#Esthetics 28. Feb 2018

Single tooth restoration in the esthetic zone with the Straumann® PURE Ceramic Implant Monotype

A clinical case report by Joan Pi-Anfruns, Spain

This clinical case report describes a successful single tooth restoration in the esthetic zone using the Straumann® PURE Ceramic Implant Monotype, preceded by the removal of a hopeless implant from a different manufacturer. Both the patient and the dentist were extremely satisfied with the final esthetic outcome of the treatment.

Initial situation

A 53-year-old healthy female presented at the Dental Implant Center, UCLA School of Dentistry, after having an implant inserted to replace a missing tooth #11. The implant had been placed at another office, and she was not happy with the overall treatment that she had received (Figs. 1-2). She initially arrived to have the implant exposed in order to proceed with the final restoration.

Treatment planning

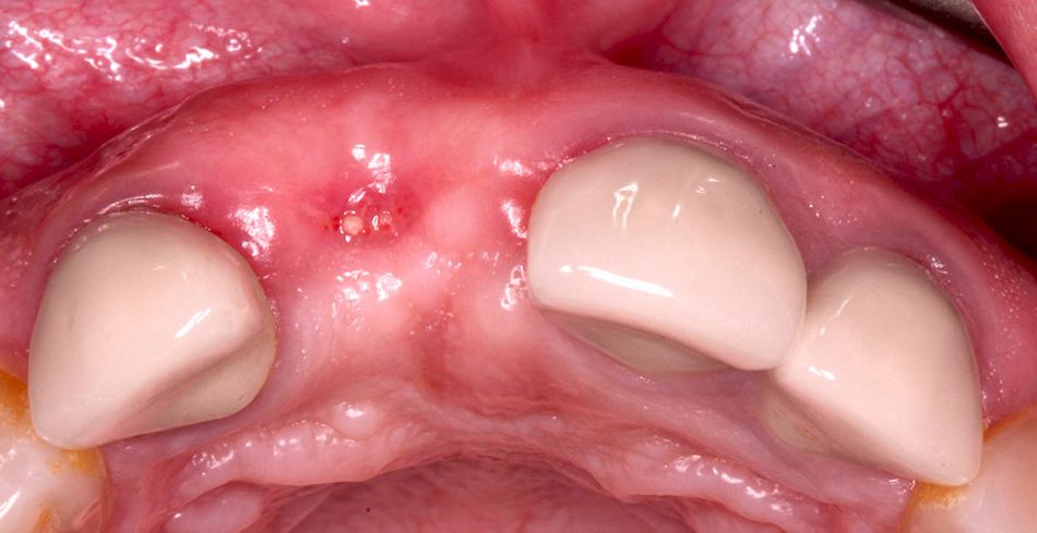
The initial treatment plan included the exposure of the previously placed implant and the subsequent delivery of a final restoration. After the implant (Zimmer®) was exposed, it was noted that it would not be possible for the implant to be restored due to the significant buccal misalignment (Figs. 3-4). The decision was then made to remove the implant. In order to achieve a better and more harmonious esthetic outcome, it was decided to include teeth #12 and 21 in the treatment plan, and the patient agreed to change the existing restorations.

Surgical procedure

A universal fixture retrieval tool (Neobiotech USA, Los Angeles, CA) was utilized to remove the implant (Figs. 5-6). The remaining socket was augmented with an allograft (Mineralized Cortical/Cancellous, Straumann®) and covered with a collagen plug (ACE Surgical, Brockton, MA) (Fig. 7). Three months later, the site had healed uneventfully (Figs. 8-9), and a Straumann® PURE 4.1 x 10 mm with an abutment height of 5.5 mm was placed with a flapless approach. A connective tissue grafting procedure was performed simultaneously (Figs. 10-13), and the patient’s temporary removable denture was adjusted in order to avoid any possible loading (Fig. 14).

Prosthetic procedure

After a healing period of three months, a fixed provisional was fabricated and delivered to begin contouring of the soft tissues (Fig. 15). Six weeks after provisional loading, final impressions were taken with polyvinyl siloxane (PVS) and three single-unit monolithic zirconia crowns were delivered (Figs. 16-17). Restorative work performed by Dr. Ting-Ling Chang, UCLA School of Dentistry.

Final result

The patient was extremely satisfied with the resolution of the problem and very happy with the final esthetic outcome. The Straumann® PURE Ceramic Implant Monotype offers a metal-free alternative to conventional implant dentistry. Soft tissue reaction to zirconia ceramic is much better than that seen for titanium implants, with healthy peri-implant tissues  and a better color match.