#Esthetics 23. May 2025

Four-unit immediate restoration in the maxillary esthetic area: five-year follow-up

This report highlights the importance of combining the Straumann® BLX implant with GBR techniques and soft tissue substitutes in the management of the esthetic zone. By addressing both biological and esthetic challenges, this approach ensures long-term success, delivering functional and visual harmony while enhancing patient satisfaction.

Introduction

The following case report presents the rehabilitation of a 62-year-old female patient with chronic apical lesions on her anterior teeth, indicated for extractions. Concerned about the impact on her appearance and functionality, the patient requested a fixed, predictable solution that would resemble her natural dentition. She also highlighted the importance of not being without teeth during the treatment and her wish for an immediate restoration to maintain her quality of life.

Restoring the esthetic zone in an older patient can present unique challenges. While the expectations for a natural and esthetically pleasing result often remain high, considerations such as reduced bone volume and soft tissue health require careful management. In this case, the presence of a thin buccal plate and chronic apical lesions added complexity, requiring advanced techniques for predictable outcomes.

The treatment plan included immediate implant placement and guided bone regeneration (GBR) to address both functional and esthetic needs. Straumann® BLX implants were selected due to their ability to achieve optimal primary stability, even in limited bone conditions. Their design is particularly advantageous for immediate placement and loading, allowing for secure anchorage and predictable results. This approach helps us to minimize the treatment time, preserve soft tissue architecture, and ensure the patient maintains function and appearance throughout the rehabilitation process.

Guided bone regeneration was essential for ridge preservation and stability. Xenograft material was used to fill the extraction sockets of the central incisors. To address soft tissue deficiencies and enhance contouring, Mucoderm®, a collagen-based soft tissue substitute, was applied to the buccal aspect of the lateral incisor regions. This combination improved tissue quality, contributing to an esthetic outcome and ensuring a natural transition between the prosthesis and tissues.

A prosthetic-driven implant planning workflow further enhanced the outcome of the treatment. The immediate placement of a screw-retained 4-unit temporary bridge allowed the patient to maintain functionality and esthetics during the osseointegration period. The final restoration, made from zirconium oxide and lithium disilicate, offered a natural-looking result that met the patient’s esthetic and functional expectations.

This report highlights the importance of combining the Straumann® BLX implant with GBR techniques and soft tissue substitutes in the management of the esthetic zone. By addressing both biological and esthetic challenges, this approach ensures long-term success, delivering functional and visual harmony while enhancing patient satisfaction.

Initial situation

A 62-year-old healthy female visited the clinic reporting chronic apical lesions on her anterior teeth that require extraction. She expressed concern about the esthetic outcome and the potential impact on her quality of life. The patient desired a predictable, fixed solution that closely resembles her natural teeth and emphasizes the importance of not being without teeth during the treatment period. She specifically requested an immediate solution.

The clinical examination revealed a medium smile line and dental bridges on teeth #13-11 and #21-23, while radiographic analysis confirmed the presence of chronic apical lesions and showed a thin buccal plate (Figs. 1,2).

Based on the SAC classification, the patient's surgical case was categorized as advanced, while the prosthodontic status was classified as complex (Fig. 3).

Treatment planning

After evaluating the clinical and radiographic findings, a prosthetic-driven implant planning workflow was applied following a comprehensive discussion with the patient (Fig. 4).

This approach also allowed for a detailed explanation of the treatment steps, ensuring the patient had a clear understanding and that her expectations were aligned with the proposed plan. The treatment plan was as follows:

  1. Cutting the present bridge between canines and lateral incisors.
  2. Extraction of hopeless central incisors.
  3. Implant insertion in the lateral incisor position.
  4. Ridge preservation in the region of the central incisors.
  5. Soft tissue grafting in buccal aspects of the lateral incisor regions.
  6. Delivery of screw-retained 4-unit temporary bridge.
  7. Monitoring during osseointegration period.
  8. Finalization with zirconium oxide and lithium disilicate 4-unit screw-retained bridge.

Surgical procedure

After administering local anesthesia with 2% lidocaine with epinephrine 1:100,000, the bridge was cut between canines and lateral incisors. Next, the hopeless central incisors were extracted using periotomes to preserve the alveolar bone. The teeth were carefully luxated and extracted without causing excessive enlargement of the sockets. Following the extractions, the sockets were thoroughly debrided using curettes to ensure proper cleaning (Fig. 5). A mucoperiosteal flap was elevated using a crestal incision. To ensure precise, prosthetically driven implant placement, a stent was utilized as a guide (Fig. 6).

The implant bed was prepared using the Straumann® BLX Surgical Cassette, with careful consideration of the bone density. Preparation began with the pilot drill (∅ 2.2 mm), following the recommended drilling protocol. The drills were used in a clockwise rotation and cooled with pre-cooled sterile saline solution. Subsequently, Straumann® BLX implants Ø 3.75 mm, Roxolid® SLActive® were placed at sites #12 and #22 using a handpiece (Figs. 7,8).

A final insertion torque of at least 35 Ncm was achieved, ensuring primary stability. The implants were placed, and the central incisor sockets could be observed before the grafting procedures (Fig. 9). Additionally, the temporary bridge with temporary screw-retained abutments was placed before the grafting procedure (Fig. 10).

Bone grafting was necessary for soft tissue management and wound healing at the extraction sites. A xenograft was placed in the central incisor sockets, and mucoderm® was applied to the buccal aspect of the lateral incisor area as a barrier membrane to ensure adequate hard and soft tissue for optimal esthetics (Figs. 11,12).

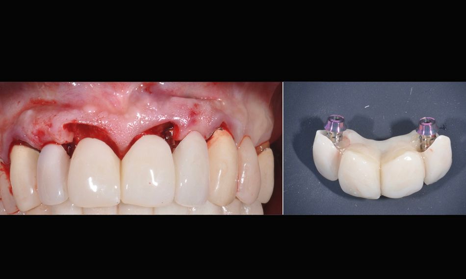
Sutures were used to close the flap, and a temporary screw-retained 4-unit bridge was delivered. Occlusion, esthetics, and function were evaluated, and postoperative instructions were given to the patient (Fig. 13).

Prosthetic procedure

At the follow-up examination 7 days after surgery, the sutures were removed, and the wound healing was progressing without complications (Fig. 14).

At 75 days post-surgery, crestal changes were evaluated, showing favorable healing and adaptation of the surrounding tissues. Soft tissue conditioning was successfully carried out at pontic sites #11 and #21 to ensure proper contouring and tissue health for the subsequent prosthetic restoration (Figs. 15,16).

This was followed by taking the definitive impression. The impression was then sent for the fabrication of a screw-retained bridge made of zirconium oxide and lithium disilicate, chosen for their high strength, biocompatibility, and esthetic qualities. Upon delivery, the prosthesis demonstrated optimal fit, functionality, and a natural appearance and patient comfort (Fig. 17).

An intraoral view 12 months after the delivery of the prosthesis demonstrated stable soft tissue integration and esthetics (Fig. 18).

After a 5-year follow-up, soft tissues were found to be in good condition, and radiographic examination confirmed the stability of the implants. No signs of peri-implantitis or bone loss were observed during the monitoring period (Figs. 19,20).

Treatment outcomes

The treatment resulted in successful functional and esthetic outcomes. The patient was very satisfied and stated: “I was amazed I could go from having failing dentition to a new anterior bridge in just one hour! I didn’t imagine this was possible: my appearance, articulation, and the function of the teeth were not compromised at all at any point in the treatment. It’s already five years, and I’ve never had to spend a day without being able to smile and live my normal life.”

Author’s testimonial (optional)

Immediate restoration must always be considered a challenging procedure. Implant planning, surgical procedure and prosthetic procedure must be extremely accurate. Optimal primary stability, absence of occlusal lateral forces and good patient compliance can be considered prerequisites for this kind of procedure.