Straumann® Emdogain®

20-year follow-up of a bony defect

A clinical case report by Carlos E. Nemcovsky, Israel

Being one of the first users of Emdogain®, Prof. Nemcovsky comments on the product introduction and underlines the long-term success the product is able to provide in regenerative therapies.

Author: Carlos E. Nemcovsky

Carlos E. Nemcovsky

Professor in Periodontology

Private practice limited to Periodontics and Dental Implants. Professor at the Department of Periodontology and Implant Dentistry, The Maurice and Gabriela Goldschleger School of Dental Medicine, Tel-Aviv University/Israel. Author, co-author and reviewer of numerous extensively quoted scientific publications in leading international scientific journals and scientific publications. Basic and clinical research, with main interest in tissue regeneration. Lecturer on an international level.

Interview with Professor Nemcovsky on 20 years of Emdogain

Prof. Nemcovsky, Emdogain® was introduced in 1995 to the European market and is celebrating its 20th birthday this year. How did Emdogain change periodontology and how has it changed your work?

Nemcovsky: Real breakthroughs in clinical practice are those that provide a real treatment planning alternative. Accordingly, when Emdogain® was first introduced for clinical application in 1995 by Lars Hammarstrom, Lars Heijl and Stina Gestrelius, we were extremely doubtful that it would fulfill the high expectations and be such a breakthrough in periodontal regenerative treatment.

Have you been positively surprised?

Nemcovsky: Yes. Because, in the meantime, basic, pre-clinical and clinical research has clearly confirmed the enormous value of Emdogain® for periodontal treatment. And after 20 years, we realize that the clinical potential of Emdogain® is still to be explored. At this point, there is no alternative supported by a comparable level of scientific evidence. It is histologically and scientifically proven that the application of Emdogain® on the exposed root surface is able to achieve a biologically-induced periodontal regeneration. Cases with distinctive periodontal destruction may be successfully treated and maintained in health for long periods of time by providing a more biologically-oriented treatment compared to tooth extraction and implant placement.

How do you see Emdogain®’s role in future periodontology?

Nemcovsky: It is the never-ending quest of Periodontology to explore new, target-directed periodontal treatment alternatives, and it is difficult to envisage possible next-generation compounds that will be able to further improve treatment outcomes. But it can be stated that Emdogain® was and continues to be a real breakthrough in periodontal treatment.

Initial situation

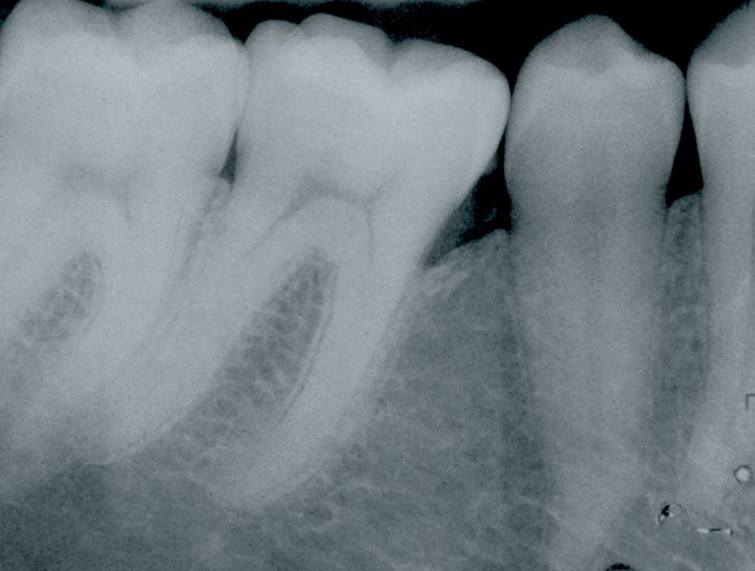
A systemically healthy 17-year old patient was diagnosed with a localized severe aggressive periodontitis. A pre-operative X-ray revealed an intra-bony defect in the mesial aspect of the first lower right molar (Fig. 1). Following the initial preparation, a remaining 10mm-periodontal pocket was evident (Fig. 2).

Procedure

Treatment planning: A regenerative periodontal surgery with Emdogain® and bone graft was scheduled.

Surgical procedure

Following intrasulcular incisions and a full thickness flap elevation, thorough debridement was performed. An intrabony lesion, which could be classified as a 1-wall defect in the coronal area, while in the apical area, a 2- or 3-wall defect became evident (Fig. 3), 10 mm CAL was confirmed. Root conditioning with PrefGel® was performed. After rinsing and slightly drying the area with gauze pads, Emdogain® was applied on the exposed root surface and into the defect (Figs. 4-5). Bone grafting was performed and the area sutured to achieve primary soft tissue closure (Fig. 6).

Treatment outcome

An immediate post-operative radiograph captured the bone graft in place (Fig. 7). The next sequence of radiographs shows the gradual bone fill of the defect at six months (Fig. 8), 3 years (Fig. 9), seven years (Fig. 10) and twenty years (Fig. 11).