#Esthetics 26. Mar 2024

Long-Term Success of Implant-Supported Rehabilitation in the Esthetic Zone: A 9-Year Follow-Up Case Report

A clinical case report by Léon Pariente and Karim Dada, France

Dental implants have revolutionized the field of restorative dentistry, offering reliable solutions for replacing missing teeth. The success of dental implant treatment relies on meticulous treatment planning, precise surgical techniques, and appropriate follow-up care. In the esthetic zone, where patient satisfaction is closely tied to the appearance of the restoration, achieving optimal outcomes becomes even more critical.

Introduction

A determinant of long-term implant success also lies in the selection of an appropriate implant system. Straumann® BLT implants, characterized by their proprietary Roxolid® material and SLActive® surface, have garnered considerable attention for their osseointegration potential and stability1,2. These implants mimic a dental root shape, as they have a smaller diameter at the apical part than at the neck of the implant. The claimed benefits of this design include enhancement of the primary stability by the pressure of the cortical bone on regions with poor bone quality, as well as the reduced risk of bone perforation due to its macrotopography3.

This case report presents the 9-year follow-up of two Straumann® BLT implants placed in the esthetic zone, focusing on their clinical performance, peri-implant tissue health, and patient satisfaction. By examining the longevity and esthetic outcomes, this report highlights the importance of careful treatment planning and execution in achieving predictable outcomes. Initial situation A 56-year-old female patient, non-smoker, classified as healthy (ASA I), with no current medications or known allergies, visited our clinic with a chief complaint centered around her persistent dissatisfaction with her smile. She reported the development of a chronic infection in her front teeth over recent years, leading to noticeable mobility. This dental concern has significantly affected her ability to eat and speak with confidence. The patient was actively seeking a long-term solution but expressed concerns about potential pain during the treatment process. The patient's extraoral examination revealed a medium smile line and misalignment of the front teeth (Figs. 1,2).

During the intraoral examination, advanced periodontal attachment loss and mobility were noted in teeth #12, #21, and #22 (Fig. 3). Cone-beam computed tomography (CBCT) imaging indicated the absence of buccal bone on tooth #21 (Fig. 4).

According to the SAC classification, the patient was classified surgically as complex and prosthetically as straightforward (Fig. 5).

Treatment planning

Taking into consideration the patient's needs and desires, the following treatment plan was chosen:

  1. Atraumatic extractions of teeth #12, #21 and #22 with alveolar curettage.
  2. Dental preparations on teeth #13, #11 and #23.
  3. Temporary resin-based bridge on teeth #13-23.
  4. Placement of Straumann® Roxolid® BLT ∅3.3 mm implant on position #12 and Straumann® Roxolid® SLActive® BLT ∅4.1 mm on position #21.
  5. Simultaneous minor bone augmentation with Straumann® XenoGraft and a collagen membrane.
  6. Immediate loading of implant #12 and delayed loading of implant #21.
  7. Papilla conformation with a temporary ovate pontic on ridge position #22.
  8. Final screw-retained crown delivery on implants #12 and #21-22.

A Center of Dental Education (CoDE) is part of a group of independent dental centers all over the world that offer excellence in oral healthcare by providing the most advanced treatment procedures based on the best available literature and the latest technology. CoDEs are where science meets practice in a real-world clinical environment.


Surgical procedure

Local anesthesia, with lidocaine 2% with epinephrine 1:100,000, was administered. This was followed by atraumatic extractions of teeth #12, #21, and #22, with alveolar curettage. Additionally, dental preparations on teeth #13, #11, and #23 were carried out (Fig. 6).

A temporary resin-based bridge was placed in the second sextant (Fig. 7). Following wound healing, horizontal and vertical deficiencies were observed at ridge position #21 (Fig. 8).

At the 6-week follow-up post dental extractions, the patient presented with uneventful wound healing (Fig. 9). A mucoperiosteal flap, with a crestal incision, was raised to facilitate implant placement. The Straumann® Surgical Cassette was employed to prepare the implant bed. Subsequently, a Straumann® Roxolid® SLActive® BLT ∅3.3 mm implant was positioned at site #12, and a Straumann® Roxolid® SLActive® BLT ∅4.1 mm implant was placed at position #21 (Fig. 10). The implants were positioned using the handpiece in a clockwise direction with a speed of 15 revolutions per minute (rpm) and torqued to 35 Newton-centimeters (Ncm). Simultaneously, bone augmentation was carried out at position #21 to enhance the structural integrity of the implant site.

A radiographic control was conducted on implant #21, five months post implant surgery, to assess the progress and ensure the integrity of the implant in its position (Fig. 11).

Prosthetic procedure

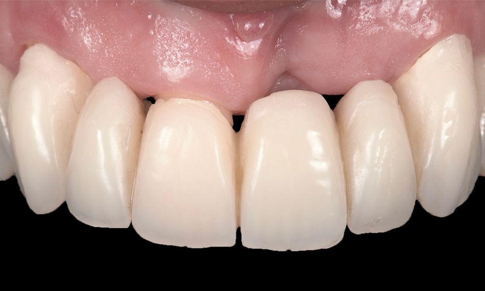
Soft tissue conformation was evaluated seven months after the delayed loading of implant #21, with the aim to assess the maturation and adaptation of the surrounding soft tissues to the implant site (Fig. 12).

After the successful healing and osseointegration of both implants, the final restorations were placed on the implants, and the screws were tightened within the range of 15 Ncm to 35 Ncm revealing a natural and esthetically pleasing appearance of the final crowns (Figs. 13,14).

Oral hygiene instructions were provided, and occlusion was checked. Recall appointments were efficiently scheduled to ensure ongoing monitoring and maintenance of the achieved oral health.

Treatment outcomes

Radiographic control was conducted at the time of the final impression to ensure an accurate assessment of the implant placement and surrounding structures (Fig. 15). Additionally, a follow-up radiographic evaluation was performed six years after the completion of the treatment to monitor the long-term stability and health of the treated area (Fig. 16).

At the six-year (Figs. 17,18) and nine-year (Fig. 19) follow-ups, comprehensive clinical and radiographic assessments underscored favorable outcomes, including osseointegration, the maintenance of bone density around the implants, and pleasing esthetics. These findings collectively indicated the success of the long-term treatment.

The treatment journey has resulted in exceptional health outcomes for both hard and soft tissues. The patient expressed her gratitude to the team, who meticulously managed each phase of the treatment.

The effectiveness of the maintenance program has been fundamental in preserving the achieved results over time. The patient reported enhanced functionality, enabling proper eating and confident speech. Furthermore, the realization of the “dream smile” stands as a testimony to the comprehensive and successful nature of the provided care.



Author’s testimonial

In our daily practice, Straumann® BLT implants have consistently delivered predictable results, particularly in the esthetic zone. We ensure seamless integration and long-term patient satisfaction through meticulous treatment planning and interdisciplinary collaboration.

References:

  1. Pariente L, Dada K, Daas M, Linder S, Dard M. Evaluation of the Treatment of Partially Edentulous Patients With Bone Level Tapered Implants: 24-Month Clinical and Radiographic Follow-Up. J Oral Implantol. 2020 Aug 1;46(4):407-413.
  2. Jung RE, Zembic A, Pjetursson BE, Zwahlen M, Thoma DS. Systematic review of the survival rate and the incidence of biological, technical, and aesthetic complications of single crowns on implants reported in longitudinal studies with a mean follow-up of 5 years. Clin Oral Implants Res. 2012;23 Suppl 6:2-21
  3. Alves CC, Neves M. Tapered implants: from indications to advantages. Int J Periodont Restorative Dent. 2009; 29: 161– 167.