#Ästhetik 19.10.2022

Behandlung einer fortgeschrittenen Periimplantitis mit idealem Outcome

Setzen eines Straumann® BLX Implantats und simultane Knochenaugmentation mit maxgraft® Knochenersatzmaterial und einer Jason® membrane - Ein klinischer Fallbericht von Dr. Alessandro Perucchi und Dr. Jessica Dana, Schweiz.

Periimplantitis ist eine Erkrankung, die im Bereich um Dentalimplantate auftritt und durch eine Entzündung des periimplantären Bindegewebes und den fortschreitenden Verlust der abstützenden knöchernen Strukturen gekennzeichnet ist[1].

Die Prävalenz für Periimplantitis wird laut aktueller Forschung auf 22 %2 geschätzt. Aufgrund der weltweit steigenden Zahl von Implantatbehandlungen gilt die Periimplantitis als eine der grossen Herausforderungen der Zahnmedizin. Geeignete Lösungsansätze für die Prävention und Behandlung der Periimplantitis sind daher sowohl in der allgemeinen als auch in der fachärztlichen Zahnmedizin zunehmend wichtig.

Geeignete Behandlungsprotokolle basieren immer auf einer sorgfältigen korrekten Diagnose und sollten auf die Schwere der Läsion und die individuellen Risikofaktoren abgestimmt sein. Abhängig vom Krankheitsstadium muss der Kliniker entscheiden, ob das primäre Behandlungsziel das Aufhalten der Krankheitsprogression und die Regeneration des Gewebes ist oder ob das vorhandene Dentalimplantat entfernt und durch ein neues ersetzt werden muss.

Der folgende Fallbericht beschreibt die Behandlung einer Patientin mit Periimplantitis im Bereich eines Oberkiefer-Prämolaren mit einhergehendem fortgeschrittenen Knochenverlust. Das betroffene Implantat wurde unter Anwendung von schonenden chirurgischen Techniken entfernt, um Verletzungen der umliegenden Strukturen zu vermeiden und so viel Knochensubstanz wie möglich zu erhalten. Anschliessend wurde ein Straumann® BLX Roxolid® SLActive® Implantat gesetzt und der knöcherne Defekt wurde mit einem Knochenersatzmaterial (maxgraft® Granula, botiss, Vertrieb durch Straumann Biomaterialien) in Verbindung mit einer Kollagenmembran (Jason® membrane, botiss, Vertrieb durch Straumann Biomaterialien) rekonstruiert.

Ausgangslage

Eine 75-jährige Patientin, Nichtraucherin, stellte sich in unserer Klinik mit Schmerzen und Beschwerden im rechten Oberkiefer vor. Zahn 14 war vor 3 Jahren durch ein Dentalimplantat ersetzt worden.

Laut Anamnese hatte sich die Patientin vor 15 Jahren einer Herzoperation unterzogen, bei der ein koronarer Stent implantiert wurde, um einer koronaren Obstruktion vorzubeugen. Nach dem kardiovaskulären Eingriff verschrieb der Kardiologe der Patientin Acetylsalicylsäure (100 mg/Tag) und einen Blutdrucksenker mit dem Wirkstoff Ramipril (2,5 mg/Tag). Zusätzlich wurde ihr Rosuvastatin (5 mg/Tag) verschrieben, ein Wirkstoff aus der Gruppe der Statine zur Behandlung von Hypercholesterinämie und Vorbeugung von weiteren kardiovaskulären Komplikationen, und ihr wurden eine gesunde Ernährung sowie regelmässige körperliche Aktivitäten empfohlen.Die Patientin gab zudem an, seit 5 Jahren, seit dem Tod ihres Ehemannes, ein Anxiolytikum (Trazodon, 50 mg/Tag) einzunehmen.

Die intraorale Untersuchung ergab eine erythematöse bukkale Mukosa, eine Sondierungstiefe von 9 mm mit Blutung bei Sondierung sowie einen vestibulären Abszess im Bereich des Implantats in Regio 14. Ihre Mundhygiene war gut

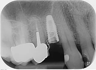
Die Röntgenaufnahme zeigte distal und mesial des Implantats einen mittelschweren vertikalen und horizontalen Knochenverlust (Abb. 1).

Abb. 01

Behandlungsplanung

Basierend auf den klinischen und röntgenologischen Befunden wurde eine Periimplantitis in Regio 14 diagnostiziert. Der Behandlungsplan sah einen kausalen Behandlungsansatz vor und beinhaltete die Beseitigung des Infektionsherds. Im Bereich des Abszesses wurde eine kleine Inzision gesetzt. Die Läsion wurde mit Povidon-Jod und Chlorhexidin gespült und mit einer Oxytetracyclin-Hydrocortison-haltigen Gaze abgedeckt. Die prothetische Zahnkrone wurde vom Implantat geschraubt, in die Zahnfleischtasche wurde Guttapercha eingebracht. Anschliessend wurde eine Röntgenaufnahme angefertigt, um den Ursprung der Läsion zu bestätigen. Die Aufnahme bestätigte einen bukkalen Infektionsherd, der mit dem Implantat in Regio 14 assoziiert war (Abb. 2). Die Behandlungsoptionen wurden mit der Patientin erörtert, wobei der ortsständige Knochenverlust sowie ästhetische Aspekte berücksichtigt wurden.

Aufgrund der Defektausdehnung und -lage entschieden wir uns für die Entfernung des Implantats in Regio 14 mit anschliessendem Ersatz durch ein Straumann® BLX Roxolid® SLActive® Implantat und ein simultanes Knochenaugmentationsverfahren mit einem Knochenersatzmaterial (maxgraft® Granula) und einer Kollagenmembran (Jason® membrane).

Abb. 02

Chirurgisches Verfahren

Nach einer multidisziplinären Konsultation mit dem Kardiologen der Patientin wurde die Patientin angewiesen, die Behandlung mit Acetylsalicylsäure (100 mg/Tag) 7 Tage vor dem geplanten chirurgischen Verfahren abzusetzen. Der Eingriff wurde unter lokaler Infiltrationsanästhesie (Lidocain 2 % mit Epinephrin 1:100.000) durchgeführt, das Lokalanästhetikum wurde in das Gewebe im Bereich der Implantatspitze in Regio 14 injiziert. Mit einer chirurgischen Skalpellklinge Nr. 15 wurden intrasulkuläre Inzisionen gesetzt. Das Implantat wurde mit dem dazugehörigen Kit behutsam entfernt. Während des chirurgischen Verfahrens wurde bukkal ein Wurzelrest von Zahn 14 entdeckt. Dieser könnte bei der Extraktion von Zahn 14 bewusst (Socket-Shield-Technik) oder auch versehentlich im Situs belassen worden sein (Abb. 3). Nachdem die Wurzelreste entfernt worden waren, zeigte sich ein ausgedehnter Knochendefekt (Abb. 4, 5).

Das Straumann® BLX Roxolid® SLActive® Implantat Ø 3,75 mm x 10 mm wurde aufgrund seines CCC-Designs („Cut-Collect-Condense“) gewählt. Während der Implantatinsertion bewirkt dieses Design die Verteilung und Verdichtung der nativen Knochensubstanz entlang des Implantatkörpers und maximiert so den anfänglichen Knochen-Implantat-Kontakt, Dadurch kann selbst in schwierigen klinischen Situationen, wie der hier beschriebenen, eine ideale Primärstabilität erreicht werden (Abb. 6-8).

Nach dem Setzen des Implantats wurde das Knochenersatzmaterial (maxgraft® Granula, botiss, Vertrieb durch Straumann Biomaterialien) in den Defekt eingebracht, wobei die bukkale Lamelle überkonturiert wurde (Abb. 9). Um ein Einwachsen von Weichgewebe in den Defektraum zu verhindern, wurde der augmentierte Bereich mit einer Kollagenmembran (Jason® membrane, botiss, Vertrieb durch Straumann Biomaterialien) abgedeckt (Abb. 10, 11). Die osteokonduktiven Eigenschaften von maxgraft® fördern ein natürliches und kontrolliertes Geweberemodelling, während die Jason® membrane das Weichgewebsmanagement auch in schwierigeren klinischen Situationen bei Patienten mit dünnem Biotyp erleichtert.

Der Weichgewebelappen wurde über dem Implantat mit einer Einzelknopfnaht mit Nahtmaterial Vicryl 5-0 vernäht (Abb. 12).

Nach dem chirurgischen Verfahren erhielt die Patientin mündliche und schriftliche Empfehlungen zu Medikamenten, Mundhygienemassnahmen, Ernährung etc. Sie bekam Mefenaminsäure 500 mg, Einnahme alle 6 Stunden über einen Zeitraum von 2 Tagen, Sulfamethoxazol (800 mg) und Trimethoprim (160 mg), Einnahme alle 12 Stunden über einen Zeitraum von 5 Tagen, verschrieben. Zusätzlich sollte sie ihren Mund in den ersten 7 Tagen postoperativ mit Chlorhexidin 0,05 % spülen.

Abb. 12

Nach 12 Tagen kam die Patientin zur Nachuntersuchung in die Klinik und die Fäden wurden gezogen. Sie berichtete, keine Schmerzen oder Komplikationen zu haben, die Heilung verlief komplikationsfrei.

In einem zweiten Eingriff 3 Monate später wurde das Implantat freigelegt und ein BLX RB Gingivaformer (GH 2,5 mm, AH 4 mm) platziert.

Prothetisches Verfahren

Beim Follow-up nach 6 Monaten wurde eine digitale Volumentomographie (DVT) erstellt und eine periapikale Röntgenaufnahme angefertigt. Diese bestätigten ein adäquates Knochenvolumen sowie eine adäquate Knochendichte und dreidimensionale Positionierung des Implantats (Abb. 13-15).

Die Mundhygiene der Patientin war gut, der Zustand des periimplantären Weichgewebes optimal. Der Gingivaformer wurde entfernt, das Emergenzprofil war ideal ausgeformt (Abb. 15, 16).

Die Abformungen wurden in herkömmlicher Technik mit einem offenen Löffel vorgenommen (Abb. 18, 19).

Die prothetische Versorgung bestand aus einer monolithischen Zirkondioxid-Krone (zerion® UTML) auf einer RB Variobase® für Krone (Ø 3,8 mm, GH 2,5 mm, AH 5,5 mm). Nach der Eingliederung der definitiven prothetischen Versorgung wurden die Okklusion und die Approximalräume geprüft.

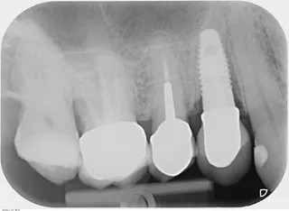
Eine abschliessende periapikale Röntgenaufnahme bestätigte die korrekte Passung der Versorgung (Abb. 20).

Abb. 20

Behandlungsergebnisse

Die intraoralen Aufnahmen und die Röntgenaufnahme, die beim Follow-up zwei Jahre nach dem Setzen des Straumann® BLX Roxolid® SLActive® Implantats und dem simultanen Knochenaugmentationsverfahren angefertigt wurden, bestätigen den Erfolg der Behandlung (Abb. 21-23).

Eine erfolgreiche Behandlung der Patientin wäre ohne korrekte Diagnosestellung und einen effektiven Behandlungsplan nicht möglich gewesen. Zusätzlich trug das Augmentationsverfahren mit Knochenersatzmaterial (maxgraft® Granula, botiss, Vertrieb durch Straumann Biomaterialien) und einer Kollagenmembran (Jason® membrane, botiss, Vertrieb durch Straumann Biomaterialien) in Kombination mit dem Straumann® BLX Roxolid® SLActive® Implantat zum Erfolg der Behandlung bei.

Testimonial von Dr. Perucchi:

Die mit dem Brånemark Implantat und den Wurzelresten in Regio 14 assoziierte Periimplantitis verursachte einen schweren Knochendefekt. Dank der Makro-Geometrie und des CCC-Designs („Cut-Collect-Condense“) des BLX Implantats konnte trotz Knochendichte D3/D4 und trotz des ausgedehnten dreiwandigen Knochendefekts eine optimale Primärstabilität erreicht werden. Für die GBR wurde das Knochenersatzmaterial maxgraft® Granula (humanes Knochengewebe) verwendet. Dank dieses Materials wurde lediglich eine minimale Menge autologer Knochensubstanz verwendet. Die SLActive® Oberfläche trug zu der ausgezeichneten Osseointegration des neuen Implantats bei. Alle diese Faktoren ermöglichten uns die Planung von vorhersagbaren, weniger invasiven chirurgischen und prothetischen Verfahren für unsere 75-jährige Patientin bei einer begrenzten Anzahl von chirurgischen Interventionen.

Literatur:

  1. Schwarz F, Derks J, Monje A,Wang H‐L. Peri‐implantitis. J Clin Periodontol.2018;45(Suppl 20): 246–P266
  2. Derks J, Tomasi C. Peri-implant health and disease. A systematic review of current epidemiology. J Clin Periodontol. 2015 Apr;42 Suppl 16: 158-71