#Patientcomfort 20. Sep 2021

The pandemic has changed our work patterns – an interview with Dr. Cem Yildiz for the 25th anniversary of Straumann® Emdogain®

You can’t buy experience – you have to earn it. In its 25 years of commercial availability, Straumann® Emdogain® has earned the respect of thousands of periodontists, oral surgeons, implantologists and dentists around the world. And in 2020 we celebrated the 25th anniversary of the first clinical use of Emdogain®. Since then, respected leaders in regenerative dentistry have counted on Straumann® Emdogain® to improve clinical outcome in various treatment indications. Some have shared their case studies with us and their thoughts on the concepts of expertise and experience in this series of anniversary interviews. Today we are interviewing Dr. Cem Yildiz from Turkey.

You have had a private practice in Ankara for almost 20 years. Were you always based in this dynamic city?

Yes, I have spent all my life in Ankara, the capital of Turkey. I also obtained my dental degree and PhD in periodontology at Gazi University, Faculty of Dentistry in Ankara.

Do you remember your first challenges as a student and PhD?

When I was a student and an intern in the periodontology department, I had a patient who presented with really painful gingival inflammation. It was awe-inspiring for me to see the patient satisfaction and response of the tissues as a result of the treatment I performed. From that point on, dentistry and especially periodontology have been my main vocations.

Does dentistry run in your family?

Yes, my father is also a dentist. He has worked for more than 30 years in both a hospital and his private clinic. For the last 4 years, we have been working together in our practice. He is one of the great mentors in my life and career. Today, I still benefit from his advice.

“The miracle is to start by understanding and knowing what situation you are about to treat and how you can treat it. Then you have to understand the biology behind your treatment.” C. Yildiz

You spend a fair amount of time in your clinic but, at the same time, you lecture on many stages. How do you manage to combine these two passions?

Both are indeed my passions. I have always enjoyed sharing my knowledge and passing it on to my colleagues in my career. I even used to teach math while I was at university.

Since 2011, the frequency of my lectures and courses has steadily increased. Before the pandemic, I spent almost 100 days a year on lectures and courses organized worldwide. For my part, I am delighted to give lectures and workshops and spend time on a lot of flights. My team has a significant role in managing this intense and complex process. I want to thank all of them for their kind support.

There’s still room for hobbies? I’ve heard you’re a great underwater photographer 😊

I have been involved in diving and underwater photography for over 11 years. During this time, I have dived and taken underwater photos in many parts of the world. For me, the best way to get rid of the intense and stressful part of dentistry and to be refreshed is to go diving with my camera.

We are going through post-pandemic times; how is COVID-19 impacting your recreational activities and professional life?

For many years before the Covid-19 pandemic situation, I had been living according to a specific schedule. It covered where and what to do on which day, and was planned almost a year in advance. And of course, I complained about the lack of time. With the pandemic, all of our programs were canceled and our clinical work patterns changed.

Now, in this new normal life, we have renewed our daily clinic work patterns and started to organize our courses and events in a new way. I hope this catastrophic situation ends as soon as possible and we can return to our usual, familiar way of life.

“Straumann® Emdogain® is a unique biological material that enables real periodontal regeneration by supporting the development of new cementum.” C. Yildiz

What is your overall experience with Straumann® Emdogain®, our product with 25 years of experience?

I started to use Straumann® Emdogain® in 2006 during my postgraduate education. Since then, the main indications for which I utilize Straumann® Emdogain® are intrabony defects and furcation defects, alone or in combination with grafting materials. I also use it regularly in my mucogingival surgeries. Recently, I have also been using Straumann® Emdogain® FL applied non-surgically in flapless periodontal procedures. Overall, I can say that Emdogain® is a unique biological material that enables real periodontal regeneration by supporting the development of new cementum. In addition, it has allowed me to obtain good results in early wound healing.

Today, many scientific studies are reporting that Straumann® Emdogain® promotes periodontal regeneration and supports early wound healing.

What do you think Straumann® Emdogain®’s success is based on?

Based on a correct indication for periodontal regenerative treatments, Straumann® Emdogain® removes the complexity of grafting procedures and reduces the risk of wound healing complications. On the other hand, Straumann® Emdogain® provides a real regeneration by precipitating on the root surface to form a matrix that bio-stimulates and promotes the formation of new cementum.

Based on your clinical expertise, what do you think dentists should do more and what less?

We know first that implants work very well and that, in most patients, implants function year after year without any problem. Therefore, many dentists find it easier to remove a tooth and place an implant than to use the treatment approaches found in the literature to treat the tooth for its conditions. My clinical experience has shown me that we must think twice before extracting the tooth and placing an implant. We must take more opportunities to save teeth in specific and ideal periodontal treatment approaches and with the right conditions.

Can you share with us any good advice that you have received?

Do not lock yourself in the clinics and limit yourself to only a few treatment protocols for all your patients. We have to open our minds to different approaches without leaving out the evidence-based dentistry data. Follow many dental societies and attend their events to discover new technologies and new professional opportunities.

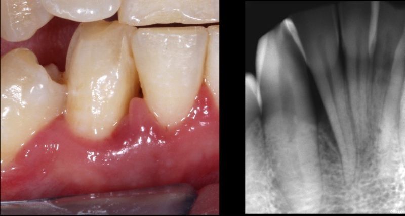
A deep intrabony defect treated with Straumann® Emdogain® – 10-year follow-up of a clinical case

Expert tips: No single concept or biomaterial can perform a miracle. The miracle is to start by understanding and knowing what situation you are about to treat and how you can treat it. Then you have to understand the biology behind your treatment. Lastly, the treatment concepts and biomaterials work well if the indication is correct and the treatment steps are applied correctly. And only then will you be able to see your miracle.


Straumann® Emdogain® is a unique gel containing enamel matrix derivative of porcine origin. The main component is amelogenin, which has demonstrated the ability to stimulate certain cells types involved in the healing process of soft and hard tissues towards a regenerative pattern, thus leading to true periodontal regeneration1 and accelerated oral wound healing2. Emdogain® has a respected legacy as an irreplaceable tool for periodontology backed by extensive and long-term clinical documentation including studies with 10 years of follow-up3,4. Over the past 25 years it has been used in over 2.5 million patients5 and it is documented in over 1,000 scientific publications, including over 600 clinical papers6 on various indications. For more information: click here.

References:

  1. Bosshardt DD. Biological mediators and periodontal regeneration: a review of enamel matrix proteins at the cellular and molecular levels. J Clin Periodontol. 2008;35(8 Suppl):87‐105.doi:10.1111/j.1600-051X.2008.01264.x.
  2. Miron RJ, Dard M, Weinreb M. Enamel matrix derivative, inflammation and soft tissue wound healing. J Periodontal Res. 2015 Oct;50(5):555-69.
  3. Sculean A, Kiss A, Miliauskaite A, Schwarz F, Arweiler NB, Hannig M. Ten-year results following treatment of intra-bony defects with enamel matrix proteins and guided tissue regeneration. J Clin Periodontol. 2008 Sep;35(9):817-24.
  4. McGuire MK, Scheyer ET, Nunn M. Evaluation of human recession defects treated with coronally advanced flaps and either enamel matrix derivative or connective tissue: comparison of clinical parameters at 10 years. J Periodontol. 2012 Nov;83(11):1353-62.
  5. Based on the number of syringes sold to date, globally.
  6. According to PUBMED search for “Emdogain” or “enamel matrix derivative”.