#Esthetics 03. Dec 2016

A combined procedure for post extraction implants with simultaneous bone and gingival regeneration and immediate temporary restoration

A clinical case report by Jorge M. Galante, Argentina

The purpose of this case report is to describe a multidisciplinary approach to tooth replacement in the aesthetic area. The challenge of this procedure is to perform, in a single session, the extraction of the tooth, the preparation of the osteotomy for implant insertion, and meticulous planning of the incision approach for the proper relocation and repositioning of the gingival tissues. The course of the incision should facilitate the correction of gingival recessions and also proper bone regeneration and prevention of alveolar collapse. A temporary prosthetic restoration is placed immediately after surgery.

Initial situation

The patient was a 40-year-old woman who presented at our clinic with type 3 mobility in tooth 21. We started with the admission diagnostic sequence (ADS), which consisted of clinical evaluation, radiological examination, photographic analysis and study models mounted on a semi-adjustable articulator. In the clinical analysis a fracture was noted at the cervical level of tooth 21, while marked gingival recession was also observed in the six upper anterior teeth (Fig. 1). Oral hygiene was poor, with the presence of plaque and moderate gingival inflammation. The patient stated that she had suffered dental trauma long ago, and that the consequence of that trauma had been the need for endodontic treatment for tooth 11. Numerous teeth had been treated with plastic restorations, including some with recurrent caries, while teeth 36, 37 and 46 had been replaced with osseointegrated implants/crowns. We requested a cone beam three-dimensional CT scan with interactive software (Fig. 2).

Treatment planning

Impressions were made for study models to prepare a diagnostic wax-up for a temporary crown, which in turn serves as a surgical guide for implant insertion (Fig. 3). The lab technician was asked to make a temporary crown that was exactly the same size as the ideal clinical crown. The laboratory was also requested to make a resin key for positioning of the crown (Fig. 4). Basic periodontal therapy, prophylactic manual and ultrasonic scaling, and plaque control were performed. The surgery was planned, the patient was given antibiotic therapy consisting of 2 g of amoxicillin with clavulanate one hour before surgery, followed by 1 g every 12 hours for a week.

Surgical procedure

The course of the incisions provides access for simultaneous extraction, treatment of bone regeneration and treatment of gingival recessions of teeth 12, 11, 21, 22. The recession heights were measured from the cemento enamel junction (CEJ) to the gingival margin, and this measure was transferred from the tip of the papilla to mark the boundary of the incision. These incisions were directed obliquely medially in line with the “frontal approach” of Zucchelli (Fig. 5). Vertical discharge incisions were made distal to teeth12 and 22. The surgical papillae were elevated as a partial thickness flap up to the height of the gingival margins of the neighboring teeth, from where the flap became full thickness to a level 3 mm apical to the bone margin. From this limit it again became a partial thickness flap in two planes. A deep plane involved cutting the muscle attachments of the periosteum to bone, while a second superficial plane was designed to release the muscle attachments from the mucosa. This superficial incision allows complete freedom in repositioning the flap into the coronal level. The papilla between the two central incisors was not incised, since it detaches and communicates by tunneling. The flap at the level of tooth 21 was raised in its full thickness throughout. After the total mobilization of the flap was verified, the fractured tooth was gently extracted, and the remains of the periodontal attachment were completely removed, followed by preparation of the osteotomy for implant placement. A Straumann Bone Level implant 4.1×12 was used in this case, taking into account the three-dimensional positioning for adequate prosthetic restoration. A healing cap on the implant was placed to allow proper suturing of the tissue (Figs. 6-8). Straumann® Emdogain was placed at the recessions according to the manufacturer’s protocol to promote periodontal regeneration and improve healing (Fig. 12). The de-epithelialization of the anatomical papillae was completed. Dense connective tissue was harvested from the palatal area (Figs. 9, 10), a strip approximately 12 mm long by 5mm wide including connective and epithelial tissue. The incision depth was approximately 1.2 to 1.5 millimeters thick. On a tongue separator the epithelium was removed in full, while attempting to keep the thickness as uniform as possible. The thickness of the dense connective tissue after removal of the epithelium was approximately 1 mm. The graft was sutured with 6-0 nylon to the inside of the flap at the height of tooth 21, while trying to keep the graft 1 mm apical to the gingival margin (Fig. 11). The flap was made full thickness in order to expose bone and facilitate the regeneration of cortical bone by guided bone regeneration with bone substitutes (botiss® cerabone) and with resorbable pericardium membrane (botiss Jason membrane, Fig.11). The pericardium membrane was trimmed to match the shape of the cortical plate and no tacks were needed for its fixation. The membrane extended mesio-distally to the neighboring teeth, and apico-coronally from the base of the flap just to the bony crest. The bone substitute cerabone was placed inside the gap between the implant and the alveolus, and over the buccal cortical plate below the membrane, to prevent collapse. Next, the surgical papillae on the most distal anatomical sites were sutured with a suspensory suture, and the surgical papillae between 11-12 and 21-22 were then sutured. Finally, the vertical incisions were sutured. A transparent template was placed at the palatal donor site as a surgical dressing. Once the surgical phase was completed, the prosthetic procedures were initiated. A prosthetic component made of PEEK (Straumann) was used to support the temporary crown. This was trimmed and attached to the temporary acrylic crown for mechanical retention. With the help of the keys to reposition the crown it was placed at the preset ideal position and fixed with self-cured acrylic (Figs. 13-14). Afterwards the cylinder was unscrewed, the anatomy of the transmucosal portion was completed in the laboratory taking care to leave a well-defined CEJ, and, from this boundary to the implant abutment interface, a concave surface was left to allow for the housing of the soft tissues (Fig. 15). All occlusal contacts in centric and excentric movements were eliminated. The patient was instructed to avoid making excessive use of this area, avoid brushing during the first three days and keep the area clean with chlorhexidine mouthwash and gel. The patient was monitored weekly and the sutures were removed at three weeks (Fig. 16).

Prosthetic procedure

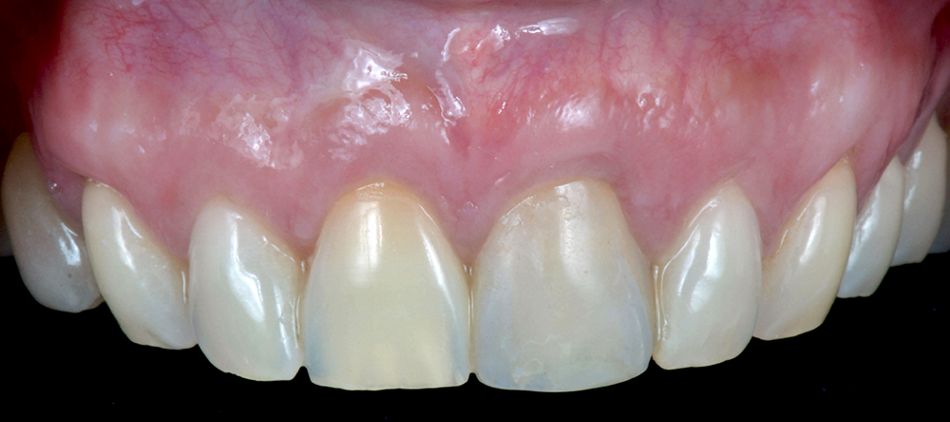
The patient was followed up at regular intervals, and the crown was removed at four months for a clinical and radiographic. evaluation (Figs. 17-18). The osseointegration was checked. An impression of the implant was taken and transferred to the laboratory for the manufacture of the definitive restoration (Figs. 19-20). In the lab the model was scanned with a 3D scanner (Amman Girrbach) and the mirror image of the corresponding tooth was reproduced with the help of CAD/CAM software and then machined in resin. This procedure was for diagnostic purposes, in order to evaluate the anatomy and adaptation to the tissues. The restoration was placed in the mouth and left for 4 weeks to allow the soft tissue to adapt to the anatomy of the crown, while the laboratory completed the final restoration, replicating the temporary crown on a Straumann® VarioBase abutment with porcelain-injected Empress (Ivoclar, Lab ZirLab) (Figs. 21–27).

Final result

We consider that the procedure presented in this report requires extensive training of a multidisciplinary team comprised of a surgeon, prosthodontist and prosthetic lab technician for a combined approach with simultaneous working. However, this produces excellent results. At the surgical level, when bone regeneration is required, communication of the wound with the oral environment should be avoided at all costs. This is why the healing of soft tissue is usually expected (6/8 weeks) to result in proper surgical closure after tooth extraction in the delayed approach. This requires a first surgical session for implant installation and simultaneous bone regeneration, followed by a waiting period of 4/6 months for the completion of osseointegration and a second surgical session for implant connection. Once the soft tissues have healed, after approximately 4/6 weeks, the prosthetic gingival modeling stage is started, which takes about 6/8 weeks or more. Later, this gingival modeling is transferred to the laboratory through a customization of the transfer coping to produce the final restoration. Also, the restoration approach involves the exact opposite approach. We aim to produce an immediate temporary restoration based on the anatomical features of the final restoration. Thus, on completion of the surgical procedures, the hard and soft tissues heal around the final crown anatomy. The challenge is to achieve, in a single combined procedure, implant placement immediately after extraction, bone and gingival regeneration, and sealing of the tissues around the restoration in a very tight and precise manner so as to maintain and protect the underlying blood clot, isolated from the oral environment, which is the main factor responsible for the regeneration.

Conclusion

This protocol is the result of a learning curve that we have been developing over time, based on scientific evidence for the individual procedures (see supporting evidence) together with the evidence from our own research center. What we have developed is a combination of a series of isolated and individualized procedures in a single complex procedure. While it is necessary to continue to deepen and analyze this procedure in the long term, the results obtained to date are equivalent to, or more favorable than, those achieved when procedures are performed in stages. These results have been very motivating to continue to deepen this therapeutic line. The procedure offers the main advantages of exposing the patient to fewer surgical procedures, a reduction in maneuvers and prosthetic sessions, with the consequent decrease in clinical time and total treatment time.

Supporting evidence

Systematic reviews

Aghaloo TL, Moy PK. Which hard tissue augmentation techniques are the most successful in furnishing bony support for implant placement. Int J Oral Maxillofac Implants 2007;22:49–70.

Esposito M, Grusovin MG, Coulthard P, Worthington HV. The efficacy of various bone augmentation procedures for dental implants: A Cochrane systematic review of randomized controlled clinical trials. Int J Oral Maxillofac Implants 2006;21:696 –710.

Esposito M, Grusovin M, Worthington H, Coulthard P. Interventions for replacing missing teeth: Bone augmentation techniques for dental implant treatment. Cochrane Database Syst Rev 2006:CD003607.

Animal Studies

Marco Caneva, Daniele Botticelli, Fabrizio Morelli, Gianfranco Cesaretti, Marco Beolchini, Niklaus P. Lang. Alveolar process preservation at implants installed immediately into extraction sockets using deproteinized bovine bone mineral – an experimental study in dogs. Clin. Oral Impl. Res. 23, 2012; 789–796. doi: 10.1111/j.1600-0501.2011.02332.

Caneva M, Botticelli D, Rossi F, Cardoso LC, Pantani F, Lang. Influence of implants with different sizes and configurations installed immediately into extraction sockets on peri-implant hard and soft tissues: an experimental study in dogs. Clin. Oral Impl. Res. 23, 2012, 396–401 doi: 10.1111/j.1600-0501.2011.02310.

de Sanctis M, Vignoletti F, Discepoli N, Zucchelli G, Sanz M. Immediate implants at fresh extraction sockets: bone healing in four different implant systems. J Clin Periodontol 2009; 36: 705–711. doi: 10.1111/j.1600-051X.2009.01427.

Tomasi C, Sanz M, Cecchinato D, Pjetursson B, Ferrus J, Lang NP, Lindhe J. Bone dimensional variations at implants placed in fresh extraction sockets: a multilevel multivariate analysis. Clin. Oral Impl. Res. 21, 2010; 30–36. doi: 10.1111/j.1600-0501.2009.01848.

Fickl S, Zuhr O, Wachtel H, Stappert CFJ, Stein JM, Hürzeler MB. Dimensional changes of the alveolar ridge contour after different socket preservation techniques. J Clin Periodontol 2008; 35: 906–913. doi: 10.1111/j.1600-051X.2008.01305.x. (Correction added on 27 August 2008, after first online publication. Author’s name Stein JM was corrected.)

Hürzeler MB, Zuhr O, Schupbach P, Rebele SF, Emmanouilidis N, Fickl S. The socket-shield technique: a proof-of-principle report. J Clin Periodontol 2010; 37: 855–862. doi: 10.1111/j.1600-051X.2010.01595.

Fickl S, Kebschull M, Schupbach P, Zuhr O, Schlagenhauf U, Hürzeler MB. Bone loss after full-thickness and partial-thickness flap elevation. J Clin Periodontol 2011; 38: 157–162. doi: 10.1111/j.1600-051X.2010.01658.

Clinical studies

Istvan A. Urban, DMD, MD1/Heiner Nagursky, PhD2/Jaime L. Lozada, DDS3 Ridge Augmentation with a Resorbable Membrane and Particulated Autogenous Bone With or Without Anorganic Bovine Bone–Derived Mineral: A Prospective Case Series in 22 Patients Int J of Oral & Maxillofac Implants. Volume 26, Number 2, 2011.

Buser D, Ingimarsson S, Dula K, Lussi A, Hirt HP, Belser UC. Long-term stability of osseointegrated implants in augment- ed bone: A 5-year prospective study in partially edentulous patients. Int J Periodontics Restorative Dent 2002; 22:109–117.

Sanz M, Cecchinato D, Ferrus J, Pjetursson EB, Lang NP, Jan L. A prospective, randomized-controlled clinical trial to evaluate bone preservation using implants with different geometry placed into extraction sockets in the maxilla. Clin. Oral Impl. Res. 21, 2010; 13–21. doi: 10.1111/j.1600-0501.2009.01824.

Cairo F, Cortellini P, Tonetti M, Nieri M, Mervelt J, Cincinelli S, Pini-Prato G. Coronally advanced flap with and without connective tissue graft for the treatment of single maxillary gingival recession with loss of inter-dental attachment. A randomized controlled clinical trial. J Clin Periodontol 2012; 39: 760–768. doi: 10.1111/j.1600-051

Stephen T. Chen, BDS, MDSc, PhD, FRACDS1/Daniel Buser, DMD, Prof Dr Med Dent2 Esthetic Outcomes Following Immediate and Early Implant Placement in the Anterior Maxilla—A Systematic Review. Int J Oral Maxillofac Implants 2014;29(suppl):186–215. doi: 10.11607/jomi.2014suppl.

Case reports

Dr. Jorge M. Galante. Predictable GBR procedures in sites with high esthetic compromise. Starget|July 3rd, 2015 Clinical Cases, Dental Biomaterials, Dental Implants, Dental Prosthetic.

Dr. Jorge M. Galante