#Preventive 19. Feb 2020

Straumann® Emdogain® FL (flapless) reviewed by periodontologists and implantologists

Straumann® Emdogain® is applied to the cleaned surface of the root of the periodontally compromised tooth and promotes the regeneration of all structures of the periodontium. The new, minimally invasive procedure with Straumann® Emdogain® FL (flapless) promises sustainable flapless periodontal tissue regeneration. The experienced periodontologists and implantologists Prof. Dr. Adrian Kasaj (University of Mainz/Germany), Prof. Dr. Filippo Graziani (University of Pisa/Italy), Dr. Jochen Tunkel (practice in Bad Oeynhausen/Germany) and Dr. Frank Bröseler (practice in Aachen/Germany) in discussion with dentist and specialist journalist Dr. Aneta Pecanov-Schröder (Bonn/Germany), examining to what extent Straumann® Emdogain® users can now forgo surgery and still enjoy the full benefit of the preparation. The following interview was first published in DENTALE IMPLANTOLOGIE (Volume 23, Edition 05, September 2019, 316-319).

Prof. Graziani, you were involved in the development of Straumann® Emdogain® FL and carried out your own clinical study on this product. What was the aim of your investigation and how did you approach it?

Graziani: The aim of our study was to compare the clinical results after closed periodontitis treatment (SRP, Scaling and Root Planing) with and without enamel matrix derivative (EMD). A total of 38 patients with periodontal pockets (PPD, probing pocket depth) of 6 ≥mm were randomized into two groups; one had SRP treatment and the other SRP plus EMD.

What were your results?

Graziani: A significant difference was observed in D-dimer proteins (p < 0.001), a biomarker for fibrinolysis, in the different study groups. Straumann® Emdogain® FL was also associated with better periodontal healing, as evidenced in a greater Probing Pocket Depth (PPD) reduction and a greater number of cases (30 % higher) without periodontal pockets ≥ 6 mm after three months. This means that fewer surgical procedures are required.

How can this be explained?

Graziani: This is most probably due to the mechanism of enamel matrix derivatives that stimulate cell differentiation and maturation. Our results particularly indicate that blood coagulation stability is likely to be improved, which ultimately results in better healing.

How does Straumann® Emdogain® boost tissue regeneration?

Kasaj: Straumann® Emdogain® mimics the processes that occur during tooth development. In the first phase of wound healing, Straumann® Emdogain® has an antibacterial effect and significantly boosts faster fibroblast adhesion to the root surface. The various proteins combine to form a matrix which mediates the development of root cement during natural tooth development. A new periodontal attachment develops and in the following months and years the bone defect regenerates. This “biological maturation” continues for up to three years.

Straumann® Emdogain® has been used successfully in periodontalsurgery for more than 20 years. To mark the IDS 2019, Straumann®has presented the new therapeutic approach with Straumann®Emdogain® FL, i.e. Straumann® Emdogain® without flap surgery.Do you see this as a successful approach in dental routine?

Bröseler: Yes, I am very much in favor of this procedure because there is hardly any trauma, the treatment time is shorter and it is all in all a gentler approach for patients. It is an approach that retains the favorable features of Straumann® Emdogain®, with the same beneficial outcome! Straumann® Emdogain® has an angiogenic effect in wound treatment and stimulates this effect, accelerating tissue regeneration, as already mentioned. It induces bony healing deep down in the defect.

A less invasive procedure also has clear advantages in patient perception and in pain assessment. I know what I am talking about because I have been working with Straumann® Emdogain® for more than 20 years and with the flapless approach for at least five or six years in hundreds of cases.

Ultimately, it is just another “surgical” approach. I don’t use a scalpel, but rather a periosteal elevator or a papilla elevator and I widen the gingiva. Once I have good access, I work with curved Slimline ultrasound attachments. They are not sharp and the tip is cooled, i.e. I can also work subgingivally and do not risk damage to tissue posed by thermal trauma. I have coined the term “tension flap” to describe the procedure.

Bröseler: “I find these fine cannulae very practical in reaching the bony base of the defect.”

In which cases do you recommend the closed treatment approach,where do you see the indication for Straumann® Emdogain® FL?

Tunkel: I see the closed treatment approach with Straumann® Emdogain® FL as suited to three walled defects – it must be possible to probe the buccal, oral and approximal bone lamellae. A key inclusion criterion is that there is no infection at the site designated for controlled tissue regeneration. If the patient’s condition is not properly treated prior to the procedure it will not be a success.

Kasaj: Based on the result from the multicenter study we conducted during the development of Straumann® Emdogain® FL, I would recommend using Straumann® Emdogain® FL in periodontal treatments of single root teeth with a pocket probe depth of between 5 and 8 mm.

Tunkel: “The use of antiseptic mouthwash, such as 0.1 to 0.2 percent chlorhexidine gluconate solution, for three to six weeks is the basic requirement for successful regenerative therapy with Emdogain. CHX reduces the bacterial count in the mouth by 96 percent and keeps it low for twelve hours.”

Professor Kasaj, what was the specific focus of the multicenterstudies?

Kasaj: Five trial sites were involved in the first study. It was designed as a randomized, controlled clinical trial with the aim to investigate the benefit of Straumann® Emdogain® applied flapless in combination with scaling and root planing in the treatment of residual pockets. The study had a cohort of 33 patients with pocket probe depths of 5 to 9 mm and positive bleeding on probing (BOP). One group of patients was treated exclusively with mechanical debridement with ultrasonic and manual instruments; the test group was treated with Straumann® Emdogain® FL in addition to this. Patients had a follow-up appointment after three, six and twelve months.

At the final examination after twelve months a significant improvement was observed in the test group who had undergone treatment with Straumann® Emdogain® FL both in terms of the pocket probe depths and “bleeding on probing” (6.1 vs. 27.2 %) compared to scaling and root planing alone. We therefore concluded that the subgingival instrumentation and additional use of Straumann® Emdogain®, i.e. Straumann® Emdogain® FL, significantly improved treatment outcomes in the remaining periodontal pockets compared to re-instrumentation alone.

There was another study. What did that focus on?

Kasaj: The second study had a patient cohort of 49 and involved four trial sites. In terms of the study design it was very similar; this was another randomized, controlled split-mouth study. It focused on investigating the adjuvant use of Straumann® Emdogain® FL in the treatment of non-surgical periodontitis therapy in patients with pocket probe depths of 5 to 8 mm. The treatment protocol was, however, subtly different to the first study: Ultrafine tips, microcurrettes and magnification aids in the form of microscopes or magnifying glasses were included in the instrumentation. The root surface was conditioned with 24 % EDTA for 2 minutes at the test sites, and then Straumann® Emdogain® FL was applied.

After two to three weeks Straumann® Emdogain® FL was applied again at these points, but this time without prior EDTA conditioning. The control sites received no further treatment. The data were collected after 1 month, and then again after 3, 6 and 9 months. The final examination was at twelve months.

What were your results?

Kasaj: We saw no significant difference in the outcomes for the clinical parameters pocket probe depth and attachment level. However, after treatment with Straumann® Emdogain® FL we observed a significant increase in the points with a final probing depth of less than 5 mm. There was also a significant benefit in treatment with Straumann® Emdogain® FL in the parameter BOP. Bearing this in mind we concluded that the combination therapy with Straumann® Emdogain® FL enhanced the clinical outcome compared to non-surgical periodontal therapy alone.

Bröseler: “Then the “patience phase”starts: To see a radiological result with thismethod you have to wait at least eightmonths or up to twelve months.”

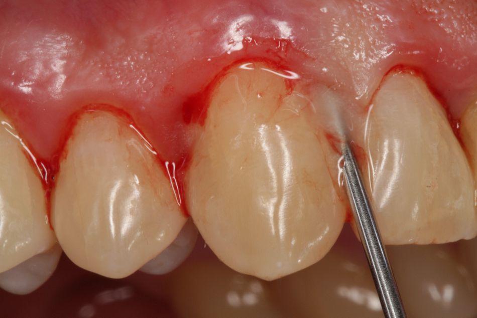
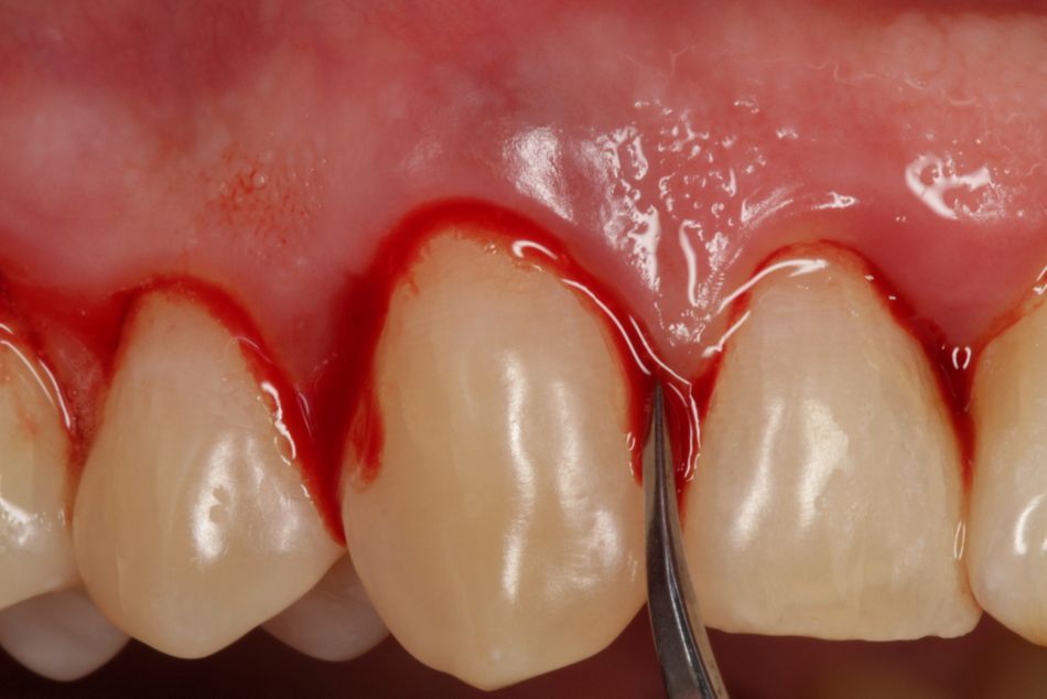
Fig. 9: Straumann® Emdogain® FL for minimally invasive flapless surgery. The fine cannula makes it easier to apply the gel.

Fig. 9: Straumann® Emdogain® FL for minimally invasive flapless surgery. The fine cannula makes it easier to apply the gel.

So it appears that there are several benefits to Straumann®Emdogain® FL. Which points would you particularly point outwhere patients and users benefit from the use of Straumann®Emdogain® FL in regeneration therapy?

Kasaj: This minimally invasive approach certainly causes less pain after the procedure and there are fewer complications. The treatment time is shorter than with a surgical approach. It is also less sensitive to the technique used. Although you do have to follow the treatment protocol carefully, it is very patient-oriented and patient-friendly.

Graziani: The use of Straumann® Emdogain® FL flapless results in less fibrinolysis and better periodontal healing of deep pockets. We draw this conclusion based on the results of our investigations and this applies to both local and systemic processes. I firmly believe that reducing the need for surgery is one of the objectives of modern periodontology. Nobody wants to undergo surgery!

Tunkel: I see the approach as a step towards further reducing surgery within the field of periodontology. The words “cut open” do, after all, immediately scare patients away. An “operation” is no longer on the cards and that makes patients much more amenable to the therapy. This could imply that more patients would be prepared to undergo the procedures and so we can help patients keep their teeth for the longer term. Satisfied patients are, of course, always good for our image.

Bröseler: Patients perceive the procedure as closed, even if I can clearly get a visual impression of and instrument the base of the defect. That is the “kick” in the approach. Treatment is not traumatic, the patient does not need to have sutures removed, and saves time and money – and still benefits from the same efficacy with a more comfortable postoperative procedure. If the condition is properly diagnosed and indicated, treatment leads to good outcomes with long-term stability.

Tunkel: The therapeutic approach with Straumann® Emdogain® FL is definitely an advance and a sensible addition to regenerative periodontal therapy.

 

Interested in learning more about Emdogain® and Emdogain®  FL? Click here

Information on procedures and follow-up care: ifu.straumann.com