#Preventive 17. Feb 2023

Successful surgical treatment of bilateral peri-implantitis lesions in a periodontal patient

A clinical case report by Massimo Frosecchi, Italy

Dental implants have developed into an excellent treatment option for tooth replacement. Nonetheless, biological complications can occur, resulting in implant failure and implant loss in the worst-case scenario.

Introduction

Dental implants have developed into an excellent treatment option for tooth replacement. Nonetheless, biological complications can occur, resulting in implant failure and implant loss in the worst-case scenario.

Peri-implantitis is an inflammatory disease that affects the mucosa and alveolar bone around dental implants and represents a major biological complication.1 Furthermore, it is considered a common risk factor for late implant failure.2,3

There is strong evidence that patients with a history of chronic periodontitis, poor plaque control skills, and no regular maintenance care after implant therapy are at an increased risk of developing peri-implantitis. Moreover, some limited evidence has linked peri-implantitis to other factors, such as the post-restorative presence of submucosal cement, lack of peri-implant keratinized mucosa, and implant positioning that makes oral hygiene and maintenance difficult.1

The following clinical case report describes the management of peri-implantitis in two locations and with two complementary approaches in a periodontal patient. Non-surgical periodontal treatment was applied before addressing the peri-implantitis sites. After periodontal improvement of the natural dentition, the two implants affected were treated with two different strategies4,5,6. In the most severe bone loss site, access to the site, explantation, and regenerative treatment was done. On the other hand, the implant with less severe peri-implant bone loss was treated to stop further bone resorption and obtain a more stable peri-implant soft tissue situation.

For these successful approaches, bovine bone substitute granules (Straumann® XenoGraft), porcine dermis matrix (mucoderm® soft tissue graft, botiss®, distributed by Straumann Biomaterials), and enamel matrix derivatives (Straumann® Emdogain®) were used.

Initial situation

A systemically healthy (ASA I) 48-year-old female patient came to our clinic with the chief complaint of continuous pain and swelling in the right lower molar region. Her medical history was unremarkable; she reported no allergies and had not been taking any medication.

The extraoral examination revealed mild swelling on the lower right side of the jaw with an increased temperature in the area. Moreover, during the intraoral examination, swelling (1 cm x 0.5 cm) and reddening around implant #46 was noted (Fig. 1). The implant #46 presented a probing depth of 9/8/8 mm on the vestibular side and 6/6/6 mm on the lingual side. Furthermore, bleeding on probing and pus were both present. The implant had no mobility, and no keratinized tissue was present on its vestibular aspect.

On the other hand, implant #36 presented a probing depth of 4/3/6 mm on the vestibular side and 3/4/6 mm on the lingual side. The bleeding on probing was positive, and no keratinized tissue was present. The periodontal examination of the remaining molars revealed periodontal pockets greater than 3 mm (Fig. 2).

The panoramic radiograph showed bone loss on the posterior area and peri-implant bone loss at implant positions #46 and #36. The peri-implant bone defects were compatible with a circumferential morphology (Fig. 3).

The diagnosis was based on the clinical and radiographic findings and the 2017 World Workshop on the Classification of Periodontal and Peri-implant Diseases and Conditions.6 Thus, it was concluded that the patient presented a generalized periodontitis, stage 2, and peri-implantitis at implant positions #36 and #46.

Peri-implantitis at #46 was estimated with pathologic bone resorption exceeding 50% of the fixture length and the presence of bone peaks on the neighboring teeth. On the other hand, peri-implantitis at #36 revealed a bone resorption higher than 2 mm, but less than 50% of the fixture length, and the presence of bone peaks.

Treatment planning

The treatment workflow included:

  1. Evaluation of the systemic phase
  2. Hygiene phase: causal therapy
    •    Information and motivation
    •    Periodontal non-surgical treatment and reevaluation after six weeks
    •    Explantation of #46.
  3. Corrective phase of therapy
    •    Guided bone regeneration at site #46 with bovine bone substitute granules (Straumann® XenoGraft), porcine dermis matrix (botiss® mucoderm®), and enamel matrix derivatives (Straumann® Emdogain®).
    •     Surgical treatment of peri-implantitis on implant #36.
    •     Straumann® SLActive® implant (Standard Plus, Ø 4.8 mm - length 10 mm -Roxolid®) placement at site #46 and final prosthetic rehabilitation with a screw-retained restoration.
  4. Maintenance phase
    •     Supportive periodontal and peri-implant therapy.

The rationale of the treatment planning was based on first addressing the periodontal disease to improve the general clinical situation and educate the patient on oral hygiene practice.

Therefore, the patient was informed and motivated before the non-surgical treatment. Following this important step, professional cleaning (scaling & root planing + prophylaxis) was performed to decrease and/or eliminate the acute inflammation and facilitate self-oral hygiene. Moreover, the implant sites were irrigated with chlorhexidine.

After six weeks, the periodontal and peri-implant status was registered using six sites for each tooth/implant. All teeth had improved attachment levels, reaching a non-pathologic status at all sites. However, despite the general clinical improvement, the implant sites showed non-significant improvements in probing depths (Fig. 4).

According to recent articles, implants that have lost more than 50% of osteointegration are generally considered hopeless. Resective or regenerative treatments in those cases are considered non-predictable in terms of success.7

The patient stated that she wanted a minimally invasive fixed solution and did not want to lose her teeth or implants. Furthermore, she also expressed that she was now aware of the importance of oral hygiene.

Considering her expectations and clinical situation, and following a thorough discussion about the various corrective treatment options, it was decided to remove implant #46, regenerate the area and place a new implant. On the other hand, we planned to maintain implant #36 and surgically treat it to allow for proper cleaning.

Surgical procedure

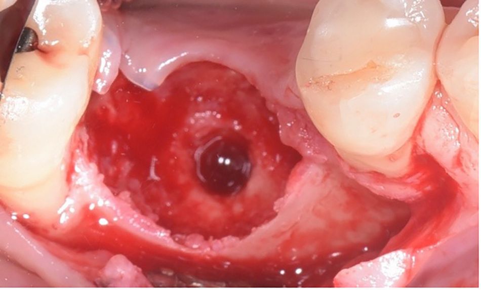
Incisions were made under local anesthesia (articaine 2% with epinephrine 1:100k) around teeth positions #45-#47. A mucogingival flap was elevated, and an osteotomy was carefully performed, allowing conservative extraction of implant #46. All granulation tissue was then removed.

Following the explantation and debridement, the bone defect was evaluated and judged as favorable for a ridge preservation procedure. In particular, the mesial and distal bone peaks offered a favorable geometry for a predictable regeneration (Fig. 5).

Bovine bone substitute granules (Straumann® XenoGraft) were placed to fill the defect (Fig. 6). Porcine dermis matrix (mucoderm® soft tissue graft, botiss®, distributed by Straumann Biomaterials) and embedded in Straumann® Emdogain® with added drops of saline solution (Fig. 7), was used as a membrane to cover and seclude the biomaterial for guided bone regeneration and ridge preservation (Fig. 8). The matrix was stabilized with two titanium pins due to the elastic memory of the biomaterial (Fig. 9). The goal was to reconstruct the site for new implant placement.

The primary closure of the flap was achieved with a flap release and an adequate suture technique (Figs. 10, 11). Postoperative instructions were explained. An antibiotic (amoxicillin 500 mg 3 times a day) was prescribed for five days, and an analgesic (ibuprofen 400 mg 3 times a day) for three days.

The patient was seen for follow-up and plaque control review at 7 days, 2 weeks, 4 weeks, 6 weeks, 12 weeks, and 6 months post surgery. At the first postoperative control, there was no extraoral swelling, and the patient stated that she did not have any pain or discomfort. Sutures were removed, and the soft tissues were evaluated. There were no signs of tenderness or infection. A post-operative x-ray was taken for assessment of the grafted area, pins, and recipient site (Figs. 12, 13).

According to general guidelines, healing takes 6 months. During this period, the site had been covered and was not found to have any signs or symptoms of inflammation.

At the 6-month follow-up visit, a smooth, healthy gingiva was found (Fig. 14). A periapical x-ray of site #46 (Fig. 15) was taken to evaluate new bone formation and mineralization. This image showed a high degree of mineralization and an evident change in the radiolucency of the grafted area.


A Center of Dental Education (CoDE) is part of a group of independent dental centers all over the world that offer excellence in oral healthcare by providing the most advanced treatment procedures based on the best available literature and the latest technology. CoDEs are where science meets practice in a real-world clinical environment.


A full-thickness flap was elevated to evaluate the site of #46 and place a new implant (Fig. 16). A Straumann® SLActive® implant (Standard Plus, Ø 4.8 mm - length 10 mm -Roxolid®) was selected for this case, taking the anatomy and spatial circumstances into account. The Straumann® Surgical Cassette was used according to the manufacturer’s instructions. First, the alveolar ridge was prepared, then the implant site was marked with a round bur, and the implant axis was marked with the ∅ 2.2 mm pilot drill. The implant bed was prepared to ∅ 2.2 mm, widened to ∅ 2.8 mm, and continued with ∅ 3.5 mm until ∅ 4.2 mm. Fine preparation was done, and the implant was carefully inserted with the handpiece and a maximum speed of 15 rpm, turning it clockwise with an insertion torque of 35 Ncm. The implant reached optimal primary stability. Furthermore, to improve the thickness of the tissue, botiss® mucoderm® was placed on the vestibular side (Fig. 17). Simple sutures were inserted, and a control radiograph was taken (Figs. 18,19).

At the suture removal appointment, healing was seen to be uneventful.

On the opposite quadrant (implant #36), a flap was raised, and the implant was cleaned (Fig. 20). It was decided not to remove the crown for mechanical cleaning, as the brand of the implant was unknown. Particles of cement were found and removed, as this is a prevalent cause of peri-implantitis (Fig. 21). After the mechanical debridement, the surface was cleaned using resorbable powder with an air spray (erythritol) (Fig. 22).

Connective tissue from the palate was placed to improve the keratinization and stability of the peri-implant soft tissues (Figs. 23-25). The flap was sutured, achieving a primary closure (Fig. 26). The sutures were removed after 2 weeks.

During the 6-month follow-up visit, keratinized tissue, no bleeding, no suppuration, healthy probing measurements, and good stability of the soft tissues were observed (Fig. 27). Similarly, at a one-year control, clinical and radiographic assessments were done, and successful outcomes were noted. (Fig. 28).

Prosthetic procedure

Following the osseointegration healing period, an optical impression was taken, and a monolithic screw-retained zirconia crown was delivered and tightened to 35 Ncm. The access hole was filled with composite restoration and Teflon (Figs. 29, 30). The occlusion and proper interproximal contacts were checked, and oral hygiene instructions were reinforced.

After 12 months, the patient complained of the emergence of buccal titanium pins in the vestibular area. Therefore, a microsurgical approach was employed to remove the pins from the buccal aspect. The two pins were removed with just two small incisions and without needing to elevate a mucogingival flap (Figs. 31, 32).

Treatment outcomes

Peri-implant therapy, combined with regular supportive care, resulted in clinical improvements and stable peri-implant bone levels. The following factors were associated with the successful management of peri-implantitis in this patient:

  • Correct analysis of the defect: the morphology and number of remaining bone walls in the peri-implant defect is one of the factors reported to be associated with successful healing.8
  • Selection of surgical technique and biomaterials: Using deproteinized bovine material or an enamel matrix derivative may improve peri-implant surgical treatment.9 The use of grafting material and barrier membranes may help to reduce the probing depth and provide more evidence of defect fill.10
  • Respect for biological principles: Several factors, including implant surface, design, and implant connection type, appear to influence peri-implant hard tissue stability. Furthermore, the transmucosal component can influence peri-implant supracrestal tissue height formation.
  • Compliance and supportive therapy: According to a systematic review and meta-analysis, systematic implant aftercare "seemed to reduce the rate of occurrence of peri-implant diseases."11

Overall, the patient and our team were delighted with the outcome regarding health, esthetics, and function.

Author’s testimonial

This case was a typical example of combined periodontitis/peri-implantitis treatment. Peri-implantitis treatment is generally a challenging option, and we need to be extremely selective. The hopeless implant was successfully substituted after bone regeneration. At the other implant site, deep decontamination of exposed threads and soft tissue grafting resulted in a normal probing depth and the absence of inflammation.

Follow-up showed a very good result at both sites. Many years after the introduction of implant treatment, biological complications are unfortunately still quite common. Often, this new pathology is associated with periodontal disease. As these cases became more frequent, we need to establish specific strategies for diagnosis and treatment.

References

  1. Schwarz F, Derks J, Monje A, Wang HL. Peri-implantitis. J Clin Periodontol. 2018 Jun;45 Suppl 20:S246-S266.
  2. Manor Y, Oubaid S, Mardinger O, Chaushu G, Nissan J. Characteristics of early versus late implant failure: a retrospective study. J Oral Maxillofac Surg. 2009 Dec;67(12):2649-52
  3. Solderer A, Al-Jazrawi A, Sahrmann P, Jung R, Attin T, Schmidlin PR. Removal of failed dental implants revisited: Questions and answers. Clin Exp Dent Res. 2019 Aug 21;5(6):712-724.
  4. Stähli A, Miron RJ, Bosshardt DD, Sculean A, Gruber R. Collagen Membranes Adsorb the Transforming Growth Factor-β Receptor I Kinase-Dependent Activity of Enamel Matrix Derivative. J Periodontol. 2016 May;87(5):583-90
  5. Park JS, Pabst AM, Ackermann M, Moergel M, Jung J, Kasaj A. Biofunctionalization of porcine-derived collagen matrix using enamel matrix derivative and platelet-rich fibrin: influence on mature endothelial cell characteristics in vitro. Clin Oral Investig. 2018 Mar;22(2):909-917.
  6. Puišys A, Žukauskas S, Kubilius R, Vindašiūtė E, Linkevičius T. Bone augmentation and simultaneous soft tissue thickening with collagen tissue matrix derivate membrane in an aesthetic area. A case report. Stomatologija. 2017;19(2):64-68. Papapanou PN, Sanz M, Buduneli N, Dietrich T, Feres M, Fine DH, Flemmig TF, Garcia R, Giannobile WV, Graziani F, Greenwell H, Herrera D, Kao RT, Kebschull M, Kinane DF, Kirkwood KL, Kocher T, Kornman KS, Kumar PS, Loos BG, Machtei E, Meng H, Mombelli A, Needleman I, Offenbacher S, Seymour GJ, Teles R, Tonetti MS. Periodontitis: Consensus report of workgroup 2 of the 2017 World Workshop on the Classification of Periodontal and Peri-Implant Diseases and Conditions. J Periodontol. 2018 Jun;89 Suppl 1:S173-S182.
  7. Misch CE, Perel ML, Wang HL, Sammartino G, Galindo-Moreno P, Trisi P, Steigmann M, Rebaudi A, Palti A, Pikos MA, Schwartz-Arad D, Choukroun J, Gutierrez-Perez JL, Marenzi G, Valavanis DK. Implant success, survival, and failure: the International Congress of Oral Implantologists (ICOI) Pisa Consensus Conference. Implant Dent. 2008 Mar;17(1):5-15.
  8. Isehed C, Holmlund A, Renvert S, Svenson B, Johansson I, Lundberg P. Effectiveness of enamel matrix derivative on the clinical and microbiological outcomes following surgical regenerative treatment of peri-implantitis. A randomized controlled trial. J Clin Periodontol. 2016;43:863–873.
  9. Mercado F, Hamlet S, Ivanovski S. Regenerative surgical therapy for peri-implantitis using deproteinized bovine bone mineral with 10% collagen, enamel matrix derivative and doxycycline- a prospective 3-year cohort study. Clin Oral Implants Res. 2018;29:583–591.
  10. Chan HL, Lin GH, Suarez F, MacEachern M, Wang HL. Surgical management of peri-implantitis: a systematic review and meta-analysis of treatment outcomes. J Periodontol. 2014;85:1027–1041.
  11. Atieh M.A., Alsabeeha N.H.M., Faggion C.M., Duncan W.J. The frequency of peri-implant diseases: A systematic review and meta-analysis. J. Periodontol. 2013;84:1586–1598.