#Esthetics 09. Oct 2017

Reducing invasiveness with post-extractive and immediate loading solution by means of the Straumann® PURE Ceramic Implant Monotype

A clinical case report by Andrea Pandolfi, Italy

This clinical case report describes a successful restoration of a single tooth gap by means of the Straumann® PURE Ceramic Monotype implant. The concepts of post-extractive placement and immediate loading were applied. The situation observed three years post op was very satisfying and manifested in a stable position and adequate volumes of both hard and soft tissue.

Initial situation

The patient is a 54-year-old man who presented at my practice with the request to replace a hopeless left posterior root (Figs. 1, 2) in position #34 with a dental implant. The general periodontal state of the patient can be described as moderately chronic periodontitis at the start of the observation period. Reported comorbidities included gastroesophageal reflux and bruxism manifested by the wear facets, shown in Fig. 3

Treatment planning

Since the patient requested a limited number of chair sessions and the reduced used of medication, he was offered a less invasive protocol that allowed for immediate post-extraction implant placement with immediate non-functional loading. The agreed treatment plan included the removal of the hopeless root, the insertion of an implant in a single surgical session according to a minimally invasive protocol, as well as socket preservation in order to maintain the vestibular bone wall. 

Surgery

The entire surgical procedure was performed under local anesthesia. The single tooth was extracted with flapless approach in order to minimize the surgical trauma (Figs. 4-6). Next, the surgical site was prepared at a low speed in order to collect autologous bone debris for the recovered autologous bone technique. The depth gauges were positioned so as to control the three-dimensional status of the surgical preparation for a correct occlusal relationship of the resulting implant position (Figs. 7-9).

Afterwards, the Straumann® PURE Ceramic Monotype implant (4.1mm/14mm/5.5mm) was placed, followed by the application of the Straumann® BoneCeramic mixed with autologous bone mixture in order to preserve the socket bone wall and support the soft tissue (Figs. 10-14). An immediate impression was taken (Fig. 15), and temporary non-functional loading was performed (Figs. 16, 17). The correctness of the implant placement was then further confirmed by the x-ray (Fig. 18).

Prosthetics 

After 6 months of soft and hard tissue healing, the soft tissue around the implant abutment was healthy, and the buccal contour was maintained (Fig. 19). Next, the final impression (snap-on transfer approach) was taken and a personalized HIPC crown produced (Fig. 20) and cemented (Figs. 21-23). 

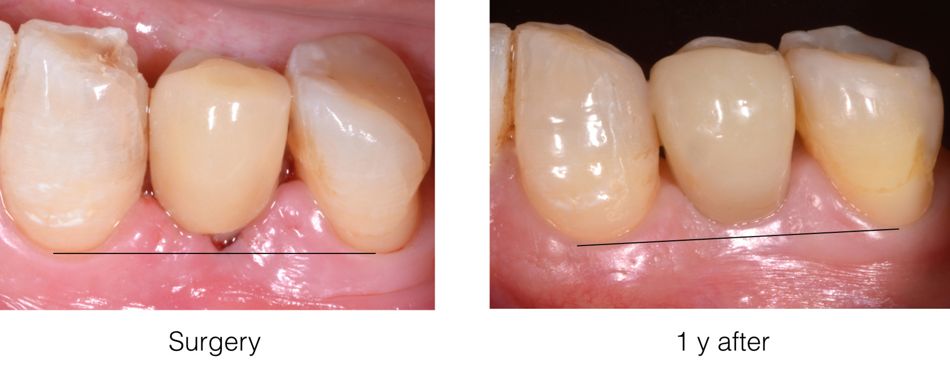
Final result

Both the surgeon and patient were very pleased to have achieved the result with only one-step surgery according to a less invasive protocol (immediate post-extractive implant placement with immediate non-functional loading).

The entire therapy was well planned, and the surgical interventions and prosthetic procedures were carefully performed. The final prosthetic result was very satisfactory. After 1 year (Figs. 24-26) and 3 years (Figs. 27-29) follow up, the clinical situation remains stable, with a stable position and unchanged hard and soft tissue volumes. No biological or technical complications were reported.