#Digital 25. Mar 2022

Case Video: Immediacy with the Straumann® BLX Implant System for a Single Tooth in the Esthetic Zone using Digital Workflows.

Dr. Druthil Belur, BDS, DMD (USA), MS (USA), CDT (USA)

Initial situation: Patient presented with a history of recent trauma to his central incisor with mild tenderness on percussion. On radiographic examination, a mid-root fracture was visible, which was subsequently confirmed with a Cone Beam CT.

Treatment: After establishing poor prognosis for the tooth, the patient consented to extraction and a dental implant with subsequent immediate and definitive restorations. A surgical guide was planned using coDiagnostiX®. The CBCT was imported into the software along with an IOS using 3Shape TRIOS. A surgical guide was printed with a Straumann P Series 3D printer. A Straumann® BLX 5 mm sleeve was subsequently inserted. A pre-surgical milled provisional was fabricated in advance. The tooth was extracted under local anesthesia and a Straumann® BLX SLActive® Roxolid® implant was placed using the Straumann® VeloDrill™ System for Guided Surgery. After establishing sufficient primary stability, a Straumann® BLX Temporary Abutment was used to fabricate and deliver an immediate provisional.

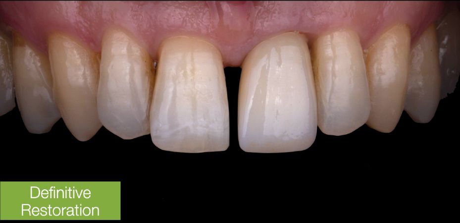
After the healing period and establishing osseointegration, over the course of another 2 months, the provisional was contoured further to establish an ideal emergence profile. A final impression was taken using 3Shape TRIOS, which included the following scans: a) Pre-op Scan, b) Soft Tissue Emergence Profile Scan, c) Straumann Scan Body Scan, d) Opposing Arch Scan, and e) Left & Right Bite Scans. The restoration was designed in the laboratory with 3Shape TRIOS Design Studio® using Straumann Angled Solutions. A high-translucency zirconia crown was fabricated with a model-less workflow, which was subsequently delivered.

If you would like to learn more about Dental Lavelle, please visit:

If you would like to learn more about the Straumann® BLX Implant System, Straumann Guided Surgery or Straumann Digital Solutions, please visit:


Want to stay up to date?

youTooth.com is THE PLACE TO BE IN DENTISTRY – subscribe now and receive our monthly newsletter on top hot topics from the world of modern dentistry.