#Esthetics 13. Mar 2023

Artificial intelligence in the service of esthetic dentistry

Implant dentistry has undergone a remarkable transformation thanks to the adoption of digital workflows, which have improved accuracy, efficiency, and communication throughout the treatment process.

The widespread acceptance of digital workflows can be attributed to their ability to facilitate the daily work of dental professionals at every stage of the procedure, resulting in a more precise, efficient, and comfortable patient experience. By incorporating advanced technology and streamlining the care process, dentists can provide their patients with the highest level of care1,2. Artificial intelligence (AI) has revolutionized various fields, including dentistry, where it is extensively employed in treatment planning and smile design. Several AI-based smile design concepts are currently available, using machine learning algorithms to recommend an optimal smile design. They take various factors into account, including facial symmetry, lip line, tooth shape and size, and overall facial harmony, to help dentists offer their patients esthetically pleasing and functional treatments. Using AI-based concepts, dentists can achieve better treatment outcomes and enhance patient satisfaction3-5.

What are the benefits of using smile design software?

Conventional workflows in implant dentistry may be sensitive and operator-dependent and rely heavily on the expertise and experience of the practitioner. However, digital technologies have brought forth many patient-friendly and efficient opportunities, challenging traditional protocols and techniques. For example, digital smile design and treatment planning provide a more straightforward and streamlined approach, reducing dependence on operator skill and expertise while increasing precision and accuracy.

Smile design software can provide various benefits for dentists and patients, including:

  1. Enabling predictable, naturally esthetic smiles: Smile design software allows dentists to design smiles more efficiently and accurately than traditional methods. The software can quickly analyze a patient's facial features and generate multiple smile designs in minutes6.
  2. Accuracy: Smile design software uses advanced algorithms to analyze a patients' facial features and create a personalized 3D model of their smile. This can result in more accurate and natural-looking smile designs tailored to the patient's unique features7.
  3. Enabling patient engagement and case acceptance: Smile design software can simulate the proposed changes to a patient's teeth, giving the dentist and patient a clear idea of the final result. This can help to manage patient expectations and increase patient satisfaction with the final results8.
  4. Empowering efficiency and connection in teamwork: Smile design software can facilitate better communication between dentists and patients by visually representing the proposed changes. Patients can see what their smile will look like before any dental work is done, and dentists can use this to discuss treatment options and answer any questions the patient may have10.
  5. Increased patient satisfaction: By using smile design software to create personalized and natural-looking smile designs, dentists can increase patient satisfaction with the final results9

How does the software work?

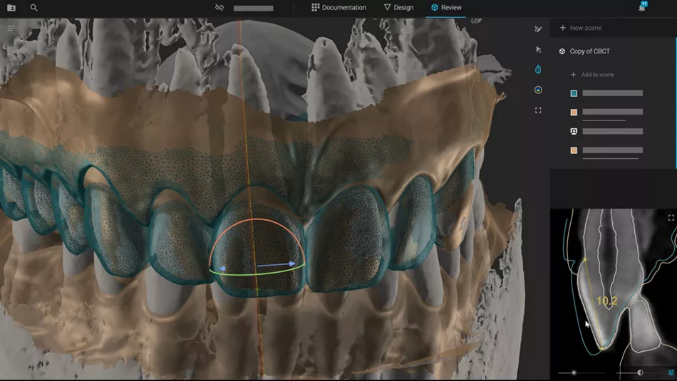
Dentists now have access to AI-based smile design software that allows them to create highly personalized and esthetically pleasing smile designs. By leveraging advanced algorithms, the software can analyze the patient's facial features, including lip line, facial symmetry, and tooth shape and size, using a series of photos, intraoral and CBCT scans uploaded into the program to create a virtual patient. With the ability to simulate, customize, and test proposed changes to the patient's dentition, the dentist and patient can clearly understand the final result before moving forward. Once a smile design has been chosen, the software can be used to review all records, communicate with dental team and start with an end in mind when planning.

Is this planning approach backed up by evidence?

Although the overall scientific evidence for using AI in the planning and execution of digital workflows is scant, the number of scientific publications and clinical reports addressing this treatment concept increases yearly. They confirm that the smile planning approach can be successfully utilized for different treatment modalities with various degrees of clinical complexity. Several clinical reports have already addressed the efficiency of the smile design software-based treatment. In a recent study, Cofar et al. described and illustrated digital treatment planning and interdisciplinary treatment in a highly complex clinical case. The case was planned and solved with the help of an intuitive, AI-powered smile design software called Smilecloud (www.smilecloud.com) that allows for an efficient design of the patient's smile during the treatment planning phase. It features a unique natural shapes search engine that is able to render compositions into virtual realistic smile designs. The authors argue that this technique allows for more natural and anatomically accurate restorations and conclude that "Digital protocols and design tools provide clear clinical roadmaps for increased efficiency, precision, and predictability, vastly improving the quality of interdisciplinary patient care"10. In another clinical report, the same authors presented the digital alveolar support technique, a treatment concept designed to produce tissue support and natural contouring in anterior implant restorations. In conclusion, Dr. Cofar emphasized that applying digital instead of conventional planning considerably simplified and facilitated the overall treatment planning procedure11. A similar digital smile design planning approach was also successfully implemented by Van Dooren et al. in their clinical report discussing the crown-lengthening concept, a surgical technique used to expose more of the tooth structure for restorative or esthetic purposes. In this article, the authors underlined another advantage of the planning software: effective communication with the patient and the technician12. Finally, the Smilecloud planning software was also used by Giordani et al. for resolving a very esthetically demanding case, including the correction of a gummy smile in conjunction with immediate implant placement. The authors acknowledged that digital tools have become essential to modern interdisciplinary treatment planning and execution. They can improve treatment outcomes by allowing efficient communication between the patient and the team, and precision in the execution of procedures and intraoperative monitoring13. Digital dentistry has significantly enhanced the predictability of oral rehabilitation through virtual planning and smile design selection. AI-based smile design software is an innovative technology transforming how dentists approach smile design, offering promising solutions for highly personalized and precise treatment. By leveraging advanced dental technology and techniques, dental professionals can now deliver high-quality esthetic dental procedures that meet each patient's unique needs and preferences. As technology continues to evolve, it has immense potential to revolutionize cosmetic dentistry and further improve patient outcomes.

References:

  1.  Joda T, Ferrari M, Gallucci G, et al. Digital technology in implant and reconstructive dentistry. Swiss Dent J. 2018;128(2):118-124.
  2. Joda T, Brägger U. Digital vs. conventional implant prosthetic workflows: a cost/time analysis. Clin Oral Implants Res. 2015 Oct;26(10):1430-5.
  3. Silva P, Marques D, Silveira J, Tondela J. Smile design software in implant dentistry: a review of the literature. J Prosthodont Res. 2021 Jul;65(3):217-226.
  4. Silva, P. G., Pimentel, M. J., & Braga, A. C. (2021). Use of digital smile design for implant-supported rehabilitations. The Journal of Prosthetic Dentistry, 126(4), 511-514.
  5. Baba NZ, Goodacre CJ, Kattadiyil MT. The role of digital smile design in implant dentistry. J Prosthet Dent. 2017 Aug;118(2):142-146.
  6. Haddad FS, et al. The use of digital smile design in cosmetic dentistry: a review. BMC Oral Health. 2019;19(1):223.
  7. Katsoulis J, et al. 3D implant position evaluation using image fusion of preoperative CBCT and intraoperative fluoroscopy: a pilot study. Int J Comput Assist Radiol Surg. 2011;6(5):683-689.
  8. Cheah CM, et al. The digital smile design concept for aesthetic rehabilitation: a systematic review. Int J Prosthodont. 2019;32(2):107-112. 
  9. DiSalvo J, et al. A digital smile design protocol (DSDP) for the management of challenging esthetic cases. J Esthet Restor Dent. 2019;31(1):48-58.
  10. Cofar F., Barbur I., Giordani G., et al. Multidisciplinary design: Creating a common perspective in complex cases J Esthet Restor Dent. 2022 Jan;34(1):244-251
  11. Cofar F, Barbur I, Giordani G, et al. The digital alveolar support technique: Use of natural shape to design the soft tissue. Quintessence Dent Technol 2021/2022;44:144–159.
  12. Van Dooren E., Cofar F. Porr I. et al. Healing Guided by Design: The Crown-Lengthening Procedure Revisited Quintessence Dent Technol 2023, article in press
  13. Giordani G., Cofar F., Van Dooren E., et al Interdisciplinary Treatments Using Digital Tools for Diagnosis, Communication, and Execution. Quintessence Dent Technol 2023;45:131–147