#Esthetics 09. Jun 2020

Ceramic implants for refined esthetics and enhanced soft tissue remodeling

Interview with Dr. Kristian Kniha

Zirconia implants are biologically very well tolerated, and studies have demonstrated significant interdental papillary growth, and thus an improved esthetic outcome1. Study groups also reported less early plaque retention on zirconia than on titanium implants2. Dr. Kristian Kniha, oral surgeon at the University Hospital of the RWTH Aachen, Germany, presented the latest results from his study on the risk of mucositis around zirconia implants compared to titanium implants at "Esthetic Days" initiated by the Straumann Group Germany and held in Baden-Baden in September 2019. The interview was conducted by Dr. Aneta Pecanov-Schröder from DENTinform (http://www.dentinform.de)

The study you presented at "Esthetic Days" in Baden-Baden explores clinical, microbiological and immunological parameters in experimental peri-implant mucositis in titanium and ceramic implants in comparison to a natural tooth3,4.  What method did you adopt in this trial that you conducted with colleagues at RWTH Aachen University alongside dentist Kim Clever, Prof. Dr. Dr. Heinz Kniha and Prof. Dr. Dr. Dr. Andreas Schlegel?

Dr. Kristian Kniha: The aim of the study was to evaluate the risk of peri-implant inflammation during an experimentally generated accumulation of plaque. We enrolled 16 patients in the study who had both one-piece zirconia implants and titanium implants. These implants were in the upper jaw (16 zirconia implants and 16 titanium implants) and had been in place for at least one year and no longer than five years when the trial was conducted. The average age of the patient cohort was 57 years. Patients were required to practice careful and thorough oral hygiene for four weeks and then refrain from oral hygiene for two weeks. This meant that we could strictly control the experimental accumulation of plaque and more specifically, mucositis. There was then a four-week period of perfect oral hygiene to reverse the inflammatory process.

Paper points were used at weekly intervals to measure the immunological and microbiological parameters in the sulcus exudate. These values and specifically the pro-inflammatory key cytokines interleukin-1β, interleukin-6 and TNF-α are particularly informative in the early stage of the disease. The cytokines around IL-1β are released by the tissue macrophages after an inflammatory stimulus and are among the most important pro-inflammatory signaling substances; one of their effects is to facilitate the degradation of bone tissue. Levels of Il-6 increase as soon as there is an inflammatory reaction.

In the specific bacterial analysis, we focused on Prevotella intermedia and Tannerella forsythia. Both of these are moderately to closely associated with periodontitis and peri-implantitis and both correlate significantly with a loss of attachment and elevated bleeding index.

What were your results?

Dr. Kristian Kniha: A key outcome in terms of the parameters we explored was that the interleukin 1β results were considerably better around the zirconia implants than the titanium implants. After two weeks of plaque accumulation, levels of Prevotella intermedia and Tannerella forsythia around the zirconia implants was four times lower than around the titanium implants. All in all, it can be said that the ceramic scored significantly better in the bacterial analysis and tended to do better in the immunological analysis.

To what do you attribute these differences?

Dr. Kristian Kniha: It will have to do with the material properties of the ceramic implants. They are made of high-performance zirconia (Yttria-stabilized Tetragonal Zirconia Polycrystal, Y-TZP) The ZLA ceramic implant surface is characterized by macro- and micro-roughness, which is similar to the topography of the proven SLA surface (SLA stands for sandblasted, large-grit, acid-etched). There are studies that conclude that bacteria have poorer adhesion to micro-rough zirconia implant surfaces and also proliferate more slowly.  We are currently carrying out a systematic review and meta-analysis of the literature so that we can obtain more precise information on bacterial attachment, such as which bacteria attach, how securely they attach and their numbers. We have found 39 studies that examine this question in vitro and in vivo. The study has not yet been published, but the findings tend to favor ceramic.

Can zirconia implants with a micro-rough surface hold their own against the tried and tested titanium implants in terms of osseointegration?

Dr. Kristian Kniha: Absolutely! Animal studies have demonstrated that osseointegration is equivalent to that of Ti-SLA in terms of peri-implant bone density and BIC value (bone-to-implant contact)6. The SLA surface is one of the best-documented rough surfaces in implantology and its osseointegration capacity means that it shortens the healing time of implants7,8. The fact that the micro-rough zirconia implants osseointegrate just as well as the titanium implants is a huge milestone! Of course, ceramic is a very brittle material. How can micro-roughness be introduced in a material without provoking micro-cracks? In terms of material technology, this was a demanding and complex undertaking that was accomplished. However, not all ceramic implants are of the same standard, and each specific company has its own individual surface, processing method and topography. I believe the best approach is to gradually consolidate findings by conducting preclinical and clinical research.

It appears that biofilm formation is less prevalent on zirconia implant surfaces9. In patients with pre-existing periodontal disease or treated periodontitis, are zirconia implants not of great advantage, and should they not be given preference?

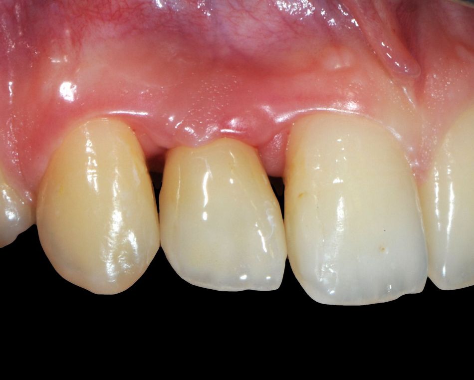
Dr. Kristian Kniha: That is definitely an interesting point. Periodontally compromised patients are at greater risk of developing peri-implantitis due to the increased bacterial load. It stands to reason that modern zirconia implants could be an advantage here, provided these patients are eligible for implantation. There are currently very few studies on this aspect of ceramic implants. However, in a trial concerning zirconia implants we were able to compare periodontally healthy with periodontally compromised patients. After one year, the mean survival rate of the implants was 100% and the success rate was 94.5%, while there was no significant difference between the two groups. The probing depths around ceramic implants average 1 to 2 mm, while they are often 3 to 4 mm for titanium implants. This is something we were able to establish in various studies1,14. A deep pocket, of course, bears the risk that more bacteria will accumulate and this in turn increases the risk of mucositis. There is another consideration I believe to be very significant in terms of application: Over time, the soft tissue between the dental crowns of the zirconia implants grows significantly in the interdental space. This is consistent with soft tissue creeping rather than pathological changes, which leads us to believe that broadly speaking, we can achieve particularly esthetic results with ceramic implants10-15.

Does this apply both to one-piece and two-piece ceramic implants? What evidence-based claims can be made at all for two-piece zirconia implants?

Dr. Kristian Kniha: There is now sufficient data on the one-piece zirconia implant and according to the International Team of Implantology (ITI) the Monotypes are an evidence-based treatment option16-19,22,23. We are currently evaluating the 8-year period in follow-up studies. During transgingival healing, the cone of one-piece ceramic implants protrudes through the gingiva. In this phase, unintentional loading of the supracrestal portion of the implant can have a detrimental impact on osseointegration. If load-free healing is not guaranteed, this would clearly be grounds to opt for two-piece implants. Clinical data on the two-piece zirconia implants is still very thin on the ground, and clinical trials are only now just getting off the ground. It is only just under two years since Straumann followed-up the one-piece zirconia implant with a two-piece reversible screw-retained ceramic implant, to meet the demands of users looking for greater flexibility in prosthetic restoration options22-24. It can be noted, however, that the initial clinical trials with two-piece micro-rough zirconia implants suggest that the soft tissue behavior is just as good as with the one-piece option.

It is important for the user to remember that not all two-piece options are alike. There are different concepts, such as how the secondary construction is connected to the implant body. Is there a reversible screw-retained design or is it bonded? What is the design of the external and internal implant geometry? Which screw material is used? And also: A current study by Stimmelmayr et al. looked at connections for the two-piece zirconia implants, such as titanium screws or screws made of PEEK. They concluded that the connection achieved with titanium screws is just as good in ceramic implants as in titanium implants25.

What is the current focus of the studies in your research group to show that two-piece ceramic implants are a reliable treatment option?

Dr. Kristian Kniha: We are working on all avenues so that there is also significantly more data available on two-piece ceramic implants. In one clinical trial, we are examining the two-piece ceramic implants in use in removable dentures. In another ongoing study involving patients with microvascular reconstruction in the jaw area, we are exploring to what extent ceramic implants can provide a reliable treatment option in this patient cohort, i.e. patients with a completely divergent anatomy in terms of hard and soft tissue, and if ceramic implants actually perform better than titanium implants in these complex cases. We are also conducting further follow-up studies looking at survival and success rates and at esthetics.

Were the patients with microvascular reconstruction treated with both fixed and removable prosthetics?

Dr. Kristian Kniha: These are exclusively fixed restorations both in the upper and lower jaw. One inclusion criterion in enrolling patients in the study is that they have undergone microvascular reconstruction. This means that, due to their size, the jaw defects were treated with microvascular fibula or iliac crest grafts. Depending on patient history, a single or up to six zirconia implants could be implanted. Initial results indicate very good success and survival rates.

Titanium or ceramic, one-piece or two-piece – what do you recommend to colleagues working in independent practices?

Dr. Kristian Kniha: As a matter of principle, I welcome a wider portfolio so that I can choose the right implant for each specific indication. Titanium implants will remain important in their application, but the proportion of ceramic implants will increase, because the material is impressive and also has its benefits. I would definitely start using zirconia implants in the practice for the sake of diversity and to offer a wider range of options to patients. This ultimately means improved patient care. I find Tissue Level Design promising for periodontal reasons. The combination of a one-piece micro-rough zirconia implant with a cemented crown comes closest to what I perceive as natural tooth. There is no microgap or micromovements originating from the screw connection. Of course, the one-piece implant demands that the implant is perfectly positioned. The market demands two-piece implants, especially because of the option of angulation. Medicine is not black and white. There isn’t just one concept that is superior to the rest; everything has its pros and cons and it is also user-specific. Both work well in the right hands.

Case 1

Case 2

Literature

  1. Kniha K, Schlegel KA, Kniha H, Modabber A, Neukam F, Kniha K. Papilla-Crown Height Dimensions around Zirconium Dioxide Implants in the Esthetic Area: A 3-Year Follow-Up Study. J Prosthodont 2019;28:e694-e698.
  2. Nakamura K, Kanno T, Milleding P, Ortengren U.: Zirconia as a dental implant abutment material: a systematic review. Int J Prosthodont. 2010 Jul-Aug;23(4):299-309.
  3. Clever K, Schlegel KA, Kniha H, Conrads G, Rink L, Modabber A, Hölzle F, Kniha K. Experimental peri-implant mucositis around titanium and zirconia implants in comparison to a natural tooth: part 1-host-derived immunological parameters.Int J Oral Maxillofac Surg. 2019 Apr;48(4):554-559. doi: 10.1016/j.ijom.2018.10.018. Epub 2018 Nov 5.
  4. Clever K, Schlegel KA, Kniha H, Conrads G, Rink L, Modabber A, Hölzle F, Kniha K.Experimental peri-implant mucositis around titanium and zirconia implants in comparison to a natural tooth: part 2-clinical and microbiological parameters. Int J Oral Maxillofac Surg. 2019 Apr;48(4):560-565. doi: 10.1016/j.ijom.2018.10.017. Epub 2018 Nov 2.
  5. Bidra AS, Rungruanganunt P.:Clinical outcomes of implant abutments in the anterior region: a systematic review. J Esthet Restor Dent. 2013 Jun;25(3):159-76. doi: 10.1111/jerd.12031. Epub 2013 May 3.
  6. Gahlert M, Kniha H, Weingart D, Schild S, Gellrich NC, Bormann KH.: A prospective clinical study to evaluate the performance of zirconium dioxide dental implants in single-tooth gaps. Clin Oral Implants Res. 2015 Apr 1. doi: 10.1111/clr.12598. [Epub ahead of print].
  7. Bischof M, Nedir R, Abi Najm S, Szmukler-Moncler S, Samson J: A five-year life-table analysis on wide neck ITI implants with prosthetic evaluation and radiographic analysis: results from a private practice. Clin Oral Implants Res. 2006 Oct;17 (5): 512-20.
  8. Cornelini R, Cangini F, Covani U, Barone A, Buser D: Immediate loading of implants with 3-unit fixed partial dentures: a 12-month clinical study. Int J Oral Maxillofac Implants. 2006 Nov-Dec; 21 (6): 914-8.
  9. Roehling S, Astasov-Frauenhoffer M, Hauser-Gerspach I, Braissant O, Woelfler H, Waltimo T, Kniha H, Gahlert M. In Vitro Biofilm Formation on Titanium and Zirconia Implant Surfaces. J Periodontol. 2017 Mar;88(3):298-307. doi: 10.1902/jop.2016.160245. Epub 2016 Oct 7.
  10. Kniha K, Schlegel KA, Kniha H, Modabber A, Neukam F, Kniha K. Papilla-Crown Height Dimensions around Zirconium Dioxide Implants in the Esthetic Area: A 3-Year Follow-Up Study. J Prosthodont. 2019 Feb;28(2):e694-e698. doi: 10.1111/jopr.12766. Epub 2018 Jan 28.
  11. Kniha K, Möhlhenrich SC, Lautner N, Kniha H, Foldenauer AC, Hölzle F, Modabber A. Influence of horizontal dimensions around single gap and adjacent zirconia implants on the papilla - a cross-sectional survey. Eur J Oral Implantol. 2017;10(4):443-451.
  12. Kniha K, Modabber A, Kniha H, Möhlhenrich SC, Hölzle F, Milz S. Dimensions of hard and soft tissue around adjacent, compared with single-tooth, zirconia implants. Br J Oral Maxillofac Surg. 2018 Jan;56(1):43-47. doi: 10.1016/j.bjoms.2017.11.005. Epub 2017 Nov 24.
  13. Kniha K, Schlegel KA, Kniha H, Modabber A, Hölzle F, Kniha K. Evaluation of peri-implant bone levels and soft tissue dimensions around zirconia implants-a three-year follow-up study. Int J Oral Maxillofac Surg. 2018 Apr;47(4):492-498. doi: 10.1016/j.ijom.2017.10.013. Epub 2017 Nov 7.
  14. Kniha K, Milz S, Kniha H, Ayoub N, Hölzle F, Modabber A. Peri-implant Crestal Bone Changes Around Zirconia Implants in Periodontally Healthy and Compromised Patients. Int J Oral Maxillofac Implants. 2018 January/February;33(1):217–222. doi: 10.11607/jomi.5598. Epub 2017 Oct 13.
  15. Kniha K, Gahlert M, Hicklin S, Brägger U, Kniha H, Milz S. Evaluation of Hard and Soft Tissue Dimensions Around Zirconium Oxide Implant-Supported Crowns: A 1-Year Retrospective Study. J Periodontol. 2016 May;87(5):511-8. doi: 10.1902/jop.2015.150441. Epub 2015 Dec 14.
  16. Engelhardt-Wölfler H: Patientenstudie Basel-München. Abschlussbericht: Verhaltensanalysen durch Prof. Dr. Henriette Engelhardt-Wölfler, Universität Bamberg, aus: Mehr als PURE Ästhetik. Die natürliche, stabile Versorgung. Starget 2014:1,35–39.
  17. Isbaner, G: Clear trend towards metal-free reconstructions. An interview with Dr. Stefan Roehling. Ceramic implants 2018:1,1-4.
  18. Roehling, S, Cochran, D: Weichgewebeintegration von Zirkonimplantaten. Forum Implantologicum 2018: 14,1, 30-37
  19. Kniha K, Kniha H, Grunert I, Edelhoff D, Hölzle F, Modabber A. Esthetic Evaluation of Maxillary Single-Tooth Zirconia Implants in the Esthetic Zone. Int J Periodontics Restorative Dent. 2019 September/October;39(5):e195–e201. doi: 10.11607/prd.3282. Epub 2018 Jun 12.
  20. Pecanov-Schröder A: Flexible Prothetik, naturidentische Ästhetik. DZW Orale Implantologie 4 (2018):26-29.
  21. Straumann: Zur wissenschaftlichen Evidenz von Straumann Keramikimplantaten https://www.straumann.com/content/dam/media-center/straumann/de-de/documents/scientific-documentation/scientific-review/straumann_de490059_pure_ceramic_implantat.pdf (Zuletzt aufgerufen: 21.10.2019)
  22. Bormann KH, Gellrich NC, Kniha H, Schild S, Weingart D, Gahlert M. A prospective clinical study to evaluate the performance of zirconium dioxide dental implants in single-tooth edentulous area: 3-year follow-up. BMC Oral Health. 2018 Nov 1;18(1):181. doi: 10.1186/s12903-018-0636-x.
  23. Gahlert M, Kniha H, Weingart D, Schild S, Gellrich NC, Bormann KH.A prospective clinical study to evaluate the performance of zirconium dioxide dental implants in single-tooth gaps. Clin Oral Implants Res. 2016 Dec;27(12):e176-e184. doi: 10.1111/clr.12598. Epub 2015 Apr 1.
  24. Pecanov-Schröder, A: Valides Implantatsystem aus „weißem Gold“. Die ZahnarztWoche Ausgabe 2014:41,14.
  25. Stimmelmayr M, Lang A, Beuer F, Mansour S, Erdelt K, Krennmair G, Güth JF. Mechanical stability of all-ceramic abutments retained with three different screw materials in two-piece zirconia implants-an in vitro study. Clinical oral investigation 2019 Sep 3. doi: 10.1007/s00784-019-03043-3. [Epub ahead of print].