#Preventive 01. Dec 2023

Surgical reconstructive treatment of a peri-implant osseus defect with Labrida BioClean™, Straumann® Emdogain® and Straumann® Xenograft

A clinical case report by Dr. Caspar Wohlfahrt, Norway

The following clinical case report describes a successful surgical reconstructive treatment of a peri-implant osseus defect using Labrida BioClean™, Straumann® Emdogain® and Straumann® Xenograft. The treatment led to defect fill and no signs of pockets or inflammation at 6 months. Methods for reconstructive treatment of peri-implant osseous defects are of vast importance, especially in the esthetic zone as in this case.

Initial situation

Description of the patient:

Male, 38 years, implant (Frialit) in region 12 (FDA) seated approximately 20 years ago. The tooth was lost after a trauma. The patient is now referred for treatment of peri-implantitis. The patient's esthetic concern is relatively high, but he has a low smile line. Fully healthy and a non-smoker. No signs of periodontal disease, generally good plaque control but sporadic signs of marginal and papillary gingivitis in the posterior segments. Radiographic and clinical examination demonstrates advanced peri-implant bone loss at implant in region 12 (FDA), with pronounced signs of inflammation. Diagnosis: Localized advanced peri-implantitis.

Treatment planning

Brief description of the treatment plan:

After careful oral hygiene instruction and localized non-surgical treatment with Labrida BioClean™ the patient was scheduled for surgery. Baseline pocket probing depths were 8-9 mm with positive BoP scores. The rationale for the surgical strategy used on this implant with peri-implantitis was to reconstruct the peri-implant osseous defect with bone using a slowly resorbable xenogenic graft, while EMD was to be used to accomplish optimal soft tissue healing in the esthetic zone. The combination of mechanical and chemical decontamination of the implant surface with Labrida BioClean™ and Straumann PrefGel® was to be used to prepare the implant surface for the graft material.

Surgical procedure

Description of surgical procedure:

After local anesthesia with Xylocaine Dental Adrenaline (Xylocaine 20 mg/ml + epinephrine 12.5 μg/ml) an intracrevicular incision was placed circumferentially around the implant and papillae and extended to the line angles of tooth 13 and 11. A full-thickness mucoperiosteal flap was raised, and the implant with osseous defect was exposed and examined. Open flap debridement with removal of granulation tissue and calculus on the implant surface was performed with a titanium curette. After irrigation of the defect with sterile saline, the implant was debrided with Labrida BioClean™ soaked in Straumann® PrefGel® for approximately two minutes, followed by irrigation with sterile saline solution and the application of Straumann® EMDOGAIN® starting from the base of the defect.

Straumann® Xeno porcine bone graft material was then inserted and carefully compacted. External vertical and horizontal mattress sutures, not including wound, blood-clot or graft material (polypropylene 5-0 monofilament) were placed, and flap stability was verified. The patient was instructed to avoid brushing in the surgical area, and to rinse with Corsodyl for 3 weeks. The patient was recalled after 1 and 3 weeks, and sutures were removed. The patient was instructed to brush gently after 3 weeks with a super soft brush with Corsodyl gel. The patient was subsequently recalled every 3 months for intrasulcular removal of biofilm with Labrida BioClean™ and oral hygiene re-instruction and motivation.

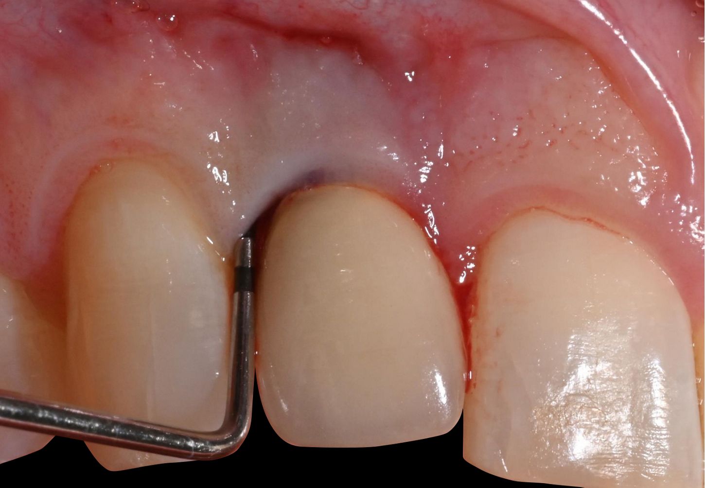
Treatment outcomes

Radiographs and clinical examination after 6 months demonstrated almost complete defect fill and no clinical signs of peri-implant inflammation, with shallow pocket depths and no signs of bleeding on probing. one minor retraction straight buccally was seen, with exposure of the crown metal margin, and this may be corrected with a new porcelain crown after another 3-6 months of healing.

Author’s testimonial

From a clinical standpoint the surgical procedure was straightforward. The patient reported minimal signs of swelling, discomfort or pain. This is a motivated, very cooperative patient and, if the maintenance procedure continues to be followed, I expect that the result will remain as it is.