One Step Hybrid

La solución definitiva para la carga inmediata de una prótesis de arcada completa

Múltiples ventajas, un solo tratamiento

1. Mayor comodidad para el paciente, ofreciendo una solución rápida y eficaz
2. Resolución inmediata sin la necesidad de una prótesis provisional
3. Alta previsibilidad: tasa de supervivencia de los implantes del 98,9% en un seguimiento de 2 años
4. Menores costes para usted y para su paciente


Implantes Titamax EX

  • Diseñados para hueso tipo III y IV
  • Ápice expansor diseñado para facilitar la colocación y en preparación de la osteotomía
  • Validado científicamente para procedimientos de carga inmediata2

Conexión con cono Morse (CM)

  •  Cono Morse de 5,75°
  • Cambio de plataforma mínimo de 0,35 mm
  • Diseñado para reducir la aparición de micromovimiento
  • Diseñado para la preservación óptima del hueso crestal y el tejido blando
  • Dispone de pilares angulados de 17º y 30º

Cilindro de Ajuste Pasivo

  • Cilindros diseñados para ofrecer un excelente ajuste pasivo entre el pilar y la estructura de fundición
  • La estructura se puede desatornillar, lo cual garantiza un micromovimiento mínimo
  • Excelente encaje, comparable al de las estructuras realizadas con CADCAM

Implantes Titamax

  • Diseñados para hueso tipo I y II
  • Rosca en forma de V diseñada para obtener estabilidad primaria
  • Nuevo diseño de ápice que proporciona una excelente potencia de corte
  • Validado científicamente para procedimientos de carga inmediata 3, 4, 5 y 6

Ápice de diseño especial

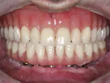
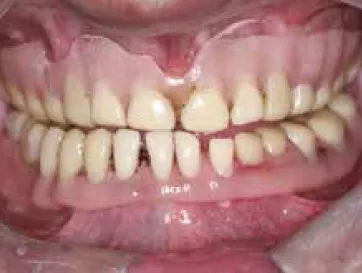
"Mi autoestima ha mejorado y mis amigos me dicen que soy una persona nueva tras la cirugía. Me siento más joven y con más salud. Ahora necesito seguir la rutina adecuada de cuidados en casa para mantener mi nueva sonrisa".

E.L., mujer de 51 años*

 

Antes

Después

Secuencia de muestra

1. Normalización de colgajos alveolares.

2. Perforación quirúrgica finalizada, con obtención de la distancia adecuada del implante distal en relación con el agujero mentoniano con delimitador de 7 mm.

3. Colocación de 5 implantes.

4. Colocación de Mini Pilares Cónicos CM.

5. Colocación de transfers cuadrados, sustituidos por tornillos cortos (tornillo cilíndrico de Mini Pilar Cónico) y postes de impresión con férulas de resina acrílica.

6. Colocación de guía multifuncional para obtener índices intermaxilares. Unión de los transfers con resina acrílica. Tras la ferulización, se inyecta silicona blanda para tomar la impresión del tejido blando.

7. Extracción de la guía multifuncional y colocación de análogos de Mini Pilar Cónico en los postes de impresión.

8. Modelo de trabajo con encía artificial.

9. Cilindro One Step Hybrid calcinable, cilindro One Step Hybrid de latón, cilindro One Step Hybrid de titanio, con ranuras y diámetro menor que el de latón, lo que compensa la contracción durante el fresado.

10. Los cilindros de latón se colocan sobre los análogos y, a continuación, los cilindros calcinables se fijan con tornillos de trabajo.

11. Anillo moldeable con estructura encerada.

12. Estructura de fundición.

13. Adaptación de la estructura sobre el modelo.

14. Tenga en cuenta el área de cementación.

15. Cementación con Panavia® (Kuraray Med. Inc. Tokio-Japón) de la estructura sobre los cilindros de titanio.

16. Vista del interior de la boca final.

Referencias

*La identidad de la paciente se ha cambiado para proteger su privacidad.

  1. Borges AF, Dias Pereira LA, Thomé G, Melo AC, de Mattias Sartori IA. Prostheses removal for suture removal after immediate load: success of implants. Clin Implant Dent Relat Res. 2010 Sep;12(3):244-8.
  2. Faot F, Hermann C, Sartori EM, Bassi AP. Tilted implants and prototyping: a security option for improving the anchorage in atrophic maxilla. Gen Dent. 2013;61(2):28-31.
  3. Sansone KM, Filho HN, Berretin-Félix G, Brasolotto AG. Oral myofunctional and vocal characteristics in subjects subjected to oral rehabilitation with osseointegrated implants. Clin Oral Implants Res. 2006 Jun;17(3):328-30.
  4. Vieira RA, Melo AM, Sartori IA, Budel L, Gama JC, Thomé G. Benefits of rehabilitation with implants in masticatory function - Is patient perception of change in accordance to the real improvement? J Oral Implantol. 2012 Feb 29. (Publicación electrónica previa a la publicación en papel).
  5. Lee HJ, Aparecida de Mattias Sartori I, Alcântara PR, Vieira RA, Suzuki D, Gasparini Kiatake Fontão F, Tiossi R. Implant stability measurements of two immediate loading protocols for the edentulous mandible: rigid and semi-rigid splinting of the implants. Implant Dent. 2012
    Dec;21(6):486-90. 6 Borges AF, Dias Pereira LA, Thomé G, Melo AC, de Mattias Sartori IA. Prostheses removal for suture removal after immediate load: success of implants. Clin Implant Dent Relat Res. 2010 Sep;12(3):244-8