Das Sealing-Socket-Abutment: Ein Fallbericht über die Sofortimplantation und Versorgung mit einem individuellen Gingivaformer unter Einsatz des digitalen Workflows

Ein klinischer Fallbericht von Dr. Jonas Lehner und ZTM Eberhard Donhauser / Deutschland

In diesem Fallbericht wird unter Verwendung des neuen Straumann BLX Implantates die Methode des „Sealing-Socket-Abutments“ („SSA“) vorgestellt, bei der v.a. die Anwendung der digitalen Techniken dem Team aus Praxis und Labor die Etablierung eines standardisierten Workflows ermöglicht. Der 53-jährige Patient (Raucher) stellte sich mit rezidivierenden subakuten Beschwerden des Zahnes 36 in der Praxis vor. Dieser wies eine insuffiziente Wurzelfüllung mit Stiftversorgung sowie eine begleitende periapikale Ostitis auf. Aufgrund negativer Erfahrungen lehnte der Patient alternative Behandlungspläne wie eine Revision der Wurzelfüllung oder eine Wurzelspitzenresektion ab. 

Über Dr. Jonas Lehner

Dr. Jonas Lehner
Fachzahnarzt für Oralchirurgie
Tätigkeitsschwerpunkte: Implantologie, Parodontologie

Geboren 1980, 2000-2005 Studium der Zahnmedizin an der Universität Regensburg; 2006-2008 Assistenzzeit 2008- 2011 Weiterbildungsassistent „Oralchirurgie“ /Privatassistent bei Herrn Prof. Dr. Dr. Dr. Helmut H. Lindorf in Nürnberg; Praxis für Mund-Kiefer-Gesichtschirurgie; 2011 Fachzahnarzt Oralchirurgie; 2012-2013 Praxis für Oralchirurgie Amberg, Dr. Roman Krammer & Kollegen. Seit Dezember 2013 niedergelassen in eigener Praxis in Regenstauf; Schwerpunkte: Implantatchirurgie, Sofortbelastung.

Über Eberhard Donhauser

Eberhard Donhauser
Zahntechnikermeister

Geboren 1956, seit 1982 als Zahntechniker tätig; 1994 erfolgreiche Prüfung zum Zahntechnikermeister; Schwerpunkt auf ästhetische prothetische Versorgungen und CAD/CAM-Restaurationen; 2002 Gründung des zahntechnischen Labors dentitec GmbH in Amberg; Spezialisierung auf komplexe Prothetik und maxillofaziale Rehabilitationen.

Verwandte Produkte und Themen

Einleitung

Die Sofortimplantation ist eine seit vielen Jahren etablierte Therapieform1, 2, die bei richtiger Indikation zu vorhersagbaren Ergebnissen führt mit gesteigertem Patientenkomfort und maximal möglicher Reduktion der Morbidität. In diesem Fallbericht wird unter Verwendung des neuen Straumann BLX Implantates die Methode des „Sealing-Socket-Abutments“ (in der Folge „SSA“) vorgestellt, bei der v.a. die Anwendung der digitalen Techniken dem Team aus Praxis und Labor die Etablierung eines standardisierten Workflows ermöglicht.

Ausgangslage

Der 53-jährige Patient (Raucher) stellte sich mit rezidivierenden subakuten Beschwerden des Zahnes 36 in unserer Praxis vor (Abb. 1). Dieser wies eine insuffiziente Wurzelfüllung mit Stiftversorgung sowie eine begleitende periapikale Ostitis auf (Abb. 2). Aufgrund negativer Erfahrungen lehnte der Patient alternative Behandlungspläne, wie eine Revision der Wurzelfüllung oder eine Wurzelspitzenresektion ab. Da in der Vergangenheit bereits erfolgreiche Sofortimplantationen durchgeführt worden waren, trug er den Wunsch nach einer ebensolchen an uns heran.  

Behandlungsplanung

Aufgrund der Ausgangssituation mit grazilen und überdurchschnittlich langen Wurzeln (Summe aus Kronen- und Wurzellänge ca. 27mm) wurde davon ausgegangen, dass eine Zahnentfernung nur mittels einer Osteotomie durchführbar sein würde. Um die gingivalen Konturen maximal zu erhalten und die für die Sofortimplantation notwendige Unversehrtheit der bukkalen Lamelle gewährlisten zu können, wurde ein paramarginaler Zugang zu den Wurzeln des Zahnes 36 gewählt. Die Weichgewebe sollten mit einem postoperativ hergestellten individuellen Gingivaformer, einem „Sealing-Socket-Abutment“ (SSA), gestützt werden.

Chirurgisches Verfahren

Die Zahnentfernung und Implantation erfolgten in Lokalanästhesie und präoperativer antibiotischer Prophylaxe. Nach einem Vorscan (Trios, 3Shape) wurde zunächst die Krone des 36 dekapitiert und die Wurzeln entlang der Bifurkation voneinander getrennt (Abb. 3). Mit der Hilfe eines paramarginalen Zugangs nach Partsch erfolgte nach Osteotomie das Auffinden der Wurzelspitzen. Die Wurzeln konnten mittels einfacher Hebelluxation von apikal nach koronal entfernt werden. Dabei gelang es, Teile des interradikulären Septums zu erhalten (Abb. 4). Im lingualen Bereich dieses Septums erfolgte im Anschluss die Ankörnung und die Pilotbohrung. Die Tiefe, die Achse sowie der Abstand zum Nervus alveolaris inferior wurden mittels einer Panoramaschichtaufnahme mit dem Einsatz eines Messpins kontrolliert. Nach weiterer Aufbereitung konnte ein BLX-Implantat, Durchmesser 4,5mm, Länge 14mm, im apikalen Bereich mit einer Primärstabilität von 30 Ncm inseriert werden (Abb. 5). Dabei wurde die Insertionstiefe auf das Niveau der intakt gebliebenen bukkalen Lamelle hin ausgerichtet. Der Wundverschluss erfolgte mittels einer fortlaufenden Naht. Die Osteotomiehöhle sowie die Alveole wurden mittels eines bovinen Knochenersatzmaterial gefüllt. Abschliessend wurde ein Scan der Implantatposition unter dem Einsatz eines Scanbodies vorgenommen (Abb. 6).

Im Labor erfolgte die Transferierung der Scan-Daten in Dentalwings. Der Ausgangsscan und der Implantatscan wurden gematcht. Mit Hilfe dieser Daten konnte ein individueller Gingivaformer auf einer Klebebasis (Variobase) konstruiert werden (Abb. 7 und 8). Das Emergenzprofil wurde konkav an der Schulter der Variobase und konvex im Bereich der marginalen Gingiva gestaltet. Nach dem Fräßvorgang des Rohlings erfolgte im Schnellsinterverfahren die Herstellung eines SSAs und die Verklebung auf der Variobase (Abb. 9). Unter den Gegebenheiten sollte das SSA als Medizinprodukt kritisch B eingesetzt werden. Somit wurde ein standardisiertes Abutment-Reinigungsverfahren angewandt sowie ein Sterilisationszyklus (Schnellprogramm) gefahren (Abb. 10). Am gleichen Tag, ca. 5 Stunden nach der Implantation, konnte das SSA eingegliedert und mit 15 Ncm festgezogen werden (Abb. 11). Die Heilung gestaltete sich komplikationslos, der Nervus alveolaris zeigte sich intakt (Abb. 12). 

Prothetisches Verfahren und Ergebnis

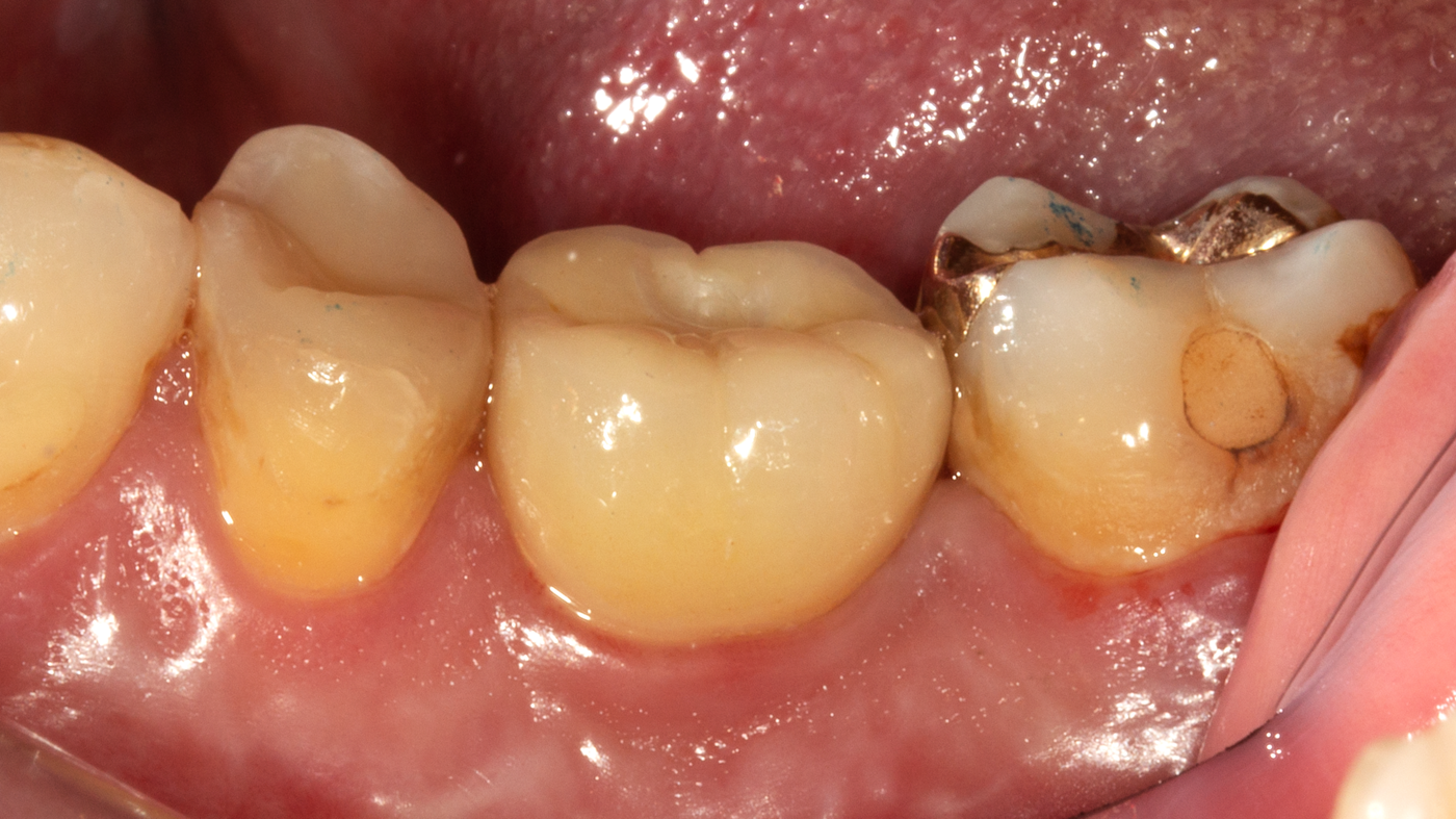
Der Patient konnte sich aus Zeitgründen erst 6 Monate nach der Implantation zur Weiterversorgung bei uns vorstellen. Zu diesem Zeitpunkt war das Implantat ideal osseointegriert und die Weichgewebe waren reizlos (Abb. 13). Im Vergleich zur Ausgangssituation, bei der das SSA bündig mit dem Gingivarand abschloss, zeigte sich nach diesem Zeitraum ein Rückgang der Gingiva von ca. 0,5mm (Abb. 14 und 15). Nach Abschrauben des SSAs imponierte eine reizlose, bis zum Gingivrand leicht blutende, von Gefässen durchzogene periimplantäre Übergangszone (Abb. 16). Nach erneutem Scan wurde im Labor eine monolitische, okklusal verschraubte Krone (Zirkon) konstruiert, gefrässt und gesintert und im Anschluss auf eine Klebebasis (Variobase) aufgeklebt (Abb. 17). Nach dem Eingliedern der Krone erfolgte der Verschluss des Schraubenzugangs mit Composite nach Konditionierung des Zirkons in diesem Bereich (Abb. 18, 19, 20).

Nach ca. 14 Monaten fand sich aus Gründen unabhängig von der vormals stattgefundenen Implantation die Indikation zur Anfertigung eines DVTs der Mandibula. Dabei ergab sich die Gelegenheit das ideal osseointegrierte Implantat im Sinne eines Nebenbefundes zu untersuchen (Abb. 21). 

Diskussion

Die Sofortimplantation ist eine gut dokumentierte Therapieform, wobei die Anforderung an das chirurgische Know-How für die Sofortimplantation im Molarenbereich wahrscheinlich am grössten ist3. Nach unserer Meinung besteht für diesen Bereich grundsätzlich keine Notwendigkeit der Sofortversorgung mit einem Langzeitprovisorium4.

Bei der Sofortimplantation im Molarenbereich besteht die Herausforderung, ein Implantat im ortsständigen Knochen ausreichend primärstabil zu verankern. Die weitaus grössere Herausforderung ist bei der Anwendung konventioneller Techniken hierbei der Wundverschluss. Zur Deckung einer Alveole eines Molaren muss in der Regel eine umfangreiche Lappenmobilisation erfolgen, was die Erhaltung der Weichgewebskonturen unmöglich macht. Bei Anwendung der Technik des SSAs ist es jedoch möglich, Lappenhebungen zu vermeiden. Bei besseren anatomischen Verhältnissen als in dem vorgestellten Fall (v.a. kürzere Wurzeln) erfolgt dies ohne zusätzlichen chirurgischen Zugang. Dass sich der zusätzliche Aufwand im zahntechnischen Labor lohnt, zeigt das Ergebnis mit beinahe unveränderten gingivalen Konturen prä-OP, während der Einheilung des Implantats und nach Eingliederung der Prothetik5, 6, 7.

Die konsequente Anwendung der digitalen Techniken innerhalb dieses Workflows erlauben die Einhaltung der Hygienestandards bei der berührungslosen Abformung. Ebenfalls durch die digitale Technik wird es möglich innerhalb eines sehr engen Zeitkorridors, die standardisierte Herstellung eines aufgereinigten und sterilisierbaren Medizinprodukts zu gewährleisten, welches den hier gestellten Anforderungen an Form und Funktion genügt.

Literatur

1 Schwartz-Arad D1, Grossman Y, Chaushu G. The clinical effectiveness of implants placed immediately into fresh extraction sites of molar teeth.
J Periodontol. 2000 May;71(5):839-44.

2 Fugazzotto PA1. Implant placement at the time of maxillary molar extraction: treatment protocols and report of results.
J Periodontol. 2008 Feb;79(2):216-23. doi: 10.1902/jop.2008.070338 .

3 Smith RB1, Tarnow DP. Classification of molar extraction sites for immediate dental implant placement: technical note.
Int J Oral Maxillofac Implants. 2013 May-Jun;28(3):911-6. doi: 10.11607/jomi.2627.

4 Atieh MA, Payne AG, Duncan WJ, de Silva RK, Cullinan MP. Immediate placement or immediate restoration/loading of single implants for molar tooth replacement: a systematic review and meta-analysis.
Int J Oral Maxillofac Implants. 2010;25:401–15

5 Chu SJ, Salama MA, Salama H, Garber DA, Saito H, Sarnachiaro GO, Tarnow DP. The dual-zone therapeutic concept of managing immediate implant placement and provisional restoration in anterior extraction sockets. Compend Contin Educ Dent. 2012 Jul-Aug;33(7):524-32, 534

6 Finelle G, Sanz-Martín I, Knafo B, Figué M, Popelut A. Digitalized CAD/CAM protocol for the fabrication of customized sealing socket healing abutments in immediate implants in molar sites.
Int J Comput Dent. 2019;22(2):187-204.

7 Finelle G, Papadimitriou DE, Souza AB, Katebi N, Gallucci GO, Araújo MG. Peri-implant soft tissue and marginal bone adaptation on implant with non-matching healing abutments: micro-CT analysis.
Clin Oral Implants Res. 2015 Apr;26(4):e42-6