Straumann® iEXCEL™ | Clinical Case

Maxillary overdenture with immediate loading

Edentulous maxilla with limited bone height in the posterior region. Flapless guided surgery, placement of two Straumann® BLC implants ∅ 3.75 x 10 mm (at positions 12 and 22) and two Straumann® BLC implants ∅ 4.5 x 10 mm (at positions 14 and 24). Immediate fixed temporization was achieved using the patientʼs former denture, which remained in function for three months. Subsequently, considering the patientʼs presentation with a thin upper lip, high smile line, and vertical bone crest atrophy, a final metal-reinforced overdenture fixed on a Dolder bar was selected.

Dr. Jiri Krug


  • Occlusal view before surgery.

  • Fully guided drilling.

  • Implant placement, BLC ∅ 3.75 x 10 mm SLActive®, Roxolid®.

  • Provisional bridge with the titanium copings made from a reinforced full denture.

  • Screw-Retained Abutments after 8 weeks.

  • Position of the CAD/CAM titanium Dolder bar (Createch) within the outline of the overdenture.

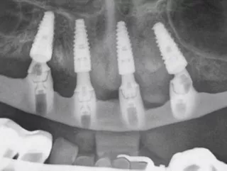
  • Panoramic X-ray done for Sheffield test approval.

  • Post-op smile at 4-month follow up.