Straumann® TLC | Cas clinique

Chirurgie guidée pour la pose immédiate d’un implant dans la zone antérieure après la fracture d’un bridge classique

Trois implants d’apex conique Straumann TLC™ (∅ 4,5 mm x 12 mm) SLActive® Roxolid® ont été utilisés. Une prothèse provisoire a tout d’abord été utilisée. Ensuite, un bridge usiné en PMMA a été utilisé pour le modelage des tissus mous. Enfin, un bridge transvissé monobloc en zircone a été fabriqué sur des parties secondaires Variobase®.

Dr Shakeel Shahdad


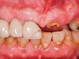
  • Situation initiale

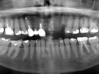
  • Radiographie préopératoire

  • CBCT préopératoire avec plan des implants

  • Pose chirurgicale sans lambeau entièrement guidée après l’extraction des dents

  • Positionnement définitif de l’implant avec partie secondaire de cicatrisation

  • Tissus mous au moment de la pose de la prothèse vissée définitive

  • Restauration définitive au suivi à 6 mois

  • Radiographie périapicale lors du suivi à 6 mois