#Digital 24. Jun 2019

A new smile in one day

A clinical case report by Gustavo Harfagar, Chile

Digital workflows can improve our treatment results. In this report, a multidisciplinary patient treatment is presented, focusing on the chairside workflow and the use of N!CE ceramic material.

Nine successful chairside restorations (six in the esthetic area) are described. The teeth and implants were prepared and scanned during the morning, and the final restorations were placed the same day.

The patient received her new smile in a much shorter time than with traditional protocols, and this had been a key driver in her decision to accept the treatment plan exclusively with Straumann® digital solutions.

Initial situation

A generally healthy 51-year-old female visited our clinic requesting a new smile.

On extraoral and intraoral examination, she was found to have a medium smile line with fixed restorations and multiple recessions in the esthetic area, caries lesions, inflammation, plaque and missing teeth at positions 16, 25, 26, 36 and 45 (Figs. 1-5). 

Treatment planning

Following the cause-related therapy (oral hygiene instructions, prophylaxis and dental fillings), the patient was ready for the surgical phase. This included a mucogingival surgery on the second sextant in order to improve the pink esthetics, and the placement of dental implants in the posterior region (Figs. 6-8).

After the soft tissues had healed, the restorative phase could begin. In the second sextant, the old crowns were removed and teeth were prepared for the new N!CE crowns following the Straumann chairside workflow.

Surgical procedure

The five planned implants (Straumann® Standard Plus, Ø 4.1 mm, Regular Neck, length 8 mm, Roxolid®, SLActive) were placed at positions 16, 25, 26, 36 and 45 in one surgical phase. Provisional crowns were placed for all the implants.

The multiple recessions in the esthetic zone were treated with a tunnel technique using a connective tissue graft taken from the palate. This surgery was performed by Dr. Enrique Javer (Figs. 6-8).

Prosthetic procedure

When all the implants had osseointegrated, the posterior remaining teeth were prepared for crowns and, in the same session, a digital impression was scanned with Virtuo VivoTM. Using Straumann CARES® Visual, all the posterior crowns were designed and then milled with the Straumann C series chairside milling machine. On the same day, after a confirmation of fit, all crowns were placed and cemented. With the new vertical dimension, inferior premolars, canines and incisors were adjusted with Ivoclar Empress® Direct composite.

After a further intraoral scan, a new smile was designed using Straumann CARES® Visual. A 3D model printed with the Straumann P30 3D printer was used for the digital wax-up. Pictures were taken to register all the details needed for the final design of the restorations.

At the next appointment, the patient came to the clinic early in the morning. All old crowns were removed, and teeth 24, 25 and 34 were prepared for crowns. Intraoral data were acquired with the new Straumann Virtuo Vivo™ intraoral scanner, and a picture of the patient’s face was taken.

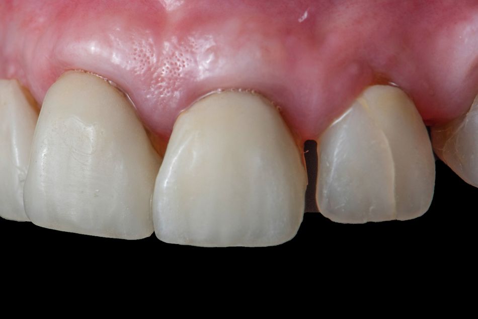
STL files of the digital wax-up, teeth preps, and the patient’s picture were uploaded to the Straumann CARES® Visual software, and crowns were designed.  After 25 minutes, all the crowns were sent to be milled with the Straumann C series milling machine. On completion of the milling process, all the crowns were placed for a final fit check (Figs. 9-13).

The fit was confirmed, and only minor adjustments were needed at the contact points. The crowns were removed from the patient’s mouth and polished by hand using Ivoclar Vivadent OptraFine (Figs. 14 & 15).

All the crowns were cemented using IPS Ceramic Etching Gel according to the Ivoclar Multilink protocol (Figs. 16-21).

Treatment outcome

The patient was very happy with the functional and esthetic result, as well as the short treatment period. She finally received her new smile in a much shorter time than expected, and this had been a key driver in her decision to accept our treatment plan.