Avantages de l'implant Axiom X3® Tissue Level chez un patient bruxomane et fumeur

Dr Levs GAVRILOVS

Chirurgien-Dentiste

Spilsby, Royaume-Uni

Certificat d'études supérieures :
  • En dentisterie implantaire
  • De la British Academy of Implant & Restorative Dentistry (Leeds)
  • En dentisterie implantaire avancée Université Vita-Salute San Raffaele (Milan)
  • En dentisterie esthétique avancée UCL Eastman (Londres)


Introduction

Cet homme charmant et en bonne santé, âgé d'une quarantaine d'années, a consulté pour remplacer la LR6 manquante, qui avait été extraite il y a trois mois en raison d'un abcès. Son objectif principal était de restaurer la fonction, et ses attentes esthétiques étaient faibles. En intra-oral, il a présenté la LR6 manquante, un espace vertical et horizontal suffisant pour remplacer la dent manquante, mais des signes clairs de la parafonction actuelle. L'hygiène bucco-dentaire était satisfaisante. Le patient était fumeur (5 à 10 par jour). Toutes les options pour remplacer la dent manquante ont été discutées : accepter l'espace, une prothèse, un bridge ou un implant dentaire. Tous les risques et avantages de chaque option ont été présentés, mais le patient n'était intéressé que par l'implant.

Situation initiale

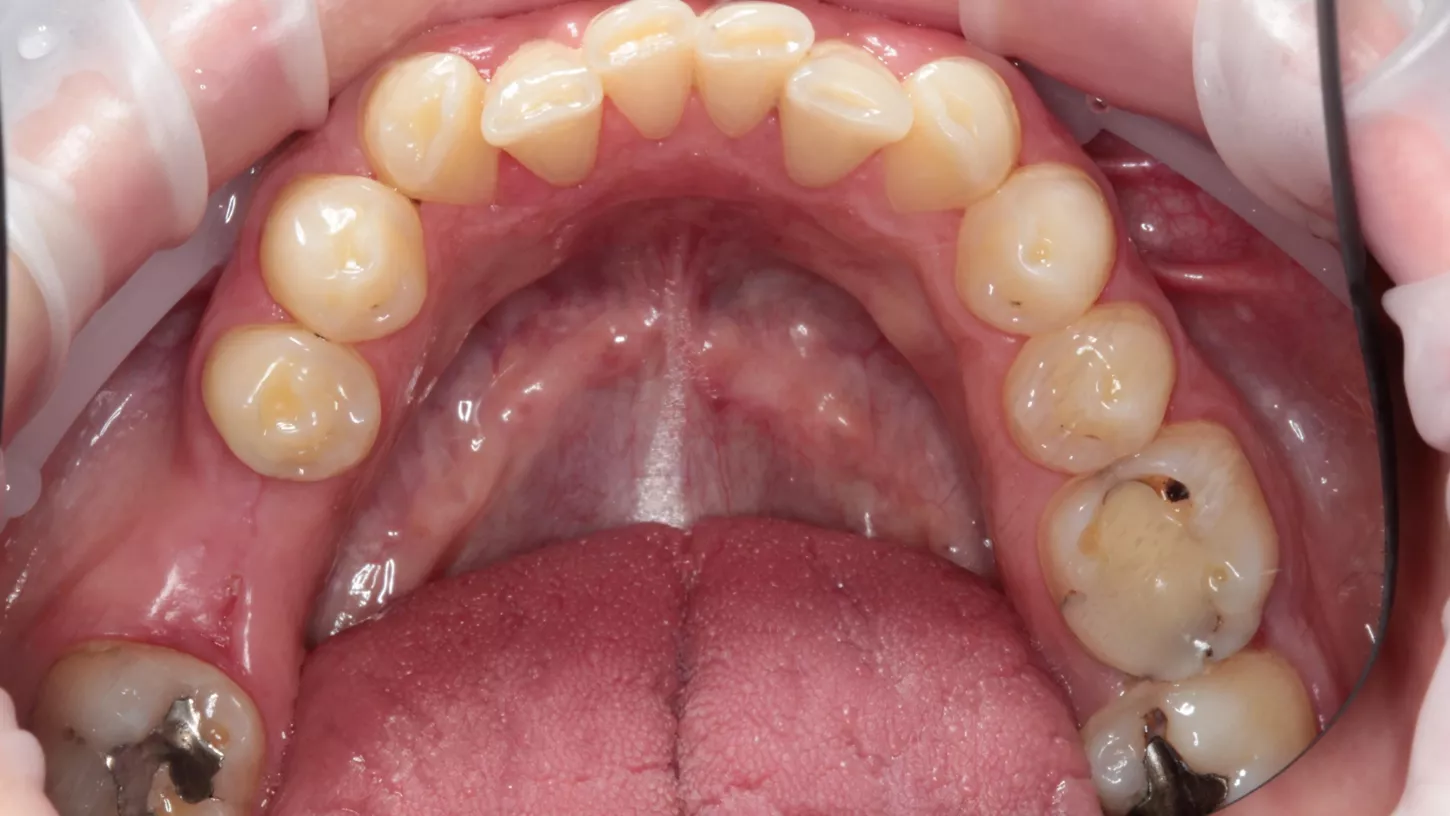
1a. 1b. Vue occlusale pré-opératoire.

2. Mon protocole habituel consiste à réaliser un CBCT et un scanner intra-oral pour chaque patient implanté, car la plupart de mes poses d'implants sont entièrement guidées (à l'aide du kit de chirurgie guidée INTEGRAL d'Anthogyr). Ces deux examens ont été réalisés au cabinet.

3a. 3b. 3c. 3d. Le logiciel SMOP a été utilisé pour la planification (principe de planification inversée/prothétique). Un wax up virtuel a été créé et les fichiers DICOM et STL ont été fusionnés pour optimiser la pose du futur implant (Anthogyr Axiom X3® TL 4.0x10 R2.5). Comme je connaissais bien les implants Anthogyr Axiom X3® (c'est en fait le principal implant que j'utilise dans mon cabinet), j'étais heureux d'essayer l'implant Anthogyr Axiom X3® Tissue Level dans ce cas. Comme il s'agissait d'un cas de molaire, j'ai décidé d'utiliser la plateforme normale (4,8 mm) pour obtenir un bon profil d'émergence de la future restauration. Même avec la planification numérique, je respecte toutes les règles biologiques de base. L'une des principales est la largeur biologique. Dans ce cas, j'ai donc immergé mon implant de 3 mm et j'ai choisi une hauteur de col de 2,5 mm.

4. Le plan de traitement a été accepté par le patient et j'ai imprimé le guide (en utilisant un foret de 5 mm, la largeur de la plateforme du col étant de 4,8 mm).

5a. 5b. Guide imprimé en 3D.

6. Kit de chirurgie guidée Anthogyr INTEGRAL - Foret Ø5.0.

7. Implant choisi.

8. Guide essayé dans la bouche du patient.


Intéressé par Axiom X3® Tissue Level?

Bénéficiez du meilleur de la philosophie d'Axiom X3® avec une approche Tissue Level.


Chirurgie

9a. 9b. 9c. Dans ce cas, en raison de la quantité suffisante d'os, j'ai pu utiliser l'approche sans lambeau avec le tissue punch.

10. Ensuite, j'ai suivi le protocole de forage Anthogyr Axiom X3® pour l'os de type 2 (sous-préparation  d'un foret). L'implant a été placé à travers le guide. Le couple a atteint 50 N.cm. L'ensemble de la procédure nous a pris environ 20 minutes !

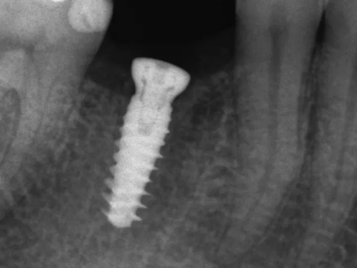
11. La vis de couverture doit être serrée à la main.

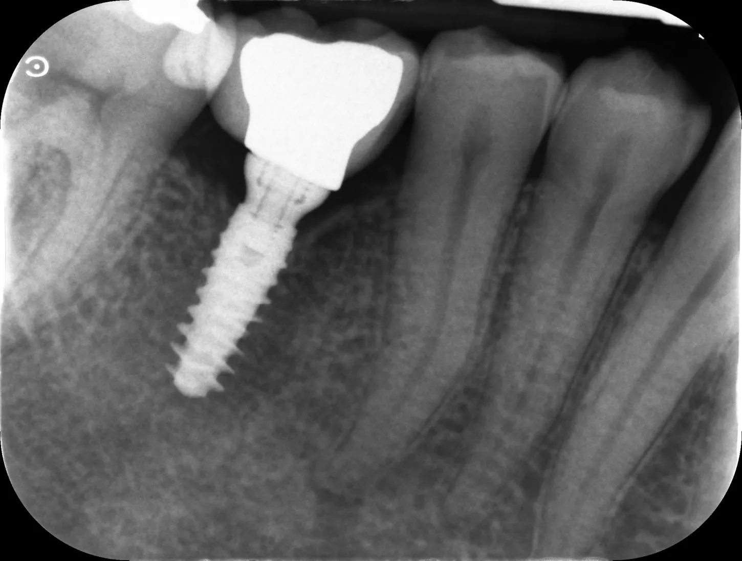
12. Après une période de cicatrisation de 12 semaines (qui s'est déroulée sans incident), le patient est venu pour les empreintes finales. Une radiographie a été prise et un remodelage osseux a été observé.

Restauration prothétique

13. Maître modèle.

14a. 14b. 14c. Une empreinte optique a été réalisée (à l'aide du scan body TL). Le fichier a été envoyé au centre d'usinage Simeda® et la restauration finale (Pilier CAD/CAM et couronne en zircone) a été livrée.

Situation Finale

15a. 15b. La restauration finale a été mise en place dans la bouche du patient 2 semaines plus tard. Le patient et moi-même sommes satisfaits du résultat.

16. Radiographie de contrôle de la restauration finale.


Conclusion

En tant qu'utilisateur d'Axiom X3®, j'ai été heureux d'apprendre que j'avais désormais la possibilité d'utiliser un implant Tissue Level, en gardant tous les avantages d'Axiom X3® Bone Level.

Ce que j'ai vraiment apprécié dans l'Axiom X3® Tissue Level, c'est :

  • Le choix de la largeur de la plateforme de col (4.0 N et 4.8 R), qui me permet de créer un beau profil d'émergence de la restauration.
  • Le choix de la hauteur du col, qui permet de respecter la largeur biologique et de placer mon implant à différentes profondeurs.
  • Possibilité d'utiliser le kit Anthogyr Integral entièrement guidé (pas besoin d'acheter des kits supplémentaires)
  • Même fiabilité que l'implant Axiom X3®

Les implants Tissue Level sont une option bien connue pour les patients fragilisés (maladie parodontale, fumeurs, bruxomanes, etc.). Je suis donc très heureux d'avoir l'Axiom X3® Tissue Level dans mon arsenal.