#Full-Arch 01. Apr 2025

Immediate loading of double full-arch prosthesis: Advanced protocols using Smilecloud

This case demonstrates how leveraging digital workflows like Smilecloud, alongside expert surgical and restorative techniques, can redefine standards in full-arch rehabilitation, achieving precision and patient satisfaction.

Introduction

As a clinician with a focus on full-arch restorations, I am always exploring ways to improve precision, efficiency, and outcomes for my patients. This case highlights the benefits of incorporating advanced digital workflows with well-established surgical and prosthetic protocols for immediate loading of double full-arch prostheses.

The process began with a digital smile design using Smilecloud, creating a personalized esthetic plan tailored to the patient’s unique needs. With coDiagnostiX®, implant positions were planned virtually to align precisely with the desired prosthetic results. This careful planning laid the foundation for a treatment workflow that connected digital design with clinical application.

Custom-designed surgical guides, fabricated from STL files, were used during the surgical phase. These guides, designed for teeth and mucosa support, facilitated accurate placement of the new Straumann® BLC and TLC implants. Guided bone regeneration techniques were also applied to promote implant stability and ensure long-term success.

The immediate installation of provisional bridges allowed the patient to regain both function and esthetics on the same day. The final prosthetic rehabilitation, based on the initial digital plan, achieved results that aligned with both clinical goals and patient expectations.

This case illustrates how digital tools like Smilecloud, when integrated with advanced surgical and restorative expertise, can enhance outcomes in full-arch rehabilitation.



Initial situation

A 56-year-old male patient presented to our clinic with loss of almost all teeth, reporting impossibility to chew and smile comfortably, and expressed a desire to restore both esthetics and masticatory function. The patient had no relevant medical history, was not taking medications, and reported no allergies; however, he was a smoker. The loss of teeth was primarily attributed to dental caries, and periodontal disease.

The extraoral examination revealed a medium smile and the absence of multiple teeth. Additionally, a slightly straight profile was observed (Figs. 1-3).

The intraoral examination revealed partial edentulism in the upper and lower jaw, with the remaining teeth exhibiting severe periodontal disease. Some of these teeth were splinted due to mobility caused by the condition (Figs. 4,5).

Radiographic analysis showed approximately 60–80% alveolar bone loss (Figs. 6,7).

According to the SAC classification, the patient's surgical status was determined to be complex, and his prosthodontic status was also assessed as complex.

After the cause-related therapy, the patient presented a good plaque score with no visible gingival inflammation.

Treatment planning

The treatment plan was developed with the assistance of the Smilecloud program, which allowed for the creation of a personalized smile design based on the patient's preferences. The program provided a detailed analysis of the patient's dental and facial features (Fig. 8). This comprehensive approach enabled the visualization and planning of the ideal smile, considering factors such as tooth shape, alignment, and facial harmony.

Using this advanced software, precise simulations and adjustments were made to ensure that the final result aligned with the patient’s esthetic goals and functional needs. The first file focused on creating the desired smile (Figs. 9,10).

One of the advantages of Smilecloud is that it allows for a comparison of the initial state (before) with the projected outcome (after), which helps in planning and refining the treatment (Figs. 11,12).

The treatment workflow included:

1. Digital smile design with Smilecloud.
2. Digital planning of implant placement with coDiagnostiX® (Figs. 13,14).

3. The surgical guide for implant placement, designed to support teeth and mucosa, was created for the drilling protocol of the upper and lower jaws. The corresponding STL files were then sent to the dental laboratory for printing (Figs. 15-19).

4. Placement of surgical guides.
5. Clearance of the teeth.
6. Straumann® BLC and TLC implant placement.
7. Guided bone regeneration.
8. Installation of the provisional bridge.
9. Final prosthetic rehabilitation.

Surgical procedure

Two grams of amoxicillin were administered 1 hour before the procedure. Prior to surgery, the patient rinsed with 0.20% chlorhexidine for one minute. The surgical guide was then checked to ensure proper fit. Local anesthesia with 4% articaine and 1:100,000 epinephrine was given. The upper surgical guide, supported by teeth and mucosa, was placed and fixed with pins. Next, the upper part of the guide was removed to extract the teeth atraumatically (Figs. 20,21).

A flapless approach was performed, followed by the placement of the second surgical guide with stackable guides to ensure precision and efficiency and to facilitate the immediate placement of implants. In the upper jaw, four Straumann® BLC implants were placed, and XenoGraft was applied in the post-extraction sites to promote bone regeneration and optimize healing. The implants were placed with the aid of the handpiece in a clockwise direction at a speed of 15 rpm and torqued to 25 Ncm (Figs. 22,23).

Subsequently, the Straumann® Variobase® on Straumann® Screw-retained Abutments (SRAs) were placed, and the temporary bridge was seated and adapted for immediate loading (Figs. 24-26).

In the lower jaw, the same procedure was followed, with the placement of four Straumann® TLC implants (Figs. 27-35).

Prosthetic procedure

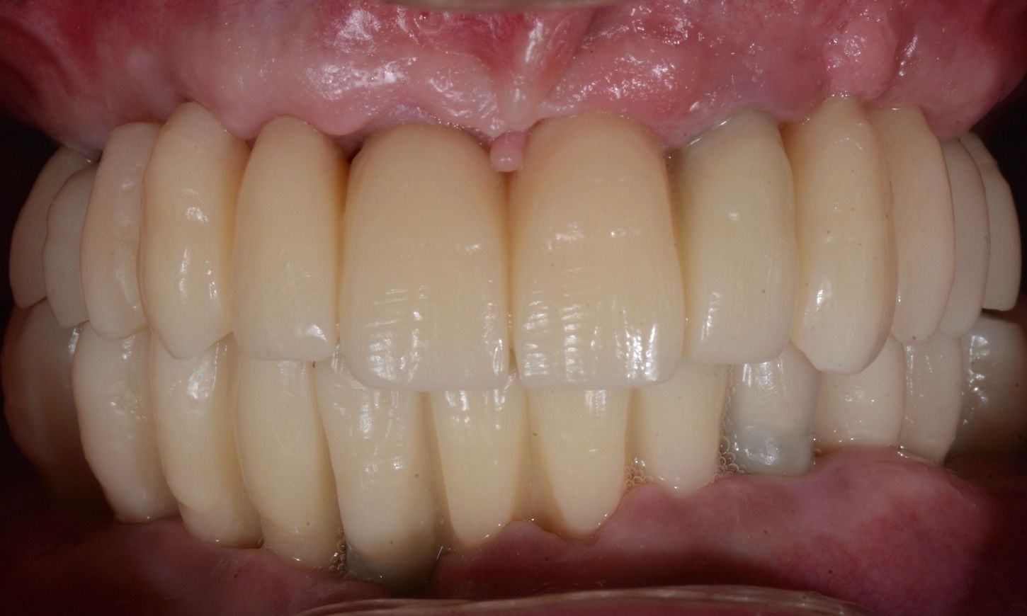
The patient underwent immediate implant loading of both arches, with temporary abutments placed using Straumann® Variobase® on Straumann® Screw-retained Abutments in the upper jaw and temporary copings directly on Straumann® TLC implants in the lower jaw, both screw-retained (Figs. 36-38).

A milled PMMA temporary bridge was delivered (Figs. 39,40).

During the suture removal appointment, the healing process was observed to be without complications. The patient reported no issues, indicating an excellent recovery. Clinical and radiographic examination confirmed uneventful healing, with the soft tissues demonstrating good adaptation around the implants and provisional bridge. This result highlights the success of the procedure and the patient's compliance with post-operative care instructions (Figs. 41-46).

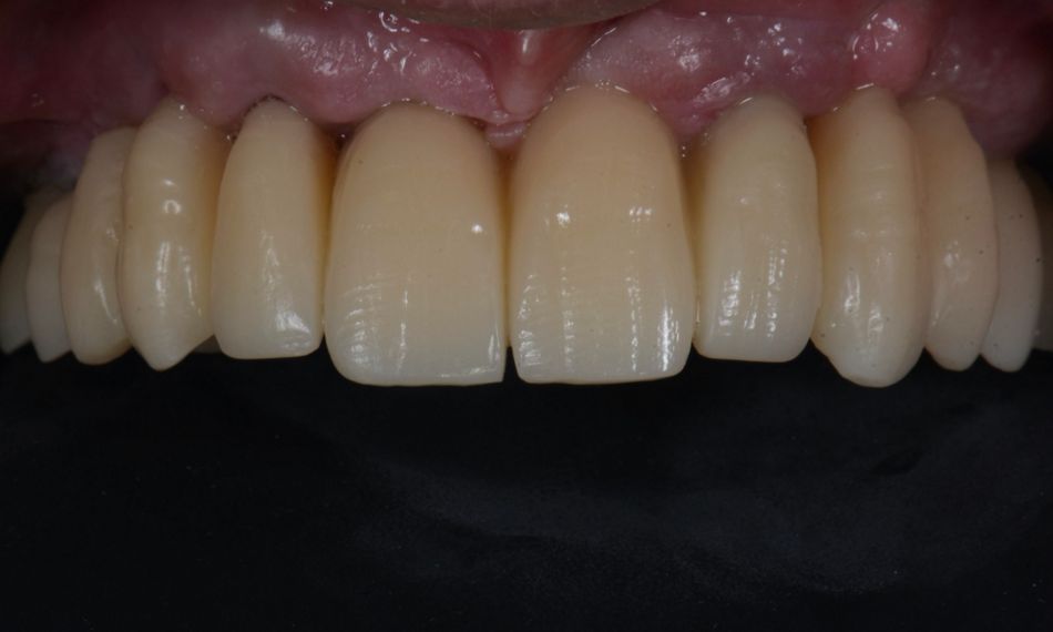
At the three-month follow-up appointment, both the soft and hard tissues continued to show good healing and adaptation. Additionally, the patient expressed great satisfaction with his new smile, noting significant improvements in both esthetics and functionality. He reported feeling more confident and comfortable, particularly in social situations, and was impressed with the stability and natural appearance of the provisional prosthesis (Figs. 47-54).

The transformation had a positive impact on the patient’s overall quality of life, including eating, speaking, and smiling freely.
The final prosthetic restoration is still pending, with planned final abutments of Straumann® Variobase® on Straumann® Screw-retained Abutments (SRAs) on a titanium-composite prosthesis.

Treatment outcomes

The current outcome of this treatment was marked by the exceptional health and stability of both hard and soft tissues, demonstrating the success of the planning and execution. The patient expressed profound happiness with the results, not only due to the esthetic transformation, but also because of the restoration of functional abilities, such as eating and speaking, which were previously compromised. This improvement had a significant positive impact on the patient’s overall quality of life, restoring confidence and comfort in daily interactions.

This case underscores how the thoughtful use of digital technology, combined with advanced surgical and prosthetic techniques, can deliver life-changing results for patients facing complex dental challenges.

Author’s testimonial

This was a highly complex case, successfully addressed with the support of Smilecloud. By converting the virtual setup into an STL file, I was able to establish an accurate framework for computer-guided implant planning, the fabrication of stackable surgical guides, and the immediate delivery of temporary prostheses. This approach significantly improved the patient's quality of life.