#Esthetics 29. Oct 2020

Hard tissue augmentation using an allogenic bone block: a clinical case report

A clinical case report by Laurent Marchand, Irena Sailer, Stefan Paul Hicklin, Geneve, Switzerland

The high clinical survival rates has led to the fact that dental implants are often the treatment of choice for the treatment of single tooth gaps in the posterior region, where more minimally invasive and adhesive restorations are not indicated1. Unfortunately, severely atrophied alveolar crests are frequently observed after traumatic extraction of teeth, resulting in a lack of bone which may complicate the implant placement2. In such situations, an autologous bone block grafting procedure may be considered the golden standard of care, with high survival rates of both the bone block as well as the implants placed into it3.

Allogenic bone blocks offer similar osteoconductive properties compared to autologous bone due to the preserved microstructure of human bone 4. The main advantage of allogenic products is, that there is no need of a donor site and therefore significantly less patient morbidity 5. Recent studies focusing on allogenic bone grafting show overall excellent survival rates of these block grafts of 96.7% 4. Furthermore, the implants placed into allogenic blocks also show a high survival rate of 97.36% 6. At the same time, however, they may exhibit some drawbacks. It has been shown that allogenic graft sites show histologically less revascularization and bone gain when compared to autologous bone grafting 7. Additionally, a sensitization to human leucocyte antigen (HLA) and thus a higher immunological response to allogenic grafts is reported 8 9. In spite of these drawbacks, the shorter surgical intervention, reduced patient morbidity and predictable bone quality are highly advantageous aspects for both dentists and patients.

The present case demonstrates a primary bone augmentation using allogenic bone grafting material with subsequent implant placement and reconstruction with a screw-retained monolithic single crown on a titanium bonding base.

Initial Situation

A 41-year old patient presented at the University clinics of dental medicine of Geneva (Division of Fixed Prosthodontics and Biomaterials) with the primary wish to replace the missing tooth 24 which was extracted more than a decade ago. The patient was healthy, she took no medication and was a non-smoker. The visible single tooth gap at site 24 impaired the patient’s smile and was, therefore, of aesthetical concern. The intraoral examination revealed a severe hard and soft tissue defect at site 24 (Fig. 1 & 2). The tissue conditions however looked favorable, with ample keratinized tissue and a rather thick biotype. An amalgam staining in the keratinized mucosa at site 26 can also be observed.

Treatment Planning

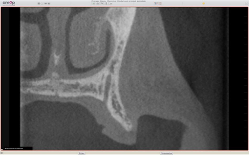
To better assess the bony situation at site 24, a CBCT radiograph was performed. It revealed a very thin bone crest with a width of approximately 3mm and a height of 16mm (Fig. 3). Several treatment options were discussed:

An adhesively cemented resin-bonded bridge, while being the least invasive treatment method, shows little evidence of success in the posterior region and was, thus, discarded as a treatment option 10. A conventional three-unit fixed dental prosthesis is a very well documented treatment modality with high survival rates 11. On the other hand, it would have involved significant preparation of healthy tooth substance of the neighboring teeth and was thus kept as a second choice. An implant supported single crown presented itself as a valid reconstruction of a single tooth gap. However, implant placement with simultaneous guided bone regeneration (GBR) could not be performed, as the radiographic examination showed that the apex of the implant was very likely to be exposed, impairing thus the primary stability of the implant. Therefore, a staged approach with a primary bone augmentation was necessary. Due to the volume of the augmentation, stability of the graft was important. Such stability can be achieved using a reinforced membrane or a block graft. In discussion with the patient it was decided to use an allogenic bone block for the primary bone augmentation. This offers less patient morbidity in comparison to the autologous block graft 12.

After bone augmentation using the allogenic block graft and a healing period of 9 months, implant placement of a regular diameter bone level type implant (Straumann Bone level implant, diam. 4.1mm Regular Crossfit RC, length 10mm; Straumann, Basel, Switzerland) at site 24 was planned. Following successful osseointegration, it was planned to use a provisional implant crown for conditioning the peri-implant mucosa to achieve an optimal emergence profile for the final crown. As final reconstruction, a monolithic ceramic screw-retained single-crown cemented onto a titanium bonding base was planned.

Surgical Procedure

For the first surgical intervention (primary bone augmentation), the patient was pre-medicated with 2000mg of Amoxicillin and 600mg Ibuprofen 1 hour before surgery. After local anesthesia, sulcular incisions at teeth 23 and 25 along with a slightly palatal-offset crestal incision were performed. A beveled vertical releasing incision mesial of tooth 23 was made and a full-thickness muco-periosteal flap was elevated (Fig.4). The extent of the bony defect was analysed and the dimensions in bucco-oral and mesio-distal directions were measured (Fig. 5). An allogenic bone block (Maxgraft® Block 10x10x10mm, Botiss Biomaterials, Zossen, Germany) was prepared extraoral accordingly and 2 screw holes were drilled into the bone block (Fig. 6 & Fig.7). To facilitate osteoconductivity and osteogenesis, several perforations were drilled into the vestibular corticalis at site 24 using a surgical round bur 13 14 (Fig. 8). The bone block was fixated by means of 2 osteosynthesis screws (Pro-Fix Bone Fixation screws, 8mm length, Osteogenics Biomedical, Lubbock USA) and the edges were rounded (Fig. 9). The block graft was then covered with a bovine bone substitute (Cerabone®, Botiss Biomaterials, Zossen, Germany, Fig. 10) and a collagen membrane (Jason® Membrane, Botiss Biomaterials, Zossen, Germany, Fig. 11). After a periosteal incision, the flap could be repositioned tensionless and was closed with 5.0 ePTFE non-absorbable monofilament sutures (Fig. 12). Antibiotics (500mg Amoxicillin & 125mg clavulanic acid, taken three times daily for 7 days), pain killers (600mg Ibuprofen, taken when needed) and 0.2% chlorhexidine mouth wash (rinsing twice daily for 1 minute) were prescribed. The sutures were removed 10 days after surgery.

After an uneventful healing period of 9 months, implant placement at position 24 was performed. After a premedication with 2000mg of Amoxicillin and 600mg of Ibuprofen, a full thickness mucoperiosteal flap was raised under local anesthesia. A good bone healing and favorable crest width was present (Fig. 13). Both osteosynthesis screws were removed (Fig. 14) and the implant bed was prepared using a conventional surgical stent as reference for ideal 3D-position of the implant (Fig. 15 & Fig. 16). The drilling sequence was performed according to the manufacturer’s recommendations and the implant (Straumann Bone Level implant, diameter 4.1mm Regular Crossfit RC, length 10mm) could be placed achieving good primary stability (Fig. 17). To prevent the resorption and to compensate for the naturally occurring remodeling of the bone block, another bone augmentation procedure was performed using a xenograft bone substitute (Cerabone®, Botiss Biomaterials, Zossen, Germany) and a collagen membrane (Jason® Membrane, Botiss Biomaterials, Zossen, Germany, Fig. 18). The flap could be repositioned without a periosteal releasing incision and was closed with a 5.0 ePTFE non-absorbable monofilament suture (Fig. 19). The same post-operative protocol was used as for the first intervention.

After an uneventful healing period of 8 weeks, the implant showed good secondary stability, but insufficient soft tissue volume at site 24 could be observed (Fig. 20). Because of the rather large augmentation procedures, some vestibulum height and height of keratinized mucosa was lost. To improve this situation, a connective tissue graft combined with a keratinized mucosal part was planned. A mid-crestal incision and sulcular incisions were made at the recipient site and a split flap pouch was created (Fig. 21). At the donor site palatal of tooth 25 with a 3mm safety distance to the gingival margin, a single-incision technique was used to harvest the graft (Fig. 22). The combined keratinized and connective tissue graft was cleaned extra-orally and then fixed with monofilament polyamide 6/0 sutures (Fig. 23). Both donor and recipient sites were then closed with a 5.0 ePTFE non-absorbable monofilament suture (Fig. 24).

After a healing period of additional 6 weeks, the re-opening was performed using the mini-roll-flap technique 15. Intraorally, an excellent hard and soft tissue situation could be observed (Fig. 25). To optimize the esthetic outcome, the re-opening procedure was chosen to augment the volume in bucco-oral direction. After de-epithelialization with a round diamond bur (Fig. 26), a semi-lunar incision on the palatal aspect of the implant site was performed and the cover screw of the implant was removed (Fig. 27). The small flap was folded inwards under the vestibular mucosa and a healing screw was placed onto the implant (Fig. 28).

This technique often does not require any sutures as the tissues are held stably in place by the healing abutment (Fig. 28). After a healing period of 2 weeks, the implant was ready for the prosthetic phase.

Prosthetic Procedure

After an uneventful healing phase of 2 weeks, the peri-implant mucosa was healthy and stable. The healing abutment was removed and a corresponding scan body (Straumann Mono Scanbody RC 025.4915, Straumann, Basel, Switzerland) was screwed onto the implant. Following an optical impression with an intraoral scanning (IOS) device (Trios 3, 3Shape, Copenhagen, Denmark), a temporary crown was fabricated using CAD/CAM technology. The crown was milled from an PMMA acrylic resin block, polished and pre-treated on the luting surface with an acrylic coupling agent. The corresponding titanium bonding base (RC Variobase for crown 022.0107, Straumann, Basel, Switzerland) was sandblasted with 28µm silica-coated aluminiumoxide particles and pretreated with a silane containing coupling agent. The temporary crown was cemented onto the bonding base using a self-curing composite cement and high-gloss polished (Fig. 29). The provisional crown was screw-retained onto the implant with a torque of 15Ncm (Fig. 30 & Fig. 31).

After 2 weeks, the temporary crown was removed and modified to improve the emergence profile for the final reconstruction (Fig. 32 & Fig. 33). The cervical portion of the temporary crown was modified using a composite resin material. After another 3 weeks, the emergence profile was ideal and the peri-implant tissues were healthy and stable (Fig. 34).

A final optical impression was taken using the same protocol as before. The screw-retained final reconstruction was made out of monolithic glass-ceramic (Fig. 35). It was designed (3Shape Dental Design software, 3Shape, Copenhagen, Denmark) and milled out of a lithium-disilicate block using CAD/CAM technology. During an intraoral try-in, the approximal and occlusal contact points were evaluated and only minor modifications had to be made. The lab technician added esthetic staining (Fig. 36) and a final try-in was performed (Fig. 37). After approval of the patient, the bonding surface of the final reconstruction was acid-etched using hydrofluoric acid and pretreated with a coupling agent. The titanium bonding base (RC Variobase for crown 022.0107, Straumann, Basel, Switzerland) was sandblasted, cleaned and silanised using the same protocol as described above. The crown was cemented onto the titanium base abutment using a self-curing composite cement and gloss polished in the laboratory. The finalized reconstruction was screw-retained onto the implant using a torque of 35Ncm. The screw access hole was closed with Teflon tape and a temporary filling material. After a settling period of 2 weeks, the screw was re-tightened again with 35Ncm and the access channel closed with a PTFE tape and resin composite.

Final Result

A detailed hygiene protocol was explained to the patient and maintenance appointments were scheduled every 6 months. The patient was very satisfied with both the esthetic and the functional result (Fig. 38 – Fig. 40). During the control visit 1 year after crown insertion, neither biological nor technical complications were observed.

Conclusion

The treatment approach shown in the present case report lead to an esthetically and functionally favorable result. A bone augmentation using an allogenic bone block graft seems to be a valid alternative to autologous grafting. The allogenic material showed a high biocompatibility and yielded a bone healing similar to what can be expected of an autologous graft. The use of an allogenic biomaterial leads to significantly less patient morbidity, as no donor site for the grafting procedure has to be created. As a negative point the higher cost of biomaterials in comparison to autologous bone grafting must be considered.

Acknowledgements

MDT Sylvain Carciofo for the laboratory work.

Straumann Switzerland for the biomaterials.

Bibliography

  1. Jung, R. E., Zembic, A., Pjetursson, B. E., Zwahlen, M. & Thoma, D. S. Systematic review of the survival rate and the incidence of biological, technical, and aesthetic complications of single crowns on implants reported in longitudinal studies with a mean follow-up of 5 years. Clin. Oral Implants Res. 23 Suppl 6, 2–21 (2012).
  2. Araújo, M. G. & Lindhe, J. Ridge alterations following tooth extraction with and without flap elevation: an experimental study in the dog. Clin. Oral Implants Res. 20, 545–549 (2009).
  3. Thoma, D. S., Maggetti, I., Waller, T., Hämmerle, C. H. F. & Jung, R. E. Clinical and patient-reported outcomes of implants placed in autogenous bone grafts and implants placed in native bone: A case-control study with a follow-up of 5-16 years. Clin. Oral Implants Res. 30, 242–251 (2019).
  4. Krasny, K., Krasny, M., Wojtowicz, A. & Kaminski, A. Allogeneic Bone Block Volume Preservation in Ridge Augmentation for Implants. Int. J. Periodontics Restorative Dent. 38, 355–360 (2018).
  5. Peleg, M. et al. Use of corticocancellous allogeneic bone blocks for augmentation of alveolar bone defects. Int. J. Oral Maxillofac. Implants 25, 153–162 (2010).
  6. Pérez-González, F. et al. Assessment of clinical outcomes and histomorphometric findings in alveolar ridge augmentation procedures with allogeneic bone block grafts: A systematic review and meta-analysis. Med. Oral Patol. Oral Cirugia Bucal 25, e291–e298 (2020).
  7. Garbin Junior, E. A. et al. Potential of autogenous or fresh-frozen allogeneic bone block grafts for bone remodelling: a histological, histometrical, and immunohistochemical analysis in rabbits. Br. J. Oral Maxillofac. Surg. 55, 589–593 (2017).
  8. Ward, W. G., Gautreaux, M. D., Lippert, D. C. & Boles, C. HLA sensitization and allograft bone graft incorporation. Clin. Orthop. 466, 1837–1848 (2008).
  9. Moraschini, V. et al. Immunological response of allogeneic bone grafting: A systematic review of prospective studies. J. Oral Pathol. Med. Off. Publ. Int. Assoc. Oral Pathol. Am. Acad. Oral Pathol. 49, 395–403 (2020).
  10. Pjetursson, B. E. et al. A systematic review of the survival and complication rates of resin-bonded bridges after an observation period of at least 5 years. Clin. Oral Implants Res. 19, 131–141 (2008).
  11. Tan, K., Pjetursson, B. E., Lang, N. P. & Chan, E. S. Y. A systematic review of the survival and complication rates of fixed partial dentures (FPDs) after an observation period of at least 5 years. Clin. Oral Implants Res. 15, 654–666 (2004).
  12. Nkenke, E. & Neukam, F. W. Autogenous bone harvesting and grafting in advanced jaw resorption: morbidity, resorption and implant survival. Eur. J. Oral Implantol. 7 Suppl 2, S203-217 (2014).
  13. Rompen, E. H., Biewer, R., Vanheusden, A., Zahedi, S. & Nusgens, B. The influence of cortical perforations and of space filling with peripheral blood on the kinetics of guided bone generation. A comparative histometric study in the rat. Clin. Oral Implants Res. 10, 85–94 (1999).
  14. Delloye, C. et al. Perforations of cortical bone allografts improve their incorporation. Clin. Orthop. 240–247 (2002) doi:10.1097/00003086-200203000-00035.
  15. Hürzeler, M. B., von Mohrenschildt, S. & Zuhr, O. Stage-two implant surgery in the esthetic zone: a new technique. Int. J. Periodontics Restorative Dent. 30, 187–193 (2010).