Straumann® StarConcept™

The art of full-arch esthetics.



Empowering You to Excel in Full-Arch Treatment

The Straumann® STARconcept™ is Straumann’s fully integrated, end-to-end digital solution for FP1 full-arch restorations. It connects Smilecloud, Smile in a Box®, Straumann iGuide™, and Straumann UN!Q™ into one seamless workflow to streamline treatment planning and execution.


End-to-end digital workflow

From smile design to final restoration, the STARconcept™ is designed to deliver a reproducible, and integrated digital workflow. The result: reduced chair time and a streamlined full-arch treatment.5, 11, 12

Clinical precision

Prosthetically-driven planning with fully guided surgery supports accurate implant placement, even in complex cases, compared to freehand surgery.1, 2,3, 4, 6, 7, 8 

Patient-centric solutions

Flapless, bone-preserving workflows with immediate provisionals are designed to shorten treatment and recovery time. Smilecloud visualizations help patients understand their journey and increase treatment acceptance.1, 2, 8, 9, 10, 13


Straumann® STARconcept™ workflow



Testimonials

  • Dr. David Norré

    Belgium

  • Dr. Wael Att

    U.S.A.

  • Dr. Florin Cofar

    Romania



Clinical Case

Guided FP1 maxillary rehabilitation with Straumann® STARconcept™ and Straumann iGuide™. A clinical case report by Dr. David Norré, Belgium.
Facially driven Smilecloud design with a focus on preserving tissue and bone. Planned in Smile in a Box and executed with the iGuide protocol; shared pin positions align the drill and prosthetic guides for chairside pickup of the pre-designed provisional. Day-5 follow-up shows the screw-retained provisional in place.

  • Pre-operative smile.

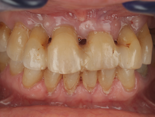
  • Initial clinical situation (retracted view).

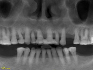
  • Pre-operative panoramic X-ray.

  • Strategic extractions for guide seating on anchor teeth.

  • Passive-fit check of the surgical guide before drilling.

  • Guided osteotomy per iGuide® protocol (sequential, depth-controlled).

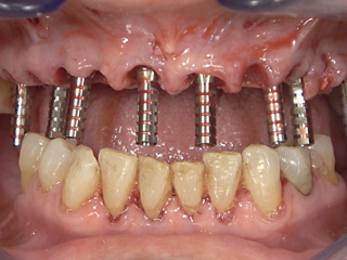
  • Fully guided implant insertion using the iGuide® implant driver with vertical stop.

  • Implant drivers left engaged to stabilize the guide; fixation pins drilled precisely.

  • Extraction of remanning teeth and placement of straight SRAs.

  • Temporary Copings for SRAs placed – ready for bridge pick-up.

  • Temporary bridge pre-fit check using the prosthetic guide and fixation pins.

  • Day 5 post-op: screw-retained provisional in place.



Follow the STARconcept founders

The STARconcept™ is a signature workflow of Dr. David Norré and Dr. Wael Att.


#straumannSTARconcept on instagram

Straumann® STARconcept™ Events

Explore upcoming Straumann® STARconcept™ trainings and events to learn more.*

*Please note that some events may not be Straumann events and that Straumann does not accept any liability for the content or any organizational matters related to such event.

Brochures and videos

Looking for additional information? You'll find it in the Resource Center.

Contact us

If you have any questions or would like more information, please complete the form to be contacted by our customer service team. We are happy to assist you.

Data usage agreement*

Read our privacy notice.

Please retype the code above

References

1 Norré D, Att W. STAR concept: A technique to improve the predictability of immediate implant placement and loading in edentulous arches. Int J Comput Dent . 2022 Sep 20;25(3):303-323
2 Att W, Bernhart J, Bateli M. Computer-guided implant planning and surgery. In: Att W, Witkowski S, Strub JR, editors. Digital Workflow in Reconstructive Dentistry. UK: Quintessence Publishing; 2019.
3 Varga E Jr, Antal M, Major L, Kiscsatári R, Braunitzer G, Piffkó J. Guidance means accuracy: a randomized clinical trial on freehand versus guided dental implantation. Clin Oral Implants Res. 2020;31:417–30.
4 Al Yafi F, Camenisch B, Al-Sabbagh M. Is digital guided implant surgery accurate and reliable? Dent Clin North Am. 2019;63:381–97.
5 D’Haese J, Ackhurst J, Wismeijer D, De Bruyn H, Tahmaseb A. Current state of the art of computer-guided implant surgery. Periodontol 2000. 2017;73:121–33.
6 Tahmaseb A, Wu V, Wismeijer D, Coucke W, Evans C. The accuracy of static computer-aided implant surgery: a systematic review and meta-analysis. Clin Oral Implants Res. 2018;29(Suppl 16):416–35
7 Hultin M, Svensson KG, Trulsson M. Clinical advantages of computer-guided implant placement: a systematic review. Clin Oral Implants Res. 2012;23(Suppl 6):124–35.
8 Sobczak B, Majewski P. An Integrated Fully Digital Prosthetic Workflow for the Immediate Full-Arch Restoration of Edentulous Patients-A Case Report. Int J Environ Res Public Health. 2022 Mar 31;19(7):4126.
9 Cofar F., Barbur I., Giordani G., Giordani M., Popp I., Lascu G., Van Dooren E., Bratu T., Blatz M. Multidisciplinary design: Creating a common perspective in complex cases. J. Esthet. Restor. Dent. 2022;34:244–251
10 van Dooren E, Cofar F, Tokar A, Giordani G, Popp I, Sousa N, Stankov V, Gurel G. I JED Espresso. Int J Esthet Dent. 2022;17(2):138–9.
11 Xiang B, Yu J, Lu J, Yan Z Comparisons between digital-guided and nondigital protocol in implant planning, placement, and restorations: a systematic review and meta-analysis of randomized controlled trials. J Evid Based Dent Pract. 2023 Dec;23(4):101919.
12 Makarov N, Pompa G, Papi P. Computer-assisted implant placement and full-arch immediate loading with digitally prefabricated provisional prostheses without cast: a prospective pilot cohort study. Int J Implant Dent. 2021 Sep 6;7(1):80.
13 Sobczak B. A versatile integrated prosthetic workflow for the immediate pink-free full-arch restoration: a case series. Biomed J Sci & Tech Res. 2022; 43(3): 34664-34672