#Immediacy 03. Nov 2023

Straumann® BLX immediate implant placement and provisional restoration in the esthetic zone: 4-year follow-up

A clinical case report by Luiz Otavio Camargo, Brazil

The immediate implant placement approach, introduced decades ago, has established the practice of implant placement in freshly extracted sockets. Indeed, research and evidence support the assertion that immediate restoration is at least as effective and safe as delayed restoration.(1)

Immediate implant placement offers notable benefits, such as a reduced number of surgical interventions, a shorter overall treatment duration, and improve esthetic outcomes. This approach also preserves the existing bone and gingival structure, contributing to the support of interdental papillae.2

However, reaching and maintaining optimal gingival esthetics around implants in the anterior region is a challenging task. Ensuring sufficient primary stability is a prerequisite for the success of this approach. The design of the implant itself is a crucial factor. Recently, the findings from a series of cases indicated that the immediate placement of a novel self-cutting, tapered implant (Straumann® BLX, Institut Straumann AG, Basel, Switzerland) with immediate provisionalization through an integrated digital workflow, can yield reliable functional and esthetic outcomes when transitioning compromised single teeth in the esthetic zone.3

The Straumann® BLX Implants are made from Roxolid® material with the SLActive® surface. The use of Roxolid® material allows for the placement of reduced-diameter implants while ensuring successful osseointegration. Moreover, the integration of SLActive® surface technology accelerates osseointegration and minimizes the healing period.

The following case report outlines a successful treatment result for a compromised tooth in the esthetic region, characterized by a thin gingival biotype. The treatment involved the utilization of the Straumann® BLX Implant System, along with botiss cerabone® and botiss mucoderm®, with a digital workflow.

Initial situation

A young and healthy 25-year-old male patient, a non-smoker, presented at our clinic due to the fracture of his crown on the upper right lateral incisor. The patient was seeking a prompt, durable, and esthetic solution.

The extraoral examination showed a medium smile line. On intraoral examination, a metal-ceramic crown with chipping on the palatal side was observed on tooth #12 (Figs. 1,2).

After the crown was removed, there was not enough stump left. The tooth was listed as hopeless. Additionally, signs of gingival inflammation around the residual root were noted (Figs. 3,4).

The cone beam computed tomography (CBCT) imaging revealed that the root was oriented toward the buccal wall (~1 mm), and that there was an adequate amount of apical bone, making it feasible for an immediate implant placement (Fig. 5).

In terms of the SAC classification, the patient was categorized as surgically complex and prosthodontically advanced (Fig. 6).


A Center of Dental Education (CoDE) is part of a group of independent dental centers all over the world that offer excellence in oral healthcare by providing the most advanced treatment procedures based on the best available literature and the latest technology. CoDEs are where science meets practice in a real-world clinical environment.


Treatment planning

Considering the clinical and radiographic observations, the chosen treatment approach included the immediate implant placement and subsequent restoration. The treatment workflow was as follows:

  1. Multifunctional guide preparation (surgical guide and future provisional restoration).
  2. Extraction of hopeless tooth #12.
  3. Immediate Straumann® BLX Roxolid®, SLActive®. 3.75 x 12 mm implant insertion without flap elevation.
  4. Gap filling with Cerabone® and Mucoderm® placement on the buccal zone.
  5. Immediate temporary abutment and chairside tooth shell pick-up. 
  6. Digital crown planning with Straumann® CARES® Visual.
  7. Final screw-retained crown delivery.

Surgical procedure

Before the surgical procedure, the individualized and prefabricated multifunctional guide, serving as both a surgical guide and a prospective temporary restoration, was checked in the oral cavity to ensure accurate fitting (Fig. 7). After verification of the proper position and fitting, a local anesthetic containing 2% lidocaine and 1:100,000 epinephrine was administered. Next, a careful and gentle extraction of tooth #12 was carried out with the aim of minimizing trauma. The socket was debrided using a bone curette, accompanied by irrigation with saline solution. An evaluation of the gingival margins then revealed a gap of 3 mm between the gingival margin and the bone buccal wall margin (Fig. 8).

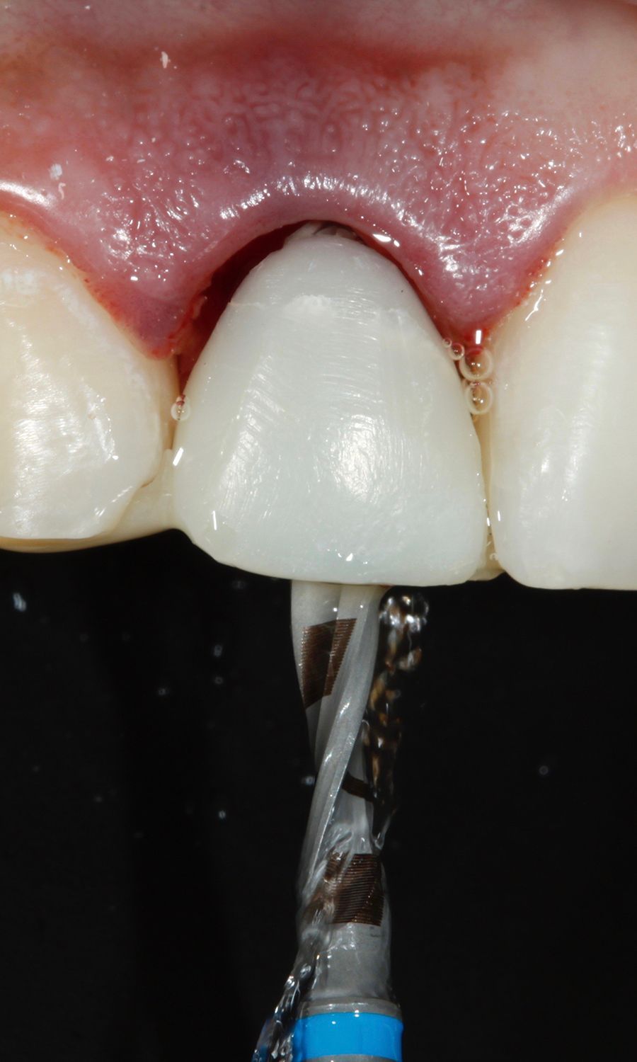
Within the Straumann® Implant System, all BLX drills are delivered with a distinct color code that corresponds to the specific diameter of the implant. The implant bed was prepared following a prescribed sequence that included the utilization of a needle drill 1.6 mm, followed by a 2.2 mm pilot drill (blue) and a subsequent 2.8 mm BLX drill (yellow) (Figs. 9,10), in accordance with the position determined by the surgical guide. The surgical guide, along with the alignment pin, was employed to ensure precise depth measurements and the accurate alignment of the osteotomy's orientation and position (Fig. 11).

After the drilling procedure was concluded according to the manufacturer's instructions, the osteotomy was checked using an implant depth gauge (∅ 2.1 mm end) for accurate depth measurement, tactile examination of the osteotomy and the verification of the integrity of the buccal wall (Figs. 12,13).

Then the Straumann® BLX 3.75 x 12 mm implant was inserted into its final position using the implant driver, and tightened to a torque of 50 Ncm with the BLX Torque Control Device for Ratchet, surgical, by turning it clockwise (Figs. 14,15). The implant achieved optimal primary stability.

The space between the implant and the buccal wall was filled with a botiss cerabone® xenograft. This product was chosen due to its sustained graft presence, which aids in preserving volume over the long term (Fig. 16). Subsequently, gingival tunneling was performed, and botiss mucoderm® was positioned on the buccal side with a 5-0 nylon suture. This was done to facilitate the gradual growth of bone tissue into the grafted area (Fig. 17).

Prosthetic procedure

The BLX implant was placed according to the prosthetic plan (Fig. 18). Subsequently, the multifunctional guide was adhered to the temporary abutment by injecting flowable resin into the contours (Fig. 19).

Furthermore, the subgingival segment was contoured with flowable composite in accordance with the slim concave emergence profile concept, contributing to the shaping of the gingival tissues (Figs. 20,21).

The final prothesis was created through a digital workflow. A digital impression was acquired using the Straumann® Virtuo Vivo™ Intraoral Scanner. The intraoral scanner accurately captured the 3D implant position facilitated by a scanbody attached to the BLX implant (Fig. 22).Next, an STL file was generated. We then used CARES® Visual, acknowledged as one of the dental industry's most flexible and powerful CAD/CAM software platforms for the purpose of designing dental restorations, to design the crown of #12 (Fig. 23).

Afterwards, the Straumann® CARES® C series was employed in-house to mill a customized lithium disilicate abutment (Figs. 24-26). The abutment was cemented extraorally to an RB/WB Variobase® using Multilink® cement (Fig. 27).

A veneer made from lithium disilicate was then adhered to the customized abutment (Figs. 28,29).

Subsequently, the restoration was placed into position by screwing it with a torque of 35 Ncm (Fig. 30). The access holes were then filled with a composite restoration and Teflon. A thorough occlusion check was conducted, and oral hygiene instructions were provided.

Treatment outcomes

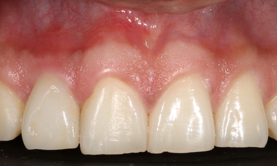
The patient was very satisfied with the implant placement procedure and the opportunity to receive a restoration promptly following the extraction of his anterior tooth (Figs. 31-33). The patient was enrolled in an annual maintenance program.

The final outcome resulted in health maintenance in the hard and soft tissues.

Author’s testimonial

“Reaching and maintaining optimal gingival esthetics around implants in the anterior region is a challenging task. One of the main characteristics of immediate implant placement and provisionalization is its effectiveness in the esthetic outcome, preserving the existing bone and gingival architecture. Adequate primary stability is a prerequisite to enable this type of treatment. The implant design plays an important role in this context. In my clinical experience, the Straumann® BLX implant offers the ideal properties for these clinical situations. At the same time, the SLActive® surface has an impact on the early osseointegration of immediately restored implants”.

References:

  1. Barone A, Toti P, Quaranta A, Derchi G, Covani U. The Clinical Outcomes of Immediate Versus Delayed Restoration Procedures on Immediate Implants: A Comparative Cohort Study for Single-Tooth Replacement. Clin Implant Dent Relat Res. 2015;17:1114-26.
  2. Bhola M, Neely AL, Kolhatkar S. Immediate implant placement: clinical decisions, advantages, and disadvantages. J Prosthodont. 2008,17:576-81.
  3. Pariente L, Dada K, Linder S, Dard M. Immediate Implant Placement in the Esthetic Zone Using a Novel Tapered Implant Design and a Digital Integrated Workflow: A Case Series [published online ahead of print, 2023 Jun 20]. Int J Periodontics Restorative Dent.