#Esthetics 25. Nov 2025

Emdogain® for multiple recession sites and a thin phenotype in the anterior mandible

A clinical case report by Nicolas Garros, Chile (Full title: Advanced treatment using Straumann® Emdogain® for multiple recession sites and a thin phenotype in the anterior mandible)

Reading time: 4 min

What is this about?

  • How to manage multiple recessions on mandibular incisors (#33-#43) in a patient with a thin phenotype and dentin hypersensitivity.
  • What are the appropriate treatment plan and surgical steps, including a combined regenerative approach with Straumann® Emdogain® for optimal root coverage and tissue stability?
  • Learn about the comprehensive treatment protocol: Systematic approach from patient education through surgical intervention to long-term supportive care.

Introduction

A gingival recession defect is an apical migration of the gingival margin respective to the cement-enamel junction. This results in partial exposure of the root surface to the oral cavity, which may have important esthetic, functional, and periodontal health implications. The risk of developing a gingival recession defect has been associated with thin gingival tissue and a variety of etiologic factors (anatomical, inflammatory, traumatic, and iatrogenic).

Current literature suggests performing a three-dimensional enhancement of the gingival phenotype to improve the long-term stability of dental and gingival tissues (1). The subepithelial connective tissue graft in conjunction with a coronally advanced flap remains the gold standard for recession coverage procedures (2). Additionally, the association of Straumann® Emdogain® has demonstrated notable long-term improvements in clinical outcomes (3).

In this clinical case, we describe the successful multiple recession coverage of mandibular incisors with a very thin phenotype and dentin hypersensitivity, utilizing Straumann® Emdogain® along with a coronally advanced flap and a Connective Tissue Graft (CTG). This approach provided long-term tissue stability, also helping eliminate local hypersensitivity, especially during brushing.

Initial situation

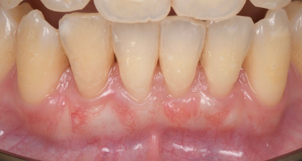
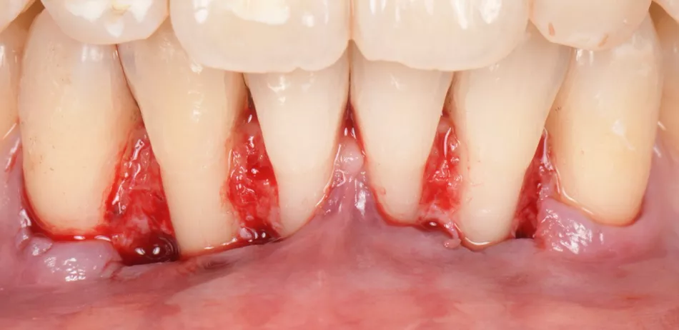
A 35-year-old female, healthy (ASA I), non-smoker, with no medication, came to our practice complaining about gingival recession and pain while brushing her mandibular incisors.

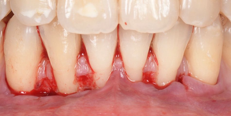
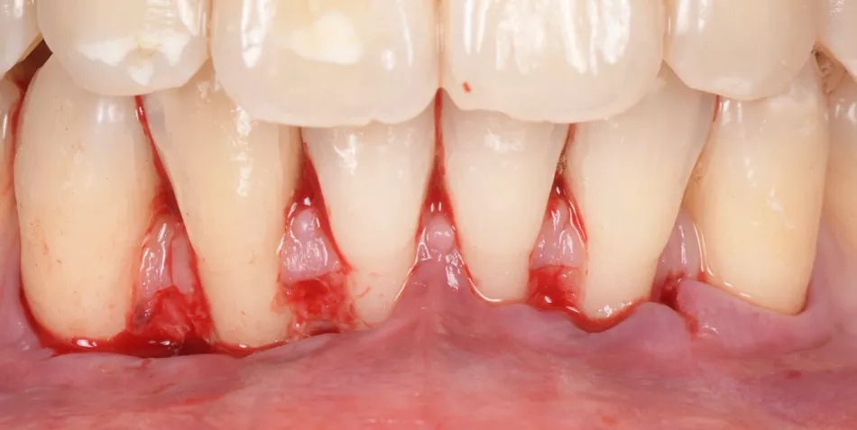
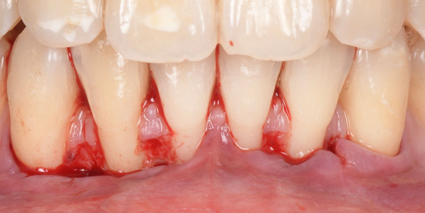
The intraoral examination revealed multiple RT 1 (Cairo 2011) gingival recessions on teeth #33 to #43, along with a thin tissue phenotype, which was associated with a traumatic toothbrushing habit (Fig. 1).

The radiographic examination revealed no interproximal bone loss (Fig. 2). 

Treatment planning

  1. Patient education intended to eliminate the traumatic tooth brushing habit.
  2. Cause-related non-surgical periodontal treatment with oral hygiene instruction and motivation.
  3. Periodontal reconstructive surgical treatment: Coronally advanced flap with two autologous connective tissue grafts and Straumann® Emdogain®.
  4. Supportive periodontal care every 3 - 6 months.

Author’s testimonial

 “The use of Straumann PrefGel and Straumann® Emdogain® has demonstrated excellent biocompatibility, handling properties, and predictable regenerative outcomes in challenging clinical scenarios.”



Surgical procedure

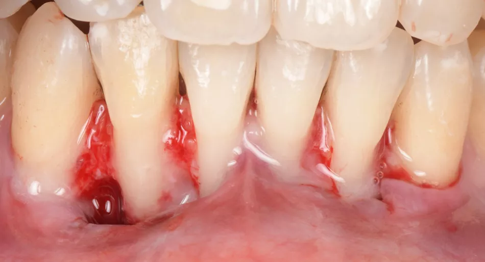
Two split-full-split flaps were raised from teeth #33 to #31 and #41 to #43, with beveled incisions at the base of the papilla (Fig. 3).

Fig. 3

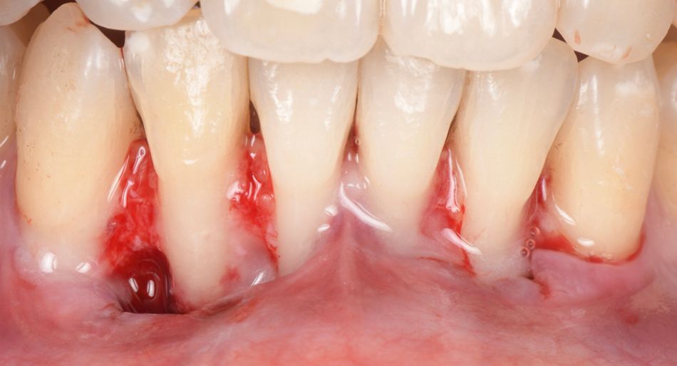
De-epithelialization of the anatomical papilla (Fig. 4).

Fig. 4

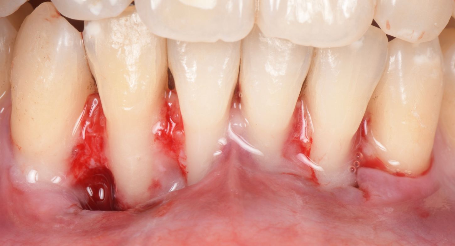
Root planing and surface conditioning with Straumann® Prefgel® for 2 minutes (Fig. 5).

Fig. 5

The first connective tissue graft was placed on denuded roots of #43, #42, and #41 (Fig. 6), and the second on #31, #32 and #33 (Fig. 7), which all had previously been treated with Straumann® Emdogain®.

The buccal flaps were coronally displaced and sutured with 6/0 sutures and tension-free closure (Fig. 8).

Fig. 8

Treatment outcomes

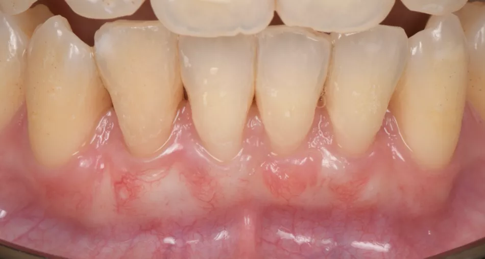
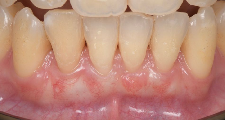
Clinical outcomes were satisfactory. During the one-year postoperative assessment, an improved gingival condition was observed, including a certain degree of root coverage, together with an increased attached and keratinized gingival width, with no evidence of frenum or muscle pull (Fig. 9). The patient expressed how glad she was due to the resolution of the pain when brushing her teeth: “Thanks to the treatment, now I am more confident and happier, because I’ve learnt how to clean my teeth properly, and without any pain!”.

Fig. 9


Key takeaways

  • Emdogain® enhances conventional CAF+CTG outcomes with improved root coverage and long-term tissue stability.
  • Thin phenotype multiple recessions can be successfully treated using three-dimensional tissue enhancement approaches.
  • Comprehensive treatment planning and supportive care are essential for maintaining long-term results in challenging cases.

References

1. Carbone AC, Joly JC, Botelho J, et al. Long-term stability of gingival margin and periodontal soft-tissue phenotype achieved after mucogingival therapy: A systematic review. J Clin Periodontol. 2024;51(2):177-195. doi:10.1111/jcpe.13900.

2. Chambrone L, Botelho J, Machado V, Mascarenhas P, Mendes JJ, Avila-Ortiz G. Does the subepithelial connective tissue graft in conjunction with a coronally advanced flap remain as the gold standard therapy for the treatment of single gingival recession defects? A systematic review and network meta-analysis. J Periodontol. 2022;93(9):1336-1352. doi:10.1002/JPER.22-0167.

3. Meza Mauricio J, Furquim CP, Bustillos-Torrez W, et al. Does enamel matrix derivative application provide additional clinical benefits in the treatment of maxillary Miller class I and II gingival recession? A systematic review and meta-analysis. Clin Oral Investig. 2021;25(4):1613-1626. doi:10.1007/s00784-021-03782-2.