Straumann® BLT Ø 2.9 mm

Application of the Straumann® BLT Ø 2.9 mm implant in a narrow interdental space

A clinical case report by Michael Kristensen, Denmark

This case report describes the application of the Straumann® BLT Ø 2.9 mm implant in a narrow interdental space. It can be concluded that Straumann® BLT Ø 2.9 mm Bone Level Tapered (BLT) implants represent a safe and reliable solution for both narrow interdental spaces and narrow ridges.

Author MIchael Kristensen

Michael Kristensen

D.D.S

2 private practices in Aarhus, Denmark with focus on implantology, prosthetics, ortodontics and endodontics. Postgraduate education curriculum in Implantology at the Goethe University Frankfurt, Germany. Speaker for Straumann on national level.

Related products and topics

Initial situation

The patient, a healthy non-smoking 55-year-old female, presented at my practice after losing her tooth #12 due to chronic apical infection. On clinical examination we observed very limited space in the region 12 (Figs. 1,2). The patient also suffered from a TMJ condition with wear facets and daily headaches.

Treatment planning

The patient wanted to restore her smile and function. The first priority, therefore, was to define a stable occlusion and then to provide orthodontic treatment to restore the occlusion and widen the interdental space for the placement of an implant in region 12. The occlusal dysfunction was treated with splint therapy until a centric relation was achieved. The orthodontic treatment was undertaken to establish stable occlusion and widen the interdental space in region 12. We subsequently planned to place a small diameter implant in region 12 followed by a single crown restoration.

Surgical procedure

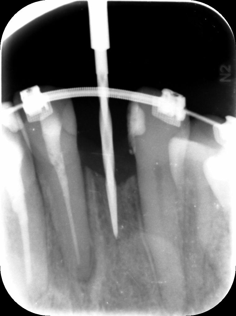
To reduce scar formation a marginal incision was made from #13 to #11, with a distal releasing incision at #13 (Figs. 4,5). The flap was deflected at the exposed bone – a narrow ridge in all dimensions (Figs. 6,7). After the pilot drilling and x-ray control of the axis (Figs. 7-9), the preparation of the implant bed was continued with the 2.2mm drill and the profile drill (Figs. 10-13). Next, the 2.9mm Straumann® BLT implant (Roxolid®, SLActive®) was inserted with a primary stability of 25Ncm, and the anatomical healing abutment was then connected (Figs. 14-18). Due to the limited bone thickness in the buccal region and a small coronal dehiscence, bone augmentation with botiss cerabone® and a Jason® membrane was also performed (Figs. 19-23). The flap was closed passively with 5-0 Prolene sutures (Figs. 24-27). The patient was prescribed antibiotics, analgesia and anti-inflammatory medication, as well as chlorhexidine rinse for 1 week. Suture removal and subsequent healing was uneventful.

Prosthetic procedure

After 3 months healing time (Figs. 28-31), the healing abutment was removed and a conventional impression taken. Because of a slight facial inclination of the implant, and due to the very limited bone and space, a cemented full ceramic crown on a Straumann® Variobase® abutment was chosen (Fig. 33) to avoid possible localization of a screw channel on the incisal edge. The papilla was given sufficient time to develop mesially and distally, and the case was then finalized without any further corrections.

Final result

Both the patient and dentist were very happy with the final treatment result (Figs. 34-36). The occlusion was balanced, the headache had gone and the smile was restored. The patient is currently considering veneers on #11 and #21. 

Conclusion

Straumann® BLT Ø 2.9 mm Implants represent a safe solution for narrow interdental spaces and narrow ridges. In this case a larger diameter implant and more drilling may have compromised the buccal bone plate, eventually resulting in exposure of the implant surface.

Labwork by Dentolab, Viborg, Denmark