#Estetica 16. Jan 2024

Uso di impianti Straumann BLT da 3,3 mm e aumento osseo con Cerabone® Plus nella zona estetica

Caso clinico di Cristian Scognamiglio et Alessandro Perucchi, Svizzera.

Questo caso clinico descrive la sostituzione di quattro incisivi superiori gravemente impattati con due impianti Straumann® BLT SLActive®, con una riduzione del tempo di guarigione fino a 4 settimane e con un risultato prevedibile. Per la correzione del difetto osseo buccale è stato utilizzato Cerabone® Plus. Questo innesto osseo può essere facilmente adattato e posizionato nel punto desiderato senza alterarne la forma.

Condizioni iniziali

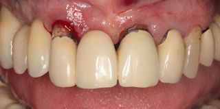
Il paziente è un uomo di 58 anni. Dopo il primo consulto, sono emersi una forte mobilità del ponte 12-x-21 e dolore al dente 22, che risultava danneggiato (Fig. 1). I denti erano stati trattati circa 25 anni prima; inoltre, il paziente desidera anche migliorare l’estetica della regione anteriore. Nell’anamnesi del paziente non vi sono patologie sistemiche o localizzate, e il paziente non sta assumendo alcun farmaco.

Fig. 1

Pianificazione del trattamento

Sulla base delle radiografie e della valutazione clinica, non è possibile curare e salvare i denti danneggiati 12/21/22. Vengono rilevate le impronte in alginato al fine di realizzare una protesi mobile/provvisoria post-estrattiva. Viene eseguita la procedura di estrazione (Fig. 2/3/4), per rimuovere i denti compromessi e permettere ai tessuti molli e duri di guarire. Viene quindi inserita la protesi mobile (Fig. 5). Dopo un tempo di guarigione di tre mesi (Fig. 6/7), vengono inseriti due impianti Straumann® BLT SLActive® nei siti 12/22 e viene eseguito un aumento dell’osso buccale con Cerabone® Plus, seguito dalla procedura protesica.

Procedura chirurgica

Le procedure chirurgiche vengono eseguite in anestesia locale: i denti 12/21/22 vengono estratti a causa del rischio endodontico e parodontale che comportano. Il sito chirurgico viene suturato con una sutura monofilamento 4/0 non riassorbibile, che viene rimossa dopo una guarigione di 13 giorni. Dopo tre mesi di maturazione ossea e un’analisi radiologica CBTC del sito del difetto, viene preparato un lembo a tutto spessore (Fig. 8) per il posizionamento di due impianti Straumann® BLT Ø 3,3/12 mm (Roxolid® SLActive®) in corrispondenza delle posizioni dei denti 12 e 22 mancanti. Nel sito chirurgico si riscontra un difetto della parete buccale (Fig. 9/10/11/12). Il difetto dell’osso buccale viene corretto con Cerabone® Plus (Fig. 13/14). Successivamente, gli impianti vengono protetti con due cappucci di guarigione e il lembo viene suturato con una sutura monofilamento 4/0 non assorbibile (Fig. 15). Viene eseguito un controllo radiografico finale, per verificare che la posizione degli impianti sia corretta (Fig. 16).

Procedura protesica

9 settimane dopo l’intervento chirurgico, quando la guarigione è completa (Fig. 17), si procede alla presa d’impronta finale con l’ausilio di una scansione intraorale. Per mezzo di un flusso di lavoro completamente digitale, l’odontotecnico realizza un ponte avvitato Zerion® UTML (zirconia monolitica) i12-x-x-i22 (Fig. 18).

Risultato finale

2 settimane dopo la presa d’impronta (Fig. 19/20) viene consegnato il ponte definitivo e viene eseguita una radiografia di controllo dentale (Fig. 21). Il paziente è soddisfatta del risultato estetico e funzionale finale e della facilità con cui può utilizzare gli scovolini dentali (Fig. 22). All’esame di controllo dopo un anno, i tessuti periimplantari sono stabili e non mostrano alcun segno di infiammazione.