Straumann® BLT – SLActive®

Maxillary lateral incisor agenesis treated with the Straumann® narrow diameter Bone Level Tapered SLActive® implant

A clinical case report by Pierre Olivier Sage, France

This case report illustrates how the Straumann® Bone Level Tapered (BLT) 2.9 mm SC can be used to treat narrow interdental spaces in the aesthetic zone in respect of surrounding tissues (bone and soft tissue), giving the patient the best results for the papilla. It is very easy to use and produces very good primary stability. Thanks to the design of the Loxim™ transfer piece, the insertion is fast, easy, precise and allows for good control of vertical positioning. It also facilitates access to narrow interdental spaces. The oval healing abutment enables optimal soft tissue formation during the transgingival healing process.

Author Pierre Olivier Sage

Dr. Pierre Olivier Sage

D.U. of implantology (Strasbourg, France). D.U. of pre- and peri-implant surgery (Paris, France). CES fixed prosthesis (Nancy, France). Private practice in Biesheim, France.    

Related products and topics

Initial situation

A 42-year-old female patient presented at my practice with a congenitally absent maxillary lateral incisor #21 (Fig. 1). The coronal space between teeth #21 and #23 was limited because of the distal migration of tooth #21 (Fig. 2), making placement of an implant impossible without prior orthodontic treatment. The orthodontic treatment aimed at mesio-distal widening of the space between the teeth #21 and #23 and alignment of the incisor midline was carried out by Dr Gilles Schneider. After the treatment was finished the space was still narrow but allowed for placement of a narrow diameter implant (Figs. 3, 4).

Treatment planning

After discussing the situation with the patient, it was agreed that a small-diameter (2.9 mm) implant would be placed in position #22, followed by fixed restoration. A connective tissue graft for increasing the buccal plate volume as well as the veneering of tooth #13 were also planned.

Surgical procedure

To avoid scar formation in the esthetic zone, a marginal incision was made from the central incisor to the canine (Fig. 5). Such a flap design also provides a better view of the teeth roots (Fig. 6). The mucoperiosteum was reflected (Figs. 7, 8), and the implant bed was prepared. The Straumann® BLT implant (Roxolid®, SLActive® 2.9mm/10mm) was then placed in region #22 (Figs. 9–12). Next, a connective tissue graft was prepared as described previously by Gamborena et al. The graft was placed on the buccal side and stabilized with a 6-0 suture (Fig. 13). After three months of healing (Fig. 14), a small incision was made on top of the implant, and the mucosa pushed to the buccal side, followed by placement of an oval healing abutment (Fig. 15).

Prosthetic procedure

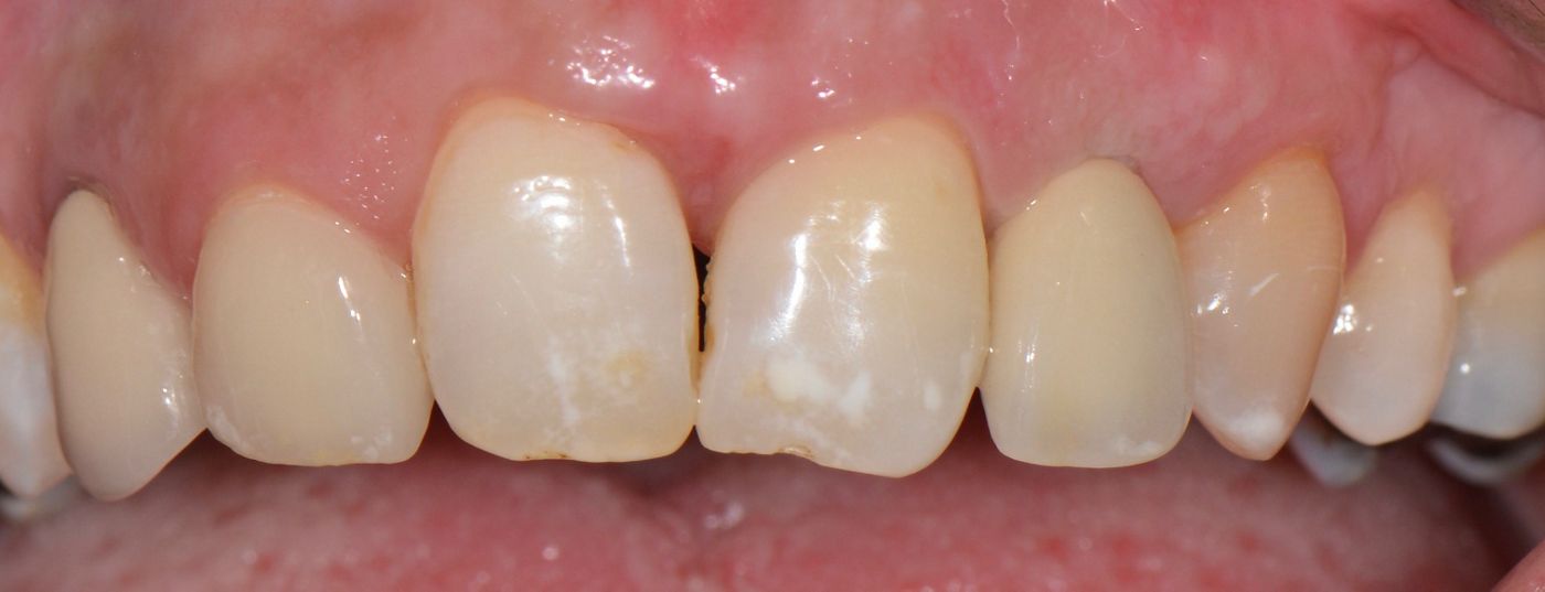
After a further two weeks of healing, the soft tissue around the implant abutment was healthy, and the buccal contour was well maintained. Next, an impression was taken, and a crown on the customized abutment was designed, fabricated and cemented (Figs. 17, 18, 18bis). We also performed a minimal intervention on tooth #13 to prepare it for the placement of porcelain veneers (Fig. 16, 16bis), adjust the buccal convex of the canine and align the incisor edges.

Final result

The final prosthetic result was very satisfactory. Five months after the surgery, the gingival complex surrounding the implant had remained stable. The peri-implant soft tissue was healthy, with no signs of inflammation. Thanks to the small diameter of the implant, new papilla formation was observed around the tooth (Figs. 19, 20).