#Esthetics 23. Feb 2023

Full-arch rehabilitation using the Straumann® PURE Ceramic Implant

A clinical case report by Rodrigo Gomes Beltrao, Cristine Finco, Rodrigo Pohlmann, Vinicius Dutra and Marcos Chevarria, Brazil

Nowadays, ceramic materials are increasingly used in the dental field. Ceramic implants, which can be successfully included in different treatment workflows and indications, are today considered reliable thanks to the development of new surfaces, innovative materials, and enhanced clinical protocols.

Introduction

Nowadays, ceramic materials are increasingly used in the dental field. Ceramic implants, which can be successfully included in different treatment workflows and indications, are today considered reliable thanksdue to the development of new surfaces, innovative materials, and enhanced clinical protocols.

The demand for such metal-free solutions is continuously growing, and there is increased scientific evidence in response to the expanding desire for metal-free treatments, and a natural, highly esthetic- appearance looking desire, and the needs of patients with metal hypersensitivities.

Scientific publications have shown promising preclinical results and the favorable response of peri-implant tissue's favorable response to biofilm formation.1 Thus, a systematic review reported favorable results after 7 years favorable results, with a 100% survival rates offor ceramic implants of 100% and a marginal bone loss of 1.2 ± 0.76 mm.2. In addition, a recent systematic review from 2022 found that all -ceramic reconstructions supported by ceramic implants demonstrated promising survival rates after mid‐term observation.3

The following case report presents thedescribes an immediate implant placement followed by an immediate restoration protocol using Straumann® PURE Ceramic Implant for the full -arch rehabilitation of the maxilla.

Initial situation

A healthy 63-year-old female patient came to our clinic seeking dental treatment for her upper jaw. She reported being a non-smoker and having no relevant medical history or allergies. Her chief complaint included esthetic and functional issues. She had generalized dental pain and mobile teeth that did not allow her to eat properly and affected her quality of life. Moreover, she was dissatisfied with the shape, distribution, and color of her upper teeth. She also mentioned that she wanted an immediate fixed metal-free solution.

The extraoral examination revealed a smile that slightly exposed the gingiva. The cervical edges of crowns #12 and #23 were visible. A central diastema was present, and the absence of the upper premolars, molars on the right side, and #14 and molars on the left side was noted (Fig. 1).

The intraoral examination showed missing teeth in the maxilla and mandible. The periodontal examination revealed generalized tooth mobility, clinical attachment loss, inflammation, deep periodontal pockets, plaque, and bleeding upon probing (Fig. 2).

Furthermore, the CBCT examination before treatment showed vertical and horizontal bone loss, periapical lesions, and bilateral sinus pneumatization in the upper jaw (Fig. 3).

Treatment planning

The clinical and radiographic examinations indicated that the prognosis for the upper teeth was not favorable, and all were considered hopeless.

After discussing various treatment options with the patient and considering her wishes, it was decided to place a full-arch rehabilitation with a Y-TZP ceramic bridge with ceramic implants.

The main steps for the treatment workflow included:

  1. Oral hygiene instructions, restoration of cavities, and periodontal treatment in the lower jaw.
  2. Digital assessment and planning with coDiagnostiX®
  3. Position of the first surgical guide to define the positions of the fixation pins based on a teeth-supported guide.
  4. Full-arch extractions of the hopeless teeth in the upper maxilla.
  5. Use of two surgical guides for ridge reduction, and drilling protocol stabilization to enhance the 3D position of the implants.
  6. Immediate implant placement of Straumann® PURE Ceramic in the position of #16 (Ø 4.1 x 10 mm), #13 (Ø 4.1 x 12 mm), #11 (Ø 4.1 x 12 mm), #21 (Ø 4.1 x 12 mm), #23 (Ø 4.1 x 12 mm), and #26 (Ø 4.1 x 10 mm) for full-arch rehabilitation with a Y-TZP ceramic bridge.
  7. Installation of a PEEK temporary abutment for the provisional prosthesis.
  8. Final prosthetic rehabilitation with a screw-retained bridge (6 units) on implants.

The patient received oral hygiene instructions as part of the cause-related therapy. The lower jaw was periodontally treated, cavities were restored, and hopeless teeth were extracted. Given the financial issues affecting the patient, it was decided to proceed first with treating the upper jaw, maintaining the periodontal health of the lower jaw until the second phase, when monotype ceramic implants will be placed.

The treatment planning was defined by full-arch extractions with a guided procedure for ridge reduction and implant placement.

The implant selection was the Straumann® Pure Ceramic 2-piece in positions #16, #13, #11, #21, #23, and #26. The software coDiagnostiX®, which enables precise and simple planning, was the perfect solution to achieve the proper prosthetic-driven position of the implants. This step was crucial as the planned abutments are suitable for parallel implants (Figs. 4,5).

The 3D wax-up model was uploaded to the coDiagnostiX® to define the amount for ridge reduction and the optimal 3D implant position. The 3-guide sequence was drawn to create the perfect ridge contours.

The surgical planning was exported to the laboratory to create the perforations on the temporary prosthesis based on the implant positions (Figs. 6, 7).

Surgical procedure

The surgery was performed under intravenous (IV) sedation. Before surgery, the surgical guides were checked for proper fit. The first guide was used to define the position of the fixation pins, and this was based on the teeth-supported guide (Fig. 8).

After atraumatic extractions of the hopeless teeth, a full mucoperiosteal flap with a crestal incision was raised to remove inflammatory tissues and access the bone ridge. The fixation pin marks were located to insert the second guide for ridge reduction (Figs. 9,10).

The goal of bone reduction in failing dentition is to improve the alveolar ridge profile and to create the planned inter-arch space. The ridge was reduced with a bur using the pre-planned guide contours to achieve the intended inter-arch space for optimal prosthetic dimensions. The third guide was fixed on this guide to drive the implant site preparation and placement. The Straumann® Surgical Cassette was used, and the manufacturer’s instructions infor the full guide Straumann Technique guide were followed (Fig. 11).

These implants were also selected for their design and surface characteristics, which enable excellent primary stability to be achieved in extraction sockets and soft bone.

Since the primary stability of all implants was between 40 Ncm and 45 Ncm, immediate loading could be performed using the PMMA pre-milled temporary prosthesis and PURE Ceramic System temporary abutments (Figs. 12-15).

Each implant had a temporary cylinder Abutment VITA CAD-Temp® and was placed on the multiple-unit abutment screw. Next, the provisional prosthesis was seated, the passive fit in the abutments was achieved, and occlusion was checked. Since the provisional PMMA Bridge was passively adapted and the occlusion was fine, the acrylic resin was used to join the abutments to the prosthesis. Finally, the screws were tightened to 25 Ncm.

Detailed postoperative instructions were given on oral hygiene and the avoidance of extreme loading when chewing. A liquid diet was recommended for the first 2 days and only soft food for 30 days.

The suture removal appointment was planned two weeks post treatment. The healing was found to be uneventful (Fig. 16).

Prosthetic procedure

After four months, the patient had adjusted very well to the new prosthesis and was eager to move forward with the treatment plan (Fig. 17). The soft tissue contours were exactly as digitally planned (Fig. 18). Implant healing was outstanding, and osseointegration was achieved.

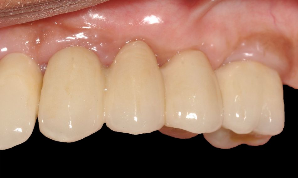
Therefore, a conventional impression was taken to deliver a Y-TZP Ceramic rehabilitation in three parts for optimal load distribution (Figs. 19,20). Straumann® PURE Ceramic Abutments were used.

The occlusion was checked, and no further adjustments were needed (Figs. 21,22).

Clinical examination atDuring the 18-month follow-up, a clinical examination was performed, and indicated excellent maintenance of the treatment was appreciated (Figs. 23-25).

Treatment outcomes

The outstanding health status of both hard and soft tissues was achieved thanks to the suitable clinical selection, planning, accurate 3-dimensional implant positioning, and an appropriate treatment protocol. These were essential for the success rate and outstanding esthetic outcome that met the patient’s requirements.

Author’s testimonial

I think PURE 2-piece implants allow clinicians to use zirconia implants not only for single cases but as a reliable solution for a multiple-unit indication, posterior zone, and challenging clinical situations. Correct planning with coDiagnostiX® software is essential to achieve successful results by placing the implant with Straumann Guided Surgery.

References

  1. Roehling, S., Schlegel, K. A., Woelfler, H., & Gahlert, M. Zirconia compared to titanium dental implants in preclinical studies-A systematic review and meta-analysis. Clinical Oral Implants Research, 2019;30, 365–395.
  2. Lorenz, J., Giulini, N., Holscher, W., Schwiertz, A., Schwarz, F., & Sader, R. Prospective controlled clinical study investigating long-term clinical parameters, patient satisfaction, and microbial contamination of zirconia implants. Clinical Implant Dentistry and Related Research, 2019; 21, 263–271.
  3. Spitznagel FA, Balmer M, Wiedemeier DB, Jung RE, Gierthmuehlen PC. Clinical outcomes of all-ceramic single crowns and fixed dental prostheses supported by ceramic implants: A systematic review and meta-analyses. Clin Oral Implants Res. 2022;33, 1-20.