#Sofortversorgung 14.10.2019

Vertrauen in das Implantat und den Patienten: Pro Arch im Ober- und Unterkiefer unter Verwendung des BLX-Implantats als allererste Zahnbehandlung im Leben eines Mittsechzigers

Ein klinischer Fallbericht von Jonas Lehner und Eberhard Donhauser

Einleitung

Die Sofortimplantation mit Sofortbelastung eröffnet Patienten eine grosse Chance in kürzester Zeit eine vollständige ästhetische und funktionelle Rehabilitation ihres Kauapparates durchführen zu lassen. Für den Behandler bedeutet es eine grosse Verantwortung mit Hilfe dieser Techniken einen Patienten zu versorgen. Beim vorliegenden Fall handelt es sich um die Behandlung eines 63-jährigen Patienten mit Pro-Arch-Versorgungen beider Kiefer mit den neuen Straumann BLX-Implantaten bei Vorliegen eines final parodontal destruierten Restgebisses. Das Aussergewöhnliche dabei: Der Patient gibt an, seinen letzten Zahnarztbesuch im Kindesalter erlebt zu haben. Neben den chirurgischen und prothetischen Herausforderungen muss sich der Behandler aufgrund dieser Tatsache v.a. mit der ethischen und medizinrechtlichen Frage befassen: Bringt der Patient die Compliance mit, die für diese Art der Versorgung nötig ist?

Ausgangslage

Der männliche 63-jährige Patient (Abb. 1), mässiger Raucher stellte sich erstmalig mit stark reduziertem Restzahnbestand vor. Er berichtet von multiplen spontanen Zahnverlusten im Seitenzahngebiet aufgrund von Lockerungen in den letzten Jahren. Neben der deutlich verschlechterten Ästhetik durch Zahnwanderungen sei es v.a. das mittlerweile schmerzhaft gewordene Kauen aufgrund der stark gelockerten Unterkieferfrontzähne, das ihn aktuell den Zahnarzt aufsuchen lässt (Abb. 2-4). Abgesehen davon sei er über die letzten Jahrzehnte durchgehend schmerzfrei gewesen. Auf die Frage, wieso er nach den wenigen Zahnarztbesuchen im Kindesalter nie wieder den Zahnarzt aufgesucht hätte, gibt er eine Traumatisierung durch den damaligen Behandler an sowie die durchwegs bestehende Abwesenheit von Schmerzen.

Die psychosoziale Anamnese ist unauffällig. Der Patient ist familiär sehr gut eingebunden und geht einem geregelten und angesehenen Beruf nach. Er äussert keine tiefergehenden Ängste bezüglich einer bevorstehenden Behandlung. Eine allgemeinmedizinische Untersuchung ergibt, dass keine Einschränkungen bezüglich einer implantatchirurgischen Therapie bestehen.

Behandlungsplanung

Es erfolgen umfangreiche Aufklärungsgespräche mit dem Patienten bezüglich der möglichen Behandlungsalternativen unter fortwährender Einbeziehung des familiären Umfelds. Spezielles Augenmerk wird auf die Aufklärung über parodontalpathogene Mechanismen gelegt, die Einordnung seines Verhaltens gegenüber zahnärztlicher Therapie in der Vergangenheit und die daraus für ihn zu ziehenden Schlüssen für die Zukunft nach Abschluss einer implantatprothetischen Rehabilitation. Unter Abwägung aller Chancen und Risiken entscheiden sich Patient und Behandler gemeinsam für eine Pro-Arch-Versorgung in beiden Kiefern. Auf Wunsch des Patienten geschieht dies nicht in Intubationsnarkose, sondern in i.v.-Sedierung (Midazolam®) in zwei getrennten Sitzungen zur Vermeidung einer Überschreitung der Grenzdosis des Lokalanästhetikums. Nach einer klinischen und röntgenologischen Untersuchung (PSA) zeigte sich ein final parodontal destruierter Restzahnbestand (Abb. 5) sowie ein retinierter und verlagerter Zahn 28. Im angefertigten DVT weisen die unbezahnten Kieferabschnitte eine horizontale und vertikale Atrophie auf. Der anteriore Bereich der Maxilla als auch der Mandibula waren ausreichend dimensioniert für die Aufnahme von jeweils vier Straumann BLX®-Implantaten in ausreichenden Längen und Durchmessern. Die prothetische Vorplanung (Wax-up) erfolgte nach Abdruck und Modellherstellung und orientierte sich an älteren Fotos.

Chirurgisches Verfahren

Vor der OP des Unterkiefers erfolgten zwei Sitzungen zur Entfernung harter und weicher Beläge. Der Patient wurde bezüglich der Mundhygiene instruiert. Unter prolongierter antibiotischer Prophylaxe (Amoxicillin 1000mg, 3x1) erfolgte die Entfernung der Restzähne des Unterkiefers in Lokalanästhesie und intravenöser Sedierung (Midazolam®). Die Zähne 33 und 43 wurden zur Bisslagebestimmung vorläufig noch belassen (Abb. 6). Nach Hebung eines Vollschichtlappens und der Nivellierung des Kieferkammes (Abb. 7) wurden 4 BLX-Implantate des Durchmessers 4,5mm inseriert, wobei die distalen Implantate regio 35 und 45 im 30°-Winkel zur Kauebene unter Umgehung der Foramina mentale eingebracht wurden (Abb. 8+9)

Das Eindrehmoment lag zwischen 40 und 60Ncm. Die Implantate wurden mit Screw-retained-Abutments (SRA`s) versorgt (O°, 30°) (Abb. 10). Im Anschluss an den Wundverschluss erfolgten Abdrucknahme (Impregum® 3M Espe, Löffel: Miratray®) (Abb. 11) und Bissregistrierung (individuelle Bisschablone, Occufast®, Zhermak). Zuletzt wurden die Zähne 33 und 43 entfernt. Das aus Kaltpolimerisat hergestellte mit Glasfaser verstärkte Langzeitprovisorium (Abb. 12) wurde nach ca. 3 Stunden eingegliedert (Abb. 13 OPG Post OP UK). Zum Zeitpunkt der Nahtentfernung nach einer Woche zeigte sich eine weit fortgeschrittene Heilung.

Der Patient tolerierte den ersten Eingriff sehr gut, so dass ca. 5 Wochen nach der Implantation im Unterkiefer die Versorgung des Oberkiefers vorgenommen werden konnte. Im gleichen Modus (Antibiose, Lokalanästhesie, i.v.-Sedierung) beließ man, wie bereits im Unterkiefer, zunächst die Zähne 13 und 23 zur Orientierung bei der Bisslagebestimmung. In den Regionen 15, 12, 22 und 25 wurden BLX®-Implantate des Durchmesser 4,5mm eingebracht sowie mit SRA´s (30°, 17°) versorgt (Abb. 14 -17).

Ein Fenestrationsdefekt regio 12 wurde mit Knochenersatzmaterial augmentiert. Das Eindrehmoment betrug zwischen 30 und 50 Ncm bei vorliegendem D3-Knochen. In gleicher Weise wie im Unterkiefer erfolgte die Versorgung des Oberkiefers (Abb. 18 und 19). Abschliessend wurde die Entfernung des Zahnes 28 durch Osteotomie vorgenommen. Dabei trat eine Mund-Antrum-Verbindung auf.

Prothetisches Verfahren und Ergebnis

Nach ca. 5 Monaten erfolgte eine röntgenologische Kontrolle der Osseointegration (Abb. 20, 21).

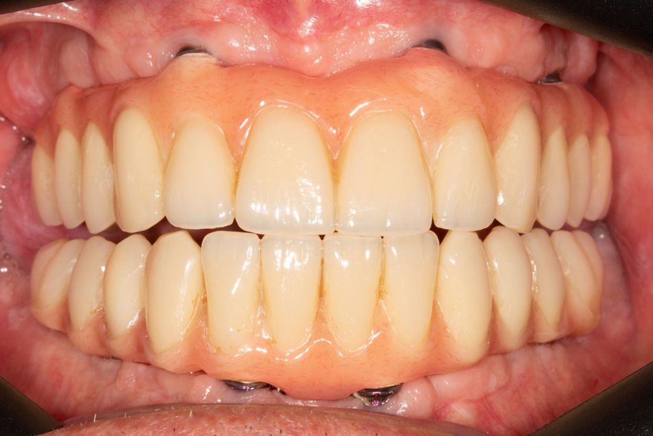
Es wurde eine erneute Abdrucknahme mit Verblockung der Abdruckpfosten vorgenommen (Pattern Resin®, GC). Nach einer Ästhetikeinprobe erfolgte die finale Versorgung mit einem individuell mit PMMA verblendeten gefrästen Gerüst (Abb. 22, 23, 24).

Der Patient bewies während der provisorischen Phase sowie im sich anschliessenden Recall ein hohes Mass an Compliance und Motivation. Die gingivalen Verhältnisse waren zu jedem Zeitpunkt reizlos (Abb. 25, 26, 27).

Diskussion

Die Sofortimplantation mit Sofortbelastung ist ein mittlerweile seit längerem evidenzbasiertes Konzept und birgt ein grosses Potential in Bezug auf die Wiederherstellung der oralen Lebensqualität in einem äusserst kurzen Zeitraum. Das Vertrauen des Behandlers in das gewählte Implantatsystem ist entscheidend bei dieser Art der Versorgung. Während die Immediate-Konzepte und das BLX-Implantat an sich extrem beschleunigte Abläufe ermöglichen, muss nach Meinung der Autoren umso mehr Zeit in den Aufbau einer stabilen Arzt-Patienten-Bindung investiert werden, die es dem Behandlerteam ermöglicht, die richtigen Entscheidungen im Sinne des Patienten zu treffen. Das wechselseitige Vertrauensverhältnis zwischen Arzt und Patient ist die Basis einer langfristig erfolgreichen Therapie, die unter diesen besonderen Umständen gelungen zu sein scheint. Der hochzufriedene Patient bewies im Anschluss an die Implantation, dass das in ihn gesetzte Vertrauen zu jedem Zeitpunkt gerechtfertigt war.