Straumann® Bone Level Tapered Implant

The BLT’s contribution to ­primary ­stability and osseointegration in ­damaged esthetic areas

A clinical case report by Sepehr Zarrine, France

The Straumann® Bone Level Tapered Implant offers excellent primary stability in soft bone and fresh extraction sockets. The tapered form adequately compresses the underprepared osteotomy. It also allows to effecively master your patient’s limited anatomy such as facial undercut, converging root tips, concave jaw structure or narrow atrophied ridges. Building on the clinically proven features of the Straumann® Bone Level Implant, the BLT introduces the powerful combination of Roxolid®, SLActive®, Bone Control Design™, CrossFit® connection, prosthetic diversity, plus a tapered implant body.

Author Sepehr Zarrine

Sepehr Zarrine

DDS

Oral surgeon. Exclusive private implantology practice (Saint Dié, France). Speaker ITI France. European Master in Dental Implantology. Surgery, prosthetics, bone grafts (Frankfurt, Germany). University diploma in surgical maxillofacial rehabilitation (Medicine, Paris VII).

dr.zarrine@gmail.com

surgitechstudies.com

Initial situation

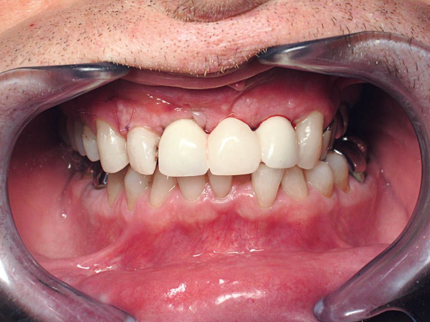
The patient is a 56-year-old, active and healthy man. He does not smoke, does not take any medications and has no allergies. He was referred to us, presenting a loose anterior bridge from 11 to 22 (FDI). Since his profession requires speaking in the public, his clinical situation in the esthetic zone has a negative impact on his self-confidence. The clinical examination (Figs. 1, 2) revealed a slightly inflamed gum with no abscess. Clinical probing indicated that there was vestibular bone loss at tooth 11 and a decayed root, but no bone loss at tooth 22.

Treatment plan

Two treatment options were considered: Extraction of both roots, healing, re-entry to place two non-submerged implants with simultaneous GBR, healing, gingivoplasty and placement of the final prosthesis. Extraction of both roots, immediate implantation with simultaneous bone reconstruction and gingival reinforcement, dental crown placement on the same day, i.e. immediate placement and immediate provisionalization. In order to restore the patient with a reduced overall treatment time (including the time needed for surgery), we opted for the second solution. We have adapted an osteogingival tissue graft technique that has been employed for several years with excellent results. Pre-surgical assessment indicated potential primary stability issues at the site of tooth 11, where only a few millimeters of bone remained for implant anchorage. Therefore, we used the Straumann® Bone Level Tapered Implant, designed to achieve good primary stability even in clinical indications where this would be difficult to achieve. Furthermore, the Straumann® SLActive® surface is known to provide fast osseointegration. Pre-surgical impressions were taken in order to prepare a surgical guide and a perforated impression tray.

Surgical procedure

Once the bridge was removed, a vertical radicular fracture was confirmed in tooth 11 and an extensive decay in tooth 22. Atraumatic root extractions were performed, on tooth 22 by applying the Benex® Extraction System (Fig. 3) and on 11 with a very fine elevator (Fig. 4). A gingival flap was elevated to access the bone defect at tooth 11 (Fig. 5).  Since the buccal side at tooth 22 was still intact, the gingiva was also left attached to the bone (i.e. flapless procedure) in order not to disturb the periostium attachment to the bone. At tooth 21, a flap was rolled to thicken the buccal alveolar ridge aspect. The two tooth sockets were meticulously scraped and cleaned with a round bur. The surgical guide helped identify the ideal axis for the implant as well as the best emergence level (Figs. 6, 7). Once the landmarks were identified, the drilling was performed and then the guide was repositioned to verify the axis of the alignment pins (Fig. 8). To achieve a sufficient primary stability, the BLT drill with a diameter of 2.8 mm was used as the final preparation step. The insertion torque for both Roxolid® Bone Level Tapered Implant, ∅ 4.1 mm RC, SLActive® 14 mm was greater than 50 N/cm*. The implant at site 22 was placed towards the palate to maintain a narrow buccal gap between the implant and the socket wall. The implant at site 11 had 8 visible threads after insertion. It was also inserted towards the lingual aspect of the extraction socket such as that a gap remained between the implant and the buccal bone wall (Fig. 9). The anchoring for both implants was achieved with the last apical millimeters, which is why the 14 mm length and underpreparation were necessary. The majority of the drilled bone fragments were recovered thanks to the design of the BLT drills and a portion of this bone was used to fill the gap around the implant on position 22. The remaining material was used to cover the surface of the implant. To simultaneously regenerate the bone deficit and reinforce the gingiva, we used a special technique that we have been optimized during several years. We took an osteogingival graft form the maxillary tuberosity of the wisdom tooth. A prior 3D examination had confirmed that the maxillary tuberosity presented good volume. This combined graft for osseointegration was de-epithelialized (Fig. 10) and then impacted into the vestibular gap of the central incisor. To prevent any mobility, an osteosynthesis screw fixed the bone core on the residual alveolar ridge by engaging the cortical bone of the palate (Fig. 11).  Straight Straumann® Screw-retained Abutments (SRA) with a height of 2.5 mm were placed on the implants. Suturing was performed using resorbable 5.0 monofilament. Then, abutment-level open tray impression posts were screwed on and a sectoral impression was taken using the perforated impression tray (Fig. 12). Once the impression was taken, two protective caps were placed to prevent the gingiva from covering the SRAs during the day. The prosthetic planning process was performed with the dental laboratory, which will also perform the final work. Six hours after surgery the gingiva was stable enough (Fig. 13) to remove the protective caps without anesthesia and the temporary bridge was screwed onto the SRAs (Figs. 14 – 17). Visual and radiological examinations were performed one week post-surgery (Figs. 18, 19) which demonstrated that the initial healing phase was successful. The gingiva looked healthy and the patient was without clinical complications. At a re-entry after two months clinical observation determined that the implants, bone and gingiva had healed perfectly (Fig. 20).

Conclusion

This challenging case demonstrates the possibility to compress a multi-step clinical procedure into a manageable and cost efficient time-frame. Furthermore, given this implant’s location in the esthetic zone, the technique could be of particular interest to both clinicians and patients alike. The restoration was successful due to the combination of several state-of-the-art technologies and techniques: (1) the use of Straumann® Bone Level Tapered Implants, which, thanks to their ­design and flexible drilling protocol, allow for good primary stability in ­compromised recipient bone conditions, (2) the retrieval and reuse of bone fragments using the Straumann® Bone Level ­Tapered implant drills (3) the use of the maxillary tuberosity osteogingival tissue graft technique. With this, we were able to provide our patient fixed teeth in a single day. The temporary bridge had no occlusal contact and only served to enable the patient to speak and smile. Once osseointegration is completed and the graft has been consolidated, the final bridge can be planned.

Thanks to Pierre Chapuis and his team at Laboratoire Oral Beauty (Bruyeres, France): oralbeauty.com

* It is recommended to place the implant with an insertion torque of 35 Ncm. See NAMLIT1043

Availability and regulatory status of products described in this article in your country: please contact your local official Straumann representative for further information.