30 years of innovation in a special Clinical Casebook

In this Clinical Casebook, created in celebration of Neodent's 30th anniversary, you will have access to cases presented by renowned dentists from several countries. Download now to enhance your knowledge about the Neodent's solutions.





Explore cases of renowned dentists from several countries


Single

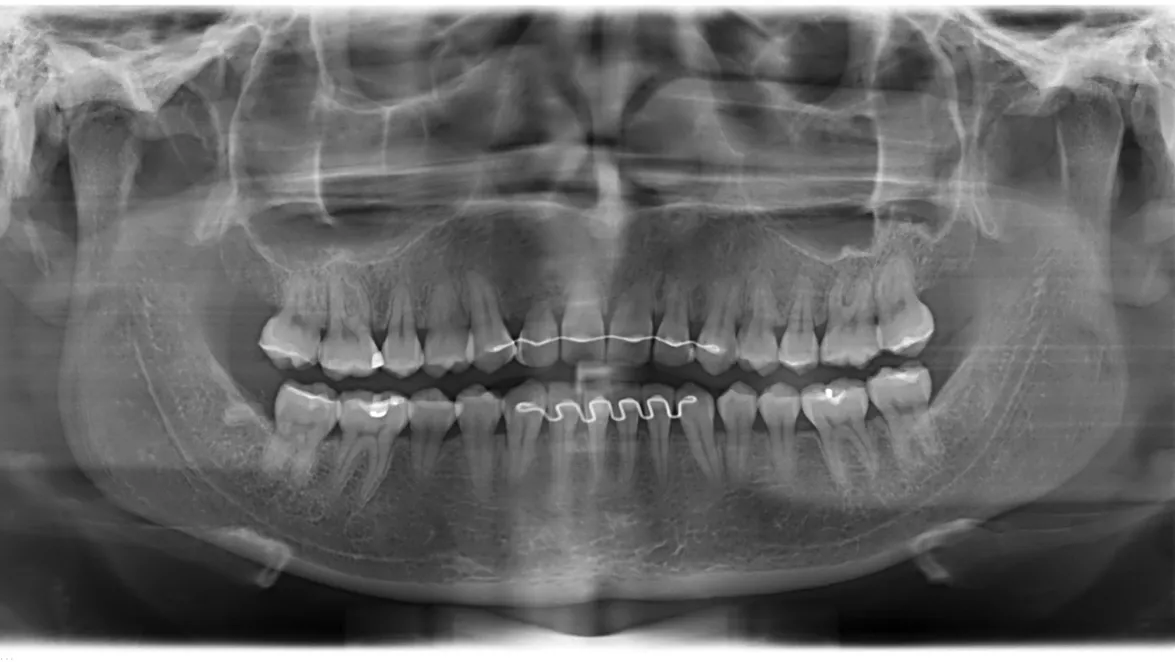
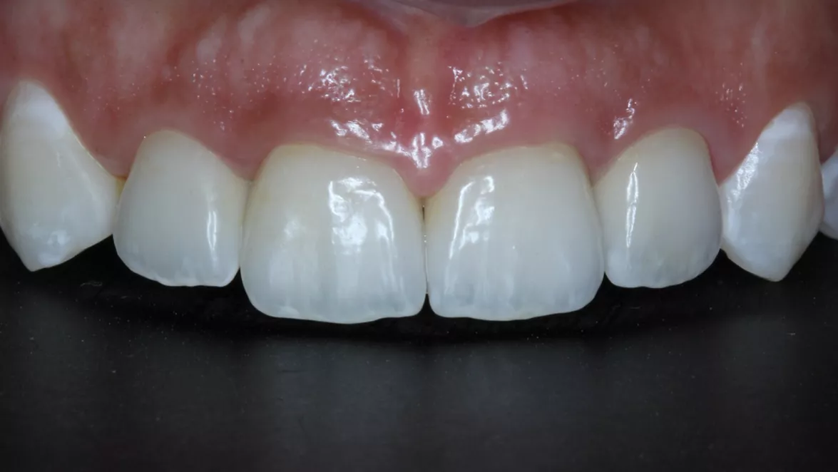
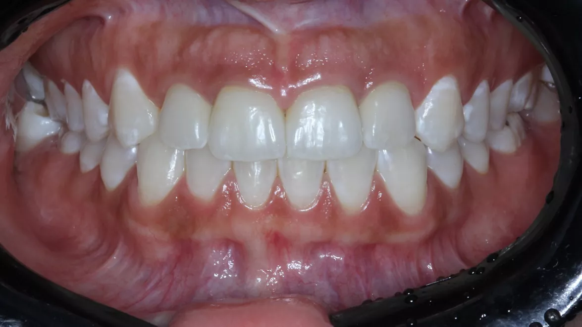
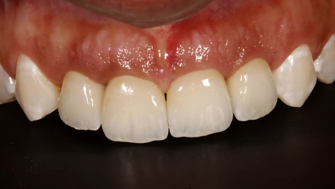
01 - Guided rehabilitation with implants in upper incisors region, after loss due to root resorption
  Dr. Geninho Thomé and Dr. Sérgio Rocha Bernardes

02 - Unitary guided rehabilitation with implant in atresic region using ClearCorrect
  Dr. Sérgio Rocha Bernardes, Dr. Daniel Neves and Dr. Jean Uhlendorf

03 - Rehabilitation with Helix GM® implant and use of biomaterials in the aesthetic region after root fracture
  Dr. Carlos Araujo and Dr. Maria Angelica Rehder de Araujo

04 - Guided surgery for a quick aesthetic resolution of a dental fracture with Helix GM®
  Dr. Glauco Velloso

05 - Multiple anterior agenesis solution with Helix GM® and bone augmentation
  Dr. Marcos Motta de Freitas

06 - Bone regeneration and multiple guided installation of single implants in the region of upper incisors
  Dr. Christian Navarro Herrera

Multi

07 - Anterior rehabilitation using Narrow GM implants through guided and digital workflow
  Dr. Geninho Thomé

08 - Correcting midline deviation with fixed bridge over implants
  Dr. Arantza Rodríguez

09 - Anterior dentogingival rehabilitation with Helix GM® after bone graft
  Dr. Ivete Aparecida de Mattias Sartori and Dr. Elisa Mattias Sartori

 

Full Arch

10 - Upper full arch immediate loading after bone regeneration
  Dr. Geninho Thomé

11 - Full arch immediate imlpant with immediate loading on upper arch using Helix GM®
  Dr. Joe Bhat and Dr. Shivana Anand

12 - Full upper and lower arches rehabilitation using Helix GM® Long and NeoArch® concept
  Dr. Pedro Rodrigues

13 - NeoArch® concept applied on full arches immediate and definitive transformation
  Dr. Anand Krishnamurthy

14 - Using the partial extraction therapy on upper full arch rehabilitation
  Dr. Mark Bishara

 

Zygomatic

15 - Oral rehabilitation of atrophic maxilla using Zygoma GMTM implants associated with Helix GM® implants
  Dr. Luis Eduardo Marques Padovan

16 - Full arch rehabilitation of atrophic maxilla using Zygoma GMTM and Helix GM® implants
  Dr. Yerko Leighton Fuentealba

17 - Full arch rehabilitation in atrophic maxilla using Zygoma GMTM implants and Helix GM® Long
  Dr. Pedro Rodrigues

18 - Atrophic maxilla rehabilitation with two pairs of zygomatic implants and immediate loading
  Dr. Geninho Thomé

19 - Full arch solution with immediate loading, zygomatic and Helix Short implants in a case of atrophic maxilla
  Dr. Geninho Thomé

 

Overdenture

20 - Removable rehabilitation over implants in madible using Novaloc
  Dr. Cristian Scognamiglio and Dr. Alessando Perucchi

21 - Predictable rehabilitation of edentulous mandible using the Neodent® Control System
  Dr. Daniel Guião

 

Multidisciplinary

22 - Lateral incisor agenesis solution with ClearCorrect and guided Helix GM Narrow implant
  Dr. Gustavo de Deus

 

Zi

23 - Immediate aesthetic rehabilitation with Neodent® Zi Ceramic Implant System
  Dr. Ricardo Kern

24 - Immediate provisionalization in fresh alveolus with alteration of the gingival phenotype
  Dr. Elcio Marcantonio Junior

25 - Single-unit restoration with Neodent® Zi Ceramic Implant System in an anterior area with immediate loading
  Dr. Luis Honorato and Dr. Sebastian Cifuentes

26 - Immediate rehabilitation with Neodent® ZI Ceramic Implant System and preoperative CAD-CAM crown on Zi base
  Dr. Mathias Sperlich and Dr. Markus Sperlich

27 - Aesthetic rehabilitation in posterior region using Neodent® Zi Ceramic Implant System
  Dr. Olivier Chéron

28 - Aesthetic solution for healed post extraction socket with digital planning in premolar
  Dr. Corey Raymond

29 - Soft tissue management follow-up in a lower rehabilitation with Neodent® Zi Ceramic Implant System
  Dr. Matthieu Goudal

30 - Neodent® Zi Ceramic Implant System in aesthetics region: single case report, 45 months follow-up
  Dr. Geninho Thomé

Take a look at the clinical case made by Neodent's founder: 

Dr. Geninho Thomé
Neodent Founder and Scientific President 
 
Dr. Sérgio Bernardes
Neodent New Product Development & Clin Pract Director


Guided rehabilitation with implant in upper incisors region, after loss due to root resorption





In the following pages, you will find some of the landmark cases that have shaped Neodent history so far.

Learn more about the Neodent implants and abutments versatility, and how our solutions meet from single-units to full-arch restorations, conventional and digital workflow, and anterior and posterior cases.



References

(1) Ledermann PD. Stegprosthetische Versorgung des zahnlosen Unterkiefers mit Hilfe von plasmabeschichteten Titan-schraubenimplantaten. Dtsch Zahnarztl Z 1979;34:907– 911.
(2) Schnitman PA, Wöhrle PS, Rubenstein JE, DaSilva JD, Wang NH. Ten-year results for brånemark implants immediately loaded with fixed prostheses at implant placement. Int J Oral Maxillofac Implants. 1997;12:495-503.
(3) Julius Wolff (1836-1902). Morphogenesis of bone. JAMA. 1970 Sep 28;213(13):2260. PMID: 4917641.
(4) Del Fabbro M, Testori T, Francetti L, Taschieri S, Weinstein R. Systematic review of survival rates for immediately loaded dental implants. International Journal of Periodontics & Restorative Dentistry. 2006 Jun;26(3):249-63.
(5) Machado RCM, Thomé G, Bernardes SR, Melo ACM. Morse taper implant macrodesign, loading protocol and site of installation – retrospective study of 5,601 implants. Rev. Odontol. UNESP. 2019, ;48:e20190069.
(6) Reyes ÁJS, de Moura MB, Cartelli CA, Bernardes SR, Trojan LC, Thomé G. Prospective Evaluation of Bone Remodeling in Full-Arch Rehabilitations with Morse Taper Implants: A Case Series Study with One-Year Follow-Up. J Long Term Eff Med Implants. 2022;32(3):83-92.
(7) Thomé G, Caldas W, Bernardes SR, Cartelli CA, Gracher AHP, Trojan LC. Implant and prosthesis survival rates of full-arch immediate prostheses supported by implants with and without bicortical anchorage: Up to 2 years of follow-up retrospective study. Clin Oral Implants Res. 2021 Jan;32(1):37-43.
(8) Thomé G, Cartelli CA, Vianna CP, Trojan LC. Retrospective Clinical Study of 453 Novel Tapered Implants Placed in All Bone Types: Survival Rate Analysis Up to 2 Years of Follow-Up. Int J Oral Maxillofac Implants. 2020 Jul/Aug;35(4):757-761.

Experienced clinicians performed the procedures presented. The clinicians are fully responsible for the reliability of the information and for the procedures and results reported. Any review, dissemination, distribution, copying or other use of this information by persons or entities, without previous written permission, is prohibited. The presented material can be subject of reviews without previous notice. No liability is accepted for any errors or omissions in the contents.

It is the clinician’s exclusive responsibility to evaluate the patient’s health conditions and viability of the procedure. The reproduction of this clinical case does not imply the success of similar procedures, as it will depend on the clinician’s technique and ability, on patient’s conditions on the previous and post procedure.