Case video: Immediate double-arch restoration

João Caramês, Portugal

“BLX is a good additional tool for full-arch rehabilitation, especially in soft bone and extraction sockets – it delivers high primary stability.” 

About João Caramês

João Caramês

Professor João Caramês is a Full Professor and Chairman of the Oral Surgery and Implant Department and President of the Scientific Committee at Lisbon University Faculty of Dental Medicine (FMDUL). He is Director and Founder of the Implantology Institute in Lisbon and currently a President state elect of the General Assembly of the Portuguese Dental Association (OMD). Professor Caramês is Principal Investigator on the Implantology research group at the Oral and Biomedical Research Unit of the Lisbon University Faculty of Dental Medicine (UICOB/FMDUL). He has published and lectured extensively, both nationally and internationally. Today his private practice is focused on Oral Surgery and Implant Dentistry.

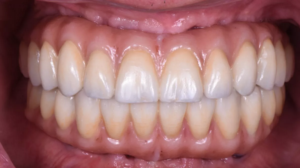
Initial situation:


60-year-old male, healthy, no bone defects. Moderate resorption in the mandible and maxilla. Generalized severe chronic periodontitis.

Treatment:

Fixed immediate rehabilitation on four implants in the mandible and six implants in the maxilla. Tilting of the posterior implants due to limited bone availability in the maxilla. Temporary restoration: acrylic, metal-reinforced provisional prosthesis. Planned final restoration: zirconia ceramic bridge.