Straumann® BLC | Clinical Case

Maxillary esthetic area bridge in a regenerated
bone area with immediate loading

Anterior maxilla with horizontal bone resorption, a GBR procedure was performed utilizing Xenograft and Jason membrane. 7 months after a successful regeneration a guided surgery implant placement procedure was performed using 4 apically tapered Straumann® BLC implants ∅ 4.5 mm x 12 mm SLActive® Roxolid® with immediate provisional bridge.

Dr. France Lambert


  • Initial situation

  • Occlusal view 7 months after GBR

  • CBCT 7 months after GBR

  • Precise implant positioning through guided surgery

  • Immediate Provisional

  • Control after 8 months

  • Radiographic control. Final bridge

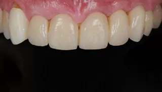
  • Final restoration