#Immediacy 26. Apr 2021

A Technique Combining Straumann Zygomatic and BLX Implants for full arch rehabilitation

A clinical case report by Alex Fibishenko, Australia

The consideration of Zygoma implants is typically thought to be reserved only for severe bone atrophy from long term edentulism and denture wearing. However, bone atrophy is not the only contributor to a lack of bone. Other osseo-destructive mechanisms include odontogenic pathology, sinus anatomy and pneumatization following extraction, as well as iatrogenic factors (failed prior treatments), and may well be present in dentate individuals with terminal or dysfunctional dentitions.

Introduction

In such patients, early planning and treatment, which may include Zygomatic implants, before they face full edentulism can be highly advantageous not only through halting the progression of odontogenic diseases and its associated additional surgical constraints, but also in a patient’s journey and physical, mental and social wellbeing. Early treatment offers additional means of controlling the outcome both surgical and restorative, as well as a significant improvement in the patient experience and quality of life.

Traditionally the advanced nature of Zygomatic implants and suspected complications historically reported in the literature have led to a reluctance by clinicians to use this method before other alternatives have been all but exhausted.

However, when anatomical, biological, pathological, occlusal, or other constraints exist, which strain traditional implant treatment to the limits of its bioadaptive capacity, a new technique with Zygomatic implants may offer a more definitive alternative by working well within its limitations and a better controlled biomechanical equilibrium.

The following case report describes the new Straumann Zygomatic implant ZAGA flat used in combination with Straumann BLX implants for the successful immediate rehabilitation of a partially dentate patient who has worn partial dentures for many years and suffered from the consequences of partial dentures and significant oral dysfunction. The case report describes the rationale and the procedures leading to the fitting of final fixed implant-supported restorations within 24 hours from the surgery.

Initial situation

The patient was 61 years old female, non-smoker, diabetic (Type 2) on Metformin - well controlled, has mild osteoporosis, takes Vitamin D, mildly overweight (BMI 34.2) and has no other relevant systemic conditions.

The suffered cycles of failed dental work and tooth loss predominantly from decalcification and recurrent caries. She was referred by her dentist for bimaxillary implant-supported rehabilitation after exploring her options and considering her desires for a more definitive solution, functioning teeth and a ‘nice smile’.

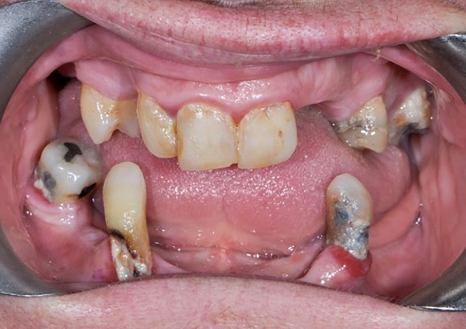
On presentation she had many missing teeth and carried upper and lower partial dentures, which she had for 30 years but has not been able to wear at all since the loss of tooth 34 shortly prior to her presentation, which served as the last remaining natural occlusal stop. She had severe oral dysfunction and was unable to bite or chew numerous foods. She was embarrassed to smile. (Fig. 1)

Oral hygiene was poor, and the remaining natural teeth had mild periodontitis with generalized horizontal bone loss (20% in the upper and 40% in the lower). The teeth were structurally compromised from large restorations and recurrent caries, and some were affected by drifting and/or supraeruption. The skeletal bases were in a Class 2 Div 2 correlation, and there was a gross collapse of the Occlusal Vertical Dimension with no stop by any natural teeth. (Fig. 2, 3, 4)

Treatment planning

For the purpose of this article the presentation will focus on the upper arch. The option to preserve the patient’s remaining upper teeth was considered but excluded due to the guarded-to-poor prognosis of those teeth, and importantly also due to the limitations/constraints of such option and obstacles to achieving the desired outcome in terms of dental and gingival aesthetics, function, hygiene, and longevity.

The removal of all the remaining upper natural teeth was preferred by both the patient and the referring dentist.

Rehabilitation with full fixed implant-supported restorations provides an opportunity to better control the outcome and an improved flexibility in the planning and design process in order to reach the functional and aesthetic expectations of the patient, as well as to facilitate improved hygiene.

Before relying on the radiographic images to plan implant positions, it was critical to assess the clinical situation and gum display. On smiling there was a moderate gum display in the upper (including in the edentulous segment), and tooth (but no gum) display in the lower. This was an important consideration in planning her treatment, and dictated a need for a moderate alveolectomy.

Rationale for Zygomatic Implants

Taking the required alveolectomy into account, the volume of maxillary bone was borderline but adequate for four implants from 5 to 5 (angulated in the posterior). Whilst this would typically provide adequate mechanical support for fixed teeth, the radiographic bone quality was Type 3-4, which would later be confirmed at surgery. The poor quality of the bone would affect the stability of standard implants, thus Zygomatic implants was considered as a more predictable alternative, subject to further intra-operative assessment.

Radiographic Assessment of Zygomatic Bone and Sinus Condition

(Fig. 5) Below there is a panoramic reconstruction of a 3-D Cone Beam CT file with the re-slice curve following the maxillary arch anteriorly and diverging laterally to capture the Zygomatic bone. This allow assessment of the maxillary bone and sinuses along the path of the planned Zygoma implants, as well as the shape and thickness of the Zygomatic bone itself (Fig. 6).

The left sinus (Fig. 5) is normal, but on the right there is thickening of the sinus mucosa. This thickening may be related to past odontogenic pathology but is inconsequential as there otherwise appears to be normal drainage and a patent opening of the osteo-meatal complex.

The thickness and cross-sectional shape of the Zygomatic bone in (Fig. 6) is not ideal and an implant with a smaller apex and thinner core, like Straumann Zygomatic Implant ZAGA Flat, has a particular advantage in such cases.

Surgical procedure

Digital Smile Design

Due to the absence of a natural occlusal stop it was important to establish and register the correct Occlusal Vertical Dimension in order for the laboratory to subsequently correlate the occlusion to the real life situation. This was achieved by construction an occlusal stop using composite material and bite registration using Coltene Jet Bite.

Using digitized pre-operative models and bite registration of the patients dentition the laboratory superimposed the digital smile design using full face photographs and digitally planned the ideal set up of teeth on planning software taking into account the patient’s aesthetic desires and open bite position.

Medication Schedule

The patient was provided with prescriptions according to the medication schedule ordinary used at our clinic.

Anaesthetic

The patient was treated under a General Anesthetic (TIVA) with a combination of propofol, midazolam, and remifentanil. Patients recover quickly using this technique, which is important for the subsequent try-in stage, which requires cooperation.

Peri-operative Medication: Dexamethasone 8mg, Cefazolin, IV Paracetamol

Surgical Technique:

After administration of local anesthetic containing adrenaline (1:100,000), a flat incision was made across the ridge and buccal aspect of the teeth preserving the maximum bulk of keratinized tissue but excluding the scalloping of the gingival margins and papillae. This design helps facilitate neat closure and enhanced biotype.

A full thickness flap was raised and the lateral incisors were extracted. An alveolectomy was performed using rongers at first, followed by a surgical pear shaped bur (Fig. 8). The level of the alveolectomy was determined by the digital smile design with reference to the incisal edges of the temporarily retained central incisors.

The central incisors also served as positional references for the implant osteotomy. The positioning of the anterior implants is critical for aesthetics as well as speech and comfort, and this method helps ensure optimal positioning (Fig. 9).

The implant osteotomy for BLX implants requires varied instrumentation depending on the quality of the bone. In this case the trabecular bone density was low with a thin cortex. Selecting the widest implant whilst allowing for minimum 1.5mm buccal plate thickness helps to achieve the requisite stability for immediate loading. In this case the bone width after the alveolectomy allowed for a 5.5mm diameter in the 12 site (extraction socket) and 5mm in the 22 site (edentulous). This required 3 step drills to full length (2.2mm, 2.8mm and 3.5mm) and a 4.2mm drill at the coronal aspect to reduce coronal compression or fracture of the alveolar bone. Unlike instrumentation in soft bone that does not have a cortical ceiling, and where drilling to full length should be on the conservative side, if apical instrumentation is inadequate in the presence of a cortical ceiling (nasal floor), even a slight deviation in the implant path could miss the smaller osteotomy at the cortex, which will cause the implant to spin and lose stability without engaging he apical cortex.

In the anterior maxilla it is possible to achieve a higher stability in soft bone by having the implant apex engage the cortical bone at the nasal floor. Instrumentation through the nasal floor is required using a final full length drill with a tip diameter that lies in between the apical diameter of the implant threads (4mm for a 5.5mm BLX implant) and the apical diameter of the body (2.6mm for a 5.5mm BLX implant). This is why a 3.5mm drill was used to full length for the selected implants.

Before placing the implant any gaps that exist due to the residual tooth socked or any bony defect is repaired using bone collected using rongers during the alveolectomy (Fig. 10).

Two Straumann BLX implants were positioned in the 12 and 22 sites (Fig. 11). The implants were sunk 1.5mm below the ridge, and were fitted with 2.5mm straight SRA abutments (Fig. 12, 13).

Mid-surgery Reference Scan

Prior to removal of the remaining teeth and placement of the posterior implants, 6.5mm healing caps were fitted to the anterior implants and an open-flap digital scan was obtained picking up both the abutments and at least 3 reference points on the existing teeth and was sent to the laboratory.

The technician correlated these references to the same marks on the digitized pre-operative models, which were also correlated already to the smile design and digitized set up.

Posterior Implants

The remaining teeth were extracted, and bone levelled as predetermined in the planning phase. Due to a combination of sinus anatomy and low-density bone without an apical cortex to help stabilize standard implants in the posterior maxilla, Zygoma implants were chosen for more reliable posterior support (Fig. 14).

In order to preserve the Schneiderian membrane a Hockey Stick lateral anterostomy was used to allow simplified instrumentation to elevate the sinus lining and at the same time define the path with a slot towards the zygomatic bone (Fig. 15).

A suitable biomaterial known for its softness and membrane-like cohesiveness and documented success in the sinus space was used as a liner against the sinus mucosa. This was followed with a layer of an adapted bone substitute, which creates a firmer base for the Zygoma drilling process (Fig. 16, 17).

Once the sinus was protected with the aforementioned layers of grafting materials, a round bur was used to drill a mid-ridge pilot hole for the ideal mid-fossa emergence of the access hole (Fig. 18).

A round Zygoma pilot drill (Round Burr for Zygomatic, ∅2.9mm) was used from the pilot hole along the trajectory of the lateral slot and into the zygomatic bone where it curves internally within the sinus. This was followed with a single twist drill (Multi-use Twist Drill for Zygomatic, ∅2.9mm) until the tip of the drill protruded through the external of the zygomatic bone (Fig. 19).

Straumann Zygomatic ZAGA Flat implant was inserted to full depth, turned to the ideal orientation for the access hole, and fitted with a multi-unit abutment. The abutment is compatible with the BLX SRA abutment and provides a universal platform, which simplifies the restorative process as well as maintenance.

Finally the connective tissue of the palate was trimmed to allow adaptation of the keratinized palatal mucosa over the ridge for improve biotype and stability of the periimplant mucosa as well as to improve hygiene (below right).

Summary of Hardware and Torques

Site 15 – STRAUMANN Zygoma ZAGA Flat 4.3x40mm @45Ncm, fitted with straight 3.5mm abutment torqued to 35Ncm

Site 12 - STRAUMANN BLX WB 5.5x12mm @80Ncm, fitted with 2.5mm straight SRA abutment torqued to 35Ncm

Site 22 - STRAUMANN BLX WB 5.0x12mm @80Ncm, fitted with 2.5mm straight SRA abutment torqued to 35Ncm

Site 25 - STRAUMANN Zygoma ZAGA Flat 4.3x35mm @45Ncm, fitted with straight 3.5mm abutment torqued to 35Ncm

The advantages of the Straumann Zygomatic ZAGA Flat include:

  • Low profile on the buccal and reduced infringement of the buccal sulcus;
  • Narrow implant mount which improves the ability to drive the implant into its optimal position;
  • 55º angle correction to facilitate optima emergence of the access hole;
  • Smooth untreated surface improves hygiene and peri-implant health in the event of a dehiscence and exposure, thus reducing the progression of infection and complications;
  • Solid and polished tip to reduce impact of protrusion through the Zygomatic bone as required for stability;
  • Narrow profile reduced biologic infringement and allows improved separation in Quad Zygoma cases.
  • (Fig. 18, 19, 20, 21)

Prosthetic procedure

After primary closure precise capture of implant positions was obtained digitally using PiC camera. The technician was then able to correlate the precise implant position to digitised set up by digitally superimposing the implant capture to the Mid-surgery Reference Scan via the anterior 2 implants.

Once all the information from the smile design right through to the precise implant position was digitally merged, the laboratory was able to design and produce a template of the set up to fit on the implants, and also to design a titanium frame for subsequent production of the final teeth.

The templates were tried in the mouth 3 hours after the surgery. Within this timeframe the patient is still in a relaxed state but the local anesthetic has worn off, and the post-operative swelling has not commenced. This creates the ideal conditions for assessing the aesthetics, phonetics vertical dimension and occlusion, and making the necessary adjustments before fabricating the final teeth. Once all adjustments were made, a bite registration was obtained, the teeth templates removed and sent to the lab. A duplicate set of the templates was then inserted and adjusted to eliminate premature contacts, and the patient was able to leave with same day teeth. (Fig. 22, 23, 24)

The laboratory used the adjusted templates to mount printed models, obtain keys, and then construct the final teeth in High Impact Acrylic over the titanium frame that was milled overnight. (Fig. 25)

Treatment outcomes

The patient was thrilled with both her result as well as the quick turnaround to receive her final teeth. She is pictured below 3 weeks after her surgery.

On subsequent review at 3 months she was fitter, lost weight and stated that the treatment has changed her life on so many levels. She was confident and proud of her smile. (Fig. 26)