#Esthetics 10. Sep 2025

Emdogain® and CTG wall technique: Interdisciplinary approach for papilla reconstruction in a patient with advanced periodontal bone loss

What is this about?

  • This case report describes the management of papilla loss in the esthetic zone for a patient with advanced localized periodontitis.

  • It explains the treatment plan and surgical steps, including the use of Straumann® Emdogain®, Straumann® XenoGraft, and advanced connective tissue grafting techniques.

  • The report highlights the long-term interdisciplinary outcome achieved through periodontal regeneration combined with orthodontic treatment.

Introduction

In patients with periodontal disease, the loss of interdental papilla is a common finding, mainly causing esthetic issues, but also concerns related to speech and function. The anatomical features of the interdental area, combined with the specific morphology of intrabony defects in periodontitis, may predispose these sites to early wound dehiscence. Such complications heighten the risk of surgical site exposure, creating favorable conditions for bacterial contamination and the development of an inflammatory infiltrate, which are predisposing factors that may significantly compromise the success of regenerative procedures (1).

Several novel techniques (2-4) have been explored to reconstruct and regenerate interdental papillae, yielding promising results and offering new approaches to enhance what has historically been a challenging aspect of periodontal surgery. In this clinical case, we describe a successful interproximal reconstruction in the esthetic area, utilizing Straumann® Emdogain® along with a connective tissue graft (CTG) wall technique (Zucchelli 2017) and orthodontic treatment.

Initial situation

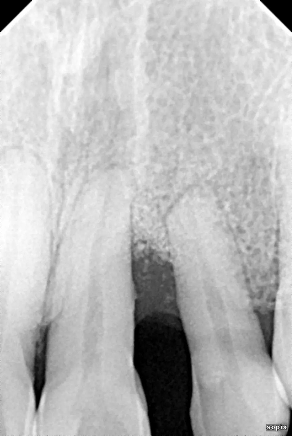
A 46-year-old male healthy (ASA I), non-smoker, with no medication, was referred to our practice for a papilla reconstruction in the anterior esthetic zone. The intraoral examination revealed a protruded and extruded tooth #22, localized erythema and edema at teeth #21 and #22, with a severe loss of the interproximal papilla. The periodontal examination revealed a PPD of 8 mm at teeth #21 and #22, and established a diagnosis of localized stage III, grade C periodontitis (Fig. 1). The radiographic examination revealed a severe vertical osseous defect (Fig. 2).

Treatment planning

  1. Cause-related non-surgical periodontal treatment with oral hygiene instruction and motivation.

  2. Periodontal reconstructive surgery at teeth #21 and #22: CTG wall technique using Straumann® Emdogain® and Straumann® XenoGraft.

  3. Conventional orthodontic treatment.

  4. Supportive periodontal care every 3 months.

Surgical procedure

A CTG wall technique was conducted with a release incision at the distal aspect of the lateral incisor (Fig. 3).

Fig. 3

Meticulous scaling and root planing was performed (Fig. 4) and revealed a combined 1- and 2-wall osseous defect (Fig. 5).

Surface conditioning was performed with Straumann® Prefgel® for 2 minutes (Fig. 6). Straumann® Emdogain® was applied immediately after saline irrigation, starting at the most apical part of the root (Fig. 7).


"Preserving teeth in the esthetic zone, especially in young patients, is essential to maintain an esthetically satisfying situation over time. To achieve an esthetically satisfying height of the gingival margin and papilla, it is crucial to regenerate as much connective tissue attachment as possible. The key is to start obtaining regeneration of root cementum and PDL through the use of Straumann® Emdogain®, and if wider defects are present, combine Emdogain® with a stable xenograft bone substitute. Avoiding loss of anterior teeth in young patients will produce better long-term outcomes and less esthetic debilitation compared to early replacement of teeth with dental implants."

Jorge Alania


The periodontal defect was filled with Straumann® XenoGraft (Fig. 8) and covered with a second layer of Straumann® Emdogain® (Fig. 9).

A CTG was harvested from the palate and stabilized over the bone graft with a horizontal mattress suture (Fig. 10).

Fig. 10

The flap was repositioned and sutured with an external vertical mattress suture and single interrupted loop sutures (Fig. 11).

Fig. 11

Control at 21 days post surgery (Fig. 12).

Fig. 12

The patient paused his treatment due to the COVID-19 pandemic. The radiographic control two years after surgery revealed significant bone fill of the defect (Fig. 13), and the patient began orthodontic treatment.

Fig. 13

A second surgery was performed to improve papilla height. A vascularized interpositional periosteal flap CTG (VIP-CT) (Sclar 2003) from the palate was rotated to the buccal aspect and divided into two portions to cover gingival recessions at teeth #21 and #22. Orthodontic treatment was interrupted for two months.

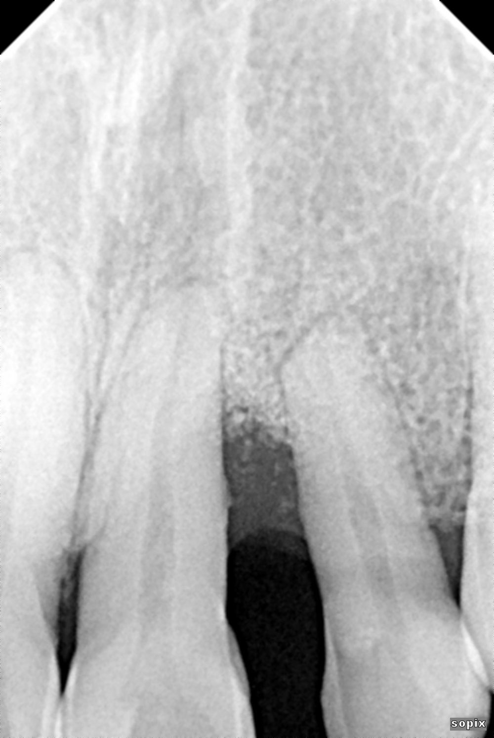
Control at one year after the second surgery. The diastema between incisors was closed with controlled movements (Fig. 14). The radiographic control revealed an important interdental bone fill and periodontal stabilization of teeth #21 and #22 (Fig. 15).

Treatment outcomes

Clinical outcomes exceeded patients’ expectations and were very satisfactory for the ortho-perio team. The soft tissues remain stable after 5 years of interdisciplinary treatment (Fig. 16). The patient expressed deep gratitude for saving his teeth: “Thanks to the entire team for collaborating so diligently over these years; the wait was truly worthwhile.”

Fig. 16


Key takeaways

  • Regenerative techniques with Straumann® Emdogain® and CTG wall technique can successfully restore papillae and regenerate periodontal support in complex cases.

  • Interdisciplinary collaboration (periodontics + orthodontics) ensures not only functional but also highly esthetic and stable outcomes.

  • Long-term follow-up (5 years) demonstrates the predictability of biologically driven regenerative approaches in preserving teeth and patient satisfaction.

References

1. Jakubowska S, Gorski B. Minimally Invasive Surgical Techniques for Periodontal Regeneration: Preserving the Entire Papilla Without Dissection—A Narrative Review. J Clin Med 2025; 14(12): 4117. doi:10.3390/jcm14124117.

2. Zucchelli G, Mounssif I, Marzadori M, Mazzotti C, Felice P, Stefanini M. Connective Tissue Graft Wall Technique and Enamel Matrix Derivative for the Treatment of Infrabony Defects: Case Reports. Int J Periodontics Restorative Dent. 2017;37(5):673-681. doi:10.11607/prd.3083

3. Rasperini G, Kazarian E, Aslan S. Coronally Advanced Entire Papilla Preservation (CA-EPP) Flap in the Treatment of an Isolated Intrabony Defect to Promote Buccal and Interproximal Soft Tissue Stability: Case Reports. Int J Periodontics Restorative Dent. 2024;44(1):9-16. doi:10.11607/prd.6851.

4. Zucchelli G, Mounssif I, Mazzotti C, et al. The Papilla Base CTG: A Novel Approach for Interdental Soft Tissue Reconstruction. Int J Periodontics Restorative Dent. Published online October 25, 2024. doi:10.11607/prd.7346.

5. Cortellini P, Tonetti MS. Clinical concepts for regenerative therapy in intrabony defects. Periodontol 2000. 2015 Jun;68(1):282-307.

6. Jepsen K, Sculean A, Jepsen S. Complications and treatment errors related to regenerative periodontal surgery. Periodontol 2000. 2023 Jun;92(1):120-134.