectively restore both function and esthetics.

Fig. 5

Based on the SAC classification, the patient's surgical and prosthodontic case was categorized as complex (Fig. 6).

Fig. 6

Treatment planning

The treatment plan was tailored to meet the patient's functional and esthetic needs while ensuring long-term stability. It followed a structured approach, beginning with sinus lift and bone augmentation and digital planning, continuing through implant placement, and ending with the delivery of a final screw-retained prosthesis. Each step was carefully planned to achieve a successful outcome.

The treatment workflow included:

  1. Maxilla reconstruction: bilateral sinus lift, vertical and horizontal bone augmentation with Straumann® Xenograft.
  2. Temporary removable denture during the six-month healing period.
  3. Digital planning for guided implant surgery and immediate loading protocol.
  4. Insertion of 8 Straumann® Bone Level Tapered SLActive® implants.
  5. Delivery of screw-retained immediate prosthesis.
  6. Monitoring during osseointegration period.
  7. Finalization with a screw-retained zirconia monolithic prosthesis.

Surgical procedure

Local anesthesia with lidocaine 2% with epinephrine 1:100k was administered. The surgical procedure began with a full-thickness flap created through a crestal incision to expose the surgical site (Fig. 7). Bone augmentation was performed using Straumann® Xenograft to enhance the alveolar ridge and provide adequate support for future implants (Fig. 8).

One month after the procedure, the soft tissues exhibited good healing progress, showing a healthy appearance with no signs of complications (Fig. 9). This positive outcome reflects the effectiveness of the surgical technique and the patient’s compliance with post-operative care instructions.

At the six-month follow-up, a CBCT scan revealed that the augmented bone had fully integrated, providing the necessary dimensions and stability for implant placement (Fig. 10). Using digital planning software, the 3D positioning of the implants was meticulously planned to ensure optimal placement (Fig. 11). This meticulous planning ensures accurate angulation and depth of the implants, significantly improving both functional performance and esthetic outcome of the final prosthesis.

During the second surgery, the surgical guide was checked for proper fit. A full-thickness flap was again raised, the fixation pins were then drilled and inserted, and the implants were inserted using a fully guided technique to maximize accuracy (Fig. 12). Straumann® BLT implants were placed with precision, using the handpiece in a clockwise direction at a speed of 15 rpm, and torqued to 35 Ncm (Fig. 13).

Prosthetic procedure

A temporary screw-retained prosthesis was delivered immediately, following the immediate loading protocol, to maintain function and esthetics during the healing phase (Fig. 14). Oral hygiene instructions were given, and occlusion was checked.

Fig. 14

At the suture removal appointment, healing was observed to be uneventful. The patient was closely monitored throughout the osseointegration period, and treatment was finalized with the placement of a screw-retained monolithic zirconia prosthesis.

Treatment outcomes

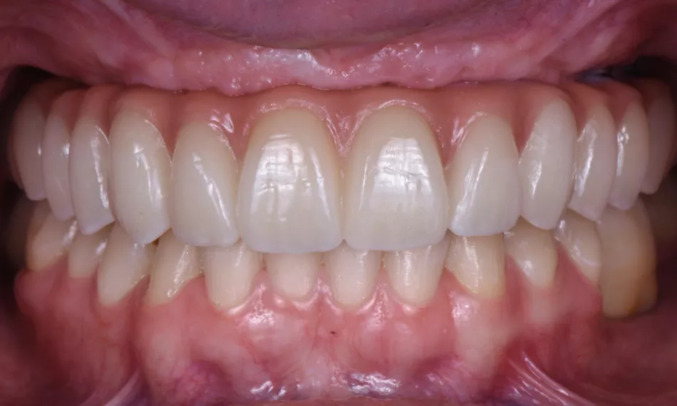
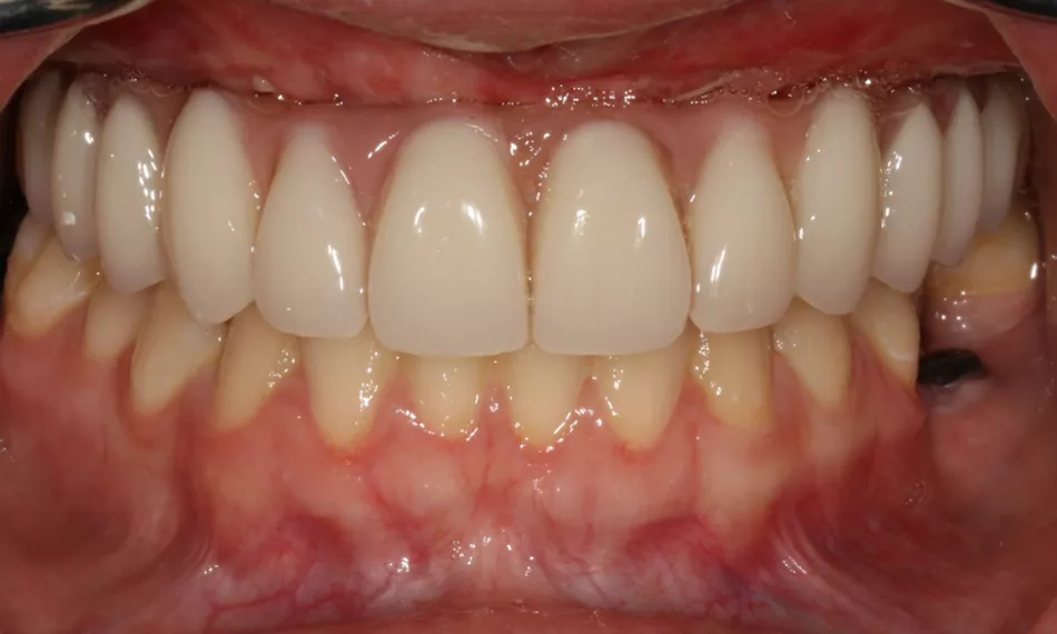
The final outcome of the treatment emphasizes the esthetic excellence of the zirconia monolithic prosthesis (Fig. 15), which blends seamlessly with the natural dentition. Its functional durability ensures long-term stability, providing both visual appeal and enhanced performance. This result has greatly improved the patient's overall satisfaction and quality of life.

Fig. 15

Additionally, lateral views taken at the end of the treatment offer a thorough perspective on the placement and fit of the prosthesis. These images confirm proper alignment with the surrounding tissues and occlusion, ensuring both functional performance and esthetic harmony, further contributing to the overall success of the treatment (Figs. 16,17).

A radiographic control performed one-year post-surgery confirms the successful integration and stability of the implants, providing further evidence of the long-term success of the procedure (Fig. 18). This imaging not only highlights the osseointegration achieved, but also confirms the reliability of the implants in supporting the prosthesis, contributing to the patient's overall dental health.

Fig. 18

The final outcome demonstrates the excellent health of both hard and soft tissues. The patient expressed great satisfaction, stating, “I’m really pleased with the result. It was a nightmare for me, and now I feel that I can smile and be myself again. I can't even describe how grateful I am to Professor Caramês and his entire team.”

Author’s testimonial

Critical risk factors should be carefully evaluated prior to deciding the loading protocol. Different levels of bone atrophy should require different rehabilitation approaches. The Caramês Classification system for full-arch implant rehabilitation can support you in the choice of the optimal treatment. Regenerative procedures provide an added value for the patient’s present and future rehabilitation needs. Cross-arch stabilization is a key factor in full-arch immediate loading.