Straumann BLX Pro Arch

Pro Arch BLX in an anatomically challenging maxilla

A clinical case report by Jonas Lehner and Eberhard Donhauser, Germany

This case report describes the successful rehabilitation of an edentulous patient with challenging maxillary anatomic conditions using the new Straumann BLX implant and the Pro Arch concept.

About Jonas Lehner

Jonas Lehner

DR.

Oral Surgeon, Implant Dentistry, Regenstauf, Germany

About Eberhard Donhauser

Eberhard Donhauser

Dental Technician

Amberg, Germany

Related products and topics

Initial situation

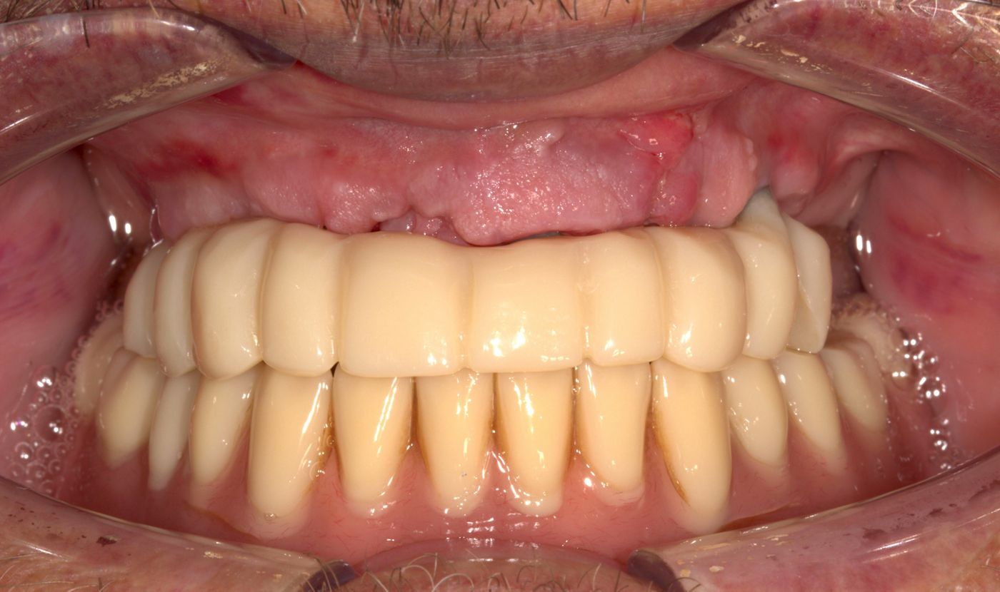
A 67-year-old male patient without any medical history or smoking habits, except for well-controlled high blood pressure, presented with an approximately 25-year-old double crown fixed denture in the maxilla. Due to a history of periodontitis with loosening of his upper teeth, he wished to have an implant-supported fixed denture without any period with a removable provisional denture. Since he had a low smile line, he did not see any need for the provision of an artificial gingiva along with his new denture.

Procedure

Treatment planning

The preoperative panoramic X-ray showed that both maxillary sinuses expanded widely towards the anterior segment, so that the base of the premaxilla was very narrow. Coincidentally, a mesiodens was found apically to the region of tooth 21. The treatment plan involved the removal of the remaining teeth (#11,23,24,25) plus the mesiodens, the placement of four BLX implants in the same operation, followed by immediate loading per the Pro Arch concept. In view of the reduced space in the base of the premaxilla, as well as the discovery of the mesiodens, it was necessary to use a surgical template (designed with CoDiagnostix) after a CBCT scan so that the implants could be placed in the correct three-dimensional position. The manufacturing of the provisional bridge was planned in a part-digital, part-analog procedure using the Trios® intraoral scanner (3-Shape) with the Dental Wings Software, supplemented by a cast model after taking a conventional impression.

Surgical procedure

The surgery was done under preoperative antibiotic prophylaxis (amoxicillin, 1000mg) and local anesthesia, accompanied by conscious sedation (midazolam i.v.). After the extraction of teeth 24 and 25, a full flap was raised to gain access to the mesiodens. After the osteotomy, the surgical template was placed on the remaining teeth 11 and 23. Guided drilling with the 2.2mm pilot drill was followed by free-hand drilling in the preoperatively planned regions 15, 12, 21 and 24. Bone types 2 to 3 were detected. Since region 15 appeared as a knife-edged ridge, a 3.75mm BLX implant, 14mm long, was placed about 4mm deeper, below the ridge. Using a modified drilling protocol, it was possible to place the implant without any lateral force within the thin crestal bone, while engaging apically with a torque value above 50Ncm. No cracks on the bone could be detected. The ridge was then reduced to the level of the implant shoulder using the bone profiler with the guiding pin. Placement of the screw-retained abutment (30 degrees, GH 2.5mm) was followed by guided bone regeneration (Bio-Oss/Bio-Gide) to prevent bone resorption. In region 21, drilling was performed through the space of the removed mesiodens further apically. Again using a modified drilling protocol, a 3.75mm BLX implant, 16mm long, was placed, and behaved, as expected, passively in the crestal part while engaging with a high torque of more than 50 Ncm in about 5mm of bone apically to the osteotomy hole. The osteotomy space was filled with xenograft. A flapless approach was used in region 24 to place a 3.75mm BLX implant, 14mm long, with a torque of 40Ncm. In the healed site 12 a 3.75mm BLX implant, 12mm long, was placed with 45Ncm.

Prosthetic procedure

Screw-retained abutments were placed and torqued at 35 Ncm. Scan bodies on top of the abutments and an intraoral scan was recorded. The remaining teeth 11 and 23 served as landmarks to match the preoperative situation. The lab technician designed a copy of the pre-existing denture of the correct horizontal and vertical dimensions using the Dental Wings Software. To avoid incongruence of the provisional screw-retained denture, an open-tray impression was taken after splinting four open-tray impression posts (Impregum, 3M ESPE, Miratray, Hager&Werken, Pattern Resin, GC). Finally, teeth 11 and 23 were extracted.

After matching the preoperative scan with the scan of the implants in the Dental Wings software, the provisional denture was milled. The cast model served to improve the accuracy when the Variobases® for screw-retained abutments were bonded to the milled bridge. From teeth 15 to 25, the full-arch provisional denture was screwed to SRAs in the patient's mouth. After one week the gingiva had healed extremely well and the sutures could be removed.

After four months all the implants showed ideal osseointegration.

All the steps described above allowed the patient to lead a normal life, the denture providing good function and esthetics during the osseointegration and soft-tissue healing period. In order to achieve the best esthetic outcome in the final prosthesis, the team decided to replace the screw-retained abutment of the implant at tooth 25 with a 30° abutment, shifting prosthetic screw access further to the palatal side. The base of the full-arch denture was modified with resin to condition the gingival margins. A final impression was taken with splinted impression posts. A metal framework was milled from cobalt chromium. Teeth made from highly esthetic OMP-N  material, Integral® (Merz Dental GmbH) were used, together with New Outline® base (anax dent GmbH) to cover the metal framework.

Treatment outcome

The BLX implants performed outstandingly well in this challenging anatomic situation. Thanks to the slim coronal part (3.5mm) and the special thread design, it was possible to place them in a minimum amount of bone, especially in the regions of 15 and 21, while high torques could be achieved. The new slim shape of the SRAs helped minimize bone reduction. By combining digital and conventional workflows at the provisional stage, the advantages of both approaches could be utilized to optimize the manufacture of the provisional denture without any compromise in respect of precision.

The outcome satisfied the patient's expectations concerning function, esthetics and treatment time. Our team was able to fulfill his special wish for immediate loading.