#Esthetics 18. May 2018

Minimally invasive blocks

Circle of experts with Dr. Dr. Dr. Oliver Blume M.Sc., Prof. Dr. Dr. Ralf Smeets, Dr. Benno Buchbinder and Dr. Michael Back M.Sc.

No second OP, perfect fit, simple procedure - the advantages of patient-individualized allogeneic bone blocks are convincing more and more implantologists and patients. Is there a new gold standard? This is being discussed by the experts.

Patient-individualized allogeneic bone blocks are gaining distinctly in acceptance. When are they indicated? 
SMEETS: This depends on a range of factors. A decisive role is played by soft tissue thickness, soft tissue mobilization, postoperative care and clinical risk factors such as smoking. Also relevant are fitting accuracy, defect localization and biological and clinical limitations.

What does this mean in practice? 
BUCHBINDER: Let’s start with fitting accuracy. Every individual plan is only as good as the data on which it is based. The preconditions for this are clear differentiation of hard and soft tissue and a uniform defect surface. Fitting difficulties are therefore to be expected with relatively fresh defects with tissue in the healing phase (low grade mineralization) and fissured defect surfaces. The bone block also requires a vital and stable receiving bed, so that especially in the maxilla larger perforations towards the maxillary sinus lead to difficulties. 

Now to the clinical and biological limitations: Because of the expected dimensional changes in the alveolar ridge, the experience of the treating surgeon is of major importance. Whereas in the horizontal plane a broadening of 5–6 mm is usually more than enough to obtain a sufficient implant site, with vertical defects great sensitivity is needed: Most users can manage up to 3 mm vertically relatively predictably. As Prof. Smeets already mentioned, soft tissue thickness and its mobilization, postoperative care and risk factors such as smoking also play a decisive role.

Have I understood this correctly: a vital receiving bed is essential? 
BUCHBINDER: A vital receiving bed makes many things easier, but cannot always be achieved. Depending on the manufacturer, according to the Patient Information Leaflet and Summary of Product Characteristics, receiving sites less well supplied with blood are either a contraindication, or attention is drawn to the need for a careful assessment of the intervention by the surgeon. 

SMEETS: My concept involves freshening the bone by drilling monocortically. Although this is not conclusively proven in the literature, it is extremely successful in practice.

Does this apply for autologous and allogeneic bone? 
SMEETS: There are no relevant studies on this subject at present. 

BUCHBINDER: For both variants there are proponents and opponents of perforating the receiving site. Especially in the posterior mandible with very thick cortical bone, however, I see no disadvantage, whereas in the maxilla in most cases this need not be done.

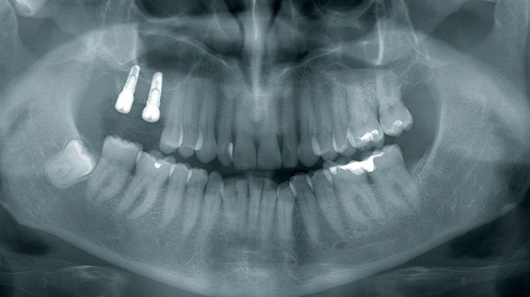
Dr. Blume, Dr. Back, in your practice you have been arguing for five years in favor of augmentation with allogeneic prefabricated bone blocks. Why? 
BLUME: The majority of our patients meanwhile reject autologous bone and request prefabricated allogeneic blocks after being informed about all the alternatives. They fit perfectly into the bone defect - like a key in a keyhole - which is a convincing argument. There is no longer any dead space, no gap between the transplanted and local bone. The operating time is short, the surgical trauma slight and the volume stability exceptionally high. Autologous bone, on the other hand, cannot be milled precisely, and suitable surgical procedures simply do not exist.

How, specifically, do you proceed? 
BACK: We work with our own DVT device. We make the image of the bone defect, discuss the situation with the patient and provide information about all the treatment alternatives - from allogeneic bone block to osteoplastic procedures like bone splitting. If the patient decides in favor of CAD/CAM-created allogeneic blocks, we send the DICOM data generated by us to the company which supplies this technology, in our case Botiss or Zimmer Dental. Here the three-dimensional bone block is designed.

How long does this take? 
BLUME: About seven days. After receiving the data, we check the fitting accuracy together with the patient and then order the allogeneic, individually produced block which reaches our practice after four to six weeks. Only from this point onwards do costs become payable by the patient.

What are the main indications? 
BLUME: We concentrate on more complicated indications: Anterior tooth, posterior teeth region in the maxilla, difficult posterior teeth region in the mandible.

What is the greatest challenge? 
BACK: As before, the incision pattern. In the first year we had several dehiscences, probably due to the immense volume increase from the transplantation. We have therefore switched from the actually typical incision pattern, which runs along the alveolar ridge, to an incision pattern with two vertical incisions into the vestibulum, which is then connected by a horizontal incision located far within the vestibulum.

BLUME: The incision pattern is reminiscent of the socket of a column, which is why we have called it pillar incision. The entire flap in the maxilla is then dissected towards palatine. The incision pattern in the mandible is somewhat different, but also very strictly paramarginal. Important: The local teeth must not be touched, because then dehiscences threaten. Since we developed these two incision patterns, the dehiscence problem in our practice has almost disappeared.

What are the main things to remember when using allogeneic materials? What is different than with autologous bone? 
BUCHBINDER: In augmentations beyond the limits mentioned initially, a risk assessment should always be performed and, if necessary, preference should after all be given to autologous bone. One key factor is the use of barrier membranes. Acellular allografts and other bone replacement materials must be shielded from rapidly proliferating fibroblasts during the initial healing phase to prevent the materials penetrating into connective tissue encapsulation of the materials. (Scientific comments DGZMK German Association for Dental, Oral and Maxillofacial Medicine).

And that isn’t the case with autologous bone? 
BUCHBINDER: No, with autologous transplants part of the cells are transplanted in the viable state and have to be supplied with nutrients as quickly as possible by newly formed blood vessels. A barrier membrane would therefore rather be obstructive.

What other distinguishing features are there? 
BLUME: Because of the different pretreatments - it is dehydrated, degreased, decellularized - the allogeneic bone block hardly has any genuine bone constituents any more, only calcium, phosphorus and collagen. The advantage: Fat cells are not present and therefore also cannot infect themselves.

As a result, however, the allogeneic bone block also lacks biological value. 
BLUME: In comparison to autologous bone certainly. But the biological value of allogeneic materials is still much greater than that of xenogenic or synthetic materials.

Which means?
BUCHBINDER: Allografts can be replaced in the long term by endogenous viable bone through the normal remodeling processes, whereas with bovine and xenogenic materials ceramo-osseous regeneration complexes form which also remain stable over the long term without mechanical loading. If it is therefore foreseeable that the augmented area will not be mechanically loaded, bovine materials should be given preference since they are not subject to resorptive processes and therefore guarantee very good long-term stability (Riachi et al. 2012/Lorean et al. 2014).

BLUME: Many bone replacement materials, not only the bovine ones, but all of them including algae, are not only dehydrated, degreased, decellularized like allografts, but are also thermally treated, i.e. baked in a blast furnace at up to 1350 °C. And only then does a calcium phosphate scaffold form from the original bovine bone

A hydroxyl apatite therefore... 
BLUME: ... exactly, and that is hardly resorbed.

So in principle it continues to exist as a foreign body? 
BLUME: You could put it like that. The allogeneic bone block, in contrast, is converted completely to autologous bone. Remodeling and not incorporation occurs, but nevertheless the allogeneic bone block maintains a very stable volume in the healing phase.

But almost all bone replacement materials also exhibit this volume maintenance.
BLUME: But allogeneic bone blocks are not granules. And this is a decisive advantage, especially in the regions in which we absolutely want to maintain the vertical height, such as in the anterior maxillary region. In addition to the resorptions, particulate materials can also collapse and thereby lose volume.

Does this also apply, for example, to BioOSS? 
BLUME: This ultimately applies to all particulate materials, whether hydroxyl apatite or tricalcium phosphate.

Do you favor autologous or allogeneic blocks on mechanical loading? 
SMEETS: Allogeneic blocks, especially because of the mechanical properties. The moldings do not rupture so easily and are less complicated to adjust. In this way many different geometries can be produced, either chairside or already in the tissue bank, which can be fitted in the patient without any greater fracture risk.

Wound dehiscences with lacking bone regeneration frequently lead to loss of the augmentation material - also with allogeneic bone blocks? 
BLUME: In our experience, if wound healing disorders develop in augmentation with allogeneic blocks, a complication develops - the exposed bone is infected and becomes necrotic - but the non-exposed bone, i.e. the bone still covered with mucosa is usually preserved. It is supplied with nutrients, comes to life and implantation is almost always possible if additional augmentation is performed. If, however, an autologous bone block is dehiscent, everything is lost - not just the bone which is exposed.

Can the shell technique protect against this? 
SMEETS: Certainly: I am a fan of the shell technique of Prof. Dr. Fouad Khoury, which defines the lateral and vertical boundary of the defect and thus determines the limits of the augmentation. Prof. Khoury explained to us at an early stage that augmentation by the shell technique is ossified better than an autologous bone block. The principle of the shell technique is based on the idea of creating a biological container which offers sufficient space for the complete incorporation of the particulate bone replacement material.

What should be particularly remembered when using the shell technique? 
SMEETS: That the cortical shell is never located too close to the implant. Sharp edges should also, for example, be rounded with a diamond sphere. It is also important to achieve absolutely tension-free and saliva-proof wound closure. Under no circumstances should the flap “chafe” at the screws. As dehiscence protection I recommend a pericardium membrane which should be fixed, i.e. sutured in place or secured with pins. Because micromovements also lead to resorptions.

But you don’t work like Khoury with autologous plates ... 
SMEETS: No, we use prefabricated bone plates of donor bone. The procedure, i.e. the technique, is identical, but the invasive operation for removal is not included. Since we also observe cases in which this cortex was not completely integrated, overaugmentation by the breadth of the cortical bone is performed. After securing with at least two osteosynthesis screws, the space in the middle is filled with allogeneic granules. The procedure is relatively simple and donor site morbidity is completely absent.

Do you still use xenogeneic or autologous material at all?
SMEETS: Of course, every material has its indication. It is naive to think that every defect can be treated with one material. This is not the case either with xenogeneic or autologous or allogeneic material. It has to be decided individually which is better. The indication in each case depends on numerous factors:

  • How much vertical distance do I have in the sinus lift? How much residual bone is still there?
  • If I have 7 to 10 mm, I don’t make a sinus lift but place short implants, if I have 3 to 6 then I decide in favor of the external sinus lift and simultaneous implantation.
  • If only 3 mm residual bone is present, I would argue in favor of an external sinus lift and a secondary implantation. Not only the choice of my material, but also the concept and the technique are multifactorial.

There’s no general answer to that? 
SMEETS: No, that is made clear in a review of 136 studies about sinus floor elevations with autologous, allogeneic, xenogeneic and synthetic bone replacement materials by Danesh-Sani from 2017. The comprehensive literature review showed:

  • After less than 4.5 months healing time, autologous bone produces the most new bone formation,
  • between 4.5 and nine months there are no differences,
  • after more than nine months, allogeneic bone replacement material produces the most new bone formation.

When would you favor titanium meshes, for example? What role does the defect size play? 
BACK: We use prefabricated titanium meshes, for example, only for manageable vertical defects. So far we have operated on twelve cases with prefabricated titanium meshes. The meshes are more cost-effective than allogeneic blocks, but can no longer be changed after fabrication. This is potentially a disadvantage.

What is the problem? 
BACK: If resorption already occurs in the healing phase, it can no longer be corrected. To date, however, we have not observed this problem. On introduction of allogeneic bone blocks, possible resorption can be planned better by overaugmentation which is corrected.

How exactly does that work? 
BACK: We already factor in expected resorptions when designing the allogeneic bone block and model the augmentation material intraoperatively when introducing it. This is not possible with titanium mesh. It has to be put in the way it is obtained. With irritation-free healing everything proceeds very well, the volume under the titanium mesh is maintained and creates a good implant bed. For larger defects, however, we prefer the allogeneic bone block. The fact that titanium meshes cannot be remodeled is certainly a disadvantage. 

SMEETS: The soft tissue handling is also difficult. I strongly advise placing a collagen membrane over the titanium mesh. 

BUCHBINDER: With bone conditions which are inhomogeneous and difficult to define, however, meshes offer clear advantages over onlay plasties, since meshes are designed only based on the desired jaw contour regardless of the surface quality of the defect. This considerably simplifies the planning. The necessity for removal and the high rate of exposures, reported by various sources as an average 30 percent, however, are to be judged negatively.

An exposure rate of 30 percent is enormous. How does that come about? And: Does that also apply to the prefabricated ones? 
SMEETS: Yes, and the exposure rates also occur with experienced surgeons. In my view, this is due to the material, the foreign body, the soft tissue coverage of the often large surface is a problem. We are currently testing meshes of magnesium so that meshes become resorbable and no longer have to be removed.

Let us come to the allogeneic bone rings: The charming thing about this technique is that the patient also receives the implant delivered immediately ... 
BACK: ... and exactly this represents a distinct risk. To date, however, we have not gathered much experience in this field. I favor a successive approach: first the construction, then the implantation. Because if the bone ring fails - which happened with us - the whole implant is lost immediately.

The research group of Dr. Bernhard Giesenhagen has been promoting the bone ring technique for several years, and meanwhile packaged allograft rings are available. The technique is regarded as minimally invasive and has many proponents. Is it really practicable? 
SMEETS: Not in principle. The technique certainly has its indications, and practitioners with a command of it can achieve outstanding results, but this demands intensive training. Because the method is not as easy as it appears. Using the bone ring technique involves fulfilling certain requirements for the design of the local bone bed. Above all, however, studies and data on the complication rates and indications are lacking. And as with all augmentation procedures, soft tissue management is often the problem.

Dr. Buchbinder, botiss offers the allogeneic bone rings. Are they “non-sellers”? 
BUCHBINDER: Not at all. In certain situations the technique is super, for example with purely vertical defects in a single-tooth gap or a single-step sinus floor elevation with minimal bone availability (1-3 mm). Even after explantation of peri-implant compromised implants which have to be removed by trepanning followed by decontamination of the area, the use of allogeneic bone rings offers interesting treatment options.

Less invasive than all augmentations is the avoidance of the bone structures. This is possible using short and reduced-diameter implants. Is this an option for you? 
SMEETS: Naturally: The implant dimensions should always be discussed. Above all, with reduced-diameter and short implants we access new indications. For example, an implant with a diameter of 2.9 mm is an elegant solution for aplasia of a 22. However, reduced implant dimensions never make a complex case into a simple one...

BLUME: ... and they don’t always make it possible to avoid an augmentation. Example: Short implants - less than 6 mm - are clearly contraindicated in the anterior region. If the vertical height is lacking, longer crowns are needed - a no-go in the aesthetic sense. But: The patient must always be informed about all the alternatives for augmentation.

BUCHBINDER: Our understanding of optimal implant-to-crown length has changed greatly in recent years. Especially with large vertical defects, however, for functional or aesthetic reasons a limit to what can be achieved without augmentation is reached at some point. With the reduced-diameter implants, naturally not only the primary stability should be taken into account, but also the age related dimensional changes in the alveolar bone should be considered. To stabilize the thin alveolar ridge, after inserting thin implants, for example, contouring with resorption stable bovine bone replacement material could provide long-term stability.

In contrast to the situation with short and reduced-diameter implants, little study data is available for the use of allografts. At the same time, there are many prejudices. How do you deal with them? 
BLUME: For allografts, quite a few studies are already available, but the situation is still meager as regards the CAD/CAM created allografts. We have implanted almost 70 bone blocks in the last five years and are surprised ourselves at how stable the volume of the allogeneic blocks has remained, especially as regards the vertical height. And for us this is also one of the main arguments why we recommend this augmentation method so highly. Such constancy in the vertical axis is not offered by other bone replacement materials.

Not autologous bone either? 
SMEETS: The data situation is unfortunately rather limited on this subject. But, for example, the study of Monje and colleagues from 2014 on bone construction before implantation in the atrophic maxilla proves in 15 projects with 361 bone blocks (follow-up 4–9 months postop) that allografts are a reliable alternative to autologous bone with lower donor site morbidity and shorter operating time. Nissan and colleagues showed in 2011 that allografts are also a safe and reliable alternative to autologous bone in bone construction before implantation in the atrophic mandible. And in contrast to autologous bone, the protocol is extremely practicable and almost simple. The DICOM dataset of the defect is generated and sent to the manufacturer who mills the allogeneic bone blocks as requested and sends them to the practice. If the office-based colleague follows the instructions - no sharp edges, the right distance from the adjacent teeth, countersink screws to prevent them chafing on the soft tissue, apply the flap correctly, work with membranes - hardly anything can go wrong. It is also important to use a collagen membrane for coverage and as closure the fibrin membrane (PRF). Please implant at the earliest after four months. The larger the defect (from 3-5 mm, vertically in the mandible six months!), the longer I wait (also depends on the general condition: for smokers and diabetics I wait longer).

Are any other studies on the way? 
BLUME: I don’t know of any yet. However, we are working intensively on processing our cases. We meanwhile also have promising histological findings.

Dr. Buchbinder, why is the study situation incomplete? 
BUCHBINDER: Because of the strict regulatory requirements there are only a small number in many countries simultaneously, but frequently only locally available products. This hinders the conduct of multicenter and large epidemiological studies. Furthermore, because of the high production costs and the small surpluses, the financial resources of the industry are frequently limited. The tissue banks operate on a non-profit basis anyway and are not themselves capable of initiating large scale studies.

 Another factor is that the success particularly of the more complex operations depends to a very great extent on the surgical abilities and preferences of the treating physician, which means that a comparison of different surgical techniques can never be objective but is rather highly subjective in nature, and incidentally this also applies to autologous bone blocks (Motamedian, Khojasteh, Khojasteh, 2016). The outstanding results of office-based practitioners usually only appear as case reports or case series, because the know-how and resources for planning and conducting large-scale studies are quite clearly lacking. In the university field, however, the patient numbers and/or the clinical routine with the techniques are also lacking, so that in future closer interlinking of the universities with privately practicing physicians would be desirable. 

SMEETS: Numerous publications on allogeneic blocks are available, but for prefabricated blocks the research data is limited.

Is that also because of the prejudices regarding donor bone? Is there after all still a hazard today? 
BUCHBINDER: A real hazard for patients simply from the use of allografts has not existed for a long time, quite apart from being currently proven. Sporadic cases of disease transmission are possibly attributable to inadequate diagnostic methods and the use of non-sterilized tissues in the past (Hinsenkamp et al., 2012). Thanks to the worldwide observation of incidents and the enormous progress in tissue banking, only a theoretical residual risk is now considered to exist, for example due to not yet described diseases. There are in fact worldwide no confirmed cases of disease transmission by chemically processed and gamma irradiated bone preparations from tested donors of the kind used in Germany. Reports of possible antigenicity and resulting possible complications in later organ transplantations are described as individual cases for fresh-frozen (O’Sullivan, 2016) and cryoconserved bone (Mosconi et al., 2009). In fact, there are now several FDA-approved products for use in orthopedics in the USA, in which processed bone allografts are even combined with isolated allogeneic viable osteogenic cells from the same donor (e.g. Vivigen, Life Net Health, Virginia Beach) for the treatment of poorly healing fractures.

So today the patient need not be concerned about the possibility of disease transmission? 
SMEETS: No, in the 1970s, 1980s and 1990s people became infected because the test methods had not yet progressed far enough. Since the introduction of so-called NAT screening (Nucleic Acid Test) no incidents have been reported. For example, in more than 250 000 allogeneic transplantations from the Charité performed between 1994 and 2015, there was not a single infection, and not a single suspected viral or bacterial infection. All products have been processed, disinfected and sterilized; that is the decisive point. Nevertheless, the patient must be informed that there is a theoretical residual risk.

Dr. Blume, Dr. Back, how do you inform patients in your practice? 
BLUME: We use only allografts approved in Germany according to the German Medicines Act. We can assume that these products were intensively tested and are safe. As a clinician, I do not call this into question. And that’s what I also explain to my patients.

What status do allografts have in dental medicine in a worldwide comparison? 
BUCHBINDER: Allografts are the most widely used bone replacement material in many countries of the world, not least in the USA. Depending on the country, allografts account for 35-40 percent of the total market in the dental sector, while synthetic materials only account for around 15-20 percent (Straumann Group 2016 Annual Report). Features particularly valued with allografts are their good handling, high remodeling potential and more rapid bone formation compared to bovine and synthetic materials (Schmitt et al., 2012). 

BLUME: Because of the CAD/CAM prefabrication, allografts have acquired a completely different value. This is naturally something we cannot do with autologous bone. We cannot place the item directly in a milling machine while the patient is undergoing an iliac crest operation. At present this only works with the allogeneic bone block. We realize how attractive this is when we receive invitations to lecture on the subject from countries all over the world. 

SMEETS: Allogeneic materials belong to the standard materials in the USA. Germany will follow suit, of that I am convinced. An increasing number of case reports show how good the materials are. They have a very good porous surface, they originate from the human body, and there is no donor site morbidity. Allogeneic materials are clearly superior to the synthetic ones, this is proven. And: Materials of animal origin are increasingly meeting with refusal. Nevertheless, patients have to be informed in detail about the residual risk.

Can autologous bone be classified as the gold standard today in view of current developments? 
BLUME: No, autologous bone can no longer be considered as the gold standard.

What in your view is the new gold standard? 
BLUME: The only gold standard that exists is: consider the therapeutic concept afresh for every patient and explain the alternative to them.

Summary:

  • Patient-individualized allogeneic bone blocks are gaining in acceptance. The operating time is short, the surgical trauma slight and the volume stability exceptionally high. Autologous bone, on the other hand, cannot be milled precisely, and suitable surgical procedures simply do not exist.
  • A real hazard for patients simply from the use of allografts has not existed for a long time, quite apart from being currently proven.
  • The success criteria of allogeneic, but also autologous bone blocks are the fitting accuracy, a vital, stable receiving bed and optimal soft tissue management.
  • Drilling the bone monocortically for freshening can help create a vital receiving bed. This appears to work well in practice, but corresponding studies are still awaited.
  • The main indications for allogeneic blocks are extensive, complicated defects in the anterior and posterior regions.
  • Prefabricated titanium meshes are also suitable for more manageable vertical defects. However, the exposure rate is very high. Moreover, the titanium meshes have to be removed and possible resorptions cannot be factored in as for allogeneic blocks - for example by overaugmentation which is later corrected.
  • Reduced implant dimensions are frequently an alternative to bone construction. However, they never make a complex case into a simple one and do not always allow augmentation to be avoided.
  • Allografts can be replaced in the long term by endogenous viable bone through the normal remodeling processes In addition to the resorptions, particulate materials can also collapse and thereby lose volume.
  • Allografts are the most widely used bone replacement material in many countries of the world, not least in the USA.

Related articles