#Patientcomfort 11. May 2021

Treatment of a class I gingival recession with a coronally advanced flap technique in combination with mucoderm® and Straumann Emdogain®

“Esthetics are becoming increasingly important and with this trend, the request for root coverage procedures.” Prof. Giovanni Zucchelli

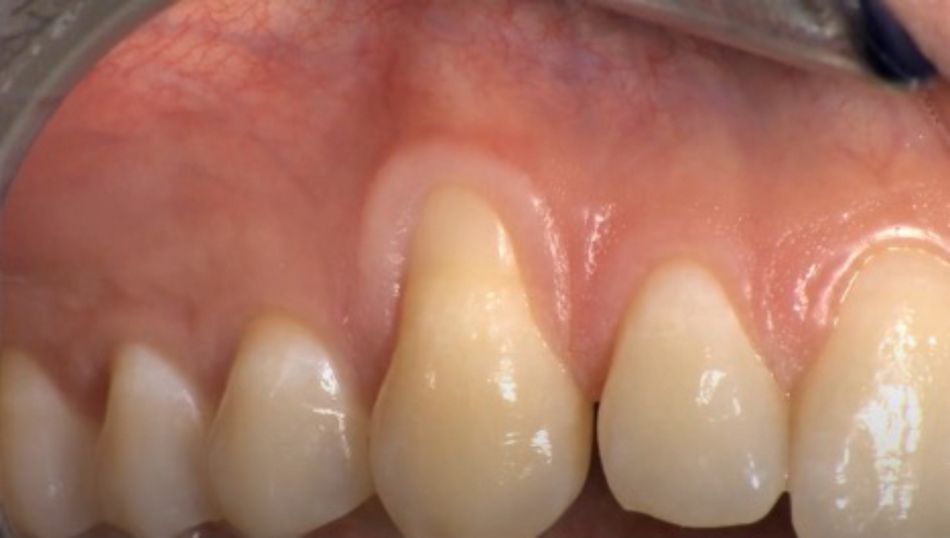
Initial situation: A healthy 34-year-old female patient with no periodontal diseases, presented at the dental clinic with the chief complaint of aesthetic problems due to the exposure during smiling of a root affected by gingival recession.

Treatment: The treatment included a coronally advanced flap (CAF) because there was an amount, even if very small of remaining keratinized tissue (1 mm). The patient’s biotype was thin, and the affected root was buccally displaced. The rationale of using Emdogain® was to improve the quality of the attachment between the newly formed connective tissue and the root surface. By depositing the Amelogenins on the root, Emdogain® promotes the cells of the blood clot to be transformed in cementoblasts and fibroblasts, and this eventually improves the quality of new connective tissue attachment with respect to long junctional epithelium. Another reason why Emdogain® was used, was to improve the soft tissue healing and this is important when the patient has aesthetic requests, as the patient do not want to wait only for the long-term outcomes but short-term results as well. Furthermore, it was decided to add the use of mucoderm® because the objective was not to only achieve root coverage which can be achieved with CAF itself, but also to increase the soft tissue thickness, which is a condition that is a critical for the long-term maintenance of the outcome. In terms of post-operative course, it was optimal. The patient did not have any pain at all, she presented no swelling nor hematoma, and from the first follow-up visit there was a nice adaptation and blending of the treated area.

Treatment outcome: The patient was very happy with the aesthetic outcome and for the complete disappearance of hypersensitivity immediately after the surgery. Moreover, within time the patient was even more satisfied because it was easier for her to perform oral hygiene due to the increase of keratinized gingiva and soft tissue thickness.

If you would like to learn more about mucoderm® and Emdogain® please go to: